Patho Flashcards

(213 cards)

1
Q

Section in?
Describe the lesion and is it precancerous?
Diagnosis?

A

Stomach
round ulcer with sharp edges and clean floor (yes)
Multiple gastric peptic ulcers

How well did you know this?
1
Not at all
2
3
4
5
Perfectly
2
Q

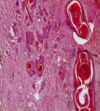
Section in?
Describe the lesion and is it precancerous?
Diagnosis?

A

Part of stomach wall

Sharp edges, perforated base. Serosa is yellowish due to pus formation. Yes

Perforated gastric peptic ulcer
Septic peritonitis

How well did you know this?
1
Not at all
2
3
4
5
Perfectly
3
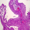
Q

Section in?
Describe it and Is it precancerous
Diagnosis?

A

distal part of pylorus and duodenum.
Oval with sharp edges with clean floor; No
Duodenal peptic ulcer

How well did you know this?
1
Not at all
2
3
4
5
Perfectly
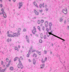
4
Q

Section in?
Causative organism?
Type of inflammation?
Red and blue arrows?
Diagnosis?

A

End of ileum and caecum
Shigella bacilli
Acute non-suppurative pseudo-membranous
Red: caecum Blue: Ileum
Bacillary dysentery

How well did you know this?
1
Not at all
2
3
4
5
Perfectly
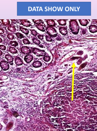
5
Q

Section in?
Describe the ulcer?
Causative organism?
Diagnosis?

A

segment of terminal ileum, caecum and ascending colon.

round ulcers, with undermined edges and rough necrotic floor.

Entamoeba histolytica

Intestinal amoebiasis

How well did you know this?
1
Not at all
2
3
4
5
Perfectly
6
Q

Section in?
Describe
Is this condition primary or secondary
Diagnosis?

A

Ileum
Transverse ulcers with yellow caseous floor
Secondary
Secondary intestinal tuberculosis

How well did you know this?
1
Not at all
2
3
4
5
Perfectly
7
Q

Section in?
Type of ulcer and describe it
Diagnosis?

A

Tongue

Malignant ulcer; raised everted edges and rough necrotic floor

Ulcerative carcinoma of the tongue

How well did you know this?
1
Not at all
2
3
4
5
Perfectly
8
Q

Section in?
Type of ulcer and describe it
Diagnosis?

A

Pharynx, upper esophagus and trachea

Malignant ulcer; raised everted edges rough necrotic floor; causes stenosis

Ulcerative carcinoma of the esophagus

How well did you know this?
1
Not at all
2
3
4
5
Perfectly
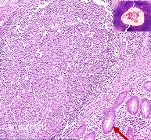
9
Q

Section in?
Describe
The arrow points to?
Diagnosis?

A

Opened stomach

Ulcer with raised everted edges and rough necrotic floor

enlarged pre-pyloric lymph nodes

Ulcerative carcinoma (malignant) of the stomach
Gastric lymph node metastases

How well did you know this?
1
Not at all
2
3
4
5
Perfectly
10
Q

Section in?
Type of ulcer
Diagnosis?

A

Open caecum and appendix

Malignant ulcer; raised everted edges rough necrotic floor

Ulcerative carcinoma of the caecum

How well did you know this?
1
Not at all
2
3
4
5
Perfectly
11
Q

Section in?
Give a quick description?
Diagnosis?

A

Opened stomach

Stomach is contracted, gastric wall thickened, mucosal folds are gone

Diffuse infiltrative carcinoma of the stomach

How well did you know this?
1
Not at all
2
3
4
5
Perfectly
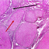
12
Q

Section in?
Behavior of lesion
The arrow?
Diagnosis?

A

Small intestine

Benign

Hypertrophy and dilation due to chronic intestinal obstruction

Fibroma of the small intestine with chronic intestinal obstruction

How well did you know this?
1
Not at all
2
3
4
5
Perfectly
13
Q

Section in?
Describe the mass
Diagnosis?

A

Ileum, ileo-caecal valve and caecum

Annular grayish infiltrative MALIGNANT mass infiltrating ileo-caecal valve.

Carcinoma of the ileo-caecal valve

How well did you know this?
1
Not at all
2
3
4
5
Perfectly
14
Q

Section in?
Describe
Diagnosis?

A

Small intestine

Ileum has intussusceptum and is invaginated to itself. The intussusceptum is black and gangerous. There is also a tinea worm

Enteric intussusception
Moist gangrene of the intussusceptum
Acute intestinal obstruction
Intesinal taeniasis

How well did you know this?
1
Not at all
2
3
4
5
Perfectly
15
Q

Section in?
Describe
Diagnosis?

A

A segment of Small intestine

ileum intussusceptum is invaginated into itself . Intussusceptum is black and gangrenous. Tumor is oval and necrotic

Enteric intussusception
Moist gangrene of intussusceptum
Acute intestinal obstruction

How well did you know this?
1
Not at all
2
3
4
5
Perfectly
16
Q

Section in?
Describe
Arrow
Diagnosis?

A

Segment of ileum

blind ended pouch, 10 cm in length, arising from anti-mesenteric border of ileum

Meckel’s diverticulum

Meckel’s diverticulum

How well did you know this?
1
Not at all
2
3
4
5
Perfectly
17
Q

Section in?
Describe
Arrow
Diagnosis?

A

Segment of ileum and mesentery

Diverticulum arising from ileum at the anti-mesenteric border. Intestine is volvous and has moist gangrene in wall.

Meckel’s diverticulum
Intestinal volvus with gangrene
Acute intestinal obstruction
Septic peritonitis

How well did you know this?
1
Not at all
2
3
4
5
Perfectly
18
Q

Describe this picture

Arrow?

A

Section in stomach, Giemsa stained: Many H.pylori organisms seen in mucosal gland. Inflammatory cells are seen outside mucosal gland

H. Pylori bacilli

How well did you know this?
1
Not at all
2
3
4
5
Perfectly
19
Q

Describe
Type of inflammation
Arrow
diagnose

A

The mucosal glands are partly partly
ulcerated. The mucosa, submucosa, musculosa and serosa, show edema, congested capillaries and dense exudate formed of many pus cells and macrophages

Acute suppurative inflammation

Mucosal gland

Acute suppurative inflammation

How well did you know this?
1
Not at all
2
3
4
5
Perfectly
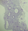
20
Q

Diagnose
Describe
Benign or malignant
Is this lesion precancerous

A

Adenomatous polyp

Proliferated acini (glands) variable in size and shape and lined by columnar mucin secreting cells. Some are lined by dysplastic epithelium shows mucin depletion and elongated pseudostratified nuclei.

Benign

Can turn cancerous so yes

How well did you know this?
1
Not at all
2
3
4
5
Perfectly
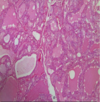
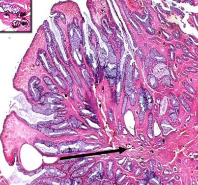
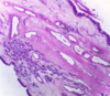
21
Q

Diagnose
Describe
Arrow?
Is this lesion pre-cancerous

A

Bilharzial poly of colon

Hyper plastic covering of mucosa as well as vascular CT showing calcified ova surrounded bilharzial reaction

Bilharzial ova

No

How well did you know this?
1
Not at all
2
3
4
5
Perfectly
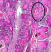
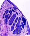
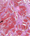
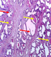
22
Q

Diagnosis
Describe
Arrow
Is this pre cancerous

A

Bilharziasis of colon.

Many bilharzia ova with yellowish r shell. Some are fresh and others are calcified. Ova are surrounded by bilharzial reaction

Bilharzial ova

No

How well did you know this?
1
Not at all
2
3
4
5
Perfectly
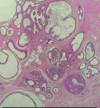
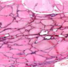
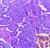
23
Q

Diagnose
Describe
Behavior
Arrow?
Reason cells look the way they do?

A

Stomach, Signet Ring Carcinoma

Invasion by MALIGNANT TUMOR composed of signet ring cells. These cells are poorly cohesive and have clear cytoplasm with dark eccentric nuclei

Malignant

Signet ring cells

Due to cytoplasmic mucin pushing nucleus to side

How well did you know this?
1
Not at all
2
3
4
5
Perfectly
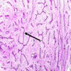
24
Q

Diagnosis
Describe
Arrows
Behaviour

A

Adenocarcinoma of colon

MALIGNANT TUMOR formed of irregular acini infiltrating the submucosa and muscle layer. Malignant cells vary in size and shape

Red: normal mucosal glands Black: Malignant glands

Malignant

How well did you know this?
1
Not at all
2
3
4
5
Perfectly
25
Section in? Describe Diagnosis?
Liver Liver is reduced in size. surface and cut section of liver are nodular. Has small regeneration nodule Regeneration nodule Liver cirrhosis
26
Section in? Describe Arrows Diagnosis?
Liver Rt lobe showing round non capsulated malignant greyish weight mass. Cut section is nodular and regeneration nodules are small and yellow Pink: HCC Black: Cirrhosis Hepatoma of cirrhosis
27
Section in? Describe arrow Diagnosis?
Liver and lung surface of liver multiple scattered rounded non-capsulated tumor masses. Small yellow regeneration nodules. Base shows non-capsulated variable sized small yellow metastatic nodules lung metastasis Multifocal hepatoma with cirrhosis Lung metastases
28
Section in? Describe Arrow Diagnosis?
Liver Irregular depression, fibrosed thickened whitish portal tracts Fibrosed thickened portal tracts Bilharzial peri-portal hepatic fibrosis
29
Section in? Describe Arrows Diagnosis?
Liver Diffuse yellow color and rounded border (squishy consistency) Portal tracts Liver steatosis
30
Section in? Describe Arrows Diagnosis?
Enlarged liver Cut section has nutmeg appearance. Congestion of central vein and sinusoids. There is fatty degeneration Portal tracts Chronic venous congestion of liver
31
Section in? Describe Arrow Diagnosis?
Liver Enlarged liver with sharp borders, indicating firm consistency. Brown waxy semi-translucent amyloid deposits. Liver is yellowish-brown Portal tracts Amyloidosis of liver
32
Section in? Describe Diagnosis?
Liver liver is lobulated due to fibrous scarring, Cut section has multiple healed gummata Hepar lobatum
33
Section in? Describe Arrows Diagnosis?
Two slices of liver Cut section shows multiple small abscess cavities with yellowish necrotic lining Pink: Pyemic abscesses black: tiny cavities due to postmortem autolysis Pyemic abscess of the liver
34
Section in? Describe Arrow 2 risk factors Diagnosis?
Opened gall bladder Wall is thick, greyish white and fibrous. It contains one cholesterol stone which is yellowish white and mamillated Cholesterol stone Obesity and hypercholesteremia Chronic cholecystitis Cholesterol gall stone
35
Section in? Arrow Diagnosis?
Open gall bladder Wall is thick, greyish white and fibrous. few small pigmented stones (black in color) Pigmented stones Chronic cholecystits Pigment stones
36
Section in? Describe Arrow Diagnosis?
Opened gall bladder Wall is thick, greyish white and fibrous. Multiple mixed stones which are facetted Mixed stones Chronic cholecystitis Mixed gall stones
37
Section in? Describe Arrows Diagnosis?
Sagittal section of trunk showing lung, liver, kidney and diaphragm with a bit of colon Irregular abscess with brown shreddy necrotic lining; it perforated in to diaphragm and opened into base of Rt lung leading to another small abscess Blue: Amebic liver abscess Pink: Amebic lung abscess Amoebic liver abscess perforating through the diaphragm Amoebic lung abscess
38
Section in? Describe Diagnosis?
Pancreas and mesentery Pancreas is swollen shows irregular dark brown areas of hemorrhage and necrosis. Mesentery shows yellowish-white patches of fat necrosis Acute hemorrhagic pancreatitis Fat necrosis of the mesentery
39
Diagnose Describe Arrow
Steatosis of liver Hepatocytes are distended of cytoplasmic vacuoles which were occupied by fat but dissolved during prep. The nuclei of some hepatocytes are pushed to one side giving Signet ring appearance Signet ring like hepatocyte
40
Diagnose Describe Arrows
Chronic venous congestion of liver Central veins and sinusoids are dilated and congested, Liver cells in periphery show cloudy swelling and fatty degeneration Blue: portal tract Black: congested centeral vein
41
Diagnose Describe Arrow
Bilharzial periportal fibrosis The portal tracts show wide fibrous expansion, Bilharzial ova surrounded by bilharzial reaction Bilharzial ova
42
Diagnosis Describe Arrow
Liver cirrhosis Loss of the normal lobular architecture which is replaced by regeneration nodules surrounded by fibrous septae. Central veins are absent.The fibrous septae show chronic inflammatory cellular infiltrate Red: regeneration nodules black: fibrous septa
43
Diagnosis Describe Behavior
Hepatocellular carcinoma Section in liver which has malignant tumor formed of infiltrating trabeculae and sheets of malignant hepatocytes separated by CT. The tumor cells are polygonal Malignant
44
Diagnose Describe Arrows Type of inflammation
Fibrinous peritonitis in liver covering peritoneum shows shedded serosal cells and a network of fibrin entangling exudate. Subserosal CT shows edema, congested capillaries Blue: Subserosa Black: Fibrin network Red: normal liver Acute non-suppurative fibrinous inflammation
45
This is
Colonic Adenocarcinoma
46
This is
Mucoid Carcinoma
47
This is?
Bilharzial polyp
48
This is
Liver cirrhosis
49
Section in Describe Diagnosis?
Bisected kidney The kidney is markedly reduced in SIZE with finely granular OUTER SURFACE. CUT SECTION shows reduced cortex, indistinct from the medulla. Chronic glomerulonephritis; end stage kidney
50
Section in? Describe Diagnosis?
Two bisected kidney Both kidneys are reduced in size showing scattered small cysts. Cut section shows reduced cortex. There is apparent increase in the peri-pelvic fat Benign nephrosclerosis; end stage kidney
51
Section in? Describe Diagnosis?
Bisected kidney with upper part of ureter The OUTER SURFACE is irregular and shows multiple small depressions. The CUT SECTION shows reduced cortex, in color (fatty change).The PELVI-CALYCEAL SYSTEM AND URETER are dilated Chronic pyelonephritis
52
Section in? Describe Diagnosis? Why is the surface depressed
Bisected kidney Outer surface has multiple depression. Cut section shows pyramidal infractions which are greyish in color Healed renal infracts Due to fibrosis
53
Section in? Describe Diagnosis?
Kidney half Outer surface and the cut section show multiple variable sized abscess cavities with irregular necrotic lining. Pelvi-calyceal system is dilated and shows rough mucosa covered by pus Acute pyelonephritis
54
Section in? Describe Diagnosis? Arrow
Bisected kidney The OUTER SURFACE shows multiple yellow caseous foci. The CUT SECTION shows multiple scattered irregular cavities, lined by yellow caseous Tuberculosis of kidney Tuberculous cavity
55
Section in? Describe Diagnosis? Arrow
Half of a kidney and part of an adult heart The KIDNEY is markedly enlarged. The surface and the cut section of the kidney show large numbers of variable sized thin walled bluish cysts. Congenital polycystic kidney Hypertrophy of the Lt ventricle Cysts
56
Section in? Describe Diagnosis? Arrow Explain the color of the lesion?
Half of kidney The mass is non-capsulated but well defined with a necrosis and hemorrhage. The REST OF THE KIDNEY is compressed at the upper pole Renal cell carcinoma (hypernephroma). Compressed normal renal tissue Due to high content of lipid in the tumor cells
57
Section in? Describe Diagnosis? Arrow Age group and is it dangerous
Two halves of both kidneys and the aorta of a child. Both kidneys are enlarged. The outer surface of the kidney is nodular. Cut section showed replacement of renal parenchyma by a fleshy greyish white non­ capsulated mass Wilm's tumor (Nephroblastoma), bilateral. Aorta Malignant and affects mainly children
58
Section in? Describe Diagnosis?
Open kidney with upper part of the ureter. The LOWER PART OF THE URETER shows a fibrous structure. The URETER and PELVI- CALYCEAL SYSTEM are markedly dilated thin walled Arrow: Yellow: Ureteric stricture Blue: hydroureter Red: Hydronephrosis Diagnosis 1. Fibrous stricture of the ureter. 2. Hydroureter and marked hydronephrosis.
59
Describe Arrows Diagnosis
Half of the kidney and ureter. The PELVI-CALYCEAL SYSTEM AND THE URETER are dilated, thick walled and show rough mucosa covered by pus. The KIDNEY PARENCHYMA is atrophic and greyish white due to fibrosis. Yellow: Adherent fat Blue: Pyoureter Red: Pyonephrosis Pyonephrosis and pyoureter
60
Specimen Describe Diagnose
Bladder, one ureter and one kidney. The BLADDER mucosa shows two malignant ulcers, with raised everted edges and rough necrotic floor. The URETER is dilated show rough mucosa covered by purulent exudates. The KIDNEY is slightly reduced in size - Ulcerative carcinoma of the bladder - Pyoureter. - Chronic pyelonephritis
61
Specimen Describe What is the causative organism Is it precancerous Diagnosis
Section of both kidneys, both ureters, bladder and prostate. The BLADDER mucosa shows sandy patches. The LEFT URETER is thickened and markedly dilated, its mucosa shows sandy patches. The LEFT PELVIS and calyces are dilated and their mucosa shows sandy patches. Schistosoma Haematobium and Yes Bilharzial cystitis with sandy patches Bilharzial ureteritis with sandy patches. Left hydroureter and hydronephrosis.
62
Specimen Describe Arrow Diagnosis
Both kidneys, ureters and bladder. The BLADDER wall shows a fungating polypoid greyish white mass and infiltrating the bladder wall. The KIDNEYS show discrete small metastatic nodules and dilated pelvis. The right URETER is dilated, the left ureter is slightly dilated Hydroureter 1. Polypoidal carcinoma of the bladder. 2. Metastases involving both kidneys and regional lymph nodes. 3. Bilateral hydroureter and hydronephrosis.
63
Specimen Describe Diagnosis
Bladder, both ureters and both kidneys. The BLADDER wall shows a fungating polypoid greyish white mass with areas of hemorrhage and necrosis. The bladder mucosa shows (sandy patches). The URETERS are dilated and show small bluish cysts projecting from the mucosa 1. Polypoidal carcinoma of the bladder. 2. Bilharzial cystitis and ureteritis. 3. Bilateral hydroureter and hydronephrosis. 4. Chronic pyelonephritis of right kidney
64
Specimen Causative organism and is it precancerous Diagnosis
Distal part of the ureters, bladder and prostate Schistosoma Haematobium and yes 1. Bilharzial cystitis (sandy patches and polyps). 2. Dilated bladder and bilateral hydroureter.
65
Specimen Describe Arrows Diagnosis
Open bladder and bisected prostate. The BLADDER is enlarged with thick trabeculated wall. The PROSTATE is enlarged and projected into the bladder cavity Red: Prostatic hyperplasia Black: Hypertrophied trabeculated bladder wall 1. Nodular hyperplasia of the prostate. 2. Hypertrophy and trabeculation of the bladder
66
Specimen Describe Arrows Diagnose
BIadder and prostate The PROSTATE AND THE BLADDER NECK are infiltrated by a greyish white irregular growth. The growth is partially projecting into the bladder cavity. Prostatic carcinoma (malignant) Carcinoma of the prostate infiltrating the urinary bladder
67
Specimen Describe Arrow Diagnose
Half of testis and spermatic cord. The TESTIS is enlarged. Its cut section of the testis shows diffuse infiltration by a fleshy greyish white tumor tissue. The covering TUNICA shows greyish white fibrous thickening and fibrous adhesions. Spermatic cord Seminoma of the testis.
68
Specimen Describe Another organ commonly effected by this lesion Diagnosis
Bisected testis The testis is enlarged and its cut section is replaced by a multi-cystic tumor. One of the cysts contains a small tuft of hair. Teratoma of the testis Teratoma of the testis
69
Specimen Describe Diagnosis
Testis with the covering tunica vaginalis The open TUNICA vaginalis is markedly distended and shows greyish white fibrous thickening and fibrous adhesions. The TESTIS is small and atrophic. Hydrocele
70
Section in Arrows point to? Diagnose
Kidney Yellow: Fibrosed glomeruli blue: Atrophic tubules Kidney end stage
71
Diagnose Special stain needed to document Arrow points to?
Amyloidosis of kidney Congo red stain Glomerulus with amyloid deposits
72
Diagnosis Describe Explain the appearance of the cells
Renal cell carcinoma MALIGNANT TUMOR formed of cords and groups of malignant rounded cells separated by delicate vascular CT. The cells are large polyhedral with pale vacuolated cytoplasm Clear cytoplasm due to high content of glycogen and lipids which had dissolved during preparation
73
Diagnosis Describe Age group?
Wilm's tumor Undifferentiated blastemal cells, small spindle, round or oval deeply stained cells with mitotic figures. Epithelial cells, arranged in ribbons, imperfectly formed tubules, and imperfectly formed glomeruli. Mesenchymal elements Malignant tumor of children
74
Diagnosis Arrows?
Seminoma Red: Lymphocytes and black: Tumor cells
75
Diagnosis Describe Is it precancerous
Bilharziasis of urinary bladder Bilharzia ova deposited in submucosa and are surrounded by bilharzial reaction. The UROTHELIUM shows areas of hyperplasia Yes
76
Diagnosis Describe Behavior Other 2 types of malignant tumors at this site
Transitional cell carcinoma A PAPILLARY MALIGNANT tumor arises from the mucosal surface. The papillae consist of vascularized connective tissue CORES COVERED by several layers of urothelial cells showing pleomorphism Malignant Squamous cell carcinoma and Adenocarcinoma
77
Diagnosis Describe Arrows Is this lesion neoplastic
Prostatic hyperplasia Proliferation of both the acini and the fibromuscular stroma. The ACINI are lined by two or more layers of columnar cells with papillae, others are dilated and with flat lining Red: Papillae Yellow: Corpora No
78
This is
Benign prostatic hyperplasia
79
This is
TCC
80
This is
WILM's tumor
81
This is
Renal Cell Carcinoma
82
This is
Bilharzial cystitis
83
Section in? Causative organism? Is this lesion neoplastic? Diagnosis?
Nose, nostrils and upper lip Klebsiella Rhinoscleromatis No Rhinoscleroma
84
Specimen Arrows? Diagnosis?
Tongue, epiglottis, larynx and part of trachea Blue: Tongue Pink: Tracheostomy opening Acute laryngitis tracheitis
85
Section in? Describe? 2 important predisposing factors? Arrow? Diagnosis?
Dried lung lung is pale and over-distended with bullae Smoking and Alpha-1 anti-trypsin deficiency Bulla Bronchopneumonia
86
Section in? Describe? Arrow? Diagnosis
Rt Lung multiple, variable sized lung abscess cavities with irregular yellowish necrotic lining. Pleura shows fibroses and adhesions Gangrenous cavity Multiple lung abscess Pleural fibrosis and adhesions
87
Section in? Describe? Diagnosis?
Basal part of lung Large abscess cavity with thick fibrous grayish wall and smooth inner lining. Pleura show fibrosis and adhesions Chronic lung abscess Pleural fibrosis and adhesions
88
Section in? Describe? The arrow? Is this condition primary or secondary Diagnosis?
Lung Large apical cavity with fibrotic wall with yellow caseous lining with transverse ridges Apical abscess Secondary Chronic fibro caseous pulmonary tuberculosis Pleural fibrosis and adhesions
89
Section in Describe Arrow? Diagnosis
the lung Bronchi show cylindrical dilation with thickened wall covered in exudates. Pleura shows greyish fibrosus and adhesions Dilated bronchus Bronchiectasis Pleural fibrosis and adhesions
90
Section in? Describe? Diagnosis
Section in Rt lung Lower lobe is grayish and swollen, Cut margins are sharp. Pleura is greyish due to fibrin deposition Lobar pneumonia, grey hepatization of the lower lobe Fibrinous pleurisy Anthracosis
91
Section in Describe Arrows? Diagnosis
Bisected Lt lung upper lobe is grayish. Margins are sharp. Covering pleura is grayish due to fibrin deposition Blue: abscess cavity Pink: Ghon's focus Lobar pneumonia of upper lobe with abscess formation Fibrinous pleurisy Ghon's focus of lower lobe
92
Specimen in Describe Type of inflammation? Diagnosis
Section in Lt lung of a CHILD multiple small suppurative foci surrounding bronchi. Covering pleura is grayish due to fibrin deposition Acute suppurative inflammation Bronchopneumonia Fibrinous Pleurisy
93
Specimen in Describe Diagnosis
Both lungs and trachea left main bronchus is narrowed and its wall is infiltration. Left lower lobe has tumor and yellowish exudates. Pleura covering is greyish due to fibrin deposition Bronchogenic carcinoma of Lt lung Septic pneumonia and pleurisy
94
Section in Describe Diagnosis
Sectioned lung Lymph nodes show small yellow caseous foci. Pleura shows fibrous thickening and adhesions Miliary tuberculosis of the lung Pleural fibrosis and adhesions
95
Section in Describe Diagnosis?
lung Show many small yellow nodules Lung metastases
96
Specimen Causative organism Is this lesion neoplastic Diagnosis
Tip of nose, nostrils and upper lips Klebsiella Rhinoscleromatis No Rhinoscleroma
97
Specimen Describe Diagnosis
Tongue, epiglottis, larynx and part of trachea. The mucosa of larynx and trachea is swollen (edema) and shows scattered areas of hemorrhage and congestion and a small tracheostomy (surgical opening) is seen in the upper part of trachea. Blue: tongue pink: Tracheostomy op Acute laryngitis and tracheitis.
98
Specimen Describe Diagnosis
Dried lung. Gross Pathology: The lung is pale, semitransparent and over­ distended. Bullae are present, the largest is affecting the upper lobe. Cigarette smkoking & Alpha-1 anti-trypsin Bulla Diagnosis Emphysema.
99
Specimen Describe Diagnosis
Sectioned right lung. The upper, middle and lower lung lobes show multiple, variable-sized abscess cavities with irregular necrotic lining. A large bilocular cavity has a black shreddy gangrenous lining. The covering pleura shows white fibrous thickening and fibrous adhesions. Gangrenous cavity 1. Multiple lung abscesses with superimposed gangrene. 2. Pleural fibrosis and adhesions.
100
Specimen Describe Diagnosis
Basal part of the lung Basal part of the right lung shows a large abscess cavity 10 cm in diameter having a thick fibrous grayish wall and smooth inner lining. The covering pleura shows greyish white fibrous thickening and fibrous adhesions. - Chronic lung abscess. - Pleural fibrosis and adhesions.
101
Specimen Describe Diagnosis
Sectioned lung 1. A large apical cavity is seen with a fibrotic wall, and caseous lining traversed by ridges. The lower lobe shows multiple yellow caseous foci .The covering pleura shows greyish white fibrous thickening and fibrous adhesions. Apical tuberculous cavity 1. Chronic fibrocaseous pulmonary tuberculosis associated with confluent tuberculous pneumonia. 2. Pleural fibrosis and adhesions.
102
Specimen Describe Diagnosis
Section in the lung. 1. The bronchi show diffuse cylindrical or saccular dilatation with thickened wall. The covering pleura shows greyish white fibrous thickening and fibrous adhesions 1-Bronchiectasis, Cylindrical and Saccular types. 2. Pleural fibrosis and adhesions.
103
Specimen Describe Type of inflammation Diagnosis
Section in the right lung. The lower lobe is grayish in color, swollen and consolidated. The covering pleura is dull, opaque and greyish due to fibrin deposition. The upper and middle lobes are collapsed with scattered black anthracotic spots. Acute non-suppurative fibrinous inflammation 1.Lobar pneumonia, grey hepatization of the right lower lobe 2- Fibrinous pleurisy. 3. Anthracosis
104
Specimen Describe Diagnosis
Sectioned left lung (bisected). The upper lobe is grayish in color, swollen and consolidated. The covering pleura is dull, opaque and greyish due to fibrin deposition. A small abscess cavity (1 cm) is seen. The lower lobe shows a small calcified focus (Gohn’s focus). Blue: Abscess cavity Pink: Ghon's focus Diagnosis 1. Lobar pneumonia of left upper lobe with abscess formation. 2. Fibrinous pleurisy. 3. Ghon’s focus of the lower lobe.
105
Specimen Describe Diagnosis Common age group: Type of inflammation
Sectioned left lung of a CHILD. The lung tissue between the foci appear dark hyperemic. The covering pleura is dull, opaque and greyish due to fibrin deposition Children Acute suppurative inflammation 1 -Bronchopneumonia. 2-Fibrinous pleurisy.
106
Specimen Describe Diagnosis
Both lungs and trachea. 1. The left main bronchus is narrowed. Its wall is infiltrated by an ill-defined non- capsulated greyish yellow growth; mainly seen at the lower Malignant mass 2. The left lower lobe is consolidated; partly by the tumor growth and partly by yellowish exudates (septic pneumonitis). 3. The covering pleura is dull, opaque and greyish due to fibrin deposition 4. The hilar and the tracheobronchial lymph nodes (along side the trachea and main bronchi) are enlarged, adherent and show greyish yellow cut section. 1. Bronchogenic carcinoma of left lung. 2. Septic pneumonitis and pleurisy. 3. Right lower lobe metastases. 4. Mediastinal lymph node metastases.
107
Specimen Describe Diagnosis
Sectioned lung The cut surface of the lung shows numerous scattered small caseous foci. The tracheobronchial lymph nodes show yellow caseous foci and anthracosis. The covering pleura shows greyish white fibrous thickening and fibrous adhesions. 1. Miliary tuberculosis of the lung. 2. Pleural fibrosis and adhesions.
108
Specimen Describe Diagnosis Other organs that can be effected
Sectioned lung. The lung shows scattered non­ capsulated small nodules 2-15 mm, some are seen sub-pleural. Lung metastases Brain and bones
109
Diagnosis Describe Behavior Is this tumor capsulated
Leiomyoma Section in BENIGN non- capsulated TUMOR. The MUSCLE CELLS are spindle shaped cell with eosinophilic cytoplasm and rod shaped nucleus. There is no collagen in between the individual muscle cells. The FIBROUS STROMA is formed of fibroblasts Benign No
110
Diagnosis Describe Arrow Is this lesion neoplastic
Cystic Endometrial Hyperplasia Increased number of the GLANDS and variation in their size and shape. The glands are lined by columnar cells which might form multiple layers or papillary processes. Cystically dilated endometrial glands No
111
Diagnosis Describe Is this lesion neoplastic Arrow
Fibrocystic Disease of the Breast CYST FORMATION: Some ducts show cyst formation and become lined by cubical or flattened cells. APOCRINE METAPLASIA: Some ducts lined by acidophilic cells. FIBROSIS of the surrounding stroma. No Cystically dilated breast ducts
112
Diagnosis Describe Arrow Behaviour
Pericanalicular Fibroadenoma Proliferated DUCTS, rounded or oval in cut section with patent lumen, lined by two layers of cells. Delicate FIBROUS TISSUE containing blood vessels Round ducts with patent lumen Benign
113
Diagnosis Describe
114
115
116
117
118
119
120
Specimen Describe Diagnosis
Describe Specimen: Opened uterus Gross Pathology: 1. An well defined oval POLYP; 4 cm in length is seen arising from the posterior superior aspect of the endometrium. 2. The polyp is well defined, greyish white and has a smooth surface that shows tiny cysts Diagnosis ENDOMETRIAL POLYP. Black: Uterine cervix Blue: Endometrial polyp
121
Specimen Describe Diagnosis
Describe? Specimen: An opened uterus with both Fallopian tubes and ovaries. Gross Pathology: 1. The UTERUS shows a fungating polypoid greyish white mass with areas of hemorrhage and necrosis. The tumor is projecting in the lumen and infiltrating the uterine wall. 2. The LEFT OVARY is enlarged and shows multilocular cystic tumor. Blue: Uterine carcinoma (malignant) Orange: Lt Ovarian mucinous cystadenoma Diagnosis? 1. Carcinoma of the uterus 2. Mucinous cystadenoma of the left ovary.
122
Specimen Describe Diagnosis Are these lesions capsulated or not?
Describe? Specimen: Sectioned uterus. Gross Pathology: 1. The uterus is asymmetrically enlarged. 2. The uterine wall is thickened and shows one submucous and multiple variable-sized interstitial rounded well-defined masses. 3. The masses show greyish white whorly cut section. They are surrounded by pseudo­ capsule. Diagnosis? No Multiple uterine leiomyomata (fibroids) of the interstitial and submucous types.
123
Specimen Describe Diagnosis
124
Specimen Describe Diagnosis
125
Specimen Describe Diagnosis
126
Specimen Describe Diagnosis
127
Specimen Describe Diagnosis
128
Specimen Describe Diagnosis
129
Specimen Describe Diagnosis
130
Specimen Describe Diagnosis
131
Specimen Describe Diagnosis
132
Specimen Describe Diagnosis
133
Specimen Describe Diagnosis
134
Specimen Describe Diagnosis
135
Specimen Describe Diagnosis
136
Specimen Describe Diagnosis
137
Specimen Describe Diagnosis
138
Specimen Describe Diagnosis
139
140
141
142
143
144
145
146
147
148
149
150
151
152
153
154
155
156
157
158
159
160
161
162
163
164
165
166
167
168
169
170
171
172
Specimen Describe Diagnosis
173
Specimen Describe Diagnosis
174
Specimen Describe Diagnosis
175
Specimen Describe Diagnosis
176
Specimen Describe Diagnosis
177
Specimen Describe Diagnosis
178
Specimen Describe Diagnosisv
179
Specimen Describe Diagnosis
180
Specimen Describe Diagnosis
181
Specimen Describe Diagnosis
182
Specimen Describe Diagnosis
183
184
185
186
Specimen Describe Diagnosis
187
Specimen Describe Diagnosis
188
Specimen Describe Diagnosis
189
Specimen Describe Diagnosis
190
Specimen Describe Diagnosis
191
Specimen Describe Diagnosis
192
193
194
195
196
197
198
199
Specimen Describe Diagnosis
200
Specimen Describe Diagnosis
201
Specimen Describe Diagnosis
202
203
204
205
Specimen Describe Diagnosis
206
Specimen Describe Diagnosis
207
208
209
210
211
212
213