What is the most common type of malignant colonic lesion?
Adenocarcinoma
Rarer malignant colonic lesions?
Melanoma Carcinoid tumours Squamous cell tumours esp distal anal canal
Where are majority of colorectal cancers found?
70% in sigmoid/upper rectum
4 histological features suggestive of Crohn’s?
Transmural inflammation in skip lesions
Non-caseating epithelioid granulomatous inflammation
Giant Langerhans cels
Cobblestoning, aphthoid ulceration
4 histological features suggestive of UC?
Pseudopolyps Red raw mucosa Goblet cells/mucin Crypt abscesses
What is the most common extra-colonic feature of IBD?
Arthritis
Other extra-colonic features of Crohns/UC? Which are more common in each?
Erythema nodosum Episcleritis - more common in Crohns Uveitis - more common in UC PSC - more common in UC Osteoporosis Pyoderma gangrenosum Clubbing
What does barium enema for UC look like?
Loss of haustrations Superficial ulceration with pseudopolyps Drainpipe colon (longstanding disease)
What is the increased risk of colorectal cancer in UC?
6-fold
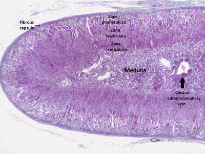
Describe the organisation of the adrenal glands? What secretes what?

Furthest outside is fibrous capsule
Adrenal cortex is outside and consists of zona glomerulosa (mineralocorticoids), fasciculata (glucocorticoids) and reticuclaris (androgens)
Medulla consists of chromaffin cells secreting Adr and NA
Central adrenomedullar vessels inside
What stimulates release of adrenaline and noradrenaline? Where from? Derived from what?
NA and Adr are derived from tyrosine and exocytotically release from chromaffin cells of adrenal medulla under stimulation of pre-ganglionic sympathetic fibres (splanchnic nerves) from thoracic spinal cord - via ACh
How are thyroid hormones synthesised?
Iodide ions in blood stream actively transported from extracellular space into colloid-filled follicular epithelium
Converted to iodine via oxidisation by peroxide, which combines with tyrosine to form monoiodotyrosine and diiodotyrosine
These combine via thyroglobulin to form triiodothyronine (1 + 2 = T3) and thyroxine (2 + 2 = T4)
What thyroid hormone is active? How? Why aren’t all thyroid hormones like this?
T3 is active component in cells via binding to intracellular nuclear receptors to increase basal metabolic rate, glucose absorption/synthesis rate, fatty acid breakdown and protein turnover as well as RR and HR
T3 has shorter half life so most transported in plasma as T4 bound to albumin or thyroxine binding globulin
How is thyroid hormone secretion stimulated and controlled?
Hypothalamus releases TRH which stimulates anterior pituitary to release TSH
TSH acts directly on thyroid gland to absorb thyroglobulin into follicular cells, which is broken down to release T3 and T4 into systemic circulation
Negative feedback on TRH and TSH release
Investigation of thyroid lesion?
TFTs and USS +/- FNA cytology
What is the pathology of Graves disease?
Stimulatory auto IgG antibodies to TSH receptors on thyroid gland leading to chronic stimulation of gland and release of thyroid hormones, resulting in low TSH and raised T3/4
How much thyroid hormone does the normal thyroid have in reserve?
3 months worth
What histological type are most malignant pancreatic cancers? Where?
Adenocarcinoma, 70% are in head of pancreas
Risk factors for pancreatic cancer?
Smoking
Diabetes
Previous adenomas
FAP
Spread of pancreatic cancer?
Local
+ liver metastases
In which thyroid cancers is FNA not useful? Why?
Follicular or lymphoma
Follicular because need to see whether capsule is invaded; cancer only excludable on formal histological assessment so needs hemithyroidectomy
Lymphoma because consider core biopsy - best treated with chemo/radiotherapy rather than surgery
Outline interpretation of thyroid FNA results?
THY1 = inadequate - repeat or follow up US if cyst
THY2 = non-neoplastic e.g. colloid nodule, thyroiditis, cyst (if benign epithelial cells)
THY3 (a/f) = atypical or follicular cells. f needs hemithyroidectomy
THY4 = suspicious for malignancy - surgical resection unless lymphoma - core biopsy
THY5 = diagnostic of malignancy - surgical resection unless lymphoma or non-operable
How do follicular thyroid cancers metastasise? How does this vary from papillary?
Follicular offen haematogenously e.g. to bone
vs papillary where is via lymph
What are medullary thyroid cancers derived from?
Parafollicular c cells - secrete calcitonin