Panoramic radiographs try to capture an image layer that includes the teeth. What is an image layer?
It is a layer in the patient that contains structures of interest that are demonstrated with sufficient resolution to make then recognisable, whilst structures at other depths (both superficial and deeper) are not clearly seen
What is an image layer also known as?
A focal trough
The principle of layer formation is what?
Linear tomography
What is linear tomography?
Linear tomography is where the x-ray tube is moved in a straight line in one direction and the x-ray film is moved in a straight line in the opposite direction.
The things that we want to see are in the focal plane.
The objects in the focal plane are projected to the same point in the film so are clear.
Objects not in the focal plane are projected to continually changing points on the film.

In the image layer for a panoramic radiograph, we want to achieve a layer that has what properties/composition?
Is the rotation centre static when taking a panoramic radiograph? Why?
no - it is continuously changing in order to capture what we want to see in the radiograph
Describe the effect of the distance of the rotation centre from objects regarding the speed of the beam.

Why is the speed of the beam/rotation centres relevant to the image receptor in panoramic radiology?
The image receptor needs to match the changes in speed of the beam (changing rotation centres and distance from objects)
This is why it is important that we position the patient correctly (so the machine can automatically make these changes)
Describe the speed of the X-ray beam through the different teeth in panoramic radiographs. (and relative position of rotation centre)
Posterior teeth are further away from their rotation centre so the beam travels faster through them
Anterior teeth are closer to the rotation centre so the beam passes through more slowly
The distance from the rotation centre to the teeth can affect what?
How should the Frankford plane be positioned when taking a panoramic radiograph?
Horizontal the the ground
In what direction does the beam pass?
From lingual to buccal (the x-ray tube rotates around the back of the head)
What is the angulation of the x-ray beam and why?
negative 8 degrees (curved 8 degrees up)
done because of the curve of Monson (the cusps of the buccal molars higher than the lingual cusps)
What are the limitations of panoramic radiology?
What guide line is there to aid with positioning of the patient?
The canine guide line (a light that shines that should shine on the upper canine)
What must be done if the guide line doesn’t shine on the upper canine?
Must be compensated for (so that the beam and image receptor are synchronised and an accurate image is produced)
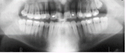
Describe what it means if the patient’s canine is behind the guide line and how this will impact the image.

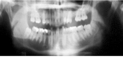
Describe what it means if the patient’s canine is in front of the guide line and how this will impact the image.
Note how narrow the incisors appear.

What are the uses of panoramic radiology in dentistry?
• Development of the dentition (often in relation to ortho) • Developmental and acquired anomalies • Caries, pulpal and periodontal disease - more for perio but should look for caries if a panoramic radiograph has been taken • Pathological jaw lesions • Surgery – evaluation and review • Trauma – fractures of the mandible
How can you reduce the dose when taking an OPT?
only take a radiograph of what is required. E.g. half mouth.
Summary
• Panoramic radiography is a sectional image • Patient positioning is crucial for clear images • Recognition of ghost images is important • The anatomical features are determined by the ‘view’ of the patient (explained in a later lecture)
What are some features of ghost images?