Slide practice Patho Flashcards

(33 cards)

1
Q

Respiratory system

A

Allergic nasal polyp

Vascular core showed edema infiltrated by plasma cells, lymphocytes and macrophage

How well did you know this?
1
Not at all
2
3
4
5
Perfectly
2
Q

Respiratory system

A

Rhinoscleroma in nasal mucosa

Mickulicz cell with foamy cytoplasm, lymphocytes, plasma cells and Russel bodies

How well did you know this?
1
Not at all
2
3
4
5
Perfectly
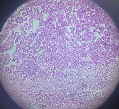
3
Q

Respiratory system

A

Bronchogenic carcinoma

Malignant tumor infiltration formed of sheets. Malignant cells vary in size and shape

How well did you know this?
1
Not at all
2
3
4
5
Perfectly
4
Q

GIT & Liver

A

Acute suppurative appendicitis (round with naked eye)

Edema, congestion and exudate in mucosa, submucosa and serosa. Many polymorphs, pus cells and macrophages

How well did you know this?
1
Not at all
2
3
4
5
Perfectly
5
Q

GIT & Liver

A

Adenocarcinoma, colon

Irregular acini infiltrating the submucosa
The acini are columnar and irregular

How well did you know this?
1
Not at all
2
3
4
5
Perfectly
6
Q

GIT & Liver

A

Mucoid adenocarcinoma, colon

Malignant tumor formed of malignant irregular acini and solid group of malignant cells. And pools of infiltrating the submucosa

How well did you know this?
1
Not at all
2
3
4
5
Perfectly
7
Q

GIT & Liver

A

Bilharzial poly, colon

Calcified ova surrounded by bilharizial reaction and vascular CT

How well did you know this?
1
Not at all
2
3
4
5
Perfectly
8
Q

GIT & Liver

A

Liver cirrhosis

Regeneration nodules are present as well as loss of architecture. Fibrous septae is present

How well did you know this?
1
Not at all
2
3
4
5
Perfectly
9
Q

GIT & Liver

A

Hepatocellular carcinoma with cirrhosis

Malignant tumor formed of infiltrating trabeculae and sheets. The rest of cirrhosis

How well did you know this?
1
Not at all
2
3
4
5
Perfectly
10
Q

Genitourinary & Male

A

Renal cell carcinoma

Malignant tumor showing delicate vascular CT stroma. The cells are large and pale and vacuolated

How well did you know this?
1
Not at all
2
3
4
5
Perfectly
11
Q

Genitourinary & Male

A

Wilm’s tumor

Undifferentiated blastemal cells, small spindle, round or oval deep stained cells.

How well did you know this?
1
Not at all
2
3
4
5
Perfectly
12
Q

Genitourinary & Male

A

Bilharziasis of urinary bladder

Bilharzia ova, surrounded by bilharzial reaction and urothelium show hyperplasia

How well did you know this?
1
Not at all
2
3
4
5
Perfectly
13
Q

Genitourinary & Male

A

Transitional cell carcinoma of bladder

Papillary malignant tumor that shows vascularized CT by several layers of transitional cells showing pleomorphism

How well did you know this?
1
Not at all
2
3
4
5
Perfectly
14
Q

Genitourinary & Male

A

Benign prostatic hyperplasia

Proliferation of both the acini and the fibromuscular stroma

How well did you know this?
1
Not at all
2
3
4
5
Perfectly
15
Q

Female & Breast

A

Endometrial hyperplasia

Increased number of glands and variation in their size and shape. Some glands are dilated and lined by flatten cells

How well did you know this?
1
Not at all
2
3
4
5
Perfectly
16
Q

Female & Breast

A

Fibrocystic disease of the breast

Cyst formation and apocrine metaplasia with fibrosis

17
Q

Female & Breast

A

Pericanalicular fibroadenoma

Proliferated ducts oval in cut section with patent lumen. Delicate fibrous tissue containing blood vessels

18
Q

Female & Breast

A

Invasive duct carcinoma of breast

A MALIGNANT TUMOR formed of invasive sheets of malignant epithelial cells separated by dense fibrous stroma. The malignant cells are rounded

19
Q

Female & Breast

A

Leiomyoma

Interlacing bundles of smooth muscle cells surrounded by fibrous stroma. The MUSCLE CELLS are spindle shaped cell

20
Q

Skin & Soft tissue

A

Squamous cell papilloma

CORES of connective tissue showing blood vessels. COVERED BY a thick hyperplastic stratified squamous epithelium

21
Q

Skin & Soft tissue

A

Squamous cell carcinomoa

Nests of malignant epithelial cells infiltrating the dermis. The tumor masses are variable in size and shape,

22
Q

Skin & Soft tissue

A

Basal cell carcinoma

Masses of malignant epithelial cells, variable in size and shape infiltrating the dermis. They also show polymorphism

23
Q

Skin & Soft tissue

A

Melanocytic nevus

dark brown melanin pigment

24
Q

Skin & Soft tissue

A

Melanoma

Dermal infiltration by groups of malignant cells which are rounded and show pleomorphism and brown melanin pigment

25
Skin & Soft tissue
Cavernous hemangioma Irregular wide vascular spaces lined by flat endothelium separated by connective tissue bundles and containing intact red blood cells.
26
Bone & Lymphoid
Chondroma The tumor is surrounded by a fibrous capsule at the periphery sending septa carrying thin walled blood vessels.
27
Bone & Lymphoid
Giant cell tumor Large number of MULTINUCLEATED GIANT CELLS, of the osteoclastic type Areas of necrosis, degeneration and hemorrhage
28
Bone & Lymphoid
Reactive follicular hyperplasia, Lymph node PRESERVED lymph node ARCHITECTURE with Patent subcapsular sinus. The lymphoid follicles are variable in size
29
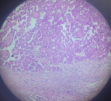
Endocrine & Nervous
Colloid goiter, thyroid Variable-sized closely packed THYROID FOLLICLES lined by cuboidal epithelium
30
Endocrine & Nervous
Toxic goiter, thyroid Hyperplastic follicles variable in size and shape, lined by cubical
31
Endocrine & Nervous
Papillary carcinoma A PAPILLARY MALIGNANT TUMOR formed of papillae have thin fibrovascular CORES COVERED BY multiple layers of malignant cells
32
Endocrine & Nervous
Meningioma The central cells of some whorls undergo hyalinosis which might undergo calcification and appear dark blue
33
Endocrine & Nervous
Schwannoma Proliferating SCHWANN CELLS. These cells are spindle with elongated nuclei arranged in bundles parallel to each other