Respiratory 🫁 Flashcards

(7 cards)

1
Q

A 72 year old male presents to ED with extreme shortness of breath. He has a history of
COPD and is otherwise well. He is 70kg. He has not been given any medications.

His observations are:
BP 130 mmHg
HR 120 /min
RR 36 /min
Temp 38.2 °C
GCS 15
a. List three (3) medications that you would consider using for his initial treatment. List
dose and route of administration (9 marks)

He does not respond to your treatment and requires intubation.
b. State your initial ventilator settings. (3 marks)
- Rate
- Tidal volume
- I+E ratio

c. State two (2) reasons for your choice of these ventilation settings. (2 marks)

A

Geelong 1

How well did you know this?
1
Not at all
2
3
4
5
Perfectly
2
Q

An 18 year old year old female presents with a 2 week history of malaise, cough and shortness of breath. A CXR shows a large right pleural effusion.

a. List four (4) likely differential diagnoses for this patient. For each diagnosis, state how the diagnosis would be confirmed. (8 marks)

b. List four (4) indications for therapeutic needle thoracocentesis in this patient. (4 marks)

A

Geelong 3

How well did you know this?
1
Not at all
2
3
4
5
Perfectly
3
Q

Question 9 (19 marks) 9 minutes

An 11 month old male presents with likely bronchiolitis.

a. State six (6) criteria that would lead you to seek admission to hospital. (6 marks)

b. What is the role of a chest Xray in a patient with suspected bronchiolitis? State three (3) points in your answer. (3 marks)

c. Assuming the patient is to be admitted and that you have referred to the Paediatric team, list three (3) management steps that you may commence in the emergency department. Provide one (1) justification for each step. (6 marks)

The next day, you are advised that the patient is diagnosed with confirmed meningococcal sepsis.

d. List three (3) different groups of people who should be offered contact prophylaxis. (3 marks)

e. In a case of Meningococcaemia, at what stage is notification to the public health department required? (1 mark)

A
How well did you know this?
1
Not at all
2
3
4
5
Perfectly
4
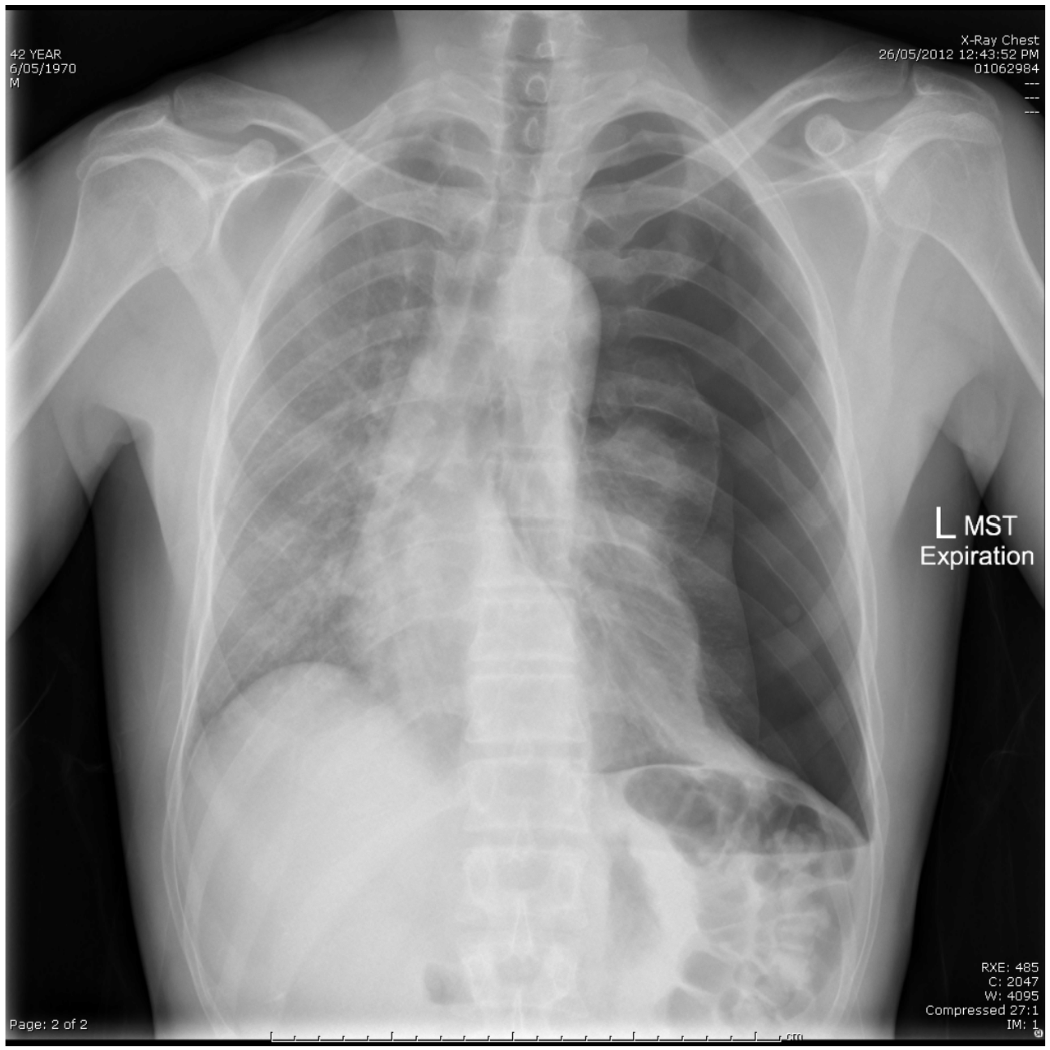
Q

Question 6 (12 marks) 6 minutes

An 18 year old male presents with chest pain. A CXR is taken- refer to the props booklet- page 4.

a. State two (2) abnormal findings shown in this xray. (2 marks)

b. State four (4) likely precipitating causes. For each cause, state the definitive management of the condition. (8 marks)

Soon after this xray is taken, the patient becomes distressed and is noted to have a BP of 75/40 with HR 170 /min.

c. State two (2) immediate steps in the treatment of this patient. (2 marks)

A
How well did you know this?
1
Not at all
2
3
4
5
Perfectly
5
Q

Question 4 (12 Marks)

A 20 year old known asthmatic has presented to your tertiary ED with an acute exacerbation of asthma. She was initially seen by your registrar and has been appropriately treated with supplemental oxygen, salbutamol (5mg X 5) and ipratropium (500mcg X 3) nebulisation and IV hydrocortisone 200 mg. She has failed to improve after 60 minutes of the above treatment. You have been asked to advise on a further course of action.

  1. List(4)othertreatmentoptionsforthispatient. (4 marks)

The patient continues to deteriorate and has become more obtunded with poor respiratory effort. You decide to proceed with intubation.

2- List(4)stepsyouwilltaketooptimisethepatientbeforeproceedingwithRSI. (4 marks)

The patient’s BP drops to 80/ 40 immediately post intubation.

3- List(4)immediatemeasuresyouwilltaketomanagethis.(4marks)

A

FExNet

How well did you know this?
1
Not at all
2
3
4
5
Perfectly
6
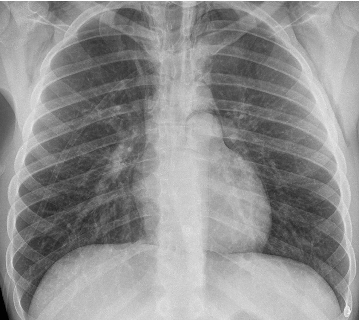
Q

Question 5 (11 marks) 6 minutes

A previously well 23 year old is brought to your ED acutely short of breath after developing left sided chest pain.

A Chest xray is taken on arrival- refer to the props booklet- page 2.

a. State five (5) abnormalities shown on this xray. (5 marks)

b. List three (3) key steps in your treatment of this patient. State one (1) justification for each step. (6 marks)

A

Geelong 8

How well did you know this?
1
Not at all
2
3
4
5
Perfectly
7
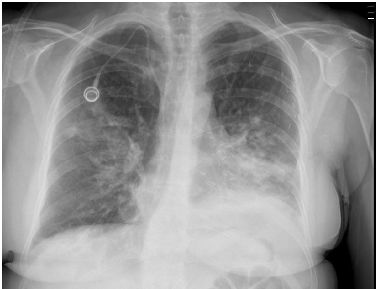
Q

Question 9 (18 marks) 9 minutes

A 48 year old female presents to ED with shortness of breath. This xray is taken soon after arrival.

A CXR is taken- see props booklet- page 4.

a. State six (6) abnormal findings on this CXR. (6 marks)

The patient has a temperature of 39°C.

b. List five (5) factors that would determine your antibiotic choice. (6 marks)

The patient requests to have a “Do Not Resuscitate” order.

c. State six (6) issues in relation to this request. (6 marks)

A

Geelong 2

How well did you know this?
1
Not at all
2
3
4
5
Perfectly