Respiratory Flashcards

(90 cards)

1
Q

Chronic obstructive pulmonary disease

A
  • Combination of chronic bronchitis (excessive mucus secondary to cillary dysfunction) and emphysema (loss of alveolar integrity due to proteases and protease inhibitor imbalance)
  • Progressive, irreversible
  • Mostly caused by smoking
How well did you know this?
1
Not at all
2
3
4
5
Perfectly
2
Q

Clinical features of COPD

A

Typically long-term smoker:

  • Shortness of breath
  • Cough
  • Sputum production
  • Wheeze
  • Recurrent respiratory infections, particularly in winter
How well did you know this?
1
Not at all
2
3
4
5
Perfectly
3
Q

Signs on examination of COPD

A
  • Tachypnoea
  • Barrel chest (bulging of the chest)
  • Hyperresonance on percussion
  • Tar staining of fingers with peripheral cyanosis
How well did you know this?
1
Not at all
2
3
4
5
Perfectly
4
Q

Risk factors for COPD

A
  • Age: usually diagnosed > 45
  • Tobacco smoking: greatest risk factor
  • Occupational exposure: dust, coal, cotton
  • Alpha-1 antitrypsin deficiency: younger patients that present with COPD features
How well did you know this?
1
Not at all
2
3
4
5
Perfectly
5
Q

MRC dyspnoea scale for assessing breathlessness

A
  • Grade 1: Breathless on strenuous exercise
  • Grade 2: Breathless on walking uphill
  • Grade 3: Breathlessness that slows walking on the flat
  • Grade 4: Breathlessness stops them from walking more than 100 meters on the flat
  • Grade 5: Unable to leave the house due to breathlessness
How well did you know this?
1
Not at all
2
3
4
5
Perfectly
6
Q

Diagnosis of COPD

A
  • Clinical diagnosis and spirometry results

Spirometry:

  • FEV1:FVC < 70%
  • No response to bronchodilator testing with beta-2 agonists (e.g., salbutamol).

Severity

  • Stage 1 (mild): FEV1 > 80% of predicted
  • Stage 2 (moderate): FEV1 50-79% of predicted
  • Stage 3 (severe): FEV1 30-49% of predicted
  • Stage 4 (very severe): FEV1< 30% of predicted

FEV1 = forced expiratory volume, FVC = forced vital capacity, volume exhaled after max inhalation

How well did you know this?
1
Not at all
2
3
4
5
Perfectly
7
Q

Medications for COPD

A

1) SABA: short-acting beta-adrenoceptor agonist (e.g. salbutamol) - leads to bronchodilation

2) SAMA: short-acting muscarinic antagonist (ipratropium) - inhibits smooth muscle contractions

3) LABA: long-acting beta-adrenoceptor
agonist (e.g. salmeterol) - leads to bronchodilation

4) LAMA: long-acting muscarinic antagonist (e.g. tiotropium) - inhibits smooth muscle contraction

5) ICS: inhaled corticosteroid (e.g. beclomethasone)

How well did you know this?
1
Not at all
2
3
4
5
Perfectly
8
Q

Long-term management of COPD

A
  • Smoking cessation
  • Annual flu and pneumococcal vaccine
  • Step 1: SABA or SAMA (e.g. ipratropium bromide)
  • Step 2: if no asthmatic or steroid-responsive features = combination inhalers containing LABA and LAMA
  • If asthmatic or steroid-responsive features = LABA and ICS combination inhalers
  • Step 3: LABA, LAMA and ICS combination inhalers
  • Step 4: other meds under specialist
  • Long-term oxygen for severe COPD with O2 sats < 92%
  • If concomitant asthma, manage primarily according to asthma guidelines

For acute excerbation of COPD, see A+E deck

How well did you know this?
1
Not at all
2
3
4
5
Perfectly
9
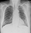
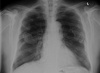
Q

Pneumonia

A

Infection of lung tissue > inflammation in alveolar space

CXR: consolidation

  • Community-acquired pneumonia (CAP)
  • Hospital-acquired pneumonia (HAP): > 48hrs in hospital
  • Ventilator-acquired pneumonia (VAP): intubated pts on ICU
  • Aspiration pneumonia
How well did you know this?
1
Not at all
2
3
4
5
Perfectly
10
Q

Clinical features of pneumonia

A
  • Cough
  • Sputum
  • SOB
  • Fever
  • Generally unwell
  • Haemoptysis
  • Pleuritic chest pain (sharp, worse on inspiration)
  • Delirium
How well did you know this?
1
Not at all
2
3
4
5
Perfectly
11
Q

Signs on examination in pneumonia

A
  • Bronchial breath sound (harsh due to consolidation)
  • Focal coarse crackles - air passing sputum
  • Dull percussion - sputum or collapse

If tachycardia/pnoea, hypoxia, hypotension, fever, confusion = secondary sepsis

How well did you know this?
1
Not at all
2
3
4
5
Perfectly
12
Q

Severity assessment in pneumonia

A
  • C – Confusion (new disorientation in person, place or time)
  • U – Urea > 7 mmol/L
  • R – Respiratory rate ≥ 30
  • B – Blood pressure < 90 systolic or ≤ 60 diastolic
  • 65 – Age ≥ 65

CRB-65 in primary care

Mortality: low risk: 0/1 (<3%), intermediate = 2 (3-15%), high = 3 (>15%)

How well did you know this?
1
Not at all
2
3
4
5
Perfectly
13
Q

Main bacterial causes of pneumonia

A
  • Streptococcus pneumoniae (most common)
  • Haemophilus influenzae
  • Methicillin-resistant Staphylococcus aureus (MRSA) in hospital
How well did you know this?
1
Not at all
2
3
4
5
Perfectly
14
Q

Causes of atypical pneumonia

A
  • Legionella pneumophila (dirty air-con/foreign holiday, flu-like with fever and dry cough)
  • Can cause syndrome of inappropriate ADH (SIADH) > hyponatraemia
  • Dx: urinary antigen
  • Tx: erythromycin/clarithromycin
  • Mycoplasma pneumoniae: flu-like, then mild pneumonia + dry cough, erythema multiforme - target lesions with red ring + pale centre
  • Ix: serology, bilateral consolidation on CXR
  • Tx: doxycycline or macrolide
How well did you know this?
1
Not at all
2
3
4
5
Perfectly
15
Q

Investigations for pneumonia

A
  • Point of care CRP test in primary care to guide dx and abx use
  • Hospital: CXR, FBC (raised WCC), renal profile (urea levels and AKI), CRP
  • If severe: + sputum culture, blood culture, pneumonococcal and Legionella urinary antigen tests

WCC + CRP proportional to severity, used to measure tx response

How well did you know this?
1
Not at all
2
3
4
5
Perfectly
16
Q

Management of pneumonia

A
  • Follow local guidelines as follows abx resistance in local area
  • Mild: usually 5 days of oral amoxicillin/doxycycline/clarithromycin
  • Moderate/severe: IV abx, oral abx as condition improves (dual therapy with amoxicillin and macrolide (passmed)
  • Consider co-amoxiclav, ceftriaxone or piperacillin + tazobactam (passmed)
How well did you know this?
1
Not at all
2
3
4
5
Perfectly
17
Q

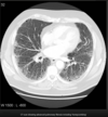
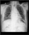
Pneumothorax

A

Air in pleural space, seprating lungs from chest wall

Spontaneously or secondary to trauma, iatrogenic or lung pathology (e.g. asthma, COPD)

Typically tall, thin, young man with sudden SOB + pleuritic chest pain

How well did you know this?
1
Not at all
2
3
4
5
Perfectly
18
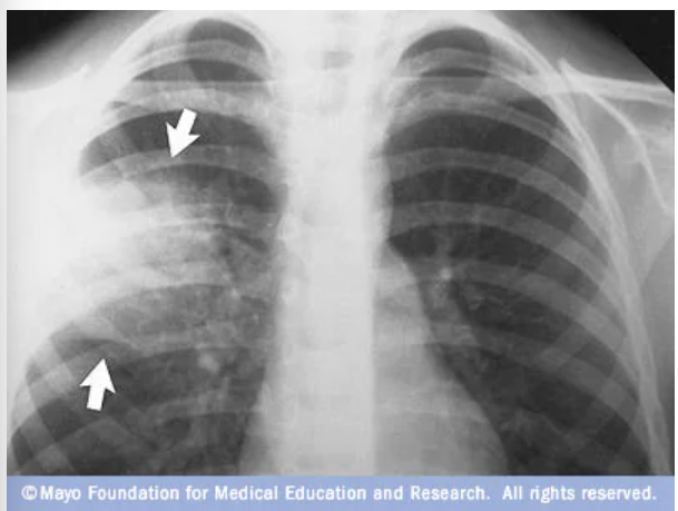
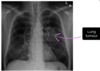
Q

Investigations for pneumothorax

Measuring pneumothorax size
A

Erect CXR:

  • Shows area between lung tissue and chest wall with no lung markings.
  • Demarcation of lung edge and start of pneumothorax
  • Measure = horizontal line from lung edge to chest wall at hilum level
How well did you know this?
1
Not at all
2
3
4
5
Perfectly
19
Q

Management of pneumothorax (British Thoracic Society)

A
  • Consult seniors
  • High risk (e.g. haem unstable, bilateral, hypoxia, underlying lung disease) = chest drain
  • Low risk and <2cm = conservative + outpt review
  • Low risk and >2cm, depends on pt preference:
  • Conservative + outpt review
  • Symptom relief with pleural vent ambulatory device
  • Short-term drainage e.g. needle aspiration or chest drain
Pleural vent ambulatory allows air to escape from pleural space via one-way valve
How well did you know this?
1
Not at all
2
3
4
5
Perfectly
20
Q

Where is a chest drain inserted?

A

Triangle of safety:

  • 5th intercostal space (or the inferior nipple line)
  • Midaxillary line (or the lateral edge of the latissimus dorsi)
  • Anterior axillary line (or the lateral edge of the pectoralis major)
How well did you know this?
1
Not at all
2
3
4
5
Perfectly
21
Q

Surgical options for pneumothorax if chest drain ineffective

A

Pleurodesis - creating inflammatory response in pleural lining so it sticks together. sealing pleural space.

  • Abrasive
  • Chemical
  • Pleurectomy
How well did you know this?
1
Not at all
2
3
4
5
Perfectly
22
Q

Tension pneumothorax

A

Trauma > one way valve letting air in but not out of pleural space > each breath traps more air > increased pressure pushes mediastinum + tangles big vessels > cardiorespiratory arrest

How well did you know this?
1
Not at all
2
3
4
5
Perfectly
23
Q

Clinical features of tension pneumothorax

A

Affected side:

  • Tracheal deviation away
  • Reduced air entry
  • Increased resonance to percussion
  • Tachycardia
  • Hypotension
How well did you know this?
1
Not at all
2
3
4
5
Perfectly
24
Q

Management of tension pneumothorax

A

Chest drain, do not wait for Ix

Learn for exam: “insert a large bore cannula into 2nd intercostal space in midclavicular line”

However, advanced traumatic life support recommends 4/5th intercostal space, anterior to the midaxillary line” for adults.+

+ Chest wall thinner there

How well did you know this?
1
Not at all
2
3
4
5
Perfectly
25
Pulmonary embolism (PE)
Thrombus in pulmonary arteries. Venous thromboembolism = PE + DVT collectively
26
Risk factors for PE
Virchow's triad - Venous stasis (e.g. long-haul flight, immobility) - Hypercoagulability (malignancy, pregnancy, polycythaemia etc.) - Vessel injury (e.g. recent surgery) ## Footnote In exam, if pt presents with PE or DVT symptoms, ask about risk factors = extra points
27
Clinical features of a PE
Asymptomatic or subtle = sudden death so low threshold for suspicion - SOB - Cough - Haemotysis - Pleuritic chest pain (sharp, worse on inspiration) - Hypoxia - Tachycardia/ponea - Low-grade fever - Haem unstable (hypotension) | Watch out for DVT e.g. unilateral leg swelling/tenderness
28
Scores for assessing PE
Pulmonay embolism rule-out criteria (PERC) - use if clinician estimates <15% probability of PE, if all criteria met = no PE Ix needed Wells score: predicts probability of PE, used when PE is suspected (≥ 4 = PE likely)
29
Diagnosis of PE
Based on Wells score: - Likely - CT pulmonary angiogram (1st line for PE) - Unlikely - D-dimer, if +ve then CTPA ABG = respiratory alkalosis with low pO2 as hypoxia = raised RR | CXR first: usually normal but used to exclude other pathology ## Footnote D-dimer sensitive (95%) not specific, excludes VTE if low but can be raised in many other conditons (pregnancy, HF, malignancy) CTPA CI in renal impairment (STAGE IV CKD (I.e < 30)), V/Q scan perferred
30
Managment of PE
Depends on severity - Admission - O2 therapy - Analgesia - Monitoring - Anticoagulation - 1st line is tx dose apixaban/rivaroxaban, LMWH (e.g. dalteparin) as alternative
31
Management of massive PE with haemodynamic compromise
Continuous infusion of unfractionated heparin and thromolysis (IV fibrinolytic agent) e.g. alteplase/tenecteplase
32
Long-term anticoagulation for PE
- DOAC (avoid if severe renal impairment - creatinine clearance < 15ml/min) - Wafarin -1st line in pts with APLS, INR 2 - 3 - LMWH - 1st line in pregnancy and severe renal impairment) - 3 months if reversible cause then review - > 3 months if unprovoked PE, recurrent VTE or an irreversible underlying cause (e.g., thrombophilia) - 3-6 months in active cancer (then review)
33
Respiratory failure
Occurs when gas exchange is inadequate > hypoxia Type 1: low PaO2 <8kPa, low/normal PaCO2, caused by ventilation/perfusion (V/Q) mismatch Type 2: low PaO2< 8kPa, high PaCO2 > 6.0kPa, caused by alveolar hypoventilation +/- V/Q mismatch | V/Q mismatch - mismatch between ventilation and perfusion in the mung
34
Causes of respiratory failure
Type 1: V/Q mismatch = PE, pneumonia, pulmonary oedema, asthma etc. Type 2: - Pulmonary disease: COPD, end-stage fibrosis, pneumonia - Reuced resp drive: e.g. opiates - Neuromuscular disease: e.g. myasthenia gravis, GBS
35
Clinical features of respiratory failure
- Features of the underlying disease + features of hypoxia/hypercarnia (if present) - Hypoxia: dyspnoea, restlessness, agitation, confuion, central cyanosis. If long-term: polycythaemia, pulmonary HTN - Hypercapnia: headache, tachycardia, bounding pulse, tremor/flap, papilloedema, confusion, coma
36
Investigations for respiratory failure
Identify cause - Bloods: FBC, U+E, CRP, ABG | Normal pH 7.35 - 7.45
37
Management of type 1 respiratory failure
- Senior support - Treat underlying cause - O2 therapy (nasal cannuala, face mask, venturi mask, non-rebreathing mask) - Consider ICU support and high-flow nasal oxygen or CPAP if O2 req. > 40%) | +Oxford handbook of clinical medicine
38
Management of type 2 respiratory failure
- Senior support - Treat underlying cause - Controlled O2 therapy - SpO2 target 88 - 92% if COPD and CO2 retention - Start at 24% O2 - Recheck ABG after 20 mins, if PaCO2 steady or lower, increase to 28% O2, if PaCO2 rising, consider NV-PPV | NVPPV - non-invasive positive pressure ventilation ## Footnote Be careful with O2, as respiration may be driven by hypoxia
39
Asthma
Chronic inflammatory disease of the airway, with variable and reversible airway obstruction Smooth muscles of the airway are hypersensitivite and react to stimuli by constricting = airway obstruction.
40
Presentation of asthma
Typically: - SOB - Chest tightness - Dry cough - Wheeze - Episodic and diurnal variability - Bronchdilator reversible - if not, alternative dx likely Widespread "polyphonic" expiratory wheeze during exacebation
41
Triggers for asthma
- Infection - Nighttime or early morning - Exercise - Animals - Cold, damp or dusty air - Strong emotions - Non-selective beta blockers e.g. propanolol - NSAIDs
42
Investigations for asthma
Initial Ix recommended by NICE: - Fractional exhaled nitric oxide (FeNO) > 40ppb - Spirometry (FEV1:FVC < 0.7) with bronchodilator reversibility (> 12% increase in FEV1) If doubt - Peak flow variaibiltiy (x2 a day, diary for 2 - 4wks) > 20% - Direct bronchial challenge test (inhale histamine, measure FEV1), PC20 =< 8mg/ml
43
Long-term treatment for asthma
Treatment steps for adults and children over 12 1) AIR therapy ( Anti-inflammatory Reliever - dry powder inhaler containing an ICS (e.g., budesonide) + LABA (e.g., formoterol) as required 2) Low-dose MART 3) Moderate-dose MART 4) Specialist referral if FeNO or eosinophils are raised at this stage 5) Add leukotriene receptor antagonist or LAMA (8-12 week trial and switch if not helping) 6) Specialist referral | MART = preventer and reliever inhaler, contains ICS and LABA
44
Acute exacerbation of asthma (acute asthma)
Rapid deterioration in symptoms: - Progressively SOB - Use of accessory muscles - Tachypnoea - Symmetrical ex. wheeze - Tight chest on ascultation and reduced air entry
45
ABG in asthma
- Initially, respiratory alkalosis as PCO2 low - Normal pCO2 or low pO2 = concerning - Respiratory acidosis (high PaCO2) = very bad
46
Grades in asthma exacerbation
Moderate - Peak flow 50 - 75% of best/predicted Severe: - Peak flow 33 - 50% - RR > 25 - HR > 110 - Unable to complete sentences Life-threatening - Peak flow < 33% - O2 sats < 92% - PaO2 < 8kPa - Exhaustion - Confusion/agitation - No wheeze/silent chest (no air entry) - Shock
47
Management of mild asthma exacebation
- Escalate to seniors and ICU early, as can deteriorate quickly Mild: - Inhaled SABA via spacer - 4x ICS for up to 2 weeks - Oral steriods (prednisolone) if ICS ineffective - Abx if infection - Follow-up within 48 hrs | Monitor serum K if salbutamol as causes hypokalaemia
48
Management of moderate asthma exacerbation
- Escalate to seniors and ICU early, as can deteriorate quickly Same as mild AND: - Consider admission - Nebulised beta-2 agonists (e.g., salbutamol) - Steroids (e.g., oral prednisolone or IV hydrocortisone) | Monitor serum K if salbutamol as causes hypokalaemia
49
Management of severe + life-threatening asthma exacerbation
- Escalate to seniors and ICU early, as can deteriorate quickly - Same as mild and moderate AND - Admission - O2 to maintain 94 - 98% - Neubulised ipratropium bromide - IV Mg suplhate - IV salbutamol - IV aminophylline Life-threatening: - Admission to HDU/ICU - Intubation and ventilation | Monitor serum K if salbutamol as causes hypokalaemia
50
Acute bronchitis
Self-limiting inflammtion of the trachea and major bronchi, 3 weeks, cause usually viral - Cough +/- sputum - Sore throat - Rhinorrhoea - Wheeze - Low-grade fever Clinical dx
51
Acute bronchitis vs pneumonia: clinical features
Present in pneumonia, absent in acute bronchitis (usually) Hisotry: sputum, wheeze, SOB Symptoms: systemic symptoms (malaise, fever) Exam: focal chest signs (dull percusion, crackles, bronchial breathing
52
Management of acute bronchitis
- Analgesia - FLuids - Abx if systemically very unwell, comorbidities, CRP 20 -100mg/L = delayed abx, CRP > 100mg/L = immediate abx, 1st line doxycycline, CI in children and pregnancy, amoxicillin as alternative
53
Asbestos related lung disease
- Pleural plaques - benign - Pleural thickening - Asbestosis - lower lobe fibrosis > dyspnoea, reduced exercise tolerance, clubbing, bilateral crackles, FEV1/FVC > 0.7 (restrictive) - Mesothelioma (next card) - Lung cancer - most commonly cancer associated with asbestos
54
Mesothelioma
Malignant disease of the pleura due to asbestos - Progressive SOB - Chest pain - Plueral effusion Tx: palliative chemo, prognosis: 8 - 14 months
55
Bronchiectasis
Permanent dilation of the bronchi, sputum collects and organisms grow in the bronchi = chronic cough, continous sputum production and recurrent infections Causes: - Idiopathic - Pneumonia - Whopping cough - TB - Alpha-1-antitrypsin deficiency - Rheumatoid arthritis - Cystic fibrosis - Yellow nail syndrome* ## Footnote * triad of yellow fingernails, bronchiectasis and lymphoedema, likely in OSCEs as patients are stable with clinical signs, high marks if you can combine these features and name the dx
56
Clinical features of bronchiectasis
- SOB - Chronic productive cough - Recurrent chest infections - Weight loss - Sputum pot by bedside - O2 therapy - Weight loss - Finger clubbing - Cor pulmonale (raised JVP and peripheral oedema) - Scattered crackles throughout that change or clear on coughinh - Scattered wheezes + squeaks
57
Investigations for bronchiectasis
Sputum culture to identify colonising and infective organisms: most common: haemophilus influenza or pseudomona aeruginosa CXR: tram-track opacities, ring shadows High-resolution CT is diagnositic
58
Management of bronchiectasis
- Pneumococcal and influenza vaccine - Chest physio and rehab - Long-term abx (azithromycin) - Inhaled colistin for pseudomonas colonisation - Sputum culture, 7 - 14 days ciprofloxacin for pseudomonas infective exacerbation - Bronchodilators - O2 therapy - Surgical lung resection/transplant | If resistant to ciprofloxacin, IV piperacillin with tazobactam ## Footnote Key to remember for bronchietasis: Finger clubbing, HRCT dx, pseudomonas colonisation and 7-14d abx for exacerbations
59
Pulmonary hypertension
Increased resistance and pressure in pulmonary arteries > back pressure on right heart + systemic venous system Mean pulmonary arterial pressure > 20mmHg
60
Causes of pulmonary hypertension
Group 1: idiopathic or connective tissue disease (SLE) Group 2: LHF (MI) Group 3: chronic lung disease e.g. COPD Group 4: plumonary vascular disease (PE) Group 5: misc. e.g. sarcodosis
61
Clinical features of pulmonary hypertension
- **SOB** - Syncope - Tachy - Raised JVP - Hepatomegaly - Peripheral oedema
62
Investigations for pulmonary hypertension
- ECG changes: P pulmonale (peaked P waves), RVH (tall R wave V1), R. axis deviation (RVH), RBBB - CXR: dilated pulmonary arteries, RVH - ↑NT-proBNP
63
Management for pulmonary hypertension
- Idiopathic: CBB (Nifedipine, nicardipine hydrochloride, amlodipine), IV prostaglandins (epoprostenol), phosphodiesterase-5 inhibitors (sildenafil) - Secondary: tx cause - Supportive tx e.g. O2 and diuretics for resp failure, oedema and arrhythmias
64
Causes of lung fibrosis
Upper zone: CHARTS - C - Coal worker's pneumoconiosis - H - Histiocytosis/ hypersensitivity pneumonitis - A - Ankylosing spondylitis - R - Radiation (6-12m after radiotherapy for breast/lung CA) - T - Tuberculosis - S - Silicosis/sarcoidosis Lower zones: - Idiopathic pulmonary fibrosis - Connective tissue disorders e.g. SLE - Drug-induced (e.g. amiodarone, methotrexate) - Asbestosis
65
Idiopathic pulmonary fibrosis (IPF)
- Chronic, progressive fibrosis of lung interstitium - 50 - 70yo - Clinical features: progressive exertional dyspnoea, dry cough, clubbing, bibasal fine crepitations | OSCEs: finger clubbing, think IPF or bronchiectasis ## Footnote IPF = fine crackles do not clear on cough Bronchiectasis = coarse crackle that might clear on cough
66
Diagnosis of IPF
- Spirometry: restrictive picture (FEV1 normal/decreased, FVC decreased, FEV1/FVC >0.7) - High-res CT = diagnostic, ground-glass > honeycombing later
67
Management of IPF
- Pulmonary rehabilitation - Research show very few meds - Pirfenidone (antifibrotic agent) - Supplementary O2 > lung transplant - Poor prognosis, 3-4y life expectancy
68
Influenza
- RNA virus - Type A, B and C Annual vaccination for multiple strains that year, free to higher risk population - 65 and over - Young children - Pregnant women - Chronic health condition such as asthma, COPD, HF, diabetes - Healthcare workers
69
Clinical features of influzena
Exposure to symptoms around 2 days - Fever - Lethargy - Anorexia - Muscle + joint aches - Heachache - Dry cough - Sore throat - Coryzal symptoms Flu = abrupt onset, cold = gradual onset
70
Management of influenza
- Healthy, not at risk of complication = no treatment - Fluids + rest At risk: oral oseltamvir, inhaled zanamivir BID 5 days Start tx within 48hrs of symptoms Post-exposure prophylaxis if criteria met: - < 48hrs of close contact with influenza - Increased risk - Not protected by vax or < 14d since vax - Options: oral oseltamvir 75mg OD 10d, inhaled zanamivir 10mg OD 10d
71
Complications of influzena
- Otitis media, sinusitis and bronchitis - Viral pneumonia - Secondary bacteria pneumonia - Worsening chronic health conditions - Febrile convulsions (young children) - Encephalitis
72
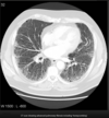
Lung cancer
- Non-small-cell lung cancer (80%): adenoarcinoma (40% of total), SCC (20%), large-cell (10%) - Small-cell lung cancer (SCLC) (20%): neurosecretory granules > neuroendocrine hormones > paraneoplastic syndromes
73
Presentation of lung cancer
- SOB - Cough - Haemoptysis - Chest pain - Finger clubbing - Recurrent pneumonia - Weight loss/loss of apetite - Lymphadenopathy - usually supraclavicular
74
Extrapulmonary manifestations of lung cancer
Presents with a lot of extrapulmonary manifestations and paraneoplastic syndromes - Recurrent laryngeal nerve palsy: hoarse voice - Phrenic nerve palsy - nerve compression > diaphragm weakness > SOB - Horner's syndrome - partial ptosis, anhidrosis and miosis (pancoast tumour) - Syndrome of inappropriate ADH (SIADH): ectopic ADH secretion: hyponatraemia - Cushing's syndrome: ectopic ACTH secretion by SCLC - Hypercalcaemia: ectopic parathyroid hormone by SCC - Lambert-Eaton myasthenic syndrome ## Footnote Exams q often ask you to identify underlying cause of paraneoplastic syndrome
75
Lung cancer: referral criteria
2WW for CXR, over 40: - **Clubbing** - **Supraclavicular lymphadenopathy** - Reccurent or persistent chest infections - Thrombocytosis - Chest signs of lung CA Also: - 2 or more unexplained symptoms in patients that never smoked (see symptoms) - 1 or more unexplained in smokers or asbestos exposure
76
Investigations for lung cancer
1st line: CXR - Hilar enlargement - Peripheral opacity (a visible lesion in the lung field) - Pleural effusion (usually unilateral in cancer) - Collapse (Atelectasis) Diagnostic - Bronhoscopy + endobronchial USS - Biopsy for histology
77
Treatment for lung cancer
MDT meeting: pathologists, surgeons, oncologists and radiologists NSCLC: - Surgery: isolated - Radiotherapy: early - Chemo as adjuvant or palliative SCLC: - Chemo + radiotherapy Surgery types: - Segmentectomy or wedge resection - Lobectomy (most common) - Pneumonectomy ## Footnote Thoracotomy scar in OSCE = lobectomy, pneumonectomy or lung volume reduction surgery for COPD
78
Obstructive sleep apnoea
Caused by pharyngeal airway collapse Episodes of apnoea during sleep RFs: middle age, male, obesity, alcohol, smoking
79
Clinical features of sleep apnoea
Daytime sleepiness is a key feature! - Reported by partner: episodes of apnoea during sleep, patient unaware - Snoring - Morning headache - Unrefreshed from sleep - Daytime sleepiness - Conentration problems - Reduced oxygen sats during sleep - Severe: HTN, HF, ↑risk MI and stroke Epworth Sleepiness Scale = assessment of symptoms
80
Management of obstructive sleep apnoea
- ENT and sleep clinic referral for sleep studies - Simple sleep studies: O2 sats monitor O/N at home - Complex: O/N in sleep centre with polysomnography (EEG, muscle activity, ECG) Mx - 1st line: correct reversible RFs - 2nd line: continous positive airway pressure (CPAP) to keep airway patent
81
Sarcoidosis
- Chronic granulomatous disorder - Granulomas = inflammatory nodules of macrophages - Usually respiratory symptoms + many extra-pulmonary
82
Clinical features of sarcoidosis
Respiratory symptoms + many extrapulomnary manifestions Respiratory (90% patients) - Mediastinal lymphadenopathy - Pulmonary fibrosis - Pulmonary nodules Systemic: - Fever - Fatigue - Weight loss Skin: - Erythema nodosum (inflammation of SC fat) - Lupus pernio (raised purple rash on nose tip and cheeks (see images)
83
Top differentials for various presenting symptoms of sarcoidosis
- Tuberculosis - Lymphoma - Hypersensitivity pneumonitis - HIV - Toxoplasmosis
84
Investigations for sarcoidosis
- Raised angiotensin-converting enzyme (ACE) - screening - Raised calcium - Imaging: CXR: hilar lymphadenopathy - Histology: bronchoscopy with USS-guided biopsy of mediastinal lymph nodes - non-caseating granulomas with epithelioid cells
85
Management of sacoidosis
- No/mild symptoms: conservative - 1st line: oral steroids 6 - 24m, biphosphonates to protect against osteoporosis - 2nd line: methotrexate - Lung transplant: severe pulmonary disease
86
Tuberculosis (TB)
Mycobacterium tuberculosis (rod-shaped - bacillus) Resistant to gram-staining (acid-fast) so Zeihl Neelsen stain RFs: close contact with active TB, immigrants from high TB areas, immunocompromised (HIV, immunoduppressant meds), homelessness, drug users, smokers, alcoholics
87
Presentation of TB
Chronic, gradually worsening symptoms Most with pulmonary disease + systemic symptoms Typical features: cough, harmoptysis, lethargy, fever/night sweats, weight loss, lymphadenopathy, erythema nodosum, spinal pain if spinal TB
88
Investigations for TB
Difficult to dx, as the bacteria grows v slowly in culture Two immune response tests: - Mantoux test - Interferon-gamma release assay Active diseases suspected: - CXR, cultures CXR: - Primary TB: patchy cosolidaton, pleural effusions and hilar lymphadenopathy - Reactivated TB: patchy/nodular consolidation with cavitation (gas-filled spaces) - Disseminated miliary TB: millet seed nodules distributed throughout lungs Cultures: - NICE = deep cough sputum samples (3x seperate) - Mycobacterium blood cultures - Lymph node aspiration or biopsy
89
Disease course of TB
When infected, several outcomes: - Immediate clearance - Primary active TB - Latent TB (presence of bacteria without symptoms or contagious) - Secondary TB (reactivation of latent TB) - Miliary TB - disseminated and severe
90
Management of TB
Latent TB: isoniazid anf rifampicin for 3 months, OR isoniazid for 6 months Active TB: RIPE R – Rifampicin for 6 months (red/orange urine/tears) I – Isoniazid for 6 months ((Im-so-numb - peripheral neuropathy, pyridoxine (vitamin B6) co-prescribed)) P – Pyrazinamide for 2 months (hyperuricaemia - gout + kidney stones) E – Ethambutol for 2 months (eye-thambutol - colour blindness and reduced visual acuity)