Path urin Flashcards

(37 cards)

1
Q

What is this lesion and why are the kidneys susceptable ?

A

Kidney Infarction

The kidneys are susceptable

  1. Arterial blood supply to the cortex is terminal
    - few anastomoses of the renal blood vessels
  2. Receives a large portion of overall blood volume 25%
How well did you know this?
1
Not at all
2
3
4
5
Perfectly
2
Q

Define azotaemia and uraemia ?

A

Azotaemia = Excess urea and creatine in the blood.

Uraemia = Urinary constituents in the blood plus the condition (lesions and clinical signs) caused by their pressence.

How well did you know this?
1
Not at all
2
3
4
5
Perfectly
3
Q

What are the portals of entry for injurous agents to the kidney ?

A
How well did you know this?
1
Not at all
2
3
4
5
Perfectly
4
Q

Describe the defense mechanisms of the kidney ?

A

Defense mechanisms of the kidney

  1. Glomerular basement membrane - fenestrated endothelium and podocytes protect from circulating inflammatory cells
  2. Tubular basement membrane - prevents intraluminal organisms accessing interstitium
  3. Interstitium - lymphocytes
  4. Vasculature
How well did you know this?
1
Not at all
2
3
4
5
Perfectly
5
Q

Identify this lesion within the kidneys ?

A

Renal aplasia
(developmental abnormality)

Failure of development of one or both kidneys
- no recognisable renal tissue present + / - ureters
- familial tendancy
- Unilateral aplasia is compatible with life

How well did you know this?
1
Not at all
2
3
4
5
Perfectly
6
Q

Identify this lesion and describe its pathology ?

A

Renal hypoplasia

Incomplete development of the kidneys

  • fewer than normal nephrons present at birth
  • inherited condition large white
  • clinically silent unless significant renal mass compromised
How well did you know this?
1
Not at all
2
3
4
5
Perfectly
7
Q

Definerenal dysplasia ?

A

Renel dysplasia
(developmental disorganised development of renal parenchyma)

Abnormal differentiation leads to altered structure
- inherited comdition suffolk sheep
- teratogenic effects BVDV cattle, canine herpes

Microscopic features
- immature glomerular tufts
- interstitial persistences of mesenchyme
- persistant metanephric ducts
- osseous and cartiliginaous metaplasia

How well did you know this?
1
Not at all
2
3
4
5
Perfectly
8
Q

Identify this lesion and describe its pathology ?

A

Renal cyst (developmental)

Spherical thin walled variable sized dilation of the renal tubules.

  • weakened tubular basement membrane
  • increased intratubular pressure
  • clear water fluid
  • common incidental findings in pigs
How well did you know this?
1
Not at all
2
3
4
5
Perfectly
9
Q

Identify this lesion and describe its pathology ?

A

Polycystic kidney disease
(developmental)

Pathology
- congenital (occurs sporadically in many species)
- may be acquired (usually secondary to nephron obstruction)
- inherited
- persian cats, terriers

Clinical signs
Many cyst that involve numerous nephrons
- renal function impaired with extensive involvement

How well did you know this?
1
Not at all
2
3
4
5
Perfectly
10
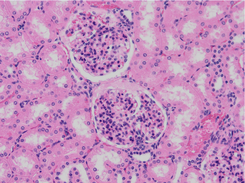
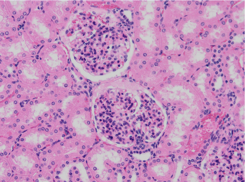
Q

Discuss the response of the glomerulus to injury ?

A

The reponse of the glomerulus to injury

Primary glomerular change is often caused by;
- deposition of immune complexes
- entrapment of thrombo-emboli (DIC) or bacterial emboli
- direct infection by bacteria viruses

Morphological changes
- necrosis,
- thickening of membranes
- infiltration of leukocytes
- atrophy and fibrosis (sclerosis) of glomerular tuft.
- reduced vascular perfusion
- filtration membrane damage (vascular permeability)

Major clinical finding of Glomerular disease
- proteinuria
- urine protein : creatine >2

How well did you know this?
1
Not at all
2
3
4
5
Perfectly
11
Q

Identify this lesion and describe its pathology ?

A

Glomerulonephritis
This encompases several diseases which are all characterised by inflammation of the glomerular.

GN most often results from immune mediated mechanisms
- deposition of immune complexes within glomeruli
- or formation of antibodies directed against the glomerular basement membrane.

Deposition of immune complexes usually occurs with persistent infections
- Porcine dermatitis nephropathy syndrome
- Feline leukaemia virus
- pyometra
- dirofilariasis heart worm in dogs

How well did you know this?
1
Not at all
2
3
4
5
Perfectly
12
Q

Describe the goss lesions of immune-mediated glomerulonephritis ?

A

Immune mediated glomerulonephritis

Gross lesions
Acute GN; gross lesions are usually subtle
- kidneys often slightly swollen, normal - pale
- with a smooth capsular surface
- cut surface of glomeruli, glomeruli are visible as pinpoint red dots.

Chronic GN;
Shrinking and pitting of capsule with cortical thining and fibrosis.

Three main forms = proliferative, membranous and membranoproliferative.
- highlight with periodic acid shift stain

How well did you know this?
1
Not at all
2
3
4
5
Perfectly
13
Q

Identify this lesion and describe its pathology ?

A

Glomerular amyloidosis

Pathology
Amyloid: insoluble fibrillar protein deposited in tissue
- glomerular most common site
- amyloid proteins composed of fragments of a serum acute phase reactive protein (SAA).
- chronic inflammatory response

Clinical signs
- Kidney enlarged
- diffusely pale
- waxy, firm
- smooth to finely granular capsular surface
- Glomeruli can become enlarged hypocellular eosinophilic spheres.

proetin losing nephropathy - proteinuria and diminished blood flow - renal papillary necrosis

How well did you know this?
1
Not at all
2
3
4
5
Perfectly
14
Q

How can renal amyloidosis be tested for ?

A

Congo red

Lugol’s iodine
- glomeruli become visible as multiple blue/ black dots

How well did you know this?
1
Not at all
2
3
4
5
Perfectly
15
Q

Identify this lesion and describe its pathology ?

A

Acute suppurative glomerulitis
(bacterial embolic nephritis)

Inflammation of the glomerulus
Suppurative glomeryulitis is the result of bacteraemia
- Erysipelothrix rhusiopathiae pigs
- Corynebacterium pseudotuberculosis (sheep and goats.

Clinical signs
Bacteria lodge in random glomeruli and to a lesser extent in interstitial cappillaries.
- multiple foci of inflammation
- microabscesses throughout the renal cortex
- neutrophils and haemorrhages

How well did you know this?
1
Not at all
2
3
4
5
Perfectly
16
Q

Identify the below lesion and describe its pathology ?

A

Glomerulosclerosis

Develops with any chronic disease where there is severe damage to the glomerulus.

Mild multifocal glomerulosclerosis
- glomeruli shrink
- become hyalinized because of an incease fibrous connective tissue
- exacerbates intial damage
- reducing the blood flow to tubules further

Glomeruli are hypocellular and essentially non functional.

17
Q

Describe the common causes of tubular injury ?

A

Tubular epithelial damage occurs from;

  1. Direct damage frome toxins
  2. ichaemia (hypoxia)
  3. blood borne infection
  4. ascending infections
18
Q

Describe how the renal tubular epithelium responds to injury ?

A

Tubular epithelial cell responses include;

  1. degeneration, necrosis, apoptosis and atrophy
  2. compensatory hypertrophy in remaining tubules
    - occurs when nephrons are lost, in an attempt to maintain renal function.
    - the tubular epithelium can regenerate as long as the basement membrane remains intact + there are sufficient epithelial cells

Severe or chronic injury can result in necrosis and loss of function of the entire nephron

New nephrons cannot be generated

19
Q

What are the clinical findings of tubular disease ?

A

Clinical findings of tubular disease
Highly variable dependant upon severeity

  • mild acute injury unrecognised
  • repeated bouts = chronic kidney disease CKD
  • sudden major insult can cause acute tubular necrosis (ATN)
20
Q

Describe the pathology underlying primary renal glucosuria ?

A

Primary renal glucosuria ?

Capacity of the tubular epithelial cells to absorb glucose is reduced.
- glucosuria (glucose in urine)

  • incidental
  • Norwegian elkhounds, scottish terriers
21
Q

Describe the pathology underlying Fanconi’s syndrome ?

A

Fanconi syndrome
Generalised defect in tubular reabsorption

  • Basenji dogs
  • glucosuria, proteinuria, electrolytes
  • can lead to renal insufficiency
  • also acquired defects in tubular reabsorption
  • antibiotics, toxins
22
Q

Describe the pathology of acute tubular necrosis (injury)

A

Acute tubular necrosis
The single most important cause of acute renal failure ARF.
abrupt loss of 75% or more of renal capacity

Acute tubular necrosis injury is not caused by inflammation but may be followed with inflammation.

Cause
1. nephrotoxic damage - usually do not damage tubular basement memebranes
2. Ischaemic (hypoxic damage) to renal tubular cells - rupture shrunken collapsed lumens more severe

Toxins
pigments
heavy metals
NSAID
Fungal
Plant
Ethylene glycol
Substance is filtered by the glomeruli and high renal blood flow.

23
Q

What are the clinical signs of acute Tubular necrosis ?

A

Clinical signs of acute tubular necrosis

Gross lesions
- subtle, enlarge and pale kidney
- active urine sediment casts

Microscopic lesions
- depends on severeity and extent of injury + duration
- - degeneration
- necrosis
- desquamation into the lumen

Acute tubular injury necrosis may be reversible - as opposed to chronic renal failure irreversible.

24
Q
A

A. Proximal convoluted tubules

  • both toxic and ischaemic damage usually involevs the proximal tubules.
  • high metabolic rates
  • first line of exposure
25
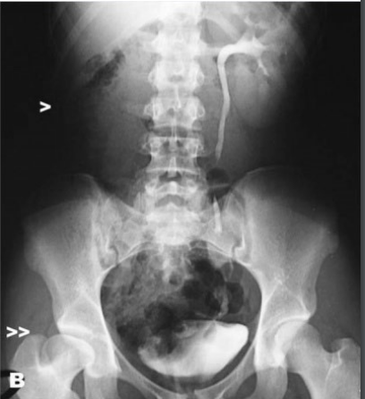
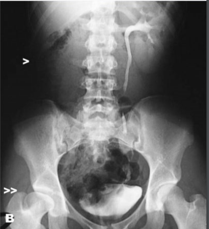
Identify this lesion ?
26
How would ischaemia cause oliguria or anuria ?
Three are three different mechanisms
27
Identify this nephrotoxic pigment ?
Haemoglobinuric nephrosis - severe intravscular haemolysis - haemoglobin secreted in urine Haemoglobnuria casts have an additive deleterious effect on the tubular epithelium already undergoing ischaemic necrosis. copper poisoning sheep leptospirosis autoimmune haemolytic anaemia
28
Identify this cast ?
Haemoglobin cast - severe proximal tubule epithelial degeneration and necrosis - tubular lumens filled with orange - red refractile material
29
Identify this type of nephrosis ?
Myoglobinuric nephrosis (reddish brown staining corttex and medulla due to myoglobin)
30
Identify this tubular cast ?
Myoglobinuric nephrosis (horse) Myoglobin casts present in dilated distal tubules.
31
Identify this lesion, and describe its pathology ?
Nephrotoxin = heavy metal Lead toxicity Cause damage to membranes of the proximal tubular epithelial cells. - renal lesions are non specific (except lead toxicity pictured). - acid fast intranuclear inclusion bodies present in the proximal tubules
32
Identify this lesion of the keidney and describe its pathogenesis ?
Ethylene glycol intoxication. Pathology readily absorbed in the GI tract metabolised in the liver generating toxic metabolites glycolic acid Oxalic acid combine with calcium - calcium oxylate crystals - pale yellow foci of crystals in lumen - cause direct damage - melamine cyanuric acid crystal
33
Identify this lesion ?
34
Identify the aetiology of this lesion and its pathology ?
Pulpy kidney Clostridium perfringens type D Entertoxaemia Change to carbohydrate rich diet - tubular epithelium degeneration, necrosis, interstitial oedema and haemorrhage in both kidneys - soft swollen - pale 'mushy' - kidneys often haemorrhagic in fresh carcase Pulpy kidneys
35
Identify this pathogen and describe its pathology ?
Leptospirosis (warthin starry silver stain) Bacterium Leptospira interrogans - worlds most common zoonoses - tubulointerstitial nephritis - haemolysis, liver disease - degeneration and necrosis of epithelial cells Haematogenous route to localise in renal interstitium Clinical signs - nodular thin cortex - infiltrate of mononuclear cells and fibroblasts
36
Identify this lesion and its pathology ?
White spotted kidney (bacterial emboli - interstial nephritis) - E.coli, salmonella, Brucella - microabscess formation when bacteria seed the kidney - multiple small white nodules of varying sizes through the cortex.
37