chronic pancreatitis
One of the key characteristics that is frustrating for patients is pain which can be intermittent, or constant or remitting. It’s a very heterogenous presentation
treatment of gallstones
cholecystectomy
pancreatic cancer on the body and tail

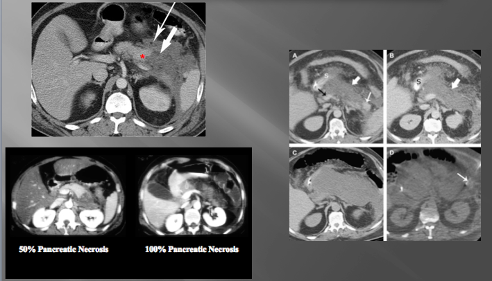
pancreatic necrosis
chronic pancreatitis mechanism
•
the misdirection of proenzymes
•There is a general category which includes the misdirection of proenzymes (zymogens). Instead of directing them to secretion, they are misdirected to lysosomes within the cell where they are prematurely activated to the active enzyme within the cell and lead to an autolytic destruction of the pancreas.

pancreatic pseudocyst
blood supply of the head and uncinate process of the pancreas?
celiac + SMA branches:

most common type of pancreatic cancer?
exocrine
adenocarcinoma
gastrinoma
medication induced pancreatitis
There are direct toxic metabolic defects to the acinar cells directly from a variety of different medications. Classic ones you see on exams will be HIV medications (HAART: highly active anti-retroviral therapy), thiazides for BP patients, and a number of other meds causing this.
how does acute pancreatitis present?
SIRS
I really want you to focus and think about pancreatitis as a systemic disease, and part of the systemic inflammatory response syndrome (SIRS)
insulinoma
We usually recommend resection if possible
location of the pancreas

treatment of choledocholithiasis (CBD stones)
ERCP
treatment of acute pancreatitis
Treatment of pancreatitis
ERCP
dorsal bud
•The dorsal pancreas eventually gives rise to the body and tail of the pancreas, and a small amount of the head.


Interstitial pancreatitis
•
annular pancreas
Annular pancreas

venous drainage of body and tail of pancreas?

main pancreatic duct

intraductal papillary mucinous neoplasm
One variant of mucinous cystadenoma is IPMN (intraductal papillary mucinous neoplasm)
