Definition of atelectasis
Incomplete expansion of lung or collapse of previously inflated lung
Definition of Pulmonary Edema
Increased hydrostatic (out) vs oncotic pressures (in). Secondary to injury of the interstitial membrane, capillary wall and alveolar wall (ex: adultARDS and DAD-diffuse alveolar damage). Neutrophils are thought to play key role in damage.
Pathophysiology order of events in emphysema
Proinflammatory cytokines–> (interleukin 8 (IL-8), interleukin 1 (IL-1), and tumor necrosis factor (TNF) (released by macrophages)–>neutrophils–> sequestration in the pulmonary microvasculature, margination and egress into alveolar space–> Activation
Activated neutrophils -> leukotrienes, oxidants, proteases, and platelet-activating factor (PAF)–>local tissue damage–> accumulation of edema fluid in the airspaces–> surfactant inactivation, and hyaline membrane formation. Increased macrophage elastase and metalloproteinases
Macrophage inhibitory factor (MIF, keeps macrophages alive)–>sustains the ongoing pro-inflammatory response, macrophage-derived cytokines [transforming growth factor β (TGF-β) and platelet-derived growth factor (PDGF)] stimulate fibroblast growth / collagen deposition healing phase of injury.

What is the difference between centriacinar and panacinar emphysema?
Centriacinar in respiratory bronchiole surrounded by spared alveolar spaces.
Panacinar in alveolus and entire pulmonary architecture. More common in alpha-1 antitrypsin deficiency

Antitrypsin Alpha 1
Inhibits neutrophil elastase which digests lung tissue. Inihibited by neutrophils and by oxygen free radicals produced by neutrophils (all of which is increased by smoking). If deficient, high risk for emphysema.
What is Bullous emphysema?
Bullous emphysema: refers to any type of emphysema that produces subpleural blebs or bullae (space more than one centimeter in diameter in the distended state).
What are the 3 subtypes of chronic bronchitis?
Chronic bronchitis: Persistant cough with sputum for 3 months in at least 2 consecutive years.
Simple chronic bronchitis: No evidence of airway obstruction.
Chronic asthmatic bronchitis: Increased wheezing and hyperactive airway.
Obstructive Chronic Bronchitis: Abnormal airflow.

Between the bronchial cartilage at the right and the bronchial lumen filled with mucus at the left is a submucosa widened by smooth muscle hypertrophy, edema, and inflammation (mainly eosinophils). These are changes of bronchial asthma. The peripheral eosinophil count or the sputum eosinophils can be increased during an asthmatic attack.

On cut section of the lung, the dilated airspaces with emphysema are seen. Although there tends to be some scarring with time because of superimposed infections, the emphysematous process is one of loss of lung parenchyma, not fibrosis.

The gross appearance, as seen here in a patient with organizing diffuse alveolar damage, is known as “honeycomb” lung because of the appearance of the irregular air spaces between bands of dense fibrous connective tissue. Found in end stage restrictive lung disease.

Bronchiectasis in a patient with cystic fibrosis, who underwent lung transplantation. Cut surface of lung shows markedly distended peripheral bronchi filled with mucopurulent secretions.

This is a squamous cell carcinoma of the lung that is arising centrally in the lung (as most squamous cell carcinomas do). It is obstructing the right main bronchus. The neoplasm is very firm and has a pale white to tan cut surface.

This is a larger squamous cell carcinoma in which a portion of the tumor demonstrates central cavitation, probably because the tumor outgrew its blood supply.Squamous cell carcinomas are one of the more common primary malignancies of lung and are most often seen in smokers.

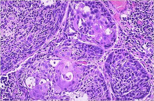
This is the microscopic appearance of squamous cell carcinoma with nests of polygonal cells with pink cytoplasm and distinct cell borders. The nuclei are hyperchromatic and angular.

This is a peripheral adenocarcinoma of the lung. Adenocarcinomas and large cell anaplastic carcinomas tend to occur more peripherally in lung.
Adenocarcinoma is the one cell type of primary lung tumor that occurs more often in non-smokers and in smokers who have quit. If this neoplasm were confined to the lung (a lower stage), then resection would have a greater chance for cure.
The solitary appearance of this neoplasm suggests that the tumor is primary rather than metastatic.

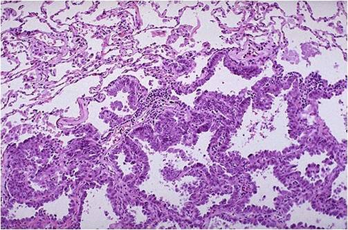
Microscopically, the bronchioloalveolar carcinoma is composed of columnar cells that proliferate along the framework of alveolar septae. The cells are well-differentiated. These neoplasms in general have a better prognosis than most other primary lung cancers.

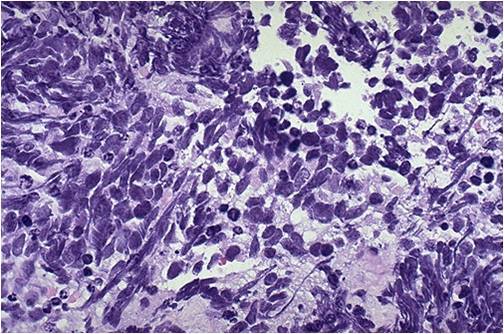
This is the microscopic pattern of a small cell anaplastic (oat cell) carcinoma in which small dark blue cells with minimal cytoplasm are packed together in sheets.

The dense white encircling tumor mass is arising from the visceral pleura and is a mesothelioma. These are big bulky tumors that can fill the chest cavity.The risk factor for mesothelioma is asbestos exposure. However, mesothelioma is rare even in persons with asbestos exposure. Asbestosis more commonly predisposes to bronchogenic carcinomas, increasing the risk by a factor of five. Smoking increases the risk for lung cancer by a factor of ten. Thus, smokers with a history of asbestos exposure have a risk 50 fold greater likelihood of for developing lung cancer.

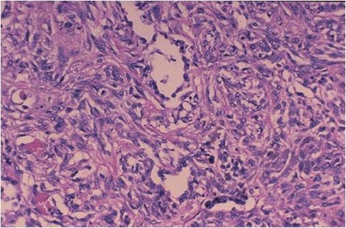
Mesotheliomas have either spindle cells or plump rounded cells forming gland-like configurations, as seen here at high power microscopically. They are very difficult to diagnose cytologically.

Small cell lung cancer, cytology specimen - High power Bronchoscopy revealed diffuse submucosal lesions in the right upper and middle lobe bronchi. A bronchial brush specimen (above) contained clusters of malignant cells. The cells have scant cytoplasm. The chromatin pattern of the nuclei is finely stippled, and nucleoli are present but inconspicuous. Nuclear molding is prominent- characteristic features (but also in lymphomas and other tumors).