Perio Flashcards

(59 cards)

1
Q

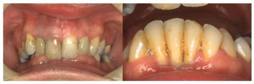
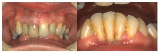
What is the likely cause of the gingival recession seen in the lower anterior sextant?

A

Traumatic overbite

How well did you know this?
1
Not at all
2
3
4
5
Perfectly
2
Q

When would mechanical root surface debridement not be successful in eliminated pocket bacteria?

A

* Difficulty with access (especially in furcation). * Non compliant patient. * Inadequate RSD/inexperience of clinician. * Patient is immunocompromised. * Sites inaccessible to instruments. * Failure to disrupt biofilm

How well did you know this?
1
Not at all
2
3
4
5
Perfectly
3
Q

When would antibiotics not be effective in periodontal disease?

A

* Antibiotics resisted by biofilms. * Concentration inadequate and not within the therapeutic range. * May not reach site of disease activity

How well did you know this?
1
Not at all
2
3
4
5
Perfectly
4
Q

How would you manage a periodontal abscess with systemic involvement?

A

* Incision and drainage. * Gentle sub-gingival debridement. * HSMW * Extraction of tooth if poor prognosis. * Antibiotics * Follow up HPT

How well did you know this?
1
Not at all
2
3
4
5
Perfectly
5
Q

What would be clinical signs of improved periodontal health?

A

* Reduced probing depth (<4mm). * BoP <10%. *Plaque scores <15%

How well did you know this?
1
Not at all
2
3
4
5
Perfectly
6
Q

*A photo showing a space between 13 and 14*
What investigations should be carried out and why?

A

* BPE; a screening tool for periodontal health. *PGI to assess plaque and bleeding levels. *6PPC to assess periodontal disease. * Periapicals to assess prognosis of teeth, drifting by periodontal disease. * Study models (offers a point of reference)

How well did you know this?
1
Not at all
2
3
4
5
Perfectly
7
Q

What bacteria are involved in ANUG?

A

P. Intermedia and fusobacterium as well as spirochetes such as treponema

How well did you know this?
1
Not at all
2
3
4
5
Perfectly
8
Q

What are the clinical signs and symptoms of ANUG?

A

* Blunting of interdental papilla. * Halitosis. * Grey slough that wipes off to reveal ulcerative tissue. * crater like ulcers. * Reverse gingival architecture

How well did you know this?
1
Not at all
2
3
4
5
Perfectly
9
Q

List 5 risk factors for ANUG

A

* Age (young) *Stress *Poor OH *Immunocompromised (HIV) *Smoking

How well did you know this?
1
Not at all
2
3
4
5
Perfectly
10
Q

Briefly outline management of ANUG

A

* Ultrasonic debridement *Oxygenating MW (hydrogen peroxide 3%) *OHI modified for patient *Consider Chlorhexidine *Smoking cessation if needed * ABs if systemic or immunocompromised (Metronidozole 200mg 3 x daily for 3 days)

How well did you know this?
1
Not at all
2
3
4
5
Perfectly
11
Q

Patient is obese and a reformed smoker, history of ischemic heart disease. Despite excellent OH he still has pockets of 6/7mm that BoP. You elect to undertake open flap curretage. What do you discuss with the patient to get informed consent?

A

* Risks; gingival recession, infection, pain, bleeding, swelling, bruising. *Benefits; effectively debride area with direct vision *Outcomes; possible reduction of pocket depths *Other treatment options; Repeat NSPT *Risks of no treatment; increase in pocket depth, increase in mobility, increased risk of tooth loss

How well did you know this?
1
Not at all
2
3
4
5
Perfectly
12
Q

A patient has just completed surgical periodontal therapy, when should the patient be reviewed and what is the rationale?

A

8 weeks to allow sufficient time for healing.

How well did you know this?
1
Not at all
2
3
4
5
Perfectly
13
Q

What are the clinical signs of improved health following HPT?

A

* Pocket depths <4mm *BoP <10% * Plaque score <15%

How well did you know this?
1
Not at all
2
3
4
5
Perfectly
14
Q

Why might antibiotics not work for chronic periodontal disease?

A

* Biofilms resistant to antibiotics. * Antibiotic resistance. * Antibiotics inactivated by first pass metabolism. * Poor patient adherence to regime

How well did you know this?
1
Not at all
2
3
4
5
Perfectly
15
Q

Describe how a modified plaque score is recorded

A

* Recorded for every patient

* 16, 21, 24, 36, 41, 44 (Ramfjords teeth)

* Each tooth is split into buccal/lingual.interproximal surfaces

* 2 = visible plaque

1 = Plaque revealed with probe

0 = no plaque

How well did you know this?
1
Not at all
2
3
4
5
Perfectly
16
Q

Describe how a modified bleeding score is recorded

A

* Recorded for every patient

* Measures marginal bleeding rather than BoP

* Each Ramfjords tooth has a perio probe run gently at 45 degrees around the gingival sulcus in a continuous sweepl For up to 30 seconds after probing, check for the presence or absence of bleeding.

* mesial, distal, buccal, lingual

* Score of 1 or 0

How well did you know this?
1
Not at all
2
3
4
5
Perfectly
17
Q

What are the four stages of periodontal disease?

A

Worst site of bone loss is used

Stage 1; (early/mild) <15% or <2mm from CEJ

Stage 2; (moderate) Coronal third of root

Stage 3; (severe) Mid third of root

Stage 4; (very severe) Apical third of root

How well did you know this?
1
Not at all
2
3
4
5
Perfectly
18
Q

How is periodontal disease graded?

A

% of bone loss divided by patients age

Grade A slow rate of progression, <0.5

Grade B Moderate rate of progression, 0.5-1

Grade C Rapid rate of progression >1

How well did you know this?
1
Not at all
2
3
4
5
Perfectly
19
Q

How do you rate the assessment of current periodontal status?

A

Currently stable; BoP <10%, PPD = 4mm, No BoP at 4mm sites

Currently in remission; BOP >/= 10%, PPD = 4mm, no BoP at 4mm sites

Currently unstable; PPD >/= 5mm

PPD >/= 4mm and BoP

How well did you know this?
1
Not at all
2
3
4
5
Perfectly
20
Q

What clinical and lab investigations can be carried out to help aid a periodontal diagnosis? (3marks)

A

* Thorough history including family history.

* Periodontal pocket chart

* Microbiological analysis of swab of crevicular fluid

How well did you know this?
1
Not at all
2
3
4
5
Perfectly
21
Q

In a patient with periodontal disease, how would you decide the prognosis for individual teeth? (3)

A

* Loss of attachment

* Mobility

* Furcation involvement

How well did you know this?
1
Not at all
2
3
4
5
Perfectly
22
Q

What are some proposed biofilm resistance mechanisms?

A

*Antimicrobials may fail to penetrate beyond the surface layers of the biofilm

*Antimicrobials may be trapped and destroyed by enzymes.

*Antimicrobials may not be active against non-growing microorganisms

*Expression of biofilm specific resistance genes (eg efflux pumps)

*Stress response to hostile environment conditions

How well did you know this?
1
Not at all
2
3
4
5
Perfectly
23
Q

Give 3 features of apical periodontitis

A

*Chronic poly-microbial infection

*Stimulation of host response

*Connective tissue destruction

How well did you know this?
1
Not at all
2
3
4
5
Perfectly
24
Q

Besides the lower anterior sextant, where else might you expect to see signs of a traumatic overbite?

A

Palatal gingivae of upper anteriors

25
Having completed a history, examined the soft tissues, charted the teeth and restorations present and examined the occlusion, list 5 other investigations you would perform.
\* BPE \* Full periodontal chart as indicated \* Clinical photographs \* Plaque and bleeding indices \* Radiographs \* Study models \* Mobility scores \* Sensibility testing
26
List two generatl approaches to this patients initial treatment
\* Hygiene phase therapy \* A bite raising appliance
27
At a re-evaluation appointment there are no deep pockets and the patients oral hygiene is excellent. But the lower incisors are still mobile and causing the patient concern, what further treatment would you offer to manage the mobility?
A lingual bonded splint. This would only be indicated if the patients oral hygiene is very good as in this case
28
Give four indications for the use of chlorhexidine mouthwash?
Pre surgery Post surgery Denture induced stomatitis Medically impared (case selective) Acute necrotising ulcerative gingivitis Treatment in dry socket Endo irrigant High caries risk (individual dependent)
29
What 3 features on a PA would lead you to a diagnosis of Generalised Aggressive Periodontitis?
\* Bone loss affecting at least 3 teeth \* Age of the patient \* Patient otherwise fit and well \* Vertical bony defects \* Rapid progression of bone loss
30
What clinical and lab investigations could you carry out for a pt with periodontitis?
Thorough history inc family history Periodontal pocket chart Microbiological analysis of sample (swab of crevicular fluid)
31
In a patient with periodontal disease, how would you decide the prognosis of each tooth?
Loss of attachment Mobility Furcation involvement
32
In what ways would you provide post perio surgery advice for a patient, and what would you like them to know to avoid post op complications?
\* Verbal and written \* Avoid smoking for one week if possible \* Avoid rinsing for that day, can rinse from the following day \* Avoid strenuous exercise \* Rinse with CHX mw 2 x daily 0.2% 10ml
33
How do you manage a perio abscess with sytemic involvement?
\* May require LA \* Achieve drainage via pocket or incision \* Gentle RSI short of the base of the pocket to avoid trauma \* Advise on analgesic use \* Give OHI including use of CHX mw until acute symptoms subside \* Provide antibiotics due to systemic involvement 500mg amoxicillin or 400mg metronidazole both 3 x daily for 5 days \* Review in ten days
34
What is a periodontal abscess?
Acute exacerbation of an existing periodontal pocket eg trauma or obstruction. Caused by food packing or inadequate RSD
35
What are some signs and symptoms of a periodontal abscess?
Pain on biting or spontaneously TTP Swelling Pus Pocketing at swelling Mobility
36
How is a periodontal abscess differentiated from a periapical abscess?
Sensibility testing vital vs non vital Also consider perio status of the rest of the mouth
37
How do you manage occlusal trauma in a patient with periodontal disease?
Address the cause; ease high restorations, address parafunction Bit raising appliance for night time wear HPT
38
What factors can influence localised mobility?
\* Existing periodontal disease \* Occlusal trauma causing widening of PDL \* Morphology and length of roots \* Alveolar bone loss \* Resorption/trauma
39
When might splinting be advised in a periodontitis patient?
Mobility due to advanced loss of attachment Mobility is causing discomfort or difficulty eating To facilitate RSD
40
Why is there a decease in mobility following perio treatment?
Increased tissue tone and long junctional epithelial attachment
41
What can be done if the PDL is still widened after successful treatment?
Reduce occlusal contacts
42
How are localised and generalised aggressive periodontitis different?
Local - localised LOA, 6s, incisors, initially occurs around puberty, robust antibody response General - Generalised LOA 6s, incisors and 3 + other teeth Onset usually under 30 years Poor serum antibody response Episodic nature
43
What bacteria is involved in aggressive periodontitis?
AA Porphymonas gingivalis
44
How is aggressive periodontitis initially managed?
Non surgical sub gingival PMPR. 2 weeks CHX mw and spray ABs (amoxicillin or metronidazole) Refer to specialise within 6-8 weeks
45
In periodontitis, what features would indicate a tooth had poor prognosis and why?
Mobility - reduced bone support Furcation involvement - more difficult to keep clean LOA - less supporting structures for tooth Loss of vitality
46
Diagnose
Angular bone loss
47
Besides clinically and radiographic, what other two pieces of information are needed before determining prognosis of teeth?
Smoking history Drug history Systemic disease
48
How is localised angular periodontitis caused?
When pathway of inflammation travels directly into PDL space, localised plaque retentive facors
49
How does a healthy periodontium react to occlusal trauma?
PDL widening - mobility No LOA or inflammation Will resolve when occlusion addressed
50
What category of drug is chlorhexidine?
Bisbiguanide antiseptic
51
What is the substantivity of CHX
12 hours
52
Give two commonly prescribed doses of chlorhexidine
0. 2% 10ml/ 20mg 2 x daily 0. 12% 15ml/18mg 2 x daily
53
Name four side effects of CHX
Staining Taste disturbance Salivary gland enlargement Anaphylaxis Interacts with SLS
54
List 8 uses for chlorhexidine
Surgical pre op rinse
55
What is TIPPS?
Delivery method of OHI Talk, instruct, practice, plan, support
56
What 7 things are recorded on a periodontal pocket chart?
Missing teeth Gingival margin Pocket depth LOA Mobility Furfaction BOP
57
Give two disadvantages of a pocket chart
Assumes all patients have same root length so may appear worse than it is Pobing depths are subjective/variation between clinicians
58
What are the local factors for gingival recession?
Periodontal disease Habits Traumatic tooth brushing Abraisive toothpaste High frenal attachment Crowding Traumatic overbite Orthodontic treatment Poor marginal fit restorations
59
How can localised recession be managed?
Atraumatic toothbrushing technique Minimise other risk factors Monitor Treat sensitivity Free/pedicle soft tissue graft Coronal advancement flap