Paediatrics 🐀 Flashcards

(7 cards)

1
Q

A 6 year old boy presents with a rash for 1 day.
A photograph of the boy’s upper right thorax and arm is taken

a. List five (5) diagnostic features of this rash. (5 marks)

b. List five (5) likely causes for this rash. (5 marks)

c. List two (2) features of this disease that differentiates mild to severe disease. (2
marks)

A

Geelong 1

How well did you know this?
1
Not at all
2
3
4
5
Perfectly
2
Q

Question 9 (19 marks) 9 minutes

An 11 month old male presents with likely bronchiolitis.

a. State six (6) criteria that would lead you to seek admission to hospital. (6 marks)

b. What is the role of a chest Xray in a patient with suspected bronchiolitis? State three (3) points in your answer. (3 marks)

c. Assuming the patient is to be admitted and that you have referred to the Paediatric team, list three (3) management steps that you may commence in the emergency department. Provide one (1) justification for each step. (6 marks)

The next day, you are advised that the patient is diagnosed with confirmed meningococcal sepsis.

d. List three (3) different groups of people who should be offered contact prophylaxis. (3 marks)

e. In a case of Meningococcaemia, at what stage is notification to the public health department required? (1 mark)

A

Geelong 4

How well did you know this?
1
Not at all
2
3
4
5
Perfectly
3
Q

Question 2 (12 marks) 6 minutes

A 3 year old male presents to ED after refusing to weight bear on his right leg for the last 3 days.

a. List four (4) likely differential diagnoses for this presentation. (4 marks)

b. List four (4) investigations that you may perform in the emergency department. Provide one (1) justification for each choice. (8 marks)
- investigations
- justification

A

Geelong 5

How well did you know this?
1
Not at all
2
3
4
5
Perfectly
4
Q

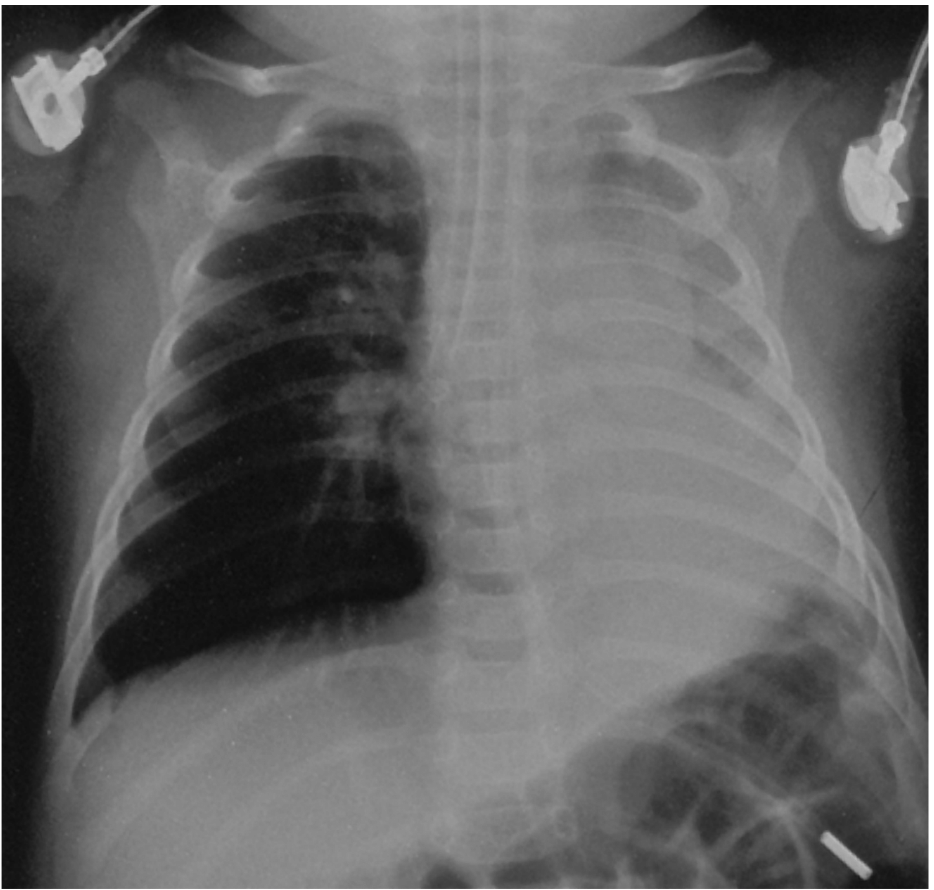
Question 5 (13 marks) 6 minutes

A 5 year old male presents to ED after an episode of near drowning. He is intubated on arrival and the Xray below is taken soon after intubation.

A CXR is taken.

a. State four (4) abnormal findings in this CXR. (4 marks)

His weight is 20 kg.

b. List the initial ventilator settings that you would commence. (5 marks)

45 minutes after instituting these settings, his Peak Inspiratory pressures are 50 cm H20.

c. State four (4) steps that you would perform to rectify this problem. (4 marks)

A

Geelong 5

How well did you know this?
1
Not at all
2
3
4
5
Perfectly
5
Q

A mother presents with her very distressed 18 month old child. The mother is concerned that the child may have eaten powder detergent from the dishwasher, 30 minutes ago.

The child appears to have ocular exposure to the washing powder.

d. Other than referral to Ophthalmology, list (5) steps in the management of this exposure. (5 marks)

e. List three (3) indications for urgent Opthalmological referral. (3 marks)

A

Geelong 3

How well did you know this?
1
Not at all
2
3
4
5
Perfectly
6
Q

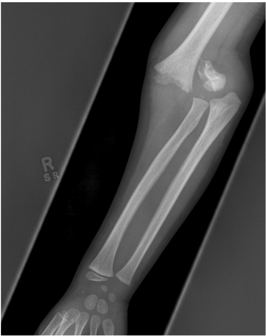
Question 7 (12 marks) 6 minutes

A 3 year old boy presents with right elbow pain following a fall from monkey bars.

An Xray is taken soon after arrival.

a. State four (4) abnormal findings shown on this Xray. (4 marks)

b. Assuming that there is neurovascular compromise, list five (5) steps to correct this problem. (5 marks)

c. List three (3) complications of this injury in the first 1 week post injury. (3 marks)

A

Geelong 5

How well did you know this?
1
Not at all
2
3
4
5
Perfectly
7
Q

Question 2 (12 marks) 6 minutes

A 4 year old male presents to the emergency department after having inserted a peanut into his nostril. The child is extremely distressed and will require chemical sedation for removal. The child weighs 20kg.

a. List your choice of preferred medication, route of administration and dose/s. (3 marks)

b. Other than over sedation, list four (4) possible complications of your preferred medication choice. (4 marks)

c. List five (5) indications for ENT removal of this nasal foreign body as opposed to removal in the Emergency Department. (6 marks)

A

Geelong 2

How well did you know this?
1
Not at all
2
3
4
5
Perfectly