Paediatrics 2 Flashcards

(78 cards)

1
Q

Biliary Atresia

A

Congential condition - bile ducts narrow or absent.

Normally, bilirubin conjugated in liver, and excreted in bile

Then bile ducts transport bile from liver > intestines > excreted in stool

Build-up of conjugated bilirubin = jaundice

How well did you know this?
1
Not at all
2
3
4
5
Perfectly
2
Q

Presentation of biliary atresia

A
  • Physiological jaundice from day 2 - 7 due to increased breakdown and turnover of RBC = unconjugated bilirulin
  • Biliary atresia = persistant jaundice > 14d in term babies and 21d in premature
  • Biliary atresia = ↑conjugated bilirubin, physiolgical jaundice = ↑unconjugated bilirubin
How well did you know this?
1
Not at all
2
3
4
5
Perfectly
3
Q

Diagnosis and management of biliary atresia

A

1st line: blood test for conjugated (raised), total bilirubin (normal) and unconjugated bilirubin (normal)

1st line imaginig: USS

Mx:

  • Kasai portoenterostomy = remove bile duct, attach small intestine to liver where bile duct was, bile in liver directly drains into intestines
  • Liver transplant later
How well did you know this?
1
Not at all
2
3
4
5
Perfectly
4
Q

Hypoxic-ischaemic encephalopathy (HIE)

A
  • Neonates, result of hypoxia during birth = ischaemic brain injury
  • Results in cerebral palsy, developmental delays, cognitive deficits or death

Asphyxia (deprivation of O2) in brain = maternal shock, intrapartum haemorrhage, prolapsed cord

How well did you know this?
1
Not at all
2
3
4
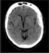
5
Perfectly
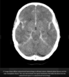
5
Q

Diagnosis of HIE

A
  • Hypoxia (during perinatal or intraparum period)
  • Acidosis (pH < 7 or base deficit ≥ 12-16 mmol/L) on umbilical ABG
  • Poor Apagar score (e.g. < 5 at 10min)
  • Features of HIE
  • Mild (grade 1) - resolve 24hrs
  • Moderate (grade 2) - lethargy , hypotonia, suppressed reflexes, possible seizure, 20 -50% CP or developmental delay
  • Severe (grade 3): flaccid, absent reflexes, frequent seizures, high mortality (up to 50%), 90% develop CP
How well did you know this?
1
Not at all
2
3
4
5
Perfectly
6
Q

Management of HIE

A
  • Neonatal ICU
  • Supportive: neonatal resus and ongoing otipmal ventilation, circulatory support, nutrition, acid-base balance and tx of seizures
  • Therapeutic hypothermia: 33 - 34c for 72hrs, then gradual warming over 6-12hrs
How well did you know this?
1
Not at all
2
3
4
5
Perfectly
7
Q

Cerebral Palsy

A
  • Permenant, non-progressive neuro problems from brain damage at birth.
  • Ranges from wheelchair bound and depedent on others for ADLs to subtle coordination/mobility problems

Causes:

  • Antenatal: maternal infections, trauma
  • Perinatal: birth asphyxia, prematurity
  • Postnatal: meningitis, severe neonatal jaundice, head injury
How well did you know this?
1
Not at all
2
3
4
5
Perfectly
8
Q

Presentation of cerebral palsy

A

There are different types and patterns but I think it is too much detail

  • Failure to meet milestones
  • Increased or decreased tone - general or specific limbs
  • Hand preference < 18m
  • Feeding/swallowing problems
  • Learning difficulties
  • CP patients = UMN signs
  • Hemiplegic/diplegic gait (due to UMN dysfunction)
Neurological exam findings depending on motor neurones affected

Popular OCSE station, CP signs are reliable and patients are stable. Get good at assessing and recongising patterns of UMN and LMN lesions

DDx of UMN lesions: brain injury or tumour

How well did you know this?
1
Not at all
2
3
4
5
Perfectly
9
Q

Management of cerebral palsy

A
  • When asked “management will invovle a MDT approach”
  • Physio - stretch and stregthen muscles
  • OT - manage daily activites, adaptations, equipment
  • SALT
  • Dieticians
  • Orthopaedic surgeons: release contratures and lengthen tendons (tenotomy)
  • Paeds - muscle relaxant (baclofen), anti-epiletptic drugs, glycopyrronium bromide (drooling)
How well did you know this?
1
Not at all
2
3
4
5
Perfectly
10
Q

Conjuctivitis

A
  • Purulent discharge, injection, eyelid swelling with first 48hrs of life = ?gonococcal infection
  • Urgent gram-stain, culture, tx (e.g. IV 3rd gen cephalosporin) to prevent permenant vision loss
  • Clamydia trachomatis = purulent discharge, eyelid swelling at 1 - 2 weeks old, tx: oral erythromycin 2w, tx mother + partner
An 8-day-old infant with purulent discharge and swollen eyelids. Classic presentation of Chlamydia trachomatis conjunctivitis
How well did you know this?
1
Not at all
2
3
4
5
Perfectly
11
Q

Henoch-Schonlein Pupura (HSP)

A

IgA vasculitis - purpic rash lower limbs > buttocks, inflammation and blood leak from small blood vessels

Criteria (many, but EULAR/PRINTO/PRES criteria):

  • Diffuse abdominal pain
  • Arthritis or arthralgia
  • IgA deposits on histology (biopsy)
  • Proteinuria or haematuria
How well did you know this?
1
Not at all
2
3
4
5
Perfectly
12
Q

Clinical features of HSP

A
  • Purpura (100%)
  • Joint pain (75%) - knees, ankles
  • Abdo pain (50%)
  • Renal invovlement (50%) - IgA nephritis
How well did you know this?
1
Not at all
2
3
4
5
Perfectly
13
Q

Diagnosis and management of Henoch-Sconlein Purpura

A

Exclude serious pathology: meningococcaal septicaemia, leukaemia

  • FBC and blood film: thrombocytopenia, sepsis and leukaemia
  • Renal profile
  • Serum albumin (nephrotic syndrome)
  • CRP + Blood cultures (sepsis)
  • Urine dipstick (proteinuria) + urine protein:creatinine ratio
  • BP

Mx:

  • Supprtovie with analgesia, rest + hydration
  • Close monitoring in active disease: repeat urine dipstick (renal) and BP
How well did you know this?
1
Not at all
2
3
4
5
Perfectly
14
Q

Viral gastroenteritis

A
  • Nausea, vomiting, diarrhoea
  • Highly contagious, isolate patient if in hospital
  • Causes: rotavirus, norovirus, adenovirus (subacute diarrhoea)

Mx:

  • Dehydration: oral or admission for IV fluids
  • Barrier nursing
  • Off school until 48hrs after resolution
  • Fluid challenge - small volume every 10 to 15 mins, if okay = manage at home, fail = IV fluids
  • Oral rehydration solution (e.g. diaralyte)
How well did you know this?
1
Not at all
2
3
4
5
Perfectly
15
Q

Key differentials for loose stools

A
  • Gastroenteritis
  • IBD
  • Lactose intolerance
  • Coaelics
  • Cystic fibrosis (steatarrhoea)
  • Toddler’s diarrhoea
  • IBS
  • Meds (e.g. abx)
How well did you know this?
1
Not at all
2
3
4
5
Perfectly
16
Q

Splenectomy

A
  • Surgical removal of spleen, due to trauma, rupture from EBV infection, harmolytic anaemia
  • Causes hyposplenism = susceptibility to infection, e.g. organisms encapsulated in spleen (haemophilus, pneumococcus, and meningococcus)

Prophylaxis:

  • Vaccinations: pneumococcal (5-yearly booster), annual influenza, haemophilus influenza type B, men C
  • Daily low-dose abx e.g. phenoxymethylpenicillin (clarithyromycin/erythromycin)
How well did you know this?
1
Not at all
2
3
4
5
Perfectly
17
Q

Small bowel obstruction

A
  • Bilious, persistant vomiting (unless above ampulla of Vater)
  • Diffuse, central abdo pain
  • More distal = more prominent distension
  • Cause: duodenum/jejunal/ileal stenosis or atresia, meconium ileus, meconium plug
  • Ix: clinical features + diagnostic: abdo XR, distended small bowel loops (>3cm diameter) with fluid levels

Mx

  • NBM, IV fluids, NG tube with free drainage
  • Atresia/stenosis/ meconium ileus = surgery
  • Meconium plug = self-resolve
How well did you know this?
1
Not at all
2
3
4
5
Perfectly
18
Q

Migraine without aura

A

Migraine without aura:

  • 90%, 1 - 72hrs, pusatile, bilateral (sometimes unilateral)
  • GI symptoms: nausea, vomiting, abdo pain, photophobia and phonophobia
  • Worsened by physical activity, relieved by sleep
How well did you know this?
1
Not at all
2
3
4
5
Perfectly
19
Q

Migraine with aura (10%)

A
  • Aura - (visual, sensory, motor), then headache
  • Clinical features: no problems between episodes, preceding symptoms - tiredness, poor conc, visual disturbances (hemianopia), zigzag lines
  • Relived by lying in dark room
How well did you know this?
1
Not at all
2
3
4
5
Perfectly
20
Q

Risk factors and triggers for migraine

A
  • FHx (first/second degree)
  • Late nights/early rises
  • Stress
  • Foods e.g. cheese, choc, caffeine
  • Girls - menstruation and COCP
How well did you know this?
1
Not at all
2
3
4
5
Perfectly
21
Q

Red flag symptoms in headache - space-occupying lesion

A

Symptoms:

  • Headache: worse lying down or cough/straining
  • Headache that wakes child
  • Confusion, persistent N+V
  • Change in personality, behaviour, school performance
How well did you know this?
1
Not at all
2
3
4
5
Perfectly
22
Q

Management of migraine

A
  • Child and family education

Rescue

  • NSAIDs/paracetamol - ASAP when sypmtoms
  • Antiemetics
  • Triptans e.g. sumatriptan - when headache start
  • Cold/warm compress, balms

Prophylactic tx: frequent + intrusive

  • Na channel blockers: topiramate/valporate (Pregnancy Prevention Programme)
  • Propranolol, CI asthma
  • Tricyclics: pizotifen
  • Acupunture

Psychological support:
- Stress? Bullying, anxiey?? Illness in friends/family?

How well did you know this?
1
Not at all
2
3
4
5
Perfectly
23
Q

Mumps

A
  • Viral infection, respiratory droplets
  • 14 - 25d incubation
  • Self-limiting, resolves in one week
  • Vax hx important if mumps suspected
  • Dx: saliva swab > PCR testing for antibodies to virus
  • Notifiable
  • Mx: rest, fluids and analgesia
How well did you know this?
1
Not at all
2
3
4
5
Perfectly
24
Q

Clinical features of mumps

A

Prodomal flu-like illness: fever, muscle aches, lethargy, reduced appetite, headache, dry mouth

Then, parotid gland swelling, key in mumps

Or complication features:

  • Abdo pain (pancreatitis)
  • Testicular pain (orchitis)
  • Confusion, neck stiffness and headache (meningitis/encephalitis)
  • Sensorineural hearing loss
How well did you know this?
1
Not at all
2
3
4
5
Perfectly
25
Duchennes muscular dystrophy
- X-linked recessive condition > gradual, progressive weakening and wasting of muscles - Gower's sign - due to proximal muscle weakness - Defective gene for dystrophin on X-chromosome. Mother carrier = 50% chance daughters carriers, 50% chance sons have condition - Presentation 3 - 5yo, pelvic weakness, eventually wheelbound by teens, life expectance 25 - 35yo if managed well - Oral steroids slow progression by 2 years - Creatine supplements slightly improve muscle strength
26
Non-accidental injury
Physical harm in a child deliberately inflicted or failure of caregiver to prevent harm Key features to look out for: - History - Delayed presentation - Inconsistencies in caregiver narrative - Injuries/fractures of varying ages - Subconjunctival/retinal haemorrhage - Burns, scalds, torn frenum (head injury/force-feeding), FGM
27
Investigations for non-accidential injury
- Detailed history, body map - Radiology: skeletal survey: rib, finger, clavicle fractures, metsphyseal corner fractures (twisting/pulling of limb) - Lab tests: for ddx e.g. leukaemia, immune thrombocytopenic purpura - Mx see safeguarding section in paeds 1
28
Obesity
- Most common nutritional disorder in high-income countries - In children, age- and sex-matched BMI centiles are used - Overweight > 91st centile, obese > 98th centile - Increasing problem due to obesogenic environment, more energy-dense foods, reduced physical activity, more screen time - RF: low socioeconomic status Prevention: reduce screen time, increase education + physical activity
29
Management of obesity in children
- Most in primary care - Heathier eating - regular meals, eating together, nutrient-rich foods, vegs + fruits, small portion sizes, invovling whole family - Increase physical activity e.g. walking to school, football, swimming - Limit screen time < 2 hr a day - Children > 12 with BMI > 35 + complications or > 40: Orlistat (reduces dietary fat absorption), bariatric surgery in rare cases
30
Complications of obesity
- Slipped upper femoral epiphysis - Idiopathic intracranical hypertension - Hypoventilation syndrome - Non-alcoholic fatty liver disease - Gallstones - PCOS - Type 2 diabetes - Asthma - Low self-esteem, teasing, depression
31
Obstructive sleep apnoea
- Adenotonsillar hypertrophy or Down's syndrome - Features: excessive daytime sleepiness, learning/behaviour problems, faltering growth, severe = pulmonary HTN - Ix: sleep studies: overnight pulse oximetry at home to full measurement in lab, normal ≠ exclusion - Mx: adenotonsillectomy, nasal or face CPAP masks to maintain upper airway overnight
32
Peptic ulceration and gastritis
- H. pylori = risk factor for duodenal ulcers, consider if child has epigastric pain, especially if night-waking, radiation to back or FHx of peptic ulcer - H. pylori > nodular antral gastritis > abdo pain and nausea - Ix: urea breath test (HP make urease), stool antigen test Mx: - Peptic ulcer, H. pylori +ve: triple therapy with PPI, amoxicilin AND metronidazole/clarithromycin) - If ineffective = upper GI endoscopy
33
Orbital cellulitis
- Emergency admission! - Proptosis (bulging eyeballs), painful or limited ocular movement +/- reduced visual acuity - Ix: FBC (raised WBC, inflammatory markers), blood cultures, CT/MRI to assess for posterior spread of infection - IV abx (IV co-amoxiclav for cellulitis near eyes (NICE) - Surgical drainage if abscess - Staphylococcus aureus most common
34
Define exanthem
Medical term for a widespread rash that is usually accompanied by systemic symptoms such as fever, malaise and headache. Usually caused by a infection, and is either a reaction to toxin produced or damage to skin by the infective organism or immune response
35
What causes exanthem
Exanthems during children are very common and usually due to specific viral infections e.g.: - Chickenpox (varicella) - Measles (morbillivirus) - Rubella (rubella virus) - Non-specific viral Bacterial exanthem: - Staphylococcal toxin: toxic shock syndrome - Streptococcal toxin infection: scarlet fever
36
Signs and symptoms of exanthems
- Non-specific exanthems appear as spots or blotches with or without itch - Usually more extensive on trunk than extremities - Most cases, patients might have the following symptoms prior to rash: fever, malaise, headache, loss of appetite, muscular aches and pains
37
Diagnosis of exanthems
Diagnosis by distinct patterns and prodromal (pre-rash) symptoms which allow for clinical diagnosis If required, consider viral swab for culture and PCR, blood test for serology or PCR
38
Treatment for exanthem
Symptomatic: - Paracetamol to reduce fever - Moisturising emollients to reduce itch
39
Exanthem associated with Kawasaki disease
Prodrome of persistent high fever (> 39) for at least 5 days Widespread erythematous maculopapular rash and desquamation (peeling) on palms and soles - Strawberry tongue (red tongue with large papillae - Cracked lips - Cervical lymphadenopathy - Conjunctivitis
40
Exanthem associated with herpes varicella/zoster (chickenpox)
Systemic symptoms (fever, headache, cough, diarrhoea and vomiting) and few or many pruritic papules that progress to vesicles and crusted lesions that might scar Mainly on face and trunk
41
Exanthem associated with measles
- Prodrome of fever, malaise, anorexia, then conjunctivitis, cough and coryza - Then Kolpik spots (oral papules) appear 2 - 3 days into prodrome period - 24 to 48 hours later, rash starts on cheeks and spreads to trunk and limbs within a day or two - Widespread "morbiliform" erythema (5 - 10mm macules), fades in a few days, might scar | https://dermnetnz.org/topics/measles-images
42
Rubella exanthem
- Prodrome can be asymptomatic or with slight fever, sore throat, rhinitis and malaise - Can take 2 - 3 weeks for rash to appear - Infectious from 1 week before the symptoms start and for 5 days after the rash first appears. - Pale pink erythematous rash that starts on the face and spreads to neck, trunk and extremities, lasts up to 5 days
43
Define tonsillitis
Inflammation of the tonsils Most common is viral infection If bacterial - most common cause is group A streptococcus (S. pyogenes)
44
Presentation of acute tonsillitis
- Sore throat - Fever (> 38) - Pain on swallowing Examination of the throat = red, inflamed and enlarged tonsils with/without exudates - small, white patches of pus on the tonsils
45
Centor criteria for tonsillitis
Estimates the probability that tonsillitis is due to bacterial infection and benefit from antibiotics score ≥ 3 = 40 - 60% possibility of bacterial tonsillitis and abx offered: 1 point for each: - Fever over 38ºC - Tonsillar exudates - Absence of cough - Tender anterior cervical lymph nodes (lymphadenopathy)
46
FeverPAIN score for tonsillitis
Alternative to Centor score Score 2 - 3 = 34 - 40% probability Score 4 - 5 = 62 - 65% probability of bacterial tonsillitis - Fever during previous 24 hours - P – Purulence (pus on tonsils) - A – Attended within 3 days of the onset of symptoms - I – Inflamed tonsils (severely inflamed) - N – No cough or coryza
47
Management of tonsillitis
- Consider admission if patient is immunocompromised, systemically unwell, dehydrated, has stridor, respiratory distress or peritonsillar abscess (quinsy) or cellulitis. - Calculate Centor or feverPAIN score - If viral: educate patients and give safety net advice - Simple analgesia with paracetamol and ibuprofen - Advise return if pain does not settle after 3 days or fever > 38.3 - consider antibiotics or alternative diagnosis - Antibiotics if the Centor score is ≥ 3, or the FeverPAIN score is ≥ 4. - Phenoxymethypenicillin, clarithromycin - Also, consider antibiotics if young infants, immunocompromised patients or significant co-morbidity - Delayed prescription - if symptoms worsen or do not improve in next 2 - 3 days
48
Transient synovitis
- Irritable hip, transient irriation and inflammation in synovial membrane of the joint, preceding viral URTI - No fever, if fever consider SEPTIC Featurees: limp, refusal to weight bear, groin/hip pain, low grade temp, otherwise well Mx: simple analgesia, clear safety netting if worsens or develop fever! FU at 48hrs and 1 - 2 week, as should improve and resolve respectively
49
Reactive arthritis
- Synovitis due to infective trigger. - Usually < 6 weeks of joint swelling, commonly knees, ankles - Triad of conjunctivitis, urethritis, arthritis (can't see, pee, climb a tree) Causes: - Gastroenteritis: salmonella, shigella, campylobacter - STI: chlamydia, gonococcus Mx: - Exclude septic arthritis - Joint aspirate for MC+S - Tx cause - NSAIDs - Intraarticular steroids - Sufasalazine/methotrexate if persistent
50
Septic artritis
- Serious infection of joint space > bone destruction - Most common < 2yo - Cause: Staphylococcus aureus, gonococcus (sexually active) - RFs: immunodefiency, sickle cell disease Spread: haematogenous spread, punture wound, infected skin lesions e.g. chickenpox
51
Presentation of septic arthritis
- Erythematous, warm, acutely tender joint, reduced ROM - Acutely unwell, febrile child - Limb held still (pseudoparalysis) - Sometimes accompanies osteomyelitis (joint effusion + marked tenderness over bone)
52
Management for septic arthritis
- Follow local hot joint policy - Diagnostic: urgent joint aspiration guided by USS for gram staining, microscopy, culture and abx sensitivities - Empirical IV abx until sensitivities known, continued for 3 - 6 weeks - Surgical drainage + washout if abx ineffective or deep-seated (e.g. hip)
53
Deliberate self-harm
Coping technique for negative emotions, commmunicate distress, to punishing themselves Risk factors: female (x4), depression/severe anxiety, previous hx, living in care, abusive home life - Cutting, burning, biting, bruising, ligatures, wall punching (boxers fracture), overdose Sensitive hx and examination important
54
How to ask about self-harm in paediatrics
- Alone, with parents = non-disclosure - Safe environment - Enough time - Clear rules about confidentiality - Validating distress - Assurance about support - Direct but senesitive questions - Normalisation "sometimes if people feel stressed, worried or low, they can have thoughts about harmimg themselves, has this happened to you?"
55
Drug misuse
Some adolescents will experiment with drugs, some become habitual users for rec use or to avoid unpleasant memories A small number = psychologically or physically dependent Alcohol, cannsbis = most common Solvents, LSD, ecstasy, amphetamine Coacine + heroin = most addictive
56
What are the signs of drug abuse (heavy misuse) in an adolescent?
- Intoxication - Unexplained absence from home/school - Mixing with known users - Spending or stealing a lot of money - Drug equipment - Medical complications resulting from use
57
How to assess for drug abuse in an adolescent?
- Often concerned parent presents to doctor - Interview, urine sample for drug screen - Referral or self-referral to local drugs/alcohol services - Explain helath risk to adolescent - Medical invovlement usually focused on psychopathology or physical complications:
58
Cocaine: adverse effects
- Become popular in recent years = more common in clinics + exams - MOA: blocks uptake of dopamine, noradrenaline and serotonin - CV: coronary artery spasm > MI, HTN - Neuro: seizure, mydriasis, hypertonia/reflexia - Psych: agiation, psychosis, hallucinations
59
Management of coacine overdose
- 1st line is benzodiazepines - Chest pain: benzo + glyceryl trinitrate - MI = percutaneous coronary intervention
60
Ecstasy poisoning
Causes serotonin release and catecholamines Clinical features: - Neuro: agitation, anxiety, confusion, ataxia - CV: tachy, HTN - Muscle rigdity - Hyponatraemia (SIADH) - Hyperthermia - Rhabdomyolysis Mx: supportive with IV fluids, sedation with benzodiazepines
61
Paracetamol overdose
Features: - Early: abdo pain, vomiting - Later (12 - 24h): liver failure - Toxic metabolite (NAPQI) due to saturation of liver metabolism - Determine risk by measuring plasma paracetamol conc.
62
Management of paracetamol overdose
- Present < 1hr = activated charcoal N-acetylcysteine if: - Plasma conc on or above tx line at 4hrs (100mg/L) and 15hrs (15mg/L) - Staggered OD - Present > 8 - 24hrs OD of > 150mg/kg - Present > 24hrs OD if jaundiced, hepatic tenderness, ALT > upper normal limit - IV acetylcysteine, 12 hr SNAP regime (100mg/kg over 2 hours then 200mg/kg over 10 hours)
63
Subdural haematoma
- Tearing of bridging veins as they cross subdural space - Characteristic in non-accidental injury by shaking/direct truma in infants and toddlers - Shaking = retinal haemorrhages 1st line Ix: - CT = crescent-shaped collection, not limited by suture lines (hyperdense/bright if acute, hypodense/dark if chronic) Mx: - Small + no neuro deficits = conservative - Neuro deficits = surgical decompression with burr holes
64
Subarachnoid haemorrhage
- More common in adults - Causes: trauma, aneurysm - Presents with thunderclap headache (severe, rapid onset) - Vomiting, confusion or reduced consciousness, meningism (photophobia, neck stiffness) seizure, coma
65
Investigations + treatment for subarachnoid haemorrhage
- 1st line: non-contrast CT = blood in CSF (bright/hyperdense) Lumber puncture (LP) if: - CT >6h after symptoms and normal - > 12h after symptoms to allow xanthochromia Mx: - Oral nimodipine (stop vasospasm) - Neurosurgery or interventional radiology - Aneurysm: supportive, bed rest, analgesia, VTE prophylaxis
66
Cardiac arrest: paediatric basic life support
- Check if responsive - Shout for help - Open airways - Look, listen + feel for breathing - 5 rescue breaths - Check circulation: inflants = brachial/femoral pulise, children = femoral - 15 chest compressions: 2 rescue breaths (lay person = 30:2) - 100-120/min - Compress lower half of sternum, 1/3 depth of chest - Infants: two-thumbs
67
Upper respiratory tract infection (URTI)
Invovles mucosa of nasal cavity, sinuses, nasopharynx, oropharynx and larynx Most common causes - rhinovirus and coronavirus, respiratory syncytial virus 5 - 6 infections a year in children Clinical features: coyza (nasal discharge, obstruction, sore throat, cough), headache, tiredness, generally unwell Examination: throat, ears, cervical lymph nodes, chest, hydration status, HR, RR, temp, O2 sats, if deranged, consider other causes ## Footnote Useful "Traffic light system" for identifying risk of serious illness in < 5s: https://www.nice.org.uk/guidance/ng143/resources/support-for-education-and-learning-educational-resource-traffic-light-table-pdf-6960664333
68
Management of upper repsiratory tract infections
- Usually self-limiting , so supportive with paracetamol, rest, fluids - Uncomplicated = resolve within 7 - 10 days - Complications: viral wheeze, bronchiolitis and croup (admission for supportive mx might be required)
69
Urticaria
- Generalised/localised superfical skin swelling - Pale, pruritic, pink raised skin "hives" - Erythema might not be so obvious on darker skin - Common cause = allergy, viral, drug reaction Mx - Non-sedating antihistamine e.g. loratadine, cetirizine - Sedating antihistamine e.g. chlorpheamine for sleep
70
Brain tumours types in children (most common)
- Astrocytoma (~40%) - Varies from benign to highly malignant (glioblastoma multiforme) - Mostly primary unlike in adults
71
Typical presentation of astrocytoma
Malignancy arising from astrocytes, cells that support the nerve cells in the brain - Raised ICP = headache and behavioural changes - Seizures - Persistent or recurrent vomiting - Problems with balance, coordination or walking - Abnormal eye movements
72
Investigations for brain tumours
- MRI - Lumbar puncture for staging, seek neurology advice if rasised ICP
73
Management of brain tumours in children
1st line: surgery for hydrocephalus, tissue diagnosis and resection of tumour Radiotherapy after surgery for malignant CNS tumours
74
Neuroblastoma
Tumour arising from neural crest tissue in adrenal medulla and sympathetic nervous system - Usually < 5yo - Good prognosis, 80% cure rate
75
Neuroblastoma: clinical features
- Abdo mass usually adrenal in origin, but can be anywere along sympathetic chain from neck to pelvis - Pallor - Weight loss - Hepatomegaly - Bone pain - Limp
76
Investigations + management for neuroblastomas
- Urinary catecholamine (e.g. adrenaline) - Biopsy - Bone marrow biopsy Management - Surgery, curative if local - Chemo, radiotherapy and surgery in metastatic disease (poor prognosis)
77
Wilm's tumour (nephroblastoma)
Most common renal malignancy in children, usually < 5 yo Often incidential finding as abdo mass Clinical features - Asymptomatic - Abdo pain - Haematuria - Lethargy - Fever - Hypertension - WEight loss
78
Ix and Mx of Wilm's tumour
Diagnosis: - Abdo ultrasound - CT staging - Biopsy to confirm dx Management: - Surgical excision and removal of affected kidney (radical nepphrectomy)