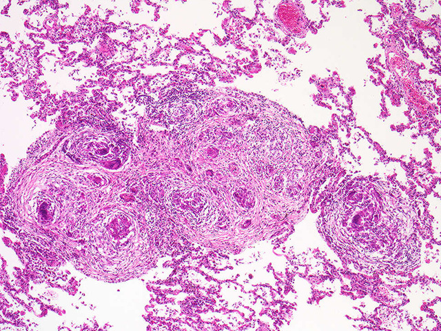
Lung biopsy was taken from an AAF complaining of joint pain. CXR showed hilar adenopathy. What is condition?
Describe histo

Sarcoidosis
Central of non-caseating granuloma: epitheloid macrophages surrounded by rim of mononuclear cells. Multinucleated giant cells also seen at higher mag.
Accumulation of CD4+ Tcells a cause
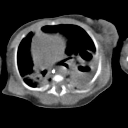
What is image indicative of?

Air fluid level (abcess)
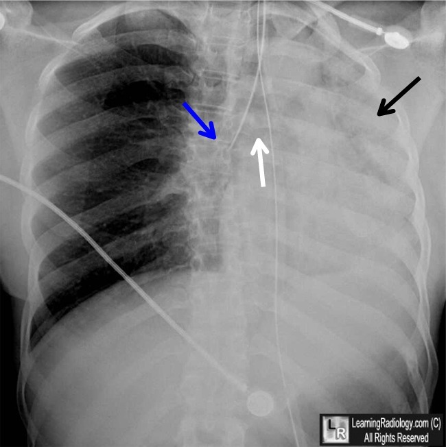
A patient is brought into ER after a major car accident. EMTs intubated and stablized patient. Dr. on staff orders a CXR. Explain the imaging. Also, what simple examination could be done to have accessed issue w/o CXR?

Left lung Atelectasis.
During intubation, breathing aparatis put in too far into respiratory tract into RIGHT BRONCHUS, siince compared to left bronchus, Right is more wide, straighter w/ trachea, & shorter.
Having air only to R. lung leaves left lung to collapse.
Easier solution to catch this: lung auscultation of both lungs during intubation