Pathology 2 Mo's notes Flashcards

(157 cards)

1
Q

What is the definition of Infective Endocarditis?

A

Inflammation of the endocardial surfaces of the heart including heart valves which is caused by certain microorganisms.

How well did you know this?
1
Not at all
2
3
4
5
Perfectly
2
Q

Types of endocarditis

A
  • Infective endocarditis: here microbes colonize the heart valves and form friable vegetations. The 2 types of IE are acute and subacute.
  • Non-bacterial thrombotic endocarditis aka marantic endocarditis: this variant characteristically occurs in the settings of cancers e.g. adenocarcinomas
  • Libman sacks endocarditis: occurs in the settings of cancers e.g. adenocarcinoma
How well did you know this?
1
Not at all
2
3
4
5
Perfectly
3
Q

Why rheumatic heart and valve replacement patients are more susceptible to IE?

A

Blood usually flows smoothly over valves, when these valves are damaged (as in RH) or in valve replacement, there will be an increased chance for bacterial colonization on damaged tissues.

How well did you know this?
1
Not at all
2
3
4
5
Perfectly
4
Q

Pathophysiology of rheumatic heart disease?
Leads to what macroscopic changes?

A

Immune system responds to group strep A but reacts with own tissues.
Combination of antibody and T-cell reactions cause chronic inflammation and damage/thickening of heart valves and cause stenosis.

How well did you know this?
1
Not at all
2
3
4
5
Perfectly
5
Q

What are the gross acute and chronic findings in infective endocarditis?

A

Acute phase: Valvular vegetations
Chronic phase: Commissural fibrosis, valve thickening, and calcification + shortened and fused chordae tendinea

How well did you know this?
1
Not at all
2
3
4
5
Perfectly
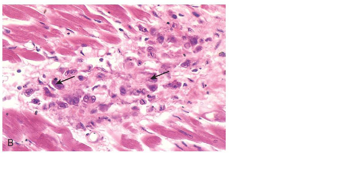
6
Q

Microscopic findings of infective endocarditis?

A

Aschoff bodies, a form of granulomatous inflammation which consists of a central zone of degenerating ECM infiltrated
by lymphocytes, plasma cells and Anitschkow cells, found in all 3 layers of the heart – pericardium, myocardium or endocardium

How well did you know this?
1
Not at all
2
3
4
5
Perfectly
7
Q

What 7 things to look for in echo for IE?

A

1) Valvular regurgitation: A regurgitant jet >1 cm in length and peak velocity >2.5 m/s
2) Leaflet: Prolapse, Coaptation failure, Thickening (>4 mm), Reduced mobility, Nodules
3) Annular dilatation
4) Chordal elongation/rupture
5) Increased echogenicity of subvalvular apparatus
6) Pericardial effusion
7) Ventricular dilatation and dysfunction (almost always with significant regurgitation)

How well did you know this?
1
Not at all
2
3
4
5
Perfectly
8
Q

Common organisms for IE?

A
  1. Viridans Strep. or Staph.
  2. . Coagulase negative staph.
  3. . Enterococci
  4. . Hacek group of microorganisms (oropharyngeal commensals)*
    * Haemophilus species,
    * Aggregatibacter species,
    * Cardiobacterium hominis,
    * Eikenella corrodens
    * Kingella species
How well did you know this?
1
Not at all
2
3
4
5
Perfectly
9
Q

What is used to diagnose IE?

A

Duke’s criteria

How well did you know this?
1
Not at all
2
3
4
5
Perfectly
10
Q

What are Dukes Major criteria for IE?

A
  1. Blood cultures positive for endocarditis - typical organisms
  2. Evidence of endocardial involvement - echo
How well did you know this?
1
Not at all
2
3
4
5
Perfectly
11
Q

What are Dukes minor criteria for IE?

A

1 Risk factors for infective endocarditis (see risk factors section)
2 Fever > 38oC
3 Vascular phenomena: septic emboli, Janeway lesions, conjunctival haemorrhage, intracranial haemorrhage
4 Immunological phenomena: glomerulonephritis, Osler’s nodes, Roth spots, positive rheumatoid factor
5 Microbiological evidence: positive blood cultures which do not meet the major criteria

How well did you know this?
1
Not at all
2
3
4
5
Perfectly
12
Q

What are risk factors for IE?
Intrinsic/Extrinsic

A

Intrinsic risk factors include:

  • Valvular stenosis or regurgitation: congenital or acquired
  • Hypertrophic cardiomyopathy
  • Structural heart disease with turbulent flow (e.g. VSD, PDA): but NOT isolated ASD or fully repaired VSD or PDA
  • Prosthetic heart valves: these will require replacement if infected
  • Previous infection (infective endocarditis/rheumatic fever) causing structural damage

Extrinsic risk factors include:

  • Intravenous drug use (right-sided endocarditis)
  • Invasive vascular procedures (e.g. central lines)
  • Poor oral hygiene/dental infections
How well did you know this?
1
Not at all
2
3
4
5
Perfectly
13
Q

What are complications of IE?
Cardiac/Systemic

A

Cardiac complications include:
* Valve destruction
* Heart failure (secondary to valve regurgitation)
* Arrhythmias and conduction disorders (e.g. AV block)
* Myocardial infarction
* Pericarditis
* Aortic root abscess

Systemic complications include:
* Emboli (e.g. stroke, splenic infarction)
* Immune complex deposition (e.g. glomerulonephritis)
* Septicaemia
* Death

How well did you know this?
1
Not at all
2
3
4
5
Perfectly
14
Q

Whare are some signs and symptoms of IE?
FROM JANE

A

Signs and symptoms of IE FROM JANE
* Fever
* Roth’s spots
* Osler’s nodes
* Murmur
* Janeway lesions
* Anemia
* Nail hemorrhage

How well did you know this?
1
Not at all
2
3
4
5
Perfectly
15
Q

What is the medical treatment of IE?

A

IV antibiotics depending on culture and sensitivity for 6 weeks (IV ceftriaxone and vancomycin)

How well did you know this?
1
Not at all
2
3
4
5
Perfectly
16
Q

Why might antibiotics not work in IE?

A
  • Valves do not have specific blood supply so antibiotics cannot reach
  • Organisms lie inside the vegetations
  • Bacteria form a biofilm (glycocalyx covering) that shields them from antibiotics
How well did you know this?
1
Not at all
2
3
4
5
Perfectly
17
Q

How is IE managed if there is no response to medical Rx?

A

Valve replacement or heart transplantation

How well did you know this?
1
Not at all
2
3
4
5
Perfectly
18
Q

What are the side effects of long term steroids?

A
  • Opportunistic bacterial and viral infections such as EBV, CMV —> leukemia, lymphoma
  • Cushingoid features: obesity, muscle weakness, hirsutism, striae
  • Cardiovascular: fluid retention, hypertension
  • Endocrine: DM
  • Musculoskeletal: osteoporosis, AVN, proximal myopathy
How well did you know this?
1
Not at all
2
3
4
5
Perfectly
19
Q

Mechanism of action of immunosuppressants? How do immunosuppressants work?

A
How well did you know this?
1
Not at all
2
3
4
5
Perfectly
20
Q

What is the mechanism of action of warfarin?
Which numbers?

A

Vitamin K antagonist thus inhibiting clotting factors 2,7,9,10

How well did you know this?
1
Not at all
2
3
4
5
Perfectly
21
Q

How to reverse warfarin?

A
  • Vitamin k
  • FFP
  • PCC
How well did you know this?
1
Not at all
2
3
4
5
Perfectly
22
Q

In IE if there are right sided vegetations what is the cause?

A

IV drug abuser

How well did you know this?
1
Not at all
2
3
4
5
Perfectly
23
Q

What causes aortic stenosis?

A

Atherosclerosis: Lipid accumulation, inflammation, calcification →
valve thickening and stenosis

How well did you know this?
1
Not at all
2
3
4
5
Perfectly
24
Q

How does heart failure develop in aortic stenosis?

A
  • As the aortic valve progresses from sclerosis to stenosis, the left ventricle encounters chronic resistance to systolic ejection (↑ afterload) → thickening of the left ventricular wall (hypertrophy)

  • Effects of high left ventricular afterload include decreased left ventricular myocardial elasticity and coronary blood flow and increased myocardial workload, oxygen consumption, and mortality.
  • Late manifestations of LVH include a smaller left ventricular chamber size, which decreases preload and worsens systolic dysfunction. The result is insufficient stroke vol ume, cardiac output, and ejection fraction. Finally, backward transmission of increased left ventricular pressure to the lungs may cause pulmonary venous hypertension and reactive vasoconstriction of the pulmonary vasculature.

How well did you know this?
1
Not at all
2
3
4
5
Perfectly
25
Which coagulation pathway is not affected by warfarin?
Intrinsic pathway
26
What is a thrombus?
a blood clot formed in situ within the vascular system of the body and impeding blood flow
27
What are surgical options for aortic stenosis?
mechanical valve tissue valve TAVI - transarterial valve insertion Aortic balloon valvulopasty
28
What is giant cell arteritis?
Inflammatory disease of blood vessels (large and medium) of the head, mainly branches of ECA.
29
What are 4 histological changes in giant cell arteritis?
intimal thickening elastic lamina fragmentation infiltrateof T-cell and macrophages giant mulitnucliated cells
30
Why can blindness ocour in giant cell arteritis?
Ophthalmic artery involvement
31
What is the management for giant cell arteritis?
Corticosteroids. Start prednisolone 60mg/d PO immediately or IV methylprednisolone if evolving visual loss or history of amaurosis fugax. Typically a 2-year course.
32
What are the pathological changes in osteoporosis?
* Histologically normal bone that is decreased in quantity. * Postmenopausal osteoporosis the increase in osteoclast activity affects mainly bones or portions of bones that have increased surface area, such as the cancellous compartment of vertebral bodies. * The trabecular plates become perforated, thinned, and lose their interconnections, leading to progressive micro fractures and eventual vertebral collapse
33
What four things is osteoporosis characterised by?
* Low bone mass * Micro architectural deterioration of bone tissue * Increase bone fragility * Loss of bone matrix
34
How do corticosteroids cause osteoprosis?
* Direct inhibition of osteoblast formation * Direct stimulation of bone resorption * Inhibition of GIT calcium absorption * Stimulation of renal calcium losses * Inhibition of sex steroids
35
What are primary causes of osteoporosis?
* Idiopathic * Postmenopausal * Senile
36
What are secondary causes of osteoporosis?
Endocrine - addisons, DMT1, HPTH GI - malabsorption Drugs - etoh, corticosteroids Misc - anaemia, immobilisation
37
What are some causes of pathological fractures?
* Skeletal metastasis * Paget's disease * Multiple myeloma * Rickets * Osteomalacia * Osteogenesis imperfecta * Radiotherapy
38
What is multiple myeloma?
It’s a plasma cell neoplasm commonly associated with lytic bone lesions, hypercalcemia, renal failure, and acquired immune abnormalities. It produces large amounts of IgG 55% or IgA 25%. It is the most common primary bone tumor in elderly
39
What is used to diagnose multiple myeloma?
* Punched-out lytic skull lesions on x-ray * M spike on protein electrophoresis * Ig light chains in urine (Bence Jones proteins) * CRAB: o HyperCalcemia (corrected calcium > 2.75 mmol/l, > 11 mg/dL) o Renal insufficiency attributable to myeloma o Anemia (hemoglobin < 10 g/dl) o Bone lesions (lytic lesions or osteoporosis with compression fractures)
40
What is Bence Jones protein?
Are monoclonal globulin proteins or immunoglobulin light chain found in the urine. The proteins are produced by neoplastic plasma cells. Bence Jones proteins are present in 2/3 of multiple myeloma cases.
41
What are some causes of fat embolism?
* Long bone fracture (closed) * Major Burns * Acute pancreatitis * DM * Orthopedic surgery (intramedullary nailing, joint reconstruction) * Decompression sickness * CPBG (cardiopulmonary bypass graft)
42
How to manage fat embolism?
* Respiratory (O2/mechanical ventilation) * Fluid and electrolytes balance * General (DVT, sepsis, nutrition)
43
What is gangrene?
Gangrene (or gangrenous necrosis) is a type of necrosis caused by a critically insufficient blood supply
44
What is necrosis?
Accidental and unregulated form of cell death resulting from damage to cell membranes and loss of ion homeostasis
45
For necrosis and apoptosis what are the cell size, nucleus, plasma membrane, cellular contents, inflammation, and physiological/pathological role?
46
What is the pathogenesis of necrosis?
Severe/prolonged ischemia: severe swelling of mitochondria, calcium influx into mitochondria and into the cell with rupture of lysosomes and plasma membrane. Death by necrosis due the release of cytochrome C from mitochondria
47
What are the differences between wet and dry gangrene? site/mechanism /macroscopy /putrefication /demarcation/bacteria/prognosis
48
What is atherosclerosis?
Pathological process of the vasculature in which an artery wall thickens as a result of accumulation of fatty materials such as cholesterol
49
What are 5 risk factors for atherosclerosis?
* Smoking * HTN * DM * Family history * Increased LDL
50
What is a classification of lung cancer?
Small cell v non-smal cell
51
What are the types of necrosis?
* Coagulative * Liquefactive * Caseous * Fat * Fibrinoid * Gangrenous
52
What is the pathogenesis of clubbing?
high plasma growth hormone megakaryocytes lodge in peripheral vasculature lead to platelet derived growth factor (PDGF) = increased vascular permeability
53
How to distinguish the type of cancer?
Immunohistochemistry
54
If a tumour is epidermal growth factor positive what is the chemotherapy agent?
Tyrosine kinase inhibitor (imatinib)
55
What is an adenocarcinoma?
Adenocarcinoma is cancer that forms in mucus-secreting glands throughout the body.
56
What is emphysema?
In people with emphysema, the air sacs in the lungs (alveoli) are damaged. Over time, the inner walls of the air sacs weaken and rupture — creating larger air spaces instead of many small ones and reducing surface area for gas exchange
57
What is paraneoplastic syndrome?
A paraneoplastic syndrome is a syndrome (a set of signs and symptoms) that is the consequence of a tumor in the body (usually a cancerous one).[1] It is specifically due to the production of chemical signaling molecules (such as hormones or cytokines) by tumor cells or by an immune response against the tumor.[2]
58
What are the four categories of paraneoplastic syndromes? What is an example of each? What is it caused by?
**endocrine** - Cushing's - pancreatic cancer - hypercalcaemia - SCC lung, breast, renal **neurological** - myasthenia - bronchocarcinoma **mucocutaneous** - acanthosis nigricans - lung cancer, gastric **hematological** - VTE - all
59
Young Indian woman returns from visiting family with weight loss, night sweats and cervical lymphadeompathy. What are three differentials?
TB Lung cancer Hodgkin's lumphoma
60
What are the tests for TB?
Sputum - MC&S * Mantoux test * PCR to differentiate mycobacteria tuberculosis from other species * FNAC of lymph node
61
What oragnisms cause TB?
* Mycobacterium tuberculosis * Mycobacterium avium intracellulare (MAC) → disseminated infection in immunocompromised patients * Mycobacterium bovis
62
What are the culture media for mycobacteria?
* Solid media: Lowenstein Jensen media, Middlebrook media * Liquid media: BACTEC/MIGT (mycobacteria growth indicator tube)
63
How long does TB require to culture?
1 to 8 weeks
64
What are 3 histological features of TB?
necrotic granuloma, histiocytes, giant cells
65
What are giant cells?
Multinucleated cells comprising of macrophages often forming granuloma e.g. Langerhans’ giant cells, Reed sternberg cells
66
What 5 public health steps need to be taken for TB?
1- Notify the consultant in communicable disease control (CCDC) 2- Avoid working in the food factory 3- Use mask during sneezing or coughing 4- DOTS (Directly Observed Treatment, Short-course) anti-TB therapy 5- Contact tracing: the identification and diagnosis of persons who may have come into contact with an infected person
67
What is the advice to family members of confirmed TB patients?
Counselling, screening and treatment of other family members.
68
What is a granuloma?
A granuloma is an aggregation of macrophages (along with other cells) that forms in response to chronic inflammation. This occurs when the immune system attempts to isolate foreign substances that it is otherwise unable to eliminate
69
What are 6 causes of granuloma?
* Leprosy * Schistosomiasis * Sarcoidosis * Crohn’s * Rheumatoid arthritis * TB
70
What are 2 types of granuloma? In which conditions?
Ceaseating - TB Non-ceaseating - Crohn's
71
What are features of breast cancer in a mamogram?
speculated mass + microcalcifications
72
What are the categories for FNAC for breast cancer?
* C1 – inadequate sample * C2 – benign * C3 – equivocal * C4 – suspicious * C5 – malignant
73
What to look for on a pathology report of breast cancer?
* Type of cancer * Number of positive lymph nodes * Margins status * HER2 receptors status – poor prognosis * ER/PR receptor status – good prognosis * Ki 67 proliferation index – how progressive the cancer is? i.e. the higher its % the higher the progression of the cancer
74
What is the most common site of breast cancer? Why?
Most common site is upper outer quadrant as it has more glandular tissue
75
What is the most common type of breast cancer?
Invasive duct carcinoma
76
What tissues do breast lesions arrise from? Name some lesions
77
What is HER 2?
Oncogene, biomarker, transmembrane Human Epidermal growth factor Receptor 2 and it is overexpressed in 15% of breast cancer cases and associated with bad prognosis.
78
How to test for HER2?
Immunohistochemistry (IHC) measures the amount of HER2 protein in the cancer cells. Fluorescence in situ hybridization (FISH) looks at the number of copies of the HER2 gene in the cancer cells.
79
What is the treatment for HER2 positive breast cancer?
Monoclonal antibody, (Herceptin) Trastuzumab
80
How does Hereptin (Trastuzumab) work?
1. blocks HER2 receptor 2. antibody mediated destruction of cells overproducing HER2
81
What are adjunctive therapies in breast cancer?
* Radiotherapy * Chemotherapy * Hormonal therapy: o Premenopausal: Tamoxifen (20mg /d) for 5 years – blocks estrogen receptor o Postmenopausal: Aromatase inhibitors (anastrozole) to prevent peripheral conversion to estrogen
82
What are all elective surgical patients tested for?
MRSA
83
How is positive MRSA screen treated?
Patient is a carrier and will require decolonization – According to trust protocol * Nose: Mupirocin 2% (Bactroban Nasal®) nasal ointment TDS for 5 days * Skin: Once daily wash with Chlorhexidine 4% (Hibiscrub®) for 5 days * Hair: Wash with Chlorhexidine 4% (Hibiscrub®) on day 1 and day 5
84
What is the pathophysiology of Paget disease?
It is caused by the extension of DCIS (ductal carcinoma in situ) up the lactiferous ducts and into the contiguous skin of the nipple, producing a unilateral crusting exudate over the nipple and areolar skin.
85
Which cancers are seen in MEN1? 3P
Pituitary Pancreatic - insulinomas Parathyroid
86
MEN1 patient stupor confusion and hypoglycaemia. What is the diagnosis?
Insulinoma
87
What is the Knudson two hit hypothesis?
most tumor suppressor genes require both alleles to be inactivated, either through mutations or through epigenetic silencing, to cause a phenotypic change
88
What is a telemere?
A telomere is a region of repetitive nucleotide sequences at each end of a chromosome, which protects the end of the chromosome from deterioration or from fusion with neighboring chromosomes
89
What is an aneurysm?
An abnormal localised dilatation of a blood vessel to more than 1.5 its normal diameter
90
How are aneurysms classified?
Cause - Acquired - Normally caused by atherosclerosis - Traumatic e.g. popliteal aneurysms in horse-riders - Inflammatory - Infective e.g Syphilis - Congenital connective tissue disorders e.g. Marfan’s and Ehlers-Danlos syndromes True vs false (pseudoaneurysm = false aneurysm. This is a haematoma outside the vessel wall formed by a leaking hole) Site: thoracic aorta, abdominal aorta, intracranial Size: giant vs berry aneurysms Shape: fusiform vs saccular
91
What diameter of the infrarenal aorta would you consider aneurysmal?
The normal diameter of the infrarenal aorta is 2cm; therefore an aorta that was 3cm or larger would be considered aneurismal
92
What is the difference between a true aneurysm and a pseudoaneurysm?
A true aneurysm involves all three layers of the vessel wall, the intima, media and adventitia, whereas a pseudoaneurysm or false aneurysm is bounded by only part of the vessel wall.
93
What are risk factors for an abdominal aortic aneurysm?
Smoking Hypertension Age Family History Hyperlipidaemia Diabetes mellitus Male sex
94
What is the pathophysiology of AAA?
Atherosclerosis is the commonest cause of abdominal aortic aneurysms. Other causes include infection and trauma, and genetic disposition plays as role. Abdominal aortic aneurysms arise due to failure of the structural proteins involved in the aortic wall, in particular the elastin and collagen in the media. Atherosclerosis results in weakening of the mechanical structure, loss of elastic recoil, and degenerative ischaemic changes due to obstruction of the vasa vasorum.
95
What is the greatest risk factor for an abdominal aortic aneurysm?
Smoking Other risk factors include age (>60), male sex, hypertension and family history.
96
What are the complications of aneurysms?
Rupture Thrombosis Embolism Infection Local pressure effects Fistula (e.g. aorto-enteric fistula)
97
At what size would you consider an abdominal aortic aneurysm for repair? Size and type of monitoring?
* above 5.5cm in diameter, or growing at a rate of > 1cm per year. * 3-4 cm, annual ultrasound imaging should be used to monitor for further dilatation. * 4-5.4 cm should be evaluated by ultrasound every 6 months, and patients with * All symptomatic aneurysms should be considered for repair.
98
What is the operative mortality of AAA repair?
For an elective non-ruptured AAA, mortality is around 3-5%, usually due to intraoperative rupture, or subsequent myocardial infarction, renal failure or infection.
99
What is the mortality for ruptured AAA?
50% of ruptured AAAs don’t reach hospital, and of those operated on, there is a 50% mortality.
100
What are the openings you might see in the posterior wall of the aneurysm?
The posterior openings are the exiting lumbar arteries They are a source of back bleeding during open abdominal aortic aneurysm repair
101
How do you deal with lumbar arteries during repair of an abdominal aortic aneurysm?
Lumbar artery orifices are normally oversewn to prevent back bleeding from collaterals. At repair there are several orifices you may see. Posteriorly are the lumbar arteries, laterally the renal arteries, which must be preserved, and anteriorly the superior and inferior mesenteric arteries. In suprarenal AAA repair the superior mesenteric artery is normally reimplanted. The inferior mesenteric artery is occluded unless it is patent and not vigorously back bleeding, in which case it is also reimplanted.
102
What is the best screening tool for AAA? Who and when?
Abdominal ultrasound imaging is probably best as it has few complications and measures to within 0.3cm accuracy Men aged 65
103
What are complications of an EVAR? intraoperative postoperative
Intraoperative complications * rupture of the aneurysm * endoleak Postoperatively early complications * mesenteric ischaemia * renal failure * infection * myocardial infarction
104
What is aortic dissection?
Aortic dissection is the forceful separation of the layers of the aortic wall due to a tear in the intima. Blood penetrates the space in between the intima and media causing them to be separated.
105
How does aortic dissection present?
sudden severe chest pain, which is maximal at onset, radiating through to the back. It has a high mortality.
106
How is aortic dissection classified?
The Stanford classification splits aortic dissection into type A and B. A, which also includes DeBakey type I and II, involves the ascending aorta B, only the descending aorta is involved
107
Which type of aortic dissection usually requires surgery?
In general type A aortic dissections require surgical repair whereas type B aortic dissections are managed with aggressive medical therapy.
108
What three things in MEN2a?
Parathyroid hyperplasia Medullary thyroid cancer Phaechromocytoma
109
What three things in MEN2a?
Hyperparathyroidism Medullary thyroid carcinoma Phaechromocytoma
110
How to diagnose pheochromocytoma?
Plasma: * Free metanephrine * Catecholamines Urine: * Metanephrines * Catecholamines * VMA Imaging: * Ultrasound * CT * MRI * MIBG scintigraphy * PET/CT
111
How is MEN2b different from 2a?
MEN2a (hyperparathyroidism, Medullary thyroid carcinoma, Phaechromocytoma) + Marfanoid + Mucosal neuromas
112
What is the most common parotid benign swelling?
pleomorphic adenoma
113
Describe pleomorphic adenoma appearance?
Benign tumors that consist of a mixture of ductal (epithelial) and myoepithelial cells, and therefore they show both epithelial and mesenchymal differentiation
114
What does pleomorphic mean?
Remarkable histologic diversity
115
What are some causes of bilateral parotid swelling? local/systematic/drugs
116
What are causes of unilateral parotid swelling?
* Duct obstruction – salivary calculus, external ductal compression * Neoplasia – benign or malignant * Infective mumps (although bilateral swelling is more common), parotitis
117
What are the histological features of pleomorphic adenoma?
well demarcated adjacent normal salivary glands
118
What is the most common type of malignant parotid tumour? Some others?
119
What are the clinical signs of malignant parotid tumour?
* Facial nerve affection * Rapid increase in size * Fixity to underlying tissue * Invasion of the skin * Skin ulcer * Presence of associated nodes
120
What are some cytological features of malignant tumours?
* Increased nuclear size (with increased nuclear/cytoplasmic ratio--N/C ratio). * Variation in nuclear or cell size (pleomorphism). * Lack of differentiation (anaplasia). * loss of normal tissue architecture (loss of polarity) * Increased nuclear DNA content with subsequent dark staining on H and E slides (hyperchromatism). * Prominent nucleoli or irregular chomatin distribution within nuclei. * Increased mitotic rate (especially irregular or bizarre mitoses). * Giant cells some malignant cells may coalese into so-called giant cell * Ischemic necrosis (from tumor cells outgrowing their blood supply)
121
What to do about a needle stick injury?
* The wound should be allowed to bleed under running water and wash with soap * Assess incident risk * Assess source patient o Take history if he has a possibility of any blood borne infection, take a blood sample from the patient if high risk after consent. * I would file an incident report and speak to occupational health for advice. * Documentation Source: https://www.
122
What are the postoperative complications of parotidectomy?
* 7th CN palsy * Frey’s Syndrome * Salivary fistula * Greater auricular nerve damage -numbness to earlobe
123
What is Frey's syndrome?
post-operative phenomena following salivary gland surgery resulting in gustatory sweating and facial flushing due to reinnervation of postganglionic fibers to sweat gland and cutaneous blood vessels
124
What is sensitivity?
Sensitivity is the ability of a test to correctly classify an individual as ′diseased′ (true positive rate) High sensitivity = low number of false negatives
125
What is specificity?
Specificity is the ability of a test to correctly classify an individual as disease-free (true negative rate). High specificity = low number of false positives
126
What is FNAC?
passing a needle through a lesion whilst suction is applied to a syringe.
127
What is a core biopsy?
A core biopsy is obtained by use of a spring-loaded gun with a needle passing quickly through the lesion
128
What are the routes of metastatic spread?
* Lymphatic (permeation and lymph emboli) * Hematogenous * Trans-celomic (along body cavity to peritoneal surface) * Local invasion
129
What are hyphae?
A hypha is a long, branching, filamentous structure of a fungus, oomycete, or actinobacterium. In most fungi, hyphae are the main mode of vegetative growth, and are collectively called a mycelium.
130
What is an abscess?
An abscess is a collection of pus surrounded by granulation or fibrous tissue
131
What is carcinoid tumor?
Slow-growing type of neuroendocrine tumor originating in the cells of the neuroendocrine system.
132
Where are carcinoid (neuroendorine) tumours most commonly found?
Small intestine, appendix (terminal third) and they can also be found in the rectum, stomach and lung
133
What cells does a carcinoid (neuroendocrine) tumour arise from? Where?
Enterochromaffin (EC) cells in the crypts of Lieberkuhn
134
What do carcinoid (neuroendocrine) tumours release?
serotonin (5-HT), bradykinins, prostaglandins, tachykinins, substance P and histamine
135
What is the clinical presentation of carcinoid tumours?
* Periodic abdominal pain * Manifestations of carcinoid syndrome: o Cutaneous flushing o Diarrhea and malabsorption o Cardiac manifestations: Valvular heart lesions, fibrosis of the endocardium o Wheezing or asthma like syndrome: Due to bronchial constriction
136
How is carcinoid syndrome diagnosed?
* Chromogranin A (CgA) Testing in the blood (protein secreted from carcinoid tumor cells) * 5-Hydroxyindoleacetic Acid (5-HIAA) Testing in 24 h urine (byproduct of serotonin) * Pathological diagnosis: immunohistochemistry stains positive for chromogranin B
137
Name 2 immunosuppressants used in kidney transplant
tacrolimus mycophenolate
138
What are four classes of immunosupressants with an example of each? What is the MOA?
* **Calcineurin inhibitors**, such as cyclosporine or tacrolimus, inhibit T cells by blocking IL2 * **Anti-proliferative agents**, such as mycophenolate mofetil or azathioprine, inhibit nucleotide synthesis * **Corticosteroids**, such as prednisolone or methylprednisolone, anitinflammatory * **Monoclonal antibodies**, such as Basiliximab (IL2 blocking) or Alemtuzumab (lymphocyte depleting) ## Footnote https://teachmesurgery.com/transplant-surgery/core-concepts/immunosuppression/
139
What are complications of UC?
* Abscess * Toxic megacolon * Malabsorption * Malignancy * Gall stones (due to inhibition of enterohepatic circulation so bile salts will not be absorbed leading to increased amount of cholesterol)
140
What are extraintestinal manifestations of IBD? A PIE SAC
* Aphthous ulcers * Pyoderma gangrenosum * Iritis * Erythema nodosum * Sclerosing cholangitis * Arthritis * Clubbing
141
What is the management of Crohn's disease?
**Medical** * Advice from gastroenterology * Steroid, antibiotics, 5-aminosalicylic acid, immunomodulators **Conservative** * Dietary control (low residue diet) **Surgery** * Refractory disease * Intestinal obstruction * Toxic megacolon * Abscess, fistula, perforation, hemorrhage, cancer
142
Describe for Crohn's the site, distribution, macroscopic, depth, pattern, histological features and cancer risk
**Site** Mouth to anus **Macroscopic** * Cobblestone appearance * Aphthoid ulceration * Linear fissures * Thickened bowel wall * Creeping fat **Depth** Transmural inflammation **Pattern** Patchy, skip lesions **Histology** Granulomas (non caseating epithelioid cell aggregates with Langhans' giant cells) Active colitis * Crypt abscess formation * Mucosal ulceration * Inflammatory pseudo polyps **Cancer ** 1 - 3%
143
Describe for UC the site, distribution, macroscopic, depth, pattern, histological features and cancer risk
**Site** Rectum and colon (back-wash ileitis) **Macroscopic** * Pseudopolyps * Extensive ulceration * Contact bleeding **Depth** Superficial inflammation **Pattern** Continuous **Histology** Crypt abscesses, Inflammatory cells in the lamina propria Active colitis * Cryptitis * Crypt abscess formation * Mucosal ulceration * Inflammatory pseudo polyps **Cancer** 5 - 25%
144
What is the adenocarcinoma sequence in bowel cancer?
Stepwise accumulation of mutations of oncogenes and tumor suppressor genes: 1- Loss of APC (tumor suppressor gene) → hyperplasia 2- K-RAS (oncogene) mutation → dysplasia 3- Loss of p 53 (tumor suppressor gene) → adenocarcinoma
145
What is an oncogene?
Created by mutation in proto-oncogenes Encode for oncoproteins that promote cell growth in the absence of normal growth producing signals
146
What are 3 examples of oncogenes?
KRAS - bowel cancer RET - MEN2 MVC - Burkett's lymphoma
147
What is a tumour suppressor gene?
Normal function is to inhibit proliferation of cells or promote cell death
148
What are 3 examples of tumour supressor genes?
APC - bowel cancer, brain, stomach, bone PTEN - breast, thyroid, endometrial STK2 - breast, pancreatic
149
What is a DNA mismatch repair gene?
Subset of tumour supressor Identification and repair of damaged DNA
150
What are 2 examples of DNA mismatch repair genes?
P53 - breast, sarcoma, bowel VHL - RCC, phaeochromocytoma
151
What is TNF
a cytokine involved in acute phase reaction
152
What is the role of TNF in IBD?
TNF and other immune mediated signals direct epithelia to increase tight junctions permeability which increase the flux of luminal bacterial components which activates innate and adaptive immune responses
153
What drugs antagonise TNF? What is their MOA?
* Infliximab * Adalimumab * Certolizumab Monoclonal IgG1 antibody to TNF- α
154
What is FAP?
Autosomal dominant condition characterized by loss of APC tumor suppressor gene leading to development of hundreds of tubular adenomas with 100% risk of cancer by the age of 40 AKA Gardener syndrome
155
What is the classification of polyps?
* **Non-neoplastic:** o Hamartomatous o Metaplastic * **Inflammatory:** o Pseudopolyps o Ulcerative colitis * **Neoplastic:** o Villous (40%) o Tubulovillous (20%) o Tubular (5%)
156
Extracolonic manifestations in the related gardener syndrome(FAP)?
* Mandibular osteoma * Desmoid tumors * Sebaceous cyst
157
What is the management in FAP?
Prophylactic near total colectomy by the age of 25