SCR Flashcards

(166 cards)

1
Q

Identify caries classification

A

Decalcification - white/brown spot lesions

How well did you know this?
1
Not at all
2
3
4
5
Perfectly
2
Q

Give 5 signs and symptoms of TMD

A

* Headache. * Ear pain. * Muscle pain. * Joint pain. * Trismus. * Clicking or popping noises. * Crepitus.

How well did you know this?
1
Not at all
2
3
4
5
Perfectly
3
Q

Give 5 aspects of causative advice for TMD

A

* Soft diet. * Stop parafunctional habits ie nail biting. * Support mouth upon opening (yawning). * Relaxation. * Chew on both sides. * Cut food into smaller pieces. * Don’t incise food. * Avoid chewing gum. * Avoid over opening.

How well did you know this?
1
Not at all
2
3
4
5
Perfectly
4
Q

What information could be elicited from an examination in cases of suspected TMD?

A

* Range of movement. * Clicking/crepitus. * MoM hypertrophy. * Tenderness on palpation. * Reduced intercisal opening distance. * Signs of bruxism. * Scalloped tongue. * Linea alba

How well did you know this?
1
Not at all
2
3
4
5
Perfectly
5
Q

What factors could predispose someone to having TMD?

A

* Females more than males. * Age 18-30 years. * Stress. * Habits such as nail biting, chewing gum.

How well did you know this?
1
Not at all
2
3
4
5
Perfectly
6
Q

What would first line management of TMD be?

A

* Counselling, reassurance, soft diet, advice on chewing both sides, cut food, stop chewing gum.
* Splint therapy; soft splint, hot water bottle, hard splint, bite raising appliance
* Joint therapy; accupuncture, physio, relaxation.
* Drugs; Ibuprofen, paracetamol, muscle relaxants - tricyclic antidepressants.

How well did you know this?
1
Not at all
2
3
4
5
Perfectly
7
Q

What other conditions may present similarly to TMD and how would you exclude them?

A

* Pericoronitis (no clicking)
* Myofascial pain syndrome (no clicking)

How well did you know this?
1
Not at all
2
3
4
5
Perfectly
8
Q

You decide to construct a stabilisation splint. Your technician doesn’t know what this is. How would you write your lab sheet?

A

Please pour upper and lower alginates in 50/50 dental stone/plaster. Please provide contrast vacuum form splint in soft acrylic for lower arch, covering all occlusal surfaces while avoiding gingival margin.

How well did you know this?
1
Not at all
2
3
4
5
Perfectly
9
Q

What are exostoses/tori?

A

Excessive cortical bone growth

How well did you know this?
1
Not at all
2
3
4
5
Perfectly
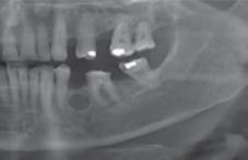
10
Q

What is Stafne Bone defect?

A

* A radiolucency in posterior mandible below IAC

* Due to lingual concavity

* May appear as cyst but is not a pathology

How well did you know this?
1
Not at all
2
3
4
5
Perfectly
12
Q

What are the two broad types of odontogenic cysts?

A

Inflammatory and Developmental

How well did you know this?
1
Not at all
2
3
4
5
Perfectly
13
Q

What are the two types of inflammatory odontogenic cysts?

A

Radicular and residual

How well did you know this?
1
Not at all
2
3
4
5
Perfectly
14
Q

What are the four types of developmental odontogenic cysts?

A

Keratocyst, eruption cyst, dentigerous cyst, lateral periodontal cyst

How well did you know this?
1
Not at all
2
3
4
5
Perfectly
15
Q

What is the aetiology of radicular cysts?

A

* Accounts for 60% of odontogenic cysts

* Associated with a non vital tooth

* Epithelial source; epithelial cell rests of malassez

* Sequential to pulp necrosis in areas of chronic inflammation

How well did you know this?
1
Not at all
2
3
4
5
Perfectly
16
Q

What is the radiographic appearance of a radicular cyst?

A

* Well demarcated

* Associated with the apex of a tooth

* Can be apical lateral or residule

* Residule cysts occur when there has been a cyst associated with a tooth which has been extracted, but the cyst remains

How well did you know this?
1
Not at all
2
3
4
5
Perfectly
17
Q

List four diagnostic tools in cyst identification?

A

Any four of;

* Sensibility tests

* Radiographic features

* Aspiration

* Protein content

* Biopsy of the cyst lining

How well did you know this?
1
Not at all
2
3
4
5
Perfectly
20
Q

What are the radiographic features of a dentigerous cyst?

A

* Central, lateral and circumferential radiolucencys

*Unilocular radiolucent area associated with crown of an unerupted tooth.

* Large cyst - pseudo impression of multilocular bhowever this is because trabecular bone persistently tries to grow through.

* Well defined and often sclerotic border, but an infected cyst may show less defined borders.

* Usually 3-4mm in diameter, if below this diameter likely to be an enlarged dental follicle

How well did you know this?
1
Not at all
2
3
4
5
Perfectly
21
Q

What is the relavant histology for radicular cysts?

A

* Uniform layer of squamous cell epithelium

* Epithelium desquamates into the lumen which contains necrotic debris and protein rich fluid

* Epithelium may have Rushton bodies

* Lumen or wall may contain cholesterol cleft, dystrophic calcifications, RBCs and haemosiderin pigmentation

How well did you know this?
1
Not at all
2
3
4
5
Perfectly
22
Q

What diagnostic notes are associated with a radicular cyst?

A

* Straw coloured aspirate

* Sensibility tests will show an unresponsive tooth.

How well did you know this?
1
Not at all
2
3
4
5
Perfectly
23
Q

What is the aetiology of a dentigerous cyst?

A

* Commonist type of developmental cyst

* Associated with an unerupted tooth

* Epithelial source; reduced enamel epithelium

* Accounts for 18-24% of jaw cysts

* Can lead to displacement and root resorption of other teeth

How well did you know this?
1
Not at all
2
3
4
5
Perfectly
25
Q

What are the histological features of a dentigerous cyst?

A

* Connective tissue layer; loosly arranged fibrous wall. Island of inactive epithelial cell rests.

* Epithelial lining; 2-4 layers of cuboidal epithelium. Flat interface connecting the epithelium and connective tissue.

* Inlammation; collagen increase in connective tissue layers. Infiltrate of inflammatory cells. Epithelial hyperplasia. Development of retentions ridges. Squamous features

How well did you know this?
1
Not at all
2
3
4
5
Perfectly
26
Q

What is the aetiology of an eruption cyst?

A

* Epithelial source; reduced enamel epithelium. Soft tissue equivalent of a dentigerous cyst

* Produce a round, soft, blue cyst over the gingivae

* They occur when the dental follicle separates from the erupting tooths crown in the soft tissue

* Can relf resolve or require a small excision to drain the fluid and allow the tooth to erupt

* No radiograph is required

How well did you know this?
1
Not at all
2
3
4
5
Perfectly
27
Q

What are the histological features of an eruption cyst?

A

The same epithelial lining found in a dentigerous cyst

How well did you know this?
1
Not at all
2
3
4
5
Perfectly
28
Q

What is the aetiology of a keratocyst?

A

* Associated with a missing tooth

* Can be linked with inferior alveolar nerve paraesthesia.

* Linked with Gorlin-Goltz syndrome.

* Difficult to enucleate and high recurrence rate due to its thin friable lining

How well did you know this?
1
Not at all
2
3
4
5
Perfectly
29
What are the radiological features of a keratocyst?
\* Well defined radiolucency \* Can be unilocular or multilocular \* Typically found in the posterior of the mandible (thinking logically, the 3rd molars are commonly abscent, hence this is why keratocysts could be most commonly found here)
30
What are the histological features of a keratocyst?
\* Thin friable wall meaning they are difficult to enucleate. \* 6-8 uniform layers of stratified squamous epithelium. \* Flat epithelial-connective tissue interface. \* Inconspicuous rete ridges \* Basal palisading evident in the basal layer
31
Describe the management of cysts
\* Enulcleatuion involves the complete removal of the cyst. \* Incomplete removal can lead to recurrence. \* Marsupulization can be used if there is a high risk of IAN damage or mandibular fracture. This is where a surgical window is created allowing the contents to drain. This is sutured open and can be maintained with a packing material. \* The enucleation can then take place once the cyst has decreased in size
32
what is the ideal crown to root ratio when considering fixed prosthodontics?
Ideal 1:2 Realistic 2:3 Minimum 1:1 Poor 2:1
33
When providing a bridge, describe Ante's law
The PDL surface area of the abutment teeth should be equal to or greater than the imaginary PDL surface area of the missing teeth.
34
What is RCP?
The position in which condyles articulate with the thinnest avascular portion of their respective discs in the most anterior-superior position against the articular emineses. Independent of teeth
35
What is ICP?
Complete interdigitation of the teeth. Independent of condylar position.
36
Describe RCP vs ICP
RCP and ICP coincide in only 10% of the population. Casts are mounted in ICP when ICP can be maintained (single fixed procedure). Casts are mounted in RCP when ICP is impossible to maintain (complete dentures, multiple teeth being restored).
37
Descripe how to use bimanual manipulation to acheive RCP
One of the most accurate methods to obtain accurate RCP interocclusal records. With the patient lying back, support the posterior mandible with fingers and the chin with thumbs. Deprogram the jaw. Identify first CCP tooth contact and repeat until you identify a consistent first tooth contact. Keep anterior teeth slightly apart in RCP with acrylic resin jig. Take interocclusal record of posterior teeth with PVS.
38
What is a facebow record?
The objective is to duplicate on the articulator the relationship of the maxillary arch to the skull and the mandible to the rotational centre of the TMJs that exists for that particular patient.
39
What are the bite materials of choice when mounting casts?
Casts poured from alginate are more accurately mounted with a wax bite. Casts poured from elastomeric materials are more accurately mounted with elastomeric materials (PVS)
40
Describe condylar guidance
\*Slope of articular eminence \*Represented by horizonal condylar inclination on articulator \*Posterior determinant of occlusion
41
Describe incisal guidance
\*Incisal edges of lower incisors against lingual slopes of upper incisors. \*Represented by pin and guide table on articulator. \*Anterior determinant of occlusion.
42
Describe canine guidance
When in lateral movements all posterior teeth are immediately discluded as contact occurs soley between upper and lower canine on the working side.
43
Describe anterior guidance
Refers to both incisal and canine guidance. During protrusive, incisal and condylar guidance provide clearance for all posterio teeth. During lateral, canines on working side and condyle on balancing side provide clearance for posterior teeth on balancing side.
44
In prosthodontics, describe mutual protection
Front teeth protect back teeth - front teeth disclude posterio teeth during protrusive and lateral movements. Back teeth protect front teeth. Back teeth have flat occlusal surfaces and strong roots to help protect anterior teeth from bite forces/
45
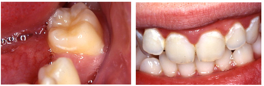
From the photograph, what difficulty may arise with regard to the aesthetics of a prosthesis to replace 22 and 23?
\* Space is too narrow mesial-distally for two full units but is wider than one single unit
46
What difficulty may arise with regard to the function of a prosthesis to replace 22 and 23?
The canine is likely to be involved in guidance. The lower canine appears to be over erupted.
49
Assuming there is no relevant medical history; suggest three general factors which need to be considered before referring a patient for consideration for implants?
\* Oral health and hygiene. \* Patient understands what is involved and willing to comply \* Smoking satus \* Cost \* Perio history \* Does the patient play contact sports
50
List 3 factors local to site 22, 23 of the proposed implants, which will be assessed for the implant treatment planning
\* Bone height \* Bone width \* Root position of 21 and 24 \* Soft tissue adequacy \* Smile line \* Local perio health/plaque control
51
List four factors that could cause a bridge to debond
Poor OH Poor moisture control during cementation Unfavourable occlusion Parafunction Trauma to face
52
Give two criteria to obtain valid consent
Informed Voluntary Not manipulated Not coerced With capacity
53
What 6 things should be explained to the patient to obtain consent?
The treatment and what it involves The risk of treatment The benefits of treatment The likely outcome of treatment The risk of no treatment Alternative treatments Cost
54
What are the features of Nayyer core?
An amalgam core. Retention obtained from undercuts in divergent canals and pulp chamber. 2-4mm of GP removed from the canal and replaced with amalgam. Immediate placement and coronal preparation can be done at same appointment
55
What is the DAHL technique?
Localised appliance or restorations to increase the interocclusal space available for restorations
56
Describe how the DAHL technique works
Composite platforms are added to palatal aspect of upper incisors, left for 3-6 months to allow dentoalveolar compensation, then provide definitive restorations
57
List four contraindications for use of the DAHL appliance
MRONJ Active periodontal disease Ankylosis Implant
58
You are carrying out root canal preparation of an upper right canine under local anaesthetic. You are irrigating the canal with a dilute solution of sodium hypochlorite when the patient suddenly feels intense pain. Within minutes you notice a marked facial swelling in the area and profuse bleeding into the root canal from the periradicular tissues. What is the most likely cause for these signs and symptoms and why?
Extrusion of sodium hypochlorite through root apex. Due to high pressure injection, injecting too deep, locking syringe in canal. Accute inflammatory reaction which can be oedematous and/or haemorrhagic. Can lead to significant tissue necrosis
59
What would be your immediate action following a hypochlorite accident?
Local anaesthetic for pain relief. Copious irrigation with physiologic saline Reassure patient that this is a complication that can be controlled Dress tooth with non setting calcium hydroxide
60
After immediate steps taken following a hypochlorite accident, what action should be taken?
Priority must be given to pain relief, reduction of swelling, and prevention of secondary infection. Cold compress during the first few days, warm compresses for resolution of soft tissue swelling and elimination of the haematoma Analgesics; ibuprofen 400-600mg 4 x daily, paracetamol 1g 4 x daily Review after 24 hours Script for ABs case specific Refer if severe
61
What is the likely cause of the gingival recession seen in the lower anterior sextant?
Traumatic overbite
63
When would mechanical root surface debridement not be successful in eliminated pocket bacteria?
\* Difficulty with access (especially in furcation). \* Non compliant patient. \* Inadequate RSD/inexperience of clinician. \* Patient is immunocompromised. \* Sites inaccessible to instruments. \* Failure to disrupt biofilm
64
When would antibiotics not be effective in periodontal disease?
\* Antibiotics resisted by biofilms. \* Concentration inadequate and not within the therapeutic range. \* May not reach site of disease activity
65
How would you manage a periodontal abscess with systemic involvement?
\* Incision and drainage. \* Gentle sub-gingival debridement. \* HSMW \* Extraction of tooth if poor prognosis. \* Antibiotics \* Follow up HPT
66
What would be clinical signs of improved periodontal health?
\* Reduced probing depth (\<4mm). \* BoP \<10%. \*Plaque scores \<15%
67
\*A photo showing a space between 13 and 14\* What investigations should be carried out and why?
\* BPE; a screening tool for periodontal health. \*PGI to assess plaque and bleeding levels. \*6PPC to assess periodontal disease. \* Periapicals to assess prognosis of teeth, drifting by periodontal disease. \* Study models (offers a point of reference)
68
What bacteria are involved in ANUG?
P. Intermedia and fusobacterium as well as spirochetes such as treponema
69
What are the clinical signs and symptoms of ANUG?
\* Blunting of interdental papilla. \* Halitosis. \* Grey slough that wipes off to reveal ulcerative tissue. \* crater like ulcers. \* Reverse gingival architecture
70
List 5 risk factors for ANUG
\* Age (young) \*Stress \*Poor OH \*Immunocompromised (HIV) \*Smoking
71
Briefly outline management of ANUG
\* Ultrasonic debridement \*Oxygenating MW (hydrogen peroxide 3%) \*OHI modified for patient \*Consider Chlorhexidine \*Smoking cessation if needed \* ABs if systemic or immunocompromised (Metronidozole 200mg 3 x daily for 3 days)
72
Patient is obese and a reformed smoker, history of ischemic heart disease. Despite excellent OH he still has pockets of 6/7mm that BoP. You elect to undertake open flap curretage. What do you discuss with the patient to get informed consent?
\* Risks; gingival recession, infection, pain, bleeding, swelling, bruising. \*Benefits; effectively debride area with direct vision \*Outcomes; possible reduction of pocket depths \*Other treatment options; Repeat NSPT \*Risks of no treatment; increase in pocket depth, increase in mobility, increased risk of tooth loss
73
A patient has just completed surgical periodontal therapy, when should the patient be reviewed and what is the rationale?
8 weeks to allow sufficient time for healing.
74
What are the clinical signs of improved health following HPT?
\* Pocket depths \<4mm \*BoP \<10% \* Plaque score \<15%
75
Why might antibiotics not work for chronic periodontal disease?
\* Biofilms resistant to antibiotics. \* Antibiotic resistance. \* Antibiotics inactivated by first pass metabolism. \* Poor patient adherence to regime
76
Describe how a modified plaque score is recorded
\* Recorded for every patient \* 16, 21, 24, 36, 41, 44 (Ramfjords teeth) \* Each tooth is split into buccal/lingual.interproximal surfaces \* 2 = visible plaque 1 = Plaque revealed with probe 0 = no plaque
77
Describe how a modified bleeding score is recorded
\* Recorded for every patient \* Measures marginal bleeding rather than BoP \* Each Ramfjords tooth has a perio probe run gently at 45 degrees around the gingival sulcus in a continuous sweepl For up to 30 seconds after probing, check for the presence or absence of bleeding. \* mesial, distal, buccal, lingual \* Score of 1 or 0
78
What are the four stages of periodontal disease?
Worst site of bone loss is used Stage 1; (early/mild) \<15% or \<2mm from CEJ Stage 2; (moderate) Coronal third of root Stage 3; (severe) Mid third of root Stage 4; (very severe) Apical third of root
79
How is periodontal disease graded?
% of bone loss divided by patients age Grade A slow rate of progression, \<0.5 Grade B Moderate rate of progression, 0.5-1 Grade C Rapid rate of progression \>1
80
How do you rate the assessment of current periodontal status?
Currently stable; BoP \<10%, PPD = 4mm, No BoP at 4mm sites Currently in remission; BOP \>/= 10%, PPD = 4mm, no BoP at 4mm sites Currently unstable; PPD \>/= 5mm PPD \>/= 4mm and BoP
81
What clinical and lab investigations can be carried out to help aid a periodontal diagnosis? (3marks)
\* Thorough history including family history. \* Periodontal pocket chart \* Microbiological analysis of swab of crevicular fluid
82
In a patient with periodontal disease, how would you decide the prognosis for individual teeth? (3)
\* Loss of attachment \* Mobility \* Furcation involvement
83
What are some proposed biofilm resistance mechanisms?
\*Antimicrobials may fail to penetrate beyond the surface layers of the biofilm \*Antimicrobials may be trapped and destroyed by enzymes. \*Antimicrobials may not be active against non-growing microorganisms \*Expression of biofilm specific resistance genes (eg efflux pumps) \*Stress response to hostile environment conditions
84
Besides the lower anterior sextant, where else might you expect to see signs of a traumatic overbite?
Palatal gingivae of upper anteriors
85
Having completed a history, examined the soft tissues, charted the teeth and restorations present and examined the occlusion, list 5 other investigations you would perform.
\* BPE \* Full periodontal chart as indicated \* Clinical photographs \* Plaque and bleeding indices \* Radiographs \* Study models \* Mobility scores \* Sensibility testing
86
List two generatl approaches to this patients initial treatment
\* Hygiene phase therapy \* A bite raising appliance
87
Give 3 features of apical periodontitis
\*Chronic poly-microbial infection \*Stimulation of host response \*Connective tissue destruction
91
At a re-evaluation appointment there are no deep pockets and the patients oral hygiene is excellent. But the lower incisors are still mobile and causing the patient concern, what further treatment would you offer to manage the mobility?
A lingual bonded splint. This would only be indicated if the patients oral hygiene is very good as in this case
92
Give four indications for the use of chlorhexidine mouthwash?
Pre surgery Post surgery Denture induced stomatitis Medically impared (case selective) Acute necrotising ulcerative gingivitis Treatment in dry socket Endo irrigant High caries risk (individual dependent)
93
What 3 features on a PA would lead you to a diagnosis of Generalised Aggressive Periodontitis?
\* Bone loss affecting at least 3 teeth \* Age of the patient \* Patient otherwise fit and well \* Vertical bony defects \* Rapid progression of bone loss
94
What clinical and lab investigations could you carry out for a pt with periodontitis?
Thorough history inc family history Periodontal pocket chart Microbiological analysis of sample (swab of crevicular fluid)
95
In a patient with periodontal disease, how would you decide the prognosis of each tooth?
Loss of attachment Mobility Furcation involvement
96
In what ways would you provide post perio surgery advice for a patient, and what would you like them to know to avoid post op complications?
\* Verbal and written \* Avoid smoking for one week if possible \* Avoid rinsing for that day, can rinse from the following day \* Avoid strenuous exercise \* Rinse with CHX mw 2 x daily 0.2% 10ml
97
How do you manage a perio abscess with sytemic involvement?
\* May require LA \* Achieve drainage via pocket or incision \* Gentle RSI short of the base of the pocket to avoid trauma \* Advise on analgesic use \* Give OHI including use of CHX mw until acute symptoms subside \* Provide antibiotics due to systemic involvement 500mg amoxicillin or 400mg metronidazole both 3 x daily for 5 days \* Review in ten days
98
What is a periodontal abscess?
Acute exacerbation of an existing periodontal pocket eg trauma or obstruction. Caused by food packing or inadequate RSD
99
What are some signs and symptoms of a periodontal abscess?
Pain on biting or spontaneously TTP Swelling Pus Pocketing at swelling Mobility
100
How is a periodontal abscess differentiated from a periapical abscess?
Sensibility testing vital vs non vital Also consider perio status of the rest of the mouth
101
How do you manage occlusal trauma in a patient with periodontal disease?
Address the cause; ease high restorations, address parafunction Bit raising appliance for night time wear HPT
102
What factors can influence localised mobility?
\* Existing periodontal disease \* Occlusal trauma causing widening of PDL \* Morphology and length of roots \* Alveolar bone loss \* Resorption/trauma
103
When might splinting be advised in a periodontitis patient?
Mobility due to advanced loss of attachment Mobility is causing discomfort or difficulty eating To facilitate RSD
104
Why is there a decease in mobility following perio treatment?
Increased tissue tone and long junctional epithelial attachment
105
What can be done if the PDL is still widened after successful treatment?
Reduce occlusal contacts
106
Diagnose
Angular bone loss
107
How are localised and generalised aggressive periodontitis different?
Local - localised LOA, 6s, incisors, initially occurs around puberty, robust antibody response General - Generalised LOA 6s, incisors and 3 + other teeth Onset usually under 30 years Poor serum antibody response Episodic nature
108
What bacteria is involved in aggressive periodontitis?
AA Porphymonas gingivalis
109
How is aggressive periodontitis initially managed?
Non surgical sub gingival PMPR. 2 weeks CHX mw and spray ABs (amoxicillin or metronidazole) Refer to specialise within 6-8 weeks
110
In periodontitis, what features would indicate a tooth had poor prognosis and why?
Mobility - reduced bone support Furcation involvement - more difficult to keep clean LOA - less supporting structures for tooth Loss of vitality
112
Besides clinically and radiographic, what other two pieces of information are needed before determining prognosis of teeth?
Smoking history Drug history Systemic disease
113
How is localised angular periodontitis caused?
When pathway of inflammation travels directly into PDL space, localised plaque retentive facors
114
How does a healthy periodontium react to occlusal trauma?
PDL widening - mobility No LOA or inflammation Will resolve when occlusion addressed
115
What category of drug is chlorhexidine?
Bisbiguanide antiseptic
116
What is the substantivity of CHX
12 hours
117
Give two commonly prescribed doses of chlorhexidine
0. 2% 10ml/ 20mg 2 x daily 0. 12% 15ml/18mg 2 x daily
118
Name four side effects of CHX
Staining Taste disturbance Salivary gland enlargement Anaphylaxis Interacts with SLS
119
List 8 uses for chlorhexidine
Surgical pre op rinse
120
What is TIPPS?
Delivery method of OHI Talk, instruct, practice, plan, support
121
What 7 things are recorded on a periodontal pocket chart?
Missing teeth Gingival margin Pocket depth LOA Mobility Furfaction BOP
122
Give two disadvantages of a pocket chart
Assumes all patients have same root length so may appear worse than it is Pobing depths are subjective/variation between clinicians
123
What are the local factors for gingival recession?
Periodontal disease Habits Traumatic tooth brushing Abraisive toothpaste High frenal attachment Crowding Traumatic overbite Orthodontic treatment Poor marginal fit restorations
124
How can localised recession be managed?
Atraumatic toothbrushing technique Minimise other risk factors Monitor Treat sensitivity Free/pedicle soft tissue graft Coronal advancement flap
125
an 8yo child attends with an enamel dentine pulp fracture. You are happy the patient is medically fit with no other injuries. What two things do you need to know about the injury before you decide whether or not a dirct pulp cap or pulpotomy is the most appropriate treatment?
When did the injury occur? Even if pinpoint exposure, if it had been 24hrs plus, high chance of bacterial ingress Size of the exposure; more than 1mm pulpotomy is best choice
127
Explain the stages of a pulpotomy for tooth 11
\* Apply dental dam \* Remove pulp tissue at 2-3mm radius around the exposed area \* Assess bleeding - if no bleeding, remove more tissue \* Gain heamorrhage control using CWP and saline (NOT ferric sulphate in a permanent tooth as it stains!) \* If hyperaemic, remove more tissue \* Once normal bleeding has stopped, apply non setting calcium hydroxide \* Seal with GI \* Restore with composite restoration
128
Following a pulpotomy, the patient remains asymptomatic and you are now about to take a 6 month post op radiograph. The pulp has remained vital, what favourable sighs would you expect to see on the radiograph?
\* Continued root development \* Continued thickening of dentine in the root walls \* No signs of pathology
129
Name 4 fluoride supplements and their doses you would give a patient to prevent decalcification
Toothpaste 1450ppmF 2 x daily Fluoride varnish 22,600ppmF 4 x yearly Mouthwash 450ppmF 1 x daily Fluoride tablets, 1mg 1 x daily
130
Name two methods of preventing decalcifications besides fluoride
OH and diet advice Fissure sealants
131
5yo Jodie has been brought in by her mothers boyfriend. She has not been sleeping due to pain. Has never been to dentist before. Facial swelling. Boyfriend vague about MH. What should you establish prior to examination?
Severity of condition. Thorough MH. Consent - record everything that is said and carried out in notes
132
5yo Jodie has been brought in by her mothers boyfriend. She has not been sleeping due to pain. Has never been to dentist before. Facial swelling. Boyfriend vague about MH. Describe in detail one behavioural management technique to get cooperation
Tell. Show. Do Explain to Jodie what she can expect. Show her the instruments, 3 in 1, medicaments you plan to use. Demonstrate carrying out exam/treatment, get Jodie to help hold mirror etc
133
5yo Jodie has been brought in by her mothers boyfriend. She has not been sleeping due to pain. Has never been to dentist before. Facial swelling. Boyfriend vague about MH. Jodie has been uncooperative, what would short term management be?
Drainage Pain reliefe ABs (amoxicillin 500mg 3 x daily 5 days) Tell parent she must be brought back
134
5 year old child brought to practice with pain and swelling by mums bf. Has never attended dentist before. How would you address previous non attendance?
Ensure up to date contact details Take accurate and detailed notes Contact mum by phone (or other guardians) Discuss with mother the necessity of child attending appts Inform mum of possibility of child protection involvement if non compliant Set appt over the phone and arrange appropriate escort
135
What evidence based brushing advice would you give for a 5yo to prevent caries?
Brush 2 x daily with fluoried TP 1450ppm Modified bass technique Brush 2-5 minutes Use a pea sized amount of toothpaste Spit dont rinse
136
13yo patient presents with BPE scores of 3s from modified BPE score. What other investigations would you want?
PGI. 6PPC Radiographs Diet diary
137
13 yo patient presents with BPE scores of 3s. What is your treatment plan?
Initial non surgical debridement and HPT. Refer to a specialist
138
List four things that determine the prognosis of a traumatised tooth.
Type of fracture (complicated/not complicated) Maturity of tooth Open or closed apex Tooth mobility Vitality of the pulp
139
Following a traumatic tooth injury in a child, what should be discussed with the parents?
Inform them of complications; change in colour, loss of vitality, pain, sinus, infection, damage to adjacent teeth. Inform them of prognosis and treatment options
140
How would you treat and enamel dentine fracture?
Indirect pulp cap, GI or composite restoration
141
10yo extrudes 11. What materials/splint would you use? How long would you splint for?
Flexible ss wire splint for 2 weeks Flexible ss wire Acid etch 37% Composite resin Water
142
What 4 tests would you do at a check up following trauma besides a radidograph?
EPT Ethyl chloride TTP Mobility Check for displacement Check for colour change Check for sinus
143
What advice should be given over the phone following avulsion of a permanent incisor?
Reassure the patient Do not handle tooth by the root Do not reimplant if it is a primary tooth Gently rinse under slow running cold water for 10 seconds Reimplant ASAP or store in saliva, milk, saline Come to GDP ASAP
144
Pt attends following trauma. What should you check upon arrival?
How and where did the incident occur? Was consciousness lost? Was there any nausea/vomitting? If yes - A&E! Account for all tooth fragments Check tetanus status
145
What type of splint is advised following avulsion?
EADT \<60mins flexible splint for 2 weeks EADT \>60mins flexible splint for 4 weeks
146
What are some common outcomes following avulsion of a permanent incisor?
Discolouration Mobility Necrosis of the pulp Ankylosis Root resorption
147
What are the two modes of action of SDF?
1. Promotes arrest and remineralisation of active carious lesions, dentinal caries and teeth with exposed root surfaces causing hypersensitivity. 2. Promotes reduced sensitivity in permanent molar teeth with MIH via occlusion of dentinal tubules.
148
What is the patient selection criteria for SDF?
1. Pericooperative children whose behaviour/medical conditions limit invasive treatment. 2. Need to delay treatment with sedation/GA 3. High caries risk with compromised MH 4. Part of biological caries management plan where carious lesions are also brushed twice daily and diet modifications have been made.
149
What are the contraindications for SDF?
1. Signs/symptoms of pulpal involvement. 2. Radiographic peri-radicular radiolucency 3. Infection/pain from pulpal origin 4. Active ulceration 5. Pregnant/breastfeeding 6. Undergoing thyroid treatment. 7. Non compliance with TB/diet
150
What is SDF?
Silver diamine fluoride. A colourless, odourless solution of silver, fluoride and ammonium ions.
151
What is the concentration of SDF?
38%, 44,800 ppm fluoride ions
152
Identify caries classification
Pit and fissure caries
153
Identify caries classification
Decalcification - brown and white spot lesions
154
Identify caries classificaiton
Smooth surface caries
155
Identify caries classification
Interproximal caries
156
Identify caries classification
Early childhood caries. Maxillary incisors, 1st molars, madibular canines. Lower anteriors protected by the tongue
157
Identify caries classification
Rampant caries equal or more than 10 new lesions per year Lower anteriors affected
158
What can early primary tooth extraction lead to
Increased crowding, increased tendancy for space loss. The earlier primary teeth are removed, the greater the degree of space loss
159
Describe balancing/compensating extractions in the deciduous dentition
Balance primary canines to prevent centre line shift Consider balance of lower first primary molars if arch is crowded
160
What is the result of early loss of the upper first permanent molars?
Loss before complete eruption of 7s leads to rotation and mesial movement of 7s and distal drift of 5s
161
What is the result of early loss of lower first permanent molars?
Loss after optimum age leads to tilting of 7s Loss before optimum age leads to mesial drifting and rotation of 5s
162
What are some emergency treatment options for a child patient in pain?
Caries excavation and sedative dressing Pulp therapy, pulpotomy/pulpectomy Drainage of pus Extraction with LA +/- IHS. GA? IV sedation only considered for children over 12
163
In a child patient, what is the sequence of restoration?
Fissure sealants Preventive restorations Simple fillings eg shallow cervical cavities Fillings requiring LA but not into pulp (upper arch first) Pulpotomies/pulpectomies Extractions
164
Who has parental responsibility for a child?
Mother Adoptive parent Father if named on the birth certificate Step parent with parental responsibility agreement Appointed legal guardian
165
What is the definition of child abuse?
All three elements must be present; Significant harm to child Carer has some responsibility for that harm Significant connection between carers responsibility for child and harm to child
166
Name the Scottish protection agencies
National guidance for child protection in Scotland Act 2014 Scottish goverment Childrens and young peoples Act 2014 Getting it right for every child
167
Name some adult focused, child focused and community focused factors in child abuse
Adult; Drugs, alcohol, poverty, unemployment, marital stress, disability, domestic violence, step parents, isolation, abused as a child, unrealistic expectations Child; Crying, soiling, disability, unwanted pregnancy, failed expectations, wrong gender, product of forced, coercive or commercial sex Community/environment; Dwelling place and housing conditions, neighbourhood, family violence, dysfunctional family
168
What are some categories of child abuse?
Physical Emotional Neglect Sexual Non organic failure to thrive
169
What are some markers of general neglect?
Nutrition; failure to thrive, short stature Warmth, clothing, shelter; inappropriate clothing, cold injury/sunburn Hygiene and healthcare; ingrained dirt, head lice, caries Stimulation and education; developmental delay Affection; withdrawn
170
What is the definition of dental neglect?
The persistent failure to meet a childs basic oral health needs, likely to result in the serious impariment of a childs oral and general health or development
171
What are the three stages of managing dental neglect?
STAGE ONE Preventive dental team management Raise concerns with parents, offer support, set targets, keep records and monitor progress STAGE TWO Preventive multi agency management; liaise with other professionals to see if concerns are shared. A child may be the subject of a Common Assessment Framework at this level. Check if child is subject to a child protection plan. Agree joint plan of action, review at agreed intervals. Letter to health visitor for children under 4 who fail appts and fail to respond to letters STAGE THREE Child protection referral; in complex or deteriorating situations. Follow local guidelines. Referral is to social services (phone followed by letter)
172
What factors may raise suspicion of child abuse/neglect? (index of suspicion?)
Delay in seeking help Story vague, lacking in detail, changes person to person Account not compatible with injury Parent mood abnormal, pre occupied Parents behaviour gives cause for concern Child appearance and interaction with parents is abnormal Child may say something contradictory History of previous injury History of violence within the family
173
How is toothbrushing/plaque control assessed/scored?
10/10 Perfectly clean teeth 8/10 Plaque line around the cervical margin 6/10 Cervical third of crown covered 4/10 Middle third of crown covered
174
What factors are included in a caries risk assessment?
Clinical evidence of previous disease Dietry habits, especially frequency of sugary foods/drinks Social history especially socio economic status Use of fluoride Plaque control Saliva Medical history
175
Child patient attends with symptoms of pain on stimulus but diagnosis isn't clear. How to approach?
For both primary and permanent teeth, where there are symptoms of pain that may be due to food packing or pulpitis with reversible symptoms but the diagnosis is uncertain, place temporary dressing and review in 3 to 7 days Resolution of symptoms indicate pulpitis was reversible and a suitable restoration/crown can be placed. If symptoms do not resolve/worsen or an abcess forms consider appropriate pulp therapy (rct for permanent) or extraction
176
What is the appropriate action to take when a child patient presents with infection?
Do not leave untreated Local measures to bring infection under control Antibiotics are not recommended unless there are signs of spreading infection of systemic symptoms If infection is asymptomatic and patient is likely to accept treatment with acclimatisation, then allow up to 3 months for acclimatisation visits. Not suitable for medically compromised patients
177
Outline standard and ENHANCED prevention for children
Brush 2 x daily Use smear of toothpaste under 3y and pea sized amount over 3y 1000-1500ppm F, 1350-1500ppm F ENHANCED. AGE 10+ 2800ppmF Spit dont rinse Supervise children until they can brush independently Demonstrate TB for 3 minutes annually, 3 MINUTES AT EACH RECALL APPT Use action planning to encourage toothbrushing PROVIDE DIETARY ADVICE AT EACH RECALL APPT CONSIDER USE OF FOOD DIARY UTILISE COMMUNITY SUPPORT, HV, CHILD SMILE Fissure seal perm molars asap after eruption FISSURE SEAL PALATAL PITS OF 2S, DS AND ES Fluoride varnish 2 x per year, 4X PER YEAR 0.25ML 2YO 0.4ML 5YO+
178
What are the principle strategies for managing caries in primary dentition?
No caries removal, seal with crown using hall technique No caries removal, fissure seal Selective caries removal, and restoration Pulpotomy Other options; Site specific prevention (no caries removal, active prevention) Non-restorative cavity control (make caviry cleanable and apply fluoride) Complete caries removal and restore Extraction