Path Cardiovascular Flashcards

(67 cards)

1
Q
A
  1. The four histological features of cardiac heart muscle ?
    - intercalated discks
    - branching
    - central nucleus
    - striations
  2. What is the faint brown granular pigment depicted ?
    Lipofuscin
    Light brown pigment granules made up of lipid containing residues of lysosomal digestion. This is an incidental finding considered to indicate aging “wear and tear pigments”
How well did you know this?
1
Not at all
2
3
4
5
Perfectly
2
Q

Describe the ‘normal’ (non-pathological) cardiovascular changes that may be observed post mortem ?

A

Incidental post mortem changes of the heart

  1. Rigor mortis
    - Contracted myocardium may lead to emptying of the left ventricle.
  2. Post mortem clotting
    - The clot is usually found in the right ventricle
    - red current jelly clots atria, right ventricle and large vessels
  • White chicken fat clots
  • composed primarily of clotted plasma and fibrin
  • reduced number of erythrocytes
  • often occurs in horses (rapid ESR) erythrocte sedimentation rate
  • may occur in anemia, leukaemia and systemic inflammation.
How well did you know this?
1
Not at all
2
3
4
5
Perfectly
3
Q

Describe the reversible and irreversable cardiac cell response to injury ?

A

Cardiac cell response to injury
1. Reversible / sublethal / degeneration
- inflammation
- haemorrhage
- adaptation (atrophy, haemorrhage)
- fatty degeneration or infiltration
- Lipofuscin build up
- Vacuolar degeneration

  1. Irreversible (lethal) damage
    - necrosis (or apoptosis)
    - leukocytes infiltration and phagocytosis
    - repair by fibrosis (non specific to aetiology)
    - peracute injury: may be no visable lesions

Cardiomyocytes have a limited ability to regenerate. This is partially due to the continual contraction of remaining healthy cells.
- hyperplasia only occurs over the first seven months of life

How well did you know this?
1
Not at all
2
3
4
5
Perfectly
4
Q
A

Describe the tissues seen here ?

Diffusely pale heart. No histological abnormalities.

Young animals have a lower haematocrit.

How well did you know this?
1
Not at all
2
3
4
5
Perfectly
5
Q

Disscuss why haemorrhage is often observed in the epicardium, myocardium and endocardium ?

A

Haemorrhage

Petechiae = smaller pin point haemorrhages 1-2 mm
Ecchymosis = larger haemorrhages 3-5mm

Injury to endothelium and increased pressure within in heart
- commonly due to septacaemia, endotoxaemia, electrocution or anoxia (total oxygen deprivation).
- usually observed coronary groove

How well did you know this?
1
Not at all
2
3
4
5
Perfectly
6
Q

Disscuss the five common compensatory mechanisms of the heart ?

A

The common compensatory mechanisms of the heart to injury

  1. Cardiac dilation; allows for more stretching to increase contractile force Frank Starling phenomenon.
  2. Hypertrophy; allows maintenance of outflow against sustained volume / pressure overload.
  3. increase heart rate
  4. increase blood volume (increase Na+)
  5. redistribution of blood volume

The peripheral circulation may feel cold

How well did you know this?
1
Not at all
2
3
4
5
Perfectly
7
Q

What factors could result in Eccentric hypertrophy ?

A

Eccentric hypertrophy
Is enlargement of the ventricular chamber (dilation)

  • wall remains normal or decrreases in thickness
  • this pathology is due to increased blood volume
    eg valvular insufficiencies, septal defects
How well did you know this?
1
Not at all
2
3
4
5
Perfectly
8
Q

What factors could result in concentric hypertrophy ?

A

Concentric hypertrophy
A thicker wall resulting in a smaller ventricular chamber.
Hypertrophy = increase in cell size

This results from an increase in pressure load
eg valvular stenosis, systemic hypotension, pulmonary disease and aortic stenosis (common).

How well did you know this?
1
Not at all
2
3
4
5
Perfectly
9
Q
A

A = Dilation (Eccentric hypertrophy)

B= Concentric hypertrophy

How well did you know this?
1
Not at all
2
3
4
5
Perfectly
10
Q

Disscuss cardiac syncope and its causes ?

A

Cardiac syncope
Failure to get adequte blood supply to the brain (acute)
- acute collapse and loss of consiousness
- extreme changes in HR and blood pressure
- lesions may be or may not be present

The causes
- Arrhythmias - ventricular fibrillation, AV node heart block etc
- massive myocardial necrosis

How well did you know this?
1
Not at all
2
3
4
5
Perfectly
11
Q

Disscuss congestive heart failure and its causes ?

A

Congestive heart failure
Usually a chronic manifestation of cardiac disease
- CHF and CCF
- heart has 3-5 fold reserve capacity

Usually develops slowly due to chronic changes
- pressure overload, volume overload or cardiac disease
- pulmonary disease
- congenital abnormalities
- renal disease
- valvular disease
- myocardial disease
- vascular disease

How well did you know this?
1
Not at all
2
3
4
5
Perfectly
12
Q

Define backward heart failure, forward heart failure, systolic heart failure and distolic heart failure ?

A

Forward failure decreased blood flow forwards to peripheral tissues

Backward failure = accumulation of blood behind the failing chamber

Systolic failure = inadequate inability to eject blood adequately

Diastolic failure - inadequate ventricular filling

How well did you know this?
1
Not at all
2
3
4
5
Perfectly
13
Q

Why does cardiac failure lead into a visious cycle ?

A

The viscious cycle of cardiac failure

  • reduced renal blood flow
  • hypoxia of kidneys
    This causes renin release of the juxtaglomerular apparatus - stimulates aldosterone from the adrenal cortex - angiotensin 2

This acts on the renal tubules causing Na+ and H2O retension
1. oedema especially body cavities
2. polycythaemia (abnormally high number of red blood cells) increased velocity of blood
3. hypovolaemia (increased plasma volume
4. increasing the workload on an already failing heart

How well did you know this?
1
Not at all
2
3
4
5
Perfectly
14
Q

Describe the appearance of acute and chronic left sideded heart failure ?

A

Left sided congestive heart failure
Acute
- pulmonary congestion and oedema

Chronic
- chronic passive pulmonary congestion and oedema (lung fails to collapse)
- haemosiderosis “heart failure cells”
- pulmonary fibrosis

These pathological changes appear grossly - red-purple tinge to the lungs, foamy fluid in airways and alveoli
Stable foam = surfactant mixed with arterial fuid

How well did you know this?
1
Not at all
2
3
4
5
Perfectly
15
Q

What factors could result in this pathology and discuss how it is caused?

A

Left sided congestive heart failure
The causes / factors
- loss of contractility
- severe congenital heart disease
- dysfunction of the mitral or aortic valves

How well did you know this?
1
Not at all
2
3
4
5
Perfectly
16
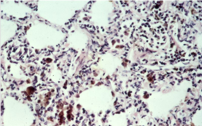
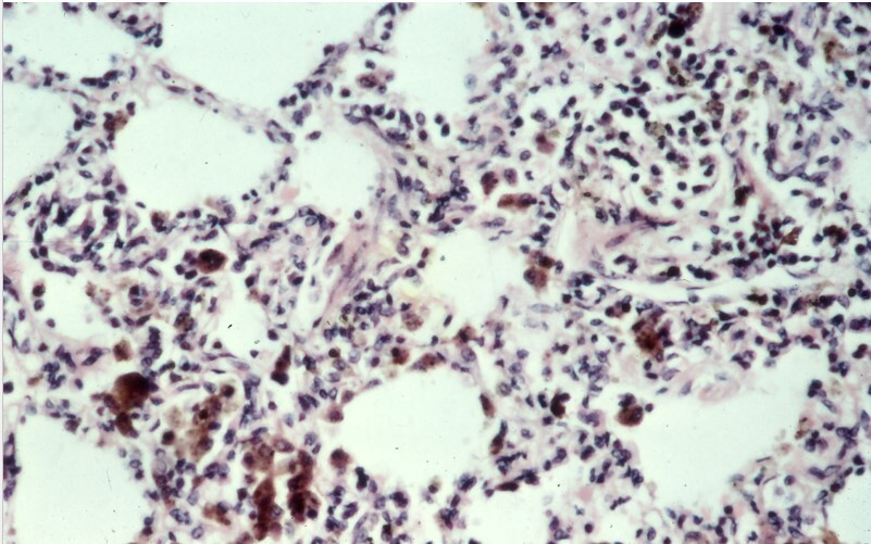
Q

Describe the depicted cell type ?

A

Heart failure cells
= alveolar macrophages containing haemosiderin

These erythrocytes are pushed into the alveolar interstiteum due to pulmonary congestion - where they are ingested by alveolar macrophages.

How well did you know this?
1
Not at all
2
3
4
5
Perfectly
17
Q

Describe the pathology of acute and chronic right sided heart failure?

A

Congestive right sided heart failure
Acute
- systemic congestion
- hepatomegaly
- splenomegaly

Chronic
- chronic systemic congestion (nutmeg liver)
- severe sodium and water retention
- ventral subcutaneous oedema horses and ruminants
- ascites or hydrothorax in cats

How well did you know this?
1
Not at all
2
3
4
5
Perfectly
18
Q

What factors could result in this type of congestive heart failure?

A

Right sided congestive heart failure

Caused by
- pulmonary hypertension
- cardiomyopathy
- dysfunction of the tricupsid or pulmonary valve

How well did you know this?
1
Not at all
2
3
4
5
Perfectly
19
Q

Describe the poisoning which occurs after pimelea simplex ingestion ?

A

Pimelea simplex ingestion - contains toxin simplexin
This toxin results in chronic right sided heart failure.
- Desert rice flower
- affects cardiopulmonary function and induces anaemia
- toxin constricts muscle of pulmonary venules
- increasing pulmonary vascular resistance
- right sided heart failure

The clinical signs
- severe diarrhoea and potential death
- muffled heart sounds
- prominent jugular pulse
- weight loss, rough coat

How well did you know this?
1
Not at all
2
3
4
5
Perfectly
20
Q
A

Left sided heart failure
acute pulmonary congestion seen in a dog

How well did you know this?
1
Not at all
2
3
4
5
Perfectly
21
Q
A

Answers
1. Alveoli macrophages which have consumed haemidersiderin
2. Chronic congestion and oedema of the lungs (not collapsed) + large numbers of heart failure cells in the lung = left sided congestive heart failure.
- mottled brownish appearance

Prussian blue reaction

How well did you know this?
1
Not at all
2
3
4
5
Perfectly
22
Q

Identify the six possible causes of congenital abnormalities ?

A

The six causes of congenital abnormalities
1. Spontaneous
2. Hereditory
3. Chemicals = drugs, toxins = thalidomide, griseofuluin
4. Nutritional deficiencys Vitamin A, Zinc and Copper
5. Irradiation
6. Foetal hypoxia

How well did you know this?
1
Not at all
2
3
4
5
Perfectly
23
Q

Define stenosis ?

A

Stenosis = The abnormal narrowing of a passage in the body.

How well did you know this?
1
Not at all
2
3
4
5
Perfectly
24
Q

Describe foetal circulation ?

A

Foetal circulation

Ductus venosus = liver shunts approximately 50% of blood from the umbilical vein to the vena cava

Foramen ovale = Blodd shunted from the right atrium to the left atrium

Ductus arteriosis = (bypasses the lungs) Moves from the right ventricle into the aorta through a patent duct ductus arteriosus
- vascular channel from the pulmonary artery and aorta

How well did you know this?
1
Not at all
2
3
4
5
Perfectly
25
Identify and describe this underlying pathology ?
Patent ductus arteriousus The ductus arteriosus becomes patent (unobstructed failure to close). The blood is shunted from the aorta to pulmonary artery - results in pulmonary hypotension - blood usually shunts the lungs during foetal life but the ductus arteriosus becomes ligamentum arteriosum postnatally (closing around 7 - 10 days after birth in dogs) - frequent in dogs and cats - often inherited in poodles - increased blood flow to the lungs.
26
What are the consequences of the following pathology ?
PDE Patent ductus arteriosus The consequences of PDA - continuous murmur - volume overload affecting the pulmonary arteries, pulmonary veins, left atrium and ventricle (increased preload) - dilation of left atrium and ventricle - eventually leading to left sided CHF
27
# Identify this defect and describe its consequences ?
ASD = Atrial septal defect Can be due to failure of closure of the foramen ovale or other septal defects (faulty development of the septum). Consequences of ASD - A large ASD >9mm may cause clinically remarkable left to right shunt. - blood shunted left to right atrium (volume overload of the right arium and righht ventricle). - if left untreated can result in enlargement (dilation / hypertrophy) of the right side of the heart and ultimately heart failure. small restrictive defects may have little consequence Cattle are more prone to right sided heart failure.
28
Identify this defect and describe its consequences ?
VSD Ventricular septal defect Failure of a complete development of the IV septum, especially in the upper membranous portion. Consequences This allows blood to shunt between ventricles left to right. - pressure gradient - degree of shunting depends upon the size of defect - blood recirculating through pulmonary vessels and left cardiac chambers - dilation - right ventricle may dilate as well in animals with large septal defects - MOST VSDS ARE SMALL Cattle are more prone to develop right sided heart failure
29
# Identify this pathology and its consequences ?
Tetralogy of Fallot The consequences - The consequences are dependant on the severity of stenosis, size of VSD and ratio of vascular resistance between pulmonary and systemic circulation. - decreased blood flow to pulmonary circulation - deoxygenated blood passing into the aorta - animals suffer fatigue, generalised cyanosis and polycythemia (high red blood cells) - eventually end up with a higher pressure system on the right hand side
30
# Describe the four lesions of the Tetralogy of fallot
Tetralogy of fallot There are four lesions - pulmonic stenosis - ventricular septal defect (high in septum) - Dextraposition of the aorta (overides both L and R ventricles) - secondary hypertrophy of RV myocardium
31
Identify this pathology and describe its consequences ?
Pulmonic stenosis There are several types of lesions possible Subvalvular stenosis = formation of a circumferential band of fibrous or muscular tissue beneath the valve. (Observed in photo) Valvular stenosis = malformation of the valve itself small orifice in a dome of thickened tissue
32
Identify this pathology and describe its consequences ?
Subaortic stenosis This is seen as a thick zone of endocardial fibrous tissue - which encircles the LV outflow tract below the valve - frequently observed in pigs and dogs - can be subclinical if mild The consequences - foci of myocardial necrosis - fibrosis in inner LV wall - visible dense white band
33
Identify this pathology and where it is most frequently observed ?
Failure of normal valvular development Valvular Haematomas (haematocyst) - blood filled cyst on the valve - most frequently observed on the AV valaves in ruminant species - usually regresses spontaneously
34
Identify this pathology ?
Valvular lymphocyst - serum filled cyst on the AV valves
35
Identify this pathology ?
Mitral valve dysplasia Dysplasia = abnormal development of an organ or tissue - common in cats and dogs Note = thickened fused mitral valve leaflets
36
Identify this pathology ?
Persistant right aortic arch The right aortic arch (instead of left) develops and ascends on the right side of the midline (aortic arch is on the wrong side). This causes the ligamentum arteriosum to form a vascular ring over the oesophagus and trachear (vascular ring anomaly) - oesophageal obstruction - proximal megaoesophagus - especially prevalent in dogs
37
Identify this pathology ?
Endocardial fibroelastosis Prominent white thickened endocardium - frequent in Burmese and Siamese cats
38
Identify this pathology ?
Ectopic cordis Development of the heart in abnormal locations outside the thoracic cavity
39
Answers A. pulmonic stenosis = concentric hypertrophy of the right ventricle (thickening). B. Aortic stenosis = concentric hypertrophy of the right ventricle. C. Ventricular septal defect = right ventricle dilation (eccentric)
40
What could cause this pathology ? Identify the pathology ?
Hydropericardium Excess accumulation of clear light yellow watery fluid - may contain a small amount of fibrin - non-inflammatory lesion Potential causes of hydropericardium - Generalised oedema (ascites, hydrothorax) - Congestive heart failure - pulmonary hypotension - systemic vascular injury - hypoproteinaemia
41
Describe the gross pathology of acute and chronic hydropericardium ?
Gross pathology Acute hydropericardium - smooth glistening - may cause cardiac tamponade Chronic hydropericardium - epicardium and pericardium may be opaque (mild fibrous thickening).
42
Define cardiac tamponade
Cardiac tamponade = compression of the heart through the accumulation of fluid in the pericardial sac.
43
Identify this lesion and its cause?
Haemopericardium This is the accumulation of whole blood in the pericardial sac (may cause cardiac tamponade). Causes of haemopericardium - spontaneous atrial rupture dog - rupture of intrapericardial aorta horse - cardiac neoplasms haemangiosarcomas, heart base tumors - unknown cause especially large and giant dog breeds Treatment may involve removal of the pericardial sac
44
Identify this pathology ?
Fibrinous pericarditis adhere and easily pulled apart "bread and butter"
45
Identify this type of pericarditis and its causes?
Fibrinous pericarditis Acute (fibrinous easily pulled apart like a bannana) The parietal and visceral surface are covered in yellow fibrin adhere and easily pulled apart "bread and butter pudding" This is the most common form of pericarditis - usually results from haematogenous infection - pasteurellosis, Glasser's disease
46
Identify this pathology and its causes ?
Suppurative pericarditis The pericardial surfaces are thickened with white masses of fibrous tissue enclosing thick purulent exudate. hardware disease the animal may survive weeks to months, then die from CHF and septicaemia
47
# three metabolic disorders of the pericardium Identify the possible metabolic disorders of the pericardium ?
The three metabolic disorders of the pericardium Serous atrophy of fat - gelatinous pale epicardial fat - anorexia, starvation, cachexia Epicardial mineralisation "cardiac calcinosis" - inherited in some inbred mice - dystrophic calcification Urate deposits - birds and reptiles - visceral gout - reduced access to water - uric acid crystals deposited - gritty white appearance
48
What type of pericarditis usually follows suppurative pericarditis ?
Constrictive pericarditis (chronic can not pull apart - extensive fibrin) - fibrous adhesions between visceral and parietal surfaces - constricts heart and interferes with filling
49
What is the difference between fibrous and fibrinous ?
There are two different types of adhesions Fibrinous = the adhesions which form early composed of fibrin. These can be pulled apart (acute) Fibrous lesions are more organised and can not be pulled apart (chronic)
50
Identify this pathology provide details ?
Epicardial minerlisation "cardiac calcinosis" - inherited in some inbred mice - dystrophic calcification
51
Identify this pathology and its causes ?
Serous atrophy of fat in the pericardium - gelatinous pale epicardial fat - metabolic disorder caused by anorexia, starvation and cachexia
52
Identify this pathology and its causes ?
Endocardial minerlisation Minerlisation often occurs in conjuction with fibrosis or alone Appears as firm white plaques of minerlised tissue in the endocardium and intima of large elastic arteris. Causes - especially common in cattle - excessive dietary intake of vitamin D - calcinogenic plants cestrum and solanum
53
Identify these two pathologies
Minerlisation and fibrosis of the endocardium minerlisation and fibrosis may occur together or alone This occurs in animals with - chronically dilated hearts - debilitated cattle with Johne's disease - dogs with healed endocarditis lesions - jet lesions from vulvular insufficiencies
54
What is endocardiosis and under which circumstances dose it commonly occur ?
Endocardiosis It is the degeneration of the valves of the heart - valve disease Inside the heart there are four valves mitral, tricupsid, aortic and pulmonary - important pathogenesis in middle age to old small dogs - most common cause of CHF in these dogs - esp. cavalier King Charles spaniels Causes - mucoid vulvular degeneration degeneration of vulvular collagen - mitral valve disease shortened thick nodules appear smooth and shiny - valvular insufficiency develop atrial 'jet lesions' rough firm streaks of fibrosis from trauma
55
Identify this pathology and discuss possible causes ?
Valvular endocardiosis
56
Define a jet lesion ?
Jet lesion = Blood forced through a narrow opening - causing blood to flow back causing corrugation of the surface.
57
Identify this pathology and its potential causes ?
Endocarditis (vegetative valvular endocarditis) This has a complicated pathogenesis - involves Virchows triad of Thrombogenesis - endothelial damage, turbulance and hypercoagulability - affected animals often have gingivitis, dermatitis etc - causes bout of bacteraemia The common bacteria involved - Streptococcus, E.coli, Arcanobacter pyogenes, Erysipelothrix rhusiopathiae Death may occur due to - cardiac failure due to valve dysfunction - bacteraemia - septic emboli in kidneys or coronary vessels
58
Describe the gross pathology of endocarditis and its causes ?
Endocarditis Inflammatory endocardial disease - - usually affects the valves "Valvular endocarditis - large fibrile yellow grey masses of fibrin - "vegetations" can occlude valve orifice - Layers of fibrin and bacterial colonies lay over the top of inflammatory granulation tissue - older lesions become less organised by fibrous tissue - appear wart like (verrucous)
59
Answer 1. Most likely a the valve is not working correctly allowing blood to mix and be forced back into the left atrium. 2. Eccentric hypertrophy
60
Answer a. multi focal coalescing irregular yellow lesion within the endocardium b. Endocarditis vegetative chronic severe c. Sepsis and heart failure
61
List four main mechanisms of hydropericardium
Four main mechanisms of hydropericardium 1. Generalised oedema - often concurrently with ascites and hydrothorax 2. Congestive heart failure 3. Pulmonary hypotension 4. Hypoproteinaemia 5. Systemic vascular injury.
62
Describe the differences between endocardiosis and endocarditis, including pathogenesis and pathological consequences ?
The difference between endocardiosis and endocarditis Endocardiosis = degeneration of the heart valves congestive heart failure in dogs Path = valvular insufficiency or degeneration of collagen consequence = CHF dogs Endocarditis = inflammatory endocardial disease Path = Virchows triad of Thrombogenesis consequences = sepsis, cardiac failure, septic emboli
63
Describe the pathological consequences of A. Mitral valve insufficiency B. Tricupsid valve insufficiency
Answer A consequences A. Mitral valve insufficiency - between left atrium and ventrical - reduces blood flow to the periphery B Tricupsid valve insufficiency - between the right atrium and left ventricle - reduced blood flow to the lungs = backward heart failure.
64
# There are four types of myocardial degeneration Describe the different types of myocardial degeneration ?
Myocardial degeneration This is what is observed during myocardial degeneration 1. Fatty change - lipid droplets in cardiomyocytes 2. Hydropic degeneration - vacuolation 3. Lipofuscinosis - age related 4. Myofibril degeneration - pale eosinophilic lack striations
65
Desribe the gross pathology and identify the pathology?
Myocardial necrosis and minerlisation The histological appearance depends on the age of the lesion Acute necrosis - Swollen hypereosinophilic fibres (hyaline degeneration) - loss of striations - basophillic granules of mineralisation - pyknotic nucleis (condensation of chromatin) - can sometimes appear shredded due to hypercontraction - ischaemic necrosis will cause coagulative necrosis By 24-48 hrs - infiltration by macrophages and neutraphils If animals survives healing occurs through fibrosis (fibroblast proliferation, collagen deposition)
66
Identify the many different causes of myocardial necrosis and minerlisation ?
Potential causes of necrosis and mineralisation - Nutritional deficiencies (selenium, vitamin E young animals, potassium, copper, magnesium etc) - Plant toxins (Cestrum = calcinogenic plants) - Ischaemia = thrombosis - Metabolic disorders ( uraemia) - Physical injury (overexertion, defibrillation) The histological appearance depends upon the age of the lesion.
67
Describe the different types of myocarditis ?
Myocarditis There are many different forms of myocarditis