Path Flashcards

(168 cards)

1
Q

histology of PBC

A
  1. florid duct lesion
  2. granulomatous inflammation
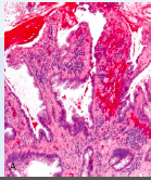
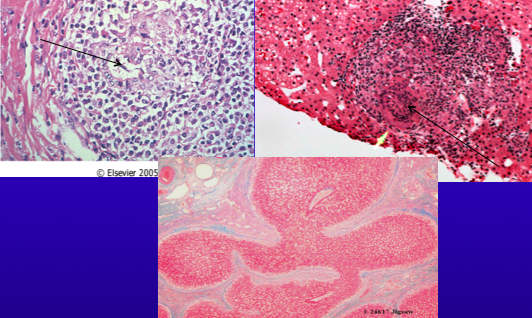
  • Histology of PBC: the pt has high antimitochondrial antibodies. He has a granulomatous inflammation [top right image – black arrow points to the granuloma]. You have a destruction of the bile duct – the bile duct is no longer intact in the top left image [black arrow].
  • In the bottom image you can see the jigsaw puzzle cirrhosis – very unique for PBC.
How well did you know this?
1
Not at all
2
3
4
5
Perfectly
2
Q

risk for cholesterol gallstones

A

older

female (estrogens) - OCPs

obesity and metabolic syndromes

rapid weight loss

gallbladder stasis

How well did you know this?
1
Not at all
2
3
4
5
Perfectly
3
Q

inflammatory polyps histo

A

reactive/regenerative

epithelial changes with inflammatory infiltrates in lamina propria

non neoplastic

How well did you know this?
1
Not at all
2
3
4
5
Perfectly
4
Q

intragastric balloon

A

restrictive

restricts food intake for 60 months - 20-40 lbs lost

How well did you know this?
1
Not at all
2
3
4
5
Perfectly
5
Q
A

hemorrhoids

secondary to elevated venous pressures

straining at defecation or pregnancy or portal htn

thin walled dilated submucosal vessels beneath anal or rectal mucosa

How well did you know this?
1
Not at all
2
3
4
5
Perfectly
6
Q

Types of bile duct epithelial lsions

A

bile duct adenoma - benign

cholangiocarcinoma - malignant

How well did you know this?
1
Not at all
2
3
4
5
Perfectly
7
Q

invasive adenocarcinoma

A

if lesion penetrates muscularis mucosa

metastatic potential

How well did you know this?
1
Not at all
2
3
4
5
Perfectly
8
Q

anal condyloma

A

squamous papilloma caused by HPV

papillary gorwth

enlarged keratinocytes w central hyperchromatic wrinkled nucleus

How well did you know this?
1
Not at all
2
3
4
5
Perfectly
9
Q

aflatoxins

A

in food can cause damage

  • The primary food contaminants are aflatoxins, which are especially seen in developing countries
  • If peanuts in particular go bad, it can cause a certain fungal infestation that can produce aflatoxins and AFB1
  • This aflatoxin can directly cause a mutation in the p53 tumor suppressor gene
  • The 249ser gene mutation is very unique for aflatoxic damage
  • This aflatoxin toxin can react synergistically with HBV infection
  • Aflatoxin in the liver, in human cells, can induce much more damage related to HBV infection
  • In another sense, this can also mean that aflatoxin prevalence parallels that of HBV infection
  • In the area that has high HBV infection, you have high incidence of the toxin

How well did you know this?
1
Not at all
2
3
4
5
Perfectly
10
Q

stellate cells

A

in space of disse

  • Stellate cells, under normal conditions, are very quiet; they store some fat and minerals
  • When the activate, they become fibroblasts and produce collagen, which can eventually cause fibrosis leading to cirrhosis, which we will discuss later

How well did you know this?
1
Not at all
2
3
4
5
Perfectly
11
Q

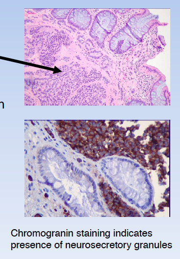
carcinoid tumors

A

neuroendocrine

from endocrine stem cell in crypt

more indolent than carcinoma

can make many bioactive things

How well did you know this?
1
Not at all
2
3
4
5
Perfectly
12
Q

hereditary non-polyposis colon cancer

A

i.e. lynch syndrome

increased risk of many cancers

colorectal cancers often multiple at young age in right colon

inherited germline mutations in DNA repair caretaker

most common syndromic form of colon cancer

How well did you know this?
1
Not at all
2
3
4
5
Perfectly
13
Q

sessile polyps

A

tumoral masses or nodules which project into the lumen, usually refers to epithelial lesions

sessile polyps have a broad pase

How well did you know this?
1
Not at all
2
3
4
5
Perfectly
14
Q
A

PBC

  • Histology of PBC: the pt has high antimitochondrial antibodies. He has a granulomatous inflammation [top right image – black arrow points to the granuloma]. You have a destruction of the bile duct – the bile duct is no longer intact in the top left image [black arrow].
  • In the bottom image you can see the jigsaw puzzle cirrhosis – very unique for PBC.

How well did you know this?
1
Not at all
2
3
4
5
Perfectly
15
Q

hyperplastic polyps etiology and location

A

non neoplastic!

age 60-70, asymptomatic

*left colon and rectum

How well did you know this?
1
Not at all
2
3
4
5
Perfectly
16
Q

adenoma

A

precursor of colorectal adenocarcinoma

tubular, villous, tubulovillous

risk of malignancy with size, architecture, dysplasia

familial, higher chance with age

How well did you know this?
1
Not at all
2
3
4
5
Perfectly
17
Q

pathogenesis of hepatocellular adenoma

A

idiopathic

female hormones (contraceptoves)

How well did you know this?
1
Not at all
2
3
4
5
Perfectly
18
Q

acute cholecysitis

A

acute inflammation of the gallbladder

90% from obstruction of the neck of the cystic duct by stones (calculus cholecystitis)

10% from ischemia of systic aretey

sepsis, immunosuppression, trauma, diabetes, nfection

How well did you know this?
1
Not at all
2
3
4
5
Perfectly
19
Q

budd chiari syndrome

A

hepatic venous outflow obstruction

blockage of 2 major hepatic veins

passive congestion and centrilobular necrosis

  • This is a typical presentation for Budd-Chiari Syndrome.
  • [top left image] Here is a thrombus. If the vessel is blocked, you cause congestion of blood. The blood spills over from the sinusoids and damages the hepatocytes.
  • [bottom left image] This is partial. You can see the thrombosis [black arrow]. If you block the left hepatic vein, you cause damage to the left lobe [the darker left portion of the liver shown].
  • Histologically, you can see the ischemia in the liver parenchyma [right images]. The hepatocytes are gone b/c the oxygen is depleted. There are no nutrients, causing damage.
How well did you know this?
1
Not at all
2
3
4
5
Perfectly
20
Q

juvenile polyp

A

hamartomatous non-neoplastic polyps

30-50% of patients develop AC by age 45

usually sporadic in kids under 5

usually in rectum

in adults: “retention polyp”

can mean there is a rare polyposis syndrome

How well did you know this?
1
Not at all
2
3
4
5
Perfectly
21
Q

colon polyp:

A

tubular adenoma

neoplastic/premalignant

epithelial cells fail to mature as migrate to crypt surface

crowded disorganized rounded glands, numerous goblet cells and enlarged hyperchromatic nuclei

How well did you know this?
1
Not at all
2
3
4
5
Perfectly
22
Q

dysplastic change

A

before hepatocellular carcinoma

  • In 10 to 30 years, you can have a clear preneoplastic change (pre-neoplasia)
  • It does not necessarily have to go through an adenomatous change; the adenoma is a different animal
  • That is called a dysplastic change
  • You will see high- or low-grade dysplasia before HCC
  • There may be another 3-5 years before the hepatocytes become dysplastic
  • Most of the time, the process will stop here à the patient will not develop cancer
  • However, a certain percentage of patients pass that boundary over another 5-10 years and progress on to hepatocellular carcinoma (neoplasia)

How well did you know this?
1
Not at all
2
3
4
5
Perfectly
23
Q

neoplastic lesion

A
  • If the proliferation goes out of control without a boundary or limits, you get neoplastic disease
  • Benign disease
  • Adenoma
  • Hemangioma
  • Malignant disease
  • Metastasis
  • Primary hepatocytic carcinoma, ductal carcinoma, cholangiocarcinoma
How well did you know this?
1
Not at all
2
3
4
5
Perfectly
24
Q

histo in cronkhite-canada syndrome

A

mortality in 50-60%

cystically dilated crypts w marked inflammation

mucosa adjacent to polyps also shows cystic dilation

How well did you know this?
1
Not at all
2
3
4
5
Perfectly
25
Histo in cowden syndrome
stroma rich polyp with cystically dilated crypts risk of colon cancer = gen pop
26
chronic pancreatitis pancreas is hard w extremely dilated ducts and visible calcifications
27
hematochromatosis ## Footnote * You do a biopsy on this pt. This is what you see in the liver biopsy. * This is the brown colored deposit [black arrow in left image]. It is iron. * If you are not sure, do an iron stain [right image].
28
angiosarcoma risk factors
* Some major risk factors in the United States include exposure to vinyl chloride * This used to be used in the plastic industry, but no longer * If there is contamination in the water, this can potentially cause development of angiosarcoma * Exposure to thorium dioxide, which was previously used as contrast for radiology, is also associated with angiosarcoma * Now we know this is associated with this disease, so it has been banned * Arsenic and arsenite can also cause angiosarcoma, particularly in developing countries where these can contaminate food
29
nodular regernative hyperplasia pathogenesi
similar to FNH - adaptive parenchymal hyperplasia due to heterogenous distribution of blood flow ## Footnote * Top left: wedge resection with a multiple nodular appearance * The yellowish tissue is liver parenchyma * There is some bile staining (green) * Bottom left: the trichrome stain shows a nodule almost separated by incomplete septa * It is not like cirrhosis * Cirrhosis, by definition, is a completely separate nodule * Top right: high power view shows a nodular appearance * There is a central area; a central vein * Around the area are the proliferative hepatocytes * There is still a portal tract with a bile duct à it is hyperplastic, not neoplastic * Bottom right: reticulin stain highlights the hepatocytes * This is classic for nodular regenerative hyperplasia (NRH) * This is not a neoplastic process
30
nodular regenerative hyperplasia ## Footnote * Top left: wedge resection with a multiple nodular appearance * The yellowish tissue is liver parenchyma * There is some bile staining (green) * Bottom left: the trichrome stain shows a nodule almost separated by incomplete septa * It is not like cirrhosis * Cirrhosis, by definition, is a completely separate nodule * Top right: high power view shows a nodular appearance * There is a central area; a central vein * Around the area are the proliferative hepatocytes * There is still a portal tract with a bile duct à it is hyperplastic, not neoplastic * Bottom right: reticulin stain highlights the hepatocytes * This is classic for nodular regenerative hyperplasia (NRH) * This is not a neoplastic process
31
* See the pink globules [black arrow in left image] – protein structures within the hepatocytes. * If you do a special stain PASD, you would see the pink proteins [black arrow in right image], which are glycoproteins, stuck in ER and cannot be transported outside of the ER for further processing. * Another hereditary disease is a1-antitrypsin deficiency. It is another autosomal recessive disorder. The gene is on chromosome 14, encoding a protease inhibitor. * The abnormal protein that is produced cannot be folded properly. Proteins are synthesized in the ER, but this mutated protein cannot be processed well. It is stuck in the ER and cannot get out. It forms a globule. * Wild type genotype is normal; most common mutant is PiZZ. * Histologically, will see round globules depositing in hepatocytes. •
32
adenocarcinoma on left side of colon symptoms
occult blood in stool change in powel habits "napkin ring" tumors obstruction uncommon
33
endoscopic gastroplasty
endoscopy with stitch device that stitches stomach closed to make it smaller safe
34
micronodular cirrhosis
35
intraductal papillary mucinous neoplasm pancreas
36
chronic cholecystitis
persistant inflammation of the gallbladder wall almost always associated w gallstones
37
metastatic carcinoma
38
portal fibrosis stage 1 ## Footnote * , there’s a significant amount of portal fibrosis (collagen) here * It’s stage 1 because you don’t see any fibrosis above the portal tract
39
pathology and degrees of HCC
* The degree of cellular differentiation is very important for patient prognosis * If the tumor cells have very similar cytology to the hepatocytes, they are well-differentiated * The cells can be recognized as hepatocytic in origin * The other extreme is poorly differentiated—you cannot tell that the tumor cells came from liver; you cannot recognize the liver at all * In the middle is moderately differentiated * This is very important for the hepatologist to know when the patient is diagnosed with HCC * Other important pathologic features for this disease include vascular invasion * All hepatic surgeons know that if the patient has vascular invasion, the patient has a very poor prognosis * The lesion may contain bile * Top left: well-differentiated hepatocellular carcinoma * This is obviously from the liver; it looks like hepatocytes * Bottom: poorly-differentiated HCC * You cannot tell that this tumor is derived from the hepatocytes * Top right: moderately differentiated * This looks like a tumor, but you can still recognize that this is hepatocellular in origin * There is cribriforming, a very high N/C ratio * Well-differentiated carcinoma has a very good prognosis * After resection, you probably do not need chemotherapy * For a poorly-differentiated carcinoma, the patient needs adjuvant therapy (post-surgical treatment); this may be chemotherapy or radiation
40
mucinous cystic neoplasm
pancreas slow growing mass in the tail of the pancreas cystic cavities villed w mucin cysts lined by columnar mucin-producing epithelium associated w dense stroma no commnication w pancreatic ducts can progress to invasive adenocarcinoma
41
histology of polyps in juvenile polyposis
dilated crypts filled w mucin and inflammatory debris lamina propria expansion by mixed inflammatory infiltrate
42
angiosarcoma
* Angiosarcoma is a malignant type of hemangioma * This is a very uncommon disease * It is a malignant tumor arising from the endothelial lining * Grossly, it is usually a grey-white tumor with hemorrhagic areas * It affects the vessel multicentric with both lobes involved 70% of the time grey white tumor with hemorrhagic areas
43
mucinous adenocarcinoma
44
syndrome criteria for juvenile polyposis
more than five juvenile polyps in the colon or erectum
45
Types of vascular lesions
* Hemangioma: people think of this as a hamartomatous change, but most people think of this as proliferation of the endothelial lining * Angiosarcoma is a malignant type of hemangioma
46
HCV lymphoid aggregate (sometimes seen in hep B) bile duct epithelial cell proliferation •You have a lymphoid aggregate [black arrow in left image], which is clinically a very important hint for the diagnosis of Hep C infection. If you see this plus bile duct epithelial cell proliferation [green arrows in right image] – normally you have one, but here you have multiple – this is very typical for Hep C. •
47
villous adenoma
48
pathogenesis of focal nodular hyperplasia
parenchymal hyperplasia * Parenchymal hyperplasia resulting from **abnormal blood flow** * In certain areas, there is an arterial abnormality with a thicker wall; more blood comes to the area with more oxygen and nutrients This particular area has a high proliferative potential and can form very large lesions * This is associated with female hormone stimulation: **estrogen** * This is due to high estrogen receptor protein expression in the affected area * These receptors respond to hormone stimulation
49
budd chiari syndrome and veno-occlusve disease ## Footnote * This is a typical presentation for Budd-Chiari Syndrome. * [top left image] Here is a thrombus. If the vessel is blocked, you cause congestion of blood. The blood spills over from the sinusoids and damages the hepatocytes. * [bottom left image] This is partial. You can see the thrombosis [black arrow]. If you block the left hepatic vein, you cause damage to the left lobe [the darker left portion of the liver shown]. * Histologically, you can see the ischemia in the liver parenchyma [right images]. The hepatocytes are gone b/c the oxygen is depleted. There are no nutrients, causing damage.
50
cholangitis
bacterial infection in the bile ducts
51
•portal fibrosis with septal formation In stage 2, in addition to the fibrosis in the portal tract, you see some fibrosis penetrating into the liver parenchyma •We call this septal formation
52
pathogenesis of hemangioma
* It is a congenital disease that is sometimes characterized by hormone-promoted growth * As a result, you need to closely monitor pregnant women with hemangiomas * The hemangioma can grow to be very large and compress the fetus, particularly late in pregnancy
53
HBV ## Footnote * There is a specific histology associated with Hep B. * For Hep A, it is not chronic so we don’t usually do biopsy. If you do a biopsy, you see acute hepatitis, which has no specific features. * Hep B has a unique feature: ground glass cytoplasm. This [black arrow in left image] is ground glass cytoplasm, which contains lots of viral hepatitis surface antigens. If you do an immunostain for the surface antigens, they will show up like this [black arrow in right image]. •
54
pathology of metastatic carcinoma
mult nodular metastases causing hepatomegaly central necrosis (outgrow blood supply) cells usually resemble primary (not hepatic) tissue
55
histology of polyps in peutz-jeghers
large, pedunculatd arborizing network of CT, SM, glands with normal epithelium
56
autoimmune hepatitis prominent plasma cell infiltrate central lobular necrosis/bridging necrosis increase in serum auto ab titers * Autoimmune hepatitis is unique clinically b/c it normally occurs in young women and postmenopausal women. Men can have it but at a much smaller percentage. * Histologically, it shows prominent plasma cell infiltrate [left image]. Plasma cells produce antibodies – that’s why it is autoimmune. They produce antibodies against the human antigen. * Another feature is the central lobular necrosis or bridging necrosis [right image]. This is the central vein [see label]. There are tissue and cells surrounding the central vein which is damaged and collapsed. * To make a diagnosis, you have to have an autoantibody increase in the serum, ANA, SMA and some other autoantibodies. * [Inaudible student question: “What is the difference…”] Answer: No, these are plasma cells [points to left image]. Plasma cells are mature lymphocytes. If an antigen stimulates the lymphocytes, they turn into plasma cells which produce antibodies. This is why it is autoimmune, different from Hep B or Hep C or drug toxicity. [Student: “They still look the same to me.”] Plasma cells are morphologically different from lymphocytes, which have small nuclei and very limited amount of cytoplasm. Plasma cells have a lot of cytoplasm and contain antibodies. Pathologists can look at these and immediately tell they are plasma cells.
57
angiosarcoma ## Footnote * Histologically, the tumor is extensively infiltrating, anaplastic-like, with spindle cells derived from blood vessels * The tumor is growing around the sinusoids * You cannot recognize any hepatocytic architecture; the hepatocytes are all damaged, or have been replaced by the malignant cells * This can sometimes form a solid mass, infarct, atrophy and fibrosis
58
intramucosal carcinoma in adenoma
lamina propria invasion little or no metastatic potential
59
cholelithiasis
gallstones within lumen of gallbladder or in extrahepatic billiary tree most are non symptomatic made of cholesterol or pigmented (Ca-bilirubin)
60
Attenuated FAP
fewer polyps (average 30) 50% lifetime risk
61
sessile serrated adenoma location and etiology
right colon! 50-60, asymptomatic neoplastic
62
etiology of chronic pancreatitis
chronic alcoholism long standing obstruction autoimmune disease idiopathic
63
* Bottom: the high power view shows a poorly differentiated hepatocellular carcinoma * Compare to normal hepatocytes in the hyperplastic lesion; these hepatocytes have lost their normal, recognizable architecture * It has a clustered, infiltrative pattern * There is a single artery at bottom left, but with no bile duct
64
high grade dysplasia - carcinoma in situ (in adenoma)
does not metastasize, clinically benign
65
hepatocellular adenoma
* This is also well-demarcated, but there is no central scar * capsulated!! unlike FNH neoplastic!! * One very important feature of this disease is that there is no normal portal triad * Because this is a neoplastic disease, this disease has an unpaired artery without a bile duct companion * No bile duct, only an artery We have a prominent vessel and draining vein
66
adenoma polyps histo
epithelial dysplasia nuclear hyperchromasia elongation and stratification sessile or pedunculated tubular, tubulovillous, villous neoplastic
67
most common primary sites of metastatic carcinoma of the liver
colon, breast, lung any cancer in any site except leukemia and lymphoma
68
intraductal papillary mucinous neoplasm
pancreas mucin-producing epithelial neoplsm from major pancreatic ducts or branches more common in the head of the pancrease and in men can progress to invasive carcinoma
69
most common mutation in sporadic colon cancer?
APC - left sided!! 70-80%
70
ballooning degeneration
hepatocyte swelling by failed osmoregulation rupturing of hepatocyte
71
dietary factors in adenocarcinoma
low intake of veggie fiber --\> decreased stool bulk/altered bowel microbiota --\> increase synthesis of toxic oxidative by-products of bacterial metabolism high intake of carbs and fat --\> enhance hepatic synthesis of cholsterol and bile acids --\> converted in carcinogens by intestinal pacteria
72
microsattelite instability
**caretaker patheway** DNA mismatch repair pwathway HNPCC = germline MLH1, MSH2 can be acquired 1. germline or somatic mutations of mismatch repair genes 2. alteration of 2nd allele 3. microsatellite instability/mutator phenotype
73
stage 3 portal to portal bridging fibrosis 2 portals connected by thin fibrous bands * In bridging fibrosis, you can see the fibrosis trying to form nodules but they’re not completely separated yet. * This is stage 3
74
familial adenomatous polyposis mutation
APC gene
75
How does alcoholism lead to HCC?
* Alcoholism causes damage directly and indirectly * Indirectly, alcohol can be metabolized by CYP450 (2E1) and produce intermediate components called reactive oxygen species (ROS) * These ROS are very active and can damage the proteins and DNA, causing DNA instability * Side note: this is important in lipid metabolism, but causes damage in this context * There is also production of an intermediate factor called acetaldehyde, which can also cause protein and DNA damage * DNA damage can cause cellular transformation, which can persist and eventually cause the mutation that leads to oncogenesis
76
intrahepatic cholangiocarcinoma
less common (8-13%) ## Footnote * If there is intrahepatic cholangiocarcinoma, the patient presents clinically with abdominal pain, gradually growing mass lesions, and progressive jaundice * Again, this is very nonspecific * Prognosis is very bad * This disease is very hard to pick up early on * When you identify this disease, it is usually later stage
77
anal intraepithelial neoplasia
AID HPV neoplastic proliferation of squamous cells confied to anal mucosa high N/C ratio desaturation mitotic figures above basal layer (more immature cells in high grade)
78
cirrhosis = stage 4 of fibrosis ## Footnote * In stage 4, there’s going to be cirrhosis * As comparison, this is normal (left) * The surface is very smooth with normal contour. Histologically, it has normal architecture. * In cirrhosis, you can see the formation of nodules * If you did a biopsy, you’ll see these nodules surrounded by fibrotic bands
79
colonic adenocarcinoma
most common malignancy of the GI tract 2nd to lung cancer deaths in US peaks in 60s and 70s
80
management if carcinoma occurs in a pedunculated adenoma?
endoscopic polpectomy adequat if : superficial tumor not close to margin no vascular/lymph invasion not poorly differentiated
81
serous cystadenoma pancreas
82
tubular adenoma colon
83
hyperplastic polyps histo
serration in the upper third mature goblet cells and absorptive cells non neoplastic
84
bile duct adenoma
benign, no treatment - incidental finding! ## Footnote * These bile duct adenomas are often recognized during laparoscopic examination such as during cholecystectomy * Clinically, bile duct adenoma can mimic carcinoma * If you do a CT scan and are not aware that the patient has this, you may think that the patient has carcinoma * These are grey-white firm nodules that are usually well-demarcated, but not necessarily * They are usually composed of circular bile duct-like structures with fibrous stroma
85
2 pathways of colorectal carcinogenesis
APC/Beta catenin --\> chromosomal instability DNA mismatch repair --\> microsatellite instability stepwise accumulation of multiple mutatios
86
histo of drug toxicity
central necrosis or diffuse necrosis (need transplant or die) lobular inflammation parenchymal necrosis bile duct damage and prolf
87
tubular adenoma
most in colon (90%) low grade dysplasia = adenoma smaller - sessile and smooth larger - pedunculated, lobulated stalk = fibroconnective tissue and vessels covered by non neoplastic mucosa
88
PSC peri-ductal or onion skinning
89
histology of fulminant hepatitis
* This is what you see from the biopsy * The liver parenchyma is totally gone; this is near total necrosis with the liver parenchyma totally destroyed * You may have a few remaining hepatocytes, but they aren’t functioning and the patient isn’t going to survive * The patient is on life support and needs a liver transplant •
90
colon polyp?
hyperplastic polyp non neoplastic delayed shedding of epithelial cells result in crowding and tufting toward surface of the crypt elongated crypts with tufting serrated surface lined y mature goblet cells and absoroptive cells
91
labs increased in hepatocellular injury/hepatitis
transaminases and bili viruses, alcohol, drugs, metabolic
92
chronic pancreatitis
inflammatory process of pancreas resulting in irreversible losss of exocrine and endocrine function
93
sqamous cell carcinoma increasing incidence HPV lymph node metastasis
94
what is the most common syndromic form of colorectal cancer?
HNCCS herediatry nonpolyposis colorectal cancer syndrome
95
cholelithiasis factors and mech
cholestrol supersaturation - high Ch output - decreased bile acid synthesis - gallbladder hypomobility - excessive mucus
96
pathogenesis of HCC
–Nearly always develops in the setting of chronic hepatitis or cirrhosis resulting from the following risk factors * Viral infection (HBV, HCV) * Chronic alcoholism * Food contaminants (primarily aflatoxins) * Genetic disorders (hemochromatosis, Wilson’s, tyrosinemia). –**Repeated cycles of cell death and regeneration, resulting in genetic alterations.** Viral gene integration into human genome
97
complications of chronic pancreatitis
pleural effusions pseudocyst diabetes fat malabsprotton stones in panc duct pancreatic calcification pain from perineural fibrosis
98
ascending colon polyp smooth, rounded protrusion above the surrounding mucosa
99
Treatment of HCC
* **Resection**: if localized and well-demarcated, particularly in the early stages, you can resect the tumor * Some of these patients have a very good prognosis, especially if the pathology says it is well-differentiated * Follow these patient with testing (AFP) * **Chemoembolization**: if the tumor is very large and non-resectable, chemoembolization * If the patient wants a transplant, chemoembolization is often used first * **Radioablation**: this is one modality used to treat patients who have a diffuse lesion that cannot be resected * If the patient has a diffuse lesion and chemotherapy is not effective, radioablation is an option **•Liver transplantation**: this is a promising modality of treatment * This has a very high survival rate, much higher even than resection alone * Treatment options rely on correct pathological diagnosis and staging: well-differentiated, poorly-differentiated, vascular invasion, clear margins, etc.
100
labs in billiary tract injury
alk phos, GGT, bili increased drugs, congen, metabolic, immune, trauma
101
kuppfer cells
* Kupffer cells are also very important; kind of act as macrophages, which engulf damaged cells, particularly hepatocytes (such as in Hepatitis) * The can also engulf certain things like ions and small mineral compounds • •
102
mechamism of acute pancreatitis for chronic pancreatitis
necrosis and fibrosis repeated episodes of acute panc
103
Major differences between FNH and Hepatic Adenoma
* FNH is a hyperplastic lesion; there are portal triads present * Hepatic adenoma is a neoplastic lesion without portal triads; it has unpaired arteries * These are otherwise very similar in terms of their clinical presentation and epidemiology * Clinical follow-up is also very similar
104
acinar cell carcinoma
pancreas like normal acinar cells, form zympgen granules and produce exocrine enzymes (trypsin and lipase) metastatic fat necrosis caused by the releae of lipase into the circulation
105
peutz-jeghers
hamartomatous (non neoplastic) - juvenile polyps risk of gastric, SB, colonic, pancreatic AC sporadic and syndromic is an autosomal dominant genetic diseasecharacterized by the development of benign hamartomatous polyps in the gastrointestinal tract and hyperpigmented macules on the lips and oral mucosa (melanosis).[1] entire GI tract! meanotic skin and mucosal pigmentation higher risk of carcinoma: pancreas, breast, lung, ovary, uterus intussusception
106
adenocarcinoma on right side of colon symptoms
fatigue iron deficiency mass obstruction uncommon
107
pedunculated polyps
tumoral masses or nodules which project into the lumen have a stalk epithelial lesions
108
mallory hyaline
collapsed, dense condensation of cytoskeletal proteins in the cytoplasm of hepatocytes
109
clinical course of angiosarcoma
aggressive - high rate of metstases 20% survival at 5 years
110
extrahepatic cholangiocarcinoma
symptoms associated w bile obstruction and mass klastskin tumor - located at bifurcation of right and left hepatic ducts * This can be identified early on because they block the bile duct and cause jaundice * The symptoms are usually associated with bile duct obstruction and mass lesion * Klatskin tumors are located at the bifurcation of the main hepatic duct * If that area is blocked, no bile can be secreted * This can immediately cause abdominal pain and jaundice à the image shows the sclera of the patient are yellow * If found early on, this indicates the need for surgery * Surgery is not a cure, but you can at least resect the tumor
111
what is concisdered a hamartomous polyp? tubulovillous adenoma cloacogenic polyp sessile serrated adenoma juvenile polyp
juvenile polyp
112
clinical course of focal nodular hyperplasia
usually asymptomatic/incidental mild abdominal symptoms can rupture **no malignant potential**
113
histology of ductal adenocarcinoma
tubular structures in abundant desmoplastic stroma solid firm infiltrative tumors w ill defined borders
114
acidophil body
a single apoptotic hepatocyte in acute hepatitis
115
focal nodular hyperplasia
well-circumscribed lesion with a central scar central grey-white depressed stellate scar lympocytic infiltrates normal hepatocytes!! no association w cirrhosis
116
pancreatic neuroendocrine tumors (PEN)
clinically - attacks of hypoglycemia, CNS system manivestation 90% benign functional - hormone production (insulin, glucagon, somatostatin) nonfunctional - larger lesions at diagnosis malignancy - mitotic activity
117
hyperplasia
* Hyperplasia is proliferation of cells with limits * Hyperplasia is either epithelial or fibroblastic proliferation * There is a boundary; at a certain number of cells or certain number of divisions, these cells stop proliferating * In the liver, you can have hepatocytic proliferation like: **•Focal nodular hyperplasia (FNH)** **•Nodular regenerative hyperplasia (NRH)**
118
Nodular Regernerative Hyperplasia
•Hepatocellular nodules distributed throughout the liver in the absence of fibrous septa between the nodules Diffuse nodular lesions throughout the liver * The hepatocytes are plump and very enlarged * The reticulin stain highlights changes in the hepatocellular architecture, which takes on a nodular appearance
119
* These are a few examples of hepatocellular carcinoma * Top left: single nodule, appears well-demarcated * Top right: another nodule * Two nodules are separated by a thin septa * This is not well-demarcated à it has a very irregular border * Bottom left: several nodules, diffuse changes * Bottom right: large nodule with satellite lesions * This is a sign of intrahepatic metastasis * There are different types, shapes and demarcations
120
risk for pigment gallstomes
biliary infection ileal disease (crohn, resection, CF)
121
choledocholithiasis
the presence of stones in the bile duct of the biliary tree
122
Classic FAP
100-2500 tubular adenomas 100% risk of carcinoma early detection, prophylactic colectomy
123
clinical course of hepatocellular adenoma
asymptomatic or abdominal symptoms intrahepatic mass mistaken for the carcinoma can rupture rare association with hepatocellular carcinoma
124
carcinoma of the gallbladder
rare, poor survival (1%) major risk factors: gallstones, crhonic infection adenocarcinoma
125
What is the most common malignancy in the liver?
metastatic disease
126
sessile serated adenoma histo
serration throughout the full length of the crypt lined by goblet cells wihtout cytologic features of dysplasia neoplastic
127
acute cholecystitis serosal congestion, fibrinous exudates, edema red purple mucosa edema necrosiss
128
serous cystadenoma
multicystic neoplasms that usually occur in the tail of the pancreas cysts are small, lined by glycogen rich cuboidal cells with clear, thin, straw colored fluid amost always benign **VHL**
129
cronkhite-canada syndrome
polyp syndrome - non neoplastic nonherediatry! unknown cause polyps in stomach and small colon diffusely nodular mucosa
130
mechanism of alcohol for chronic pancreatitis
increases protein concentrations in the pancreatic juice --\> obstruction free radicals cause membrane lipid oxidation, fusion of lysosomes and szymogen granules, acinar cell necrosis and fibrosis toxic: alchol directly has toxic effects on acinar cells
131
Types of hepatocellular lesions
adenoma - benign carcinoma - malignant
132
chromosomal instability
**gatekeeper pathway** CIN FAP, germline APC inactivation can have multigene acquaired in activation 1. "first hit" = germline or somatic mutations of cancer suppressor genes 2. methylation abnormalities - inactivation of normal alleles 3. protoncogene mutations
133
clinical features of chronic pancreatitis
repeated episodes of severe abdominal pain persistant abdominal and back pain recurrent attacks of jaundice vague attacks of indigestion weight loss
134
chronic cholecystitis chronic inflam and fibrosis of the wall
135
bile duct adenoma ## Footnote * Top right: if you take one slice from the tissue at left, you see clusters of bile ducts * This is benign bile duct proliferation * Bottom: high power view * This is benign * The proliferative index is very low; there are no mitotic figures * This is a benign lesion
136
Histology of PSC
periductal or onion skinning fibrosis
137
mucinous cystic neoplasm pancreas
138
choledochal cyst
gallbladder congenital dilations can lead to obstructive jaundice, pain, abdominal mass
139
adenoma polyps etiology and location
30% of adults by age 50 60-75% distal to splenic flexure, more proximal with age neoplastic
140
most important prognostic factor for CRC?
depth of invasion and lymph node metastasis early detection and resection is a curative therapy
141
inflammatory polyps mechanism, etiology and location
age 20-50 excessive straining, rectal bleeding, mucus discharge anterior rectal wall - prior injury and healing non neoplastic
142
•focal nodular hyperplasia If you section one piece of tissue and look at it histologically for microscopic evaluation, what do you see? * Top left: well-circumscribed lesion * Top right: a central scar composed of fibrous tissue à by definition, a scar is fibrotic tissue that replaces normal parenchyma * In the middle, there are some thicker-walled blood vessels * This is a vein or artery à it is a thicker-walled vessel * Bottom left: on the edge of focal nodular hyperplasia, you see some inflammation and bile duct proliferation * Bottom right: if you do a special stain, you can highlight the fibrous tissue
143
* This hemangioma was resected * This is typical of a hemangioma à there is very hemorrhagic, sponge-like tissue * The tissue shows a lot of vasculature filled with blood * Bottom: the vasculature becomes large, sclerotic and fills with blood * Macroscopic: * These are usually solitary lesions, but there may be multiple lesions * Typically these are less than 3 cm in size, but can become very large à these are called giant hemangiomas * Microscopic: * Virtually all consist of vascular spaces * These are mostly venous-type
144
pancreas:
chronic pancreatitis fibrosis reduced number of acini chronic inflam infiltrate enlarged persistent islets dilated ducts w proteinaceous material
145
what is the most common neoplatic polyp in the bowel that has the potential to progress to cancer? inflam cloacogenic hyperplastic tubular adenoma
tubular adenoma
146
possible outcomes of liver injury
recovery hepatic failure fibrosis (scarring0 cirrhosis (diffuse fibrotic process through liver w formation of nodules and regen hepatocytes surrounded by bands of fibrosis
147
management if carcinoma in a sessile adenoma
endoscopic polypectomy is inadequate --\> surgery
148
Clinical course of nodular regernative hyperplasia
* Clinically, this is usually associated with portal hypertension * Patients can present with ascites and splenomegaly * Again, NRH is also associated with other conditions, such as lupus and Budd-Chiari disease * Certain people think this has malignant potential, but this is still controversial * To the lecturer, this will probably never become HCC because it is hyperplastic, not neoplastic
149
metastatic patterns of colon cancer
lymph nodes liver lung bone
150
wilson's disease copper depsition in liver * This is what you see if you do a biopsy. Slightly different from hematochromatosis. * You see darker, brownish deposits in the left image. * If you use a copper stain [right image], you will see the very brown, granular copper deposits.
151
**•Grossly:** * Cholangiocarcinoma usually occurs in non-cirrhotic liver, which distinguishes it from HCC * HCC usually occurs in a cirrhotic liver except in the case of HBV, which has oncoproteins that can integrate into the human host and can induce HCC without cirrhosis * The etiology of HCC is usually related to cirrhosis * The tumor is composed of a tree-like tumorous mass and is firm; it has a gritty, tumor surface **•Histology:** * This is a type of adenocarcinoma with a marked desmoplastic reaction * Demoplasia is a fibroblastic reaction to tumor invasion * Early, you can identify lymphatic and vascular invasion * This is rarely bile stained because it does not produce bile
152
villous adenoma
larger and more ominous than tubular adenoma rectum and rectosigmoid sessile finger like extension all degrees of dysplasia carcinoma will directly invade the bowel wall
153
duodenal sleeve
malabsorption procedure duodeno-jejunal bypass sleeve open at both ends food can pass but sleeve prevents contact w duodenum delays digestions
154
histology of acute hepatitis
1. portal and interface inflammation (portal tract filled w lymphocytes) 2. lobular inflammation 3. bile duct damage 4. no significant fibrosis
155
serum/infiltrate in autoimmune chronic pancreatitis
IgG4 infiltrate and in serum ANA
156
aspirin in CRC
inhibit COX2 - decrease production of prostaglandin - promotes epithelial proliferation
157
autoimmune chronic pancreatitis
lymphoplasmacytic sclerosing pancreatitis mass like lesions and irregular beading of the pancreatic duct associated w autoimmune conditions
158
mutations in Lynch syndrome
loss of MSH2, MSH6 HNPCC = germline MLH1, MSH2
159
macronodular cirrhosis
160
risk factors for pancreatic ductal adenocarcinoma?
age - 60-80 black, ashkenazi smoking = double risk high fat and meat diet, BMI chronic pancreatitis diabetes
161
symptoms of ductal adenocarcinoma
jaundice, back pain, weight loss
162
* This is a hepatocellular adenoma * Adenomas are usually asymptomatic; normally we do not remove an adenoma surgically unless it is enlarged, the patient wants to have it taken out, or wants to get pregnant * This particular lesion also responds to hormonal stimulation * Left image: in contrast, to FNH, this lesion is capsulated * It is an enucleated tumor with a capsular surface * Right image: if you cut it in cross-section, you can see the lesion is very well circumscribed and encapsulated * The central area has some kind of hemorrhage
163
small bowel neoplasm
malignant tumors are far less common in SB than everywhere else can have peutz jeghers or adenomas
164
syndrome criteria for peutz-jeghers syndrome
mucocutaneous lesions, patches of hyperpigmentation
165
alpha-fetoprotein
increased in serum in 50-75% of patients w HCC ## Footnote * The patient requires a certain exam, including a check of his or her serum alpha-fetoprotein * 50-75% of patients have elevated alpha-fetoprotein * This is a very good marker used to screen patients who may have HCC
166
histo of acinar carcinoma
solid nests, acini, scant stroma large solid well circomscribed w extensive necrosis
167
Cowden syndrome
mult non cancerous hamartomas in skin, mucus membranes multiple discrete sessile polyp lesions risk of colon cancer = gen population
168
cholangeocarcinoma ## Footnote * If you do a resection, you will see a large, irregular lesion that is not well-demarcated with a smaller satellite lesion * There is intrahepatic metastasis * Right image: there is a very proliferative bile duct-like structure * Left: the high-power view shows an infiltrative pattern and a desmoplastic reaction * This is a fibroblastic reaction of the glands * Bottom right: desmoplastic reaction * Top right: intravascular invasion * This is typical for cholangiocarcinoma