Phenotypic Methods Flashcards

(30 cards)

1
Q

What are concentration techniques?

A

-parasite diagnosis from feces, vomit, sputum
1. Flotation
2. Sedimentation
3. Baermann

How well did you know this?
1
Not at all
2
3
4
5
Perfectly
2
Q

Describe fecal floats.

A

-parasites inhabiting GI tract, liver, bile duct
-diff in SG between parasites eggs, larvae, cysts, oocysts
-McMaster egg counting slide = determine egg type & level of infection from eggs per gram of feces

How well did you know this?
1
Not at all
2
3
4
5
Perfectly
3
Q

Describe the Baermann technique.

A

-extract nematode larvae
-warm water stimulates larvae to move out & gravity pulls them to bottom (+6 hrs)

How well did you know this?
1
Not at all
2
3
4
5
Perfectly
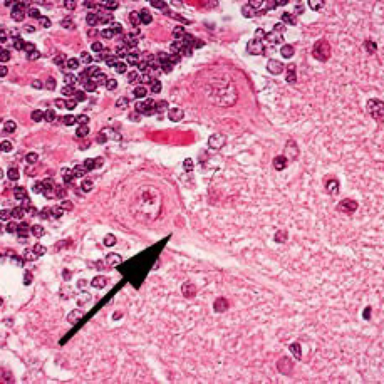
4
Q

Describe H&E.

A

-common tissue stain
-viral, bacteria, fungal, parasitic infection
-hematoxylin (basic) = stains acidic or neg charged [ig. Nuclei, chromatin) PURPLE
-eosin (acidic) = stains basic or pos charged (ig. Cytoplasmic & granules) & extracellular components (ig. Muscle, RBCs) RED/PINK

How well did you know this?
1
Not at all
2
3
4
5
Perfectly
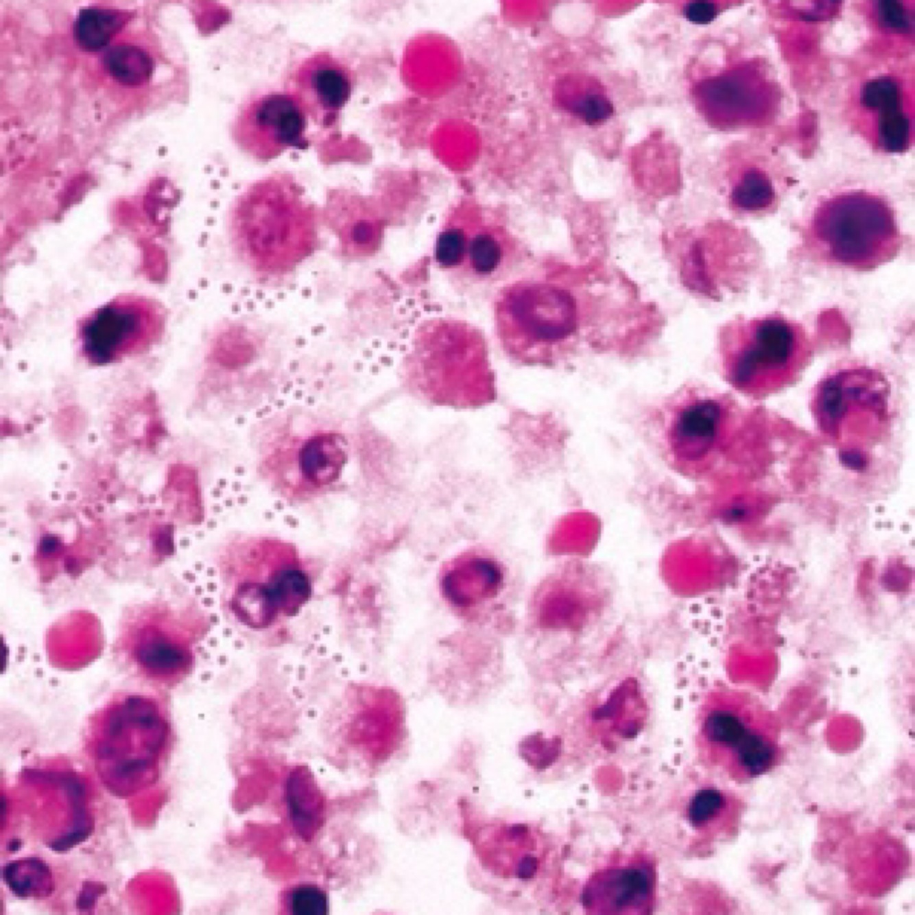
5
Q

Describe viral inclusion bodies.

A

-H&E
-nuclear or cytoplasmic aggregates made of proteins = site of viral replication
-virus cause change in cell structure

Negri bodies in nerve cells (rabies)
How well did you know this?
1
Not at all
2
3
4
5
Perfectly
6
Q

Describe the romanowsky stain.

A

-histological staining
-rapid
-cytoplasmic detail
-modified wright-giemsa stain = differential used to study adherence of pathogenic bacteria to cells (ex. Blood cells, chromosomes)

STEPS:
Fixative (green in methanol) -> eosin G -> methylene blue ->

How well did you know this?
1
Not at all
2
3
4
5
Perfectly
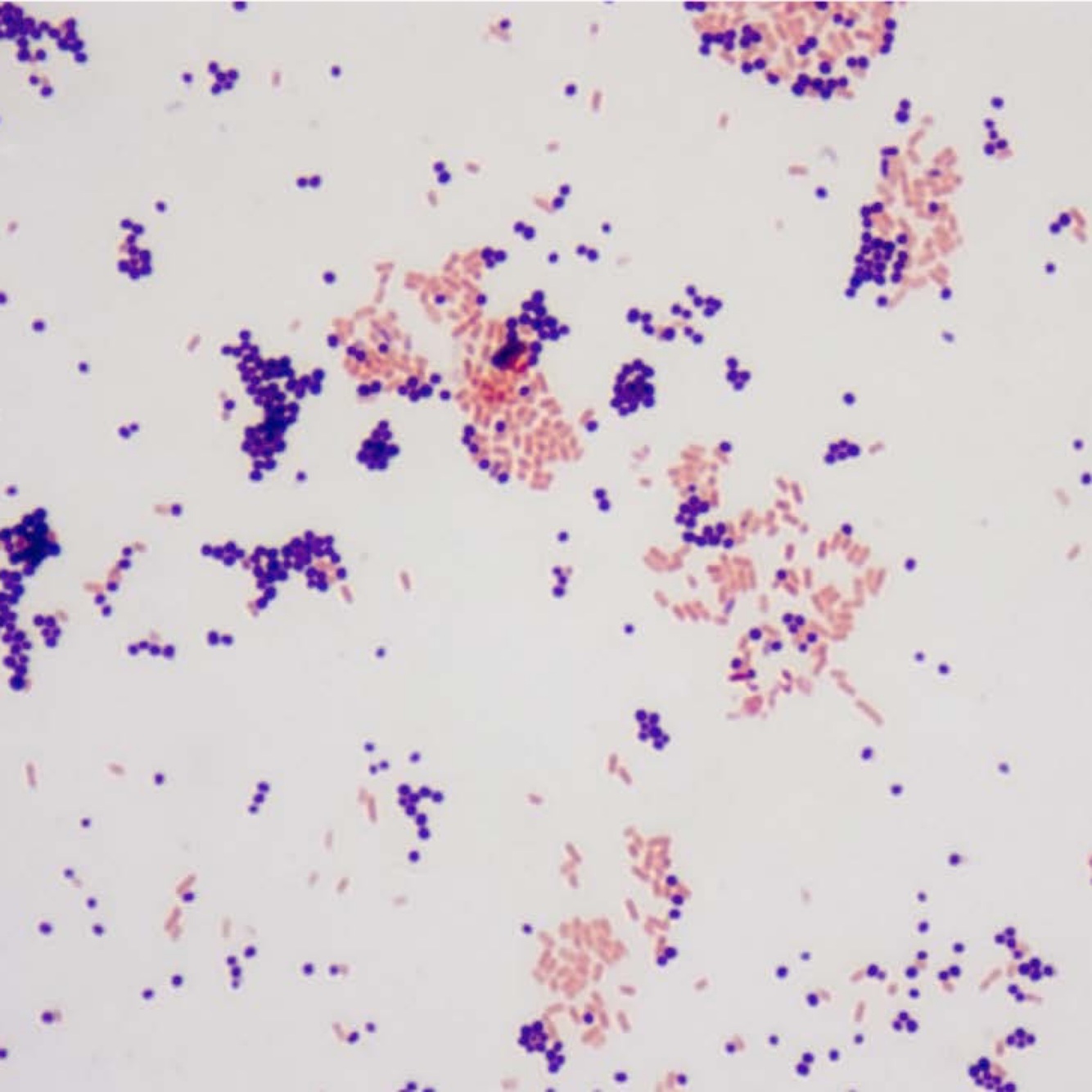
7
Q

Describe gram-stain.

A

-differentiate between gram pos & gram neg bacteria
-based on peptidoglycan (not mycoplasma bc doesn’t have one)
-gram pos = purple
-gram neg = red/pink

STEPS:
Crystal violet -> iodine -> 95% ethyl alcohol -> safranin

How well did you know this?
1
Not at all
2
3
4
5
Perfectly
8
Q

Describe the different stains for bacterial structures.

A
  1. Acid fast = impenetrable cell wall (ex. Mycobacterium, cryptospordium)
  2. Capsule stain = neg staining, contrast translucent dark background using nigrosin or Congo red with stained cells but unstained capsule (ex. Bacillus anthracis, klebsiella pneumonia, clostridium spp)
  3. Endoscope = heating malachite green
  4. Flagella = thickened with mordant
How well did you know this?
1
Not at all
2
3
4
5
Perfectly
9
Q

Describe fungal & parasite stains.

A
  1. Lactophenol cotton blue = stains chitin in cell wall of fungi
  2. Gomori metheanime silver = dark brown stain of fungal cell wall (surrounding tissue is green)
  3. Periodic acid schiff = mucin stain
  4. Wheatleys trichome stain = detect Protozoa
How well did you know this?
1
Not at all
2
3
4
5
Perfectly
10
Q

Describe culture methods.

A

-bacteria & fungi
-viruses use cell cultures

How well did you know this?
1
Not at all
2
3
4
5
Perfectly
11
Q

Describe the pros & cons of culturing.

A

PROS
- ID
- AMR
- ability of microbe to cause disease
- microbial characteristics & genetics

CONS
- time consuming
- expensive
- unculturable

How well did you know this?
1
Not at all
2
3
4
5
Perfectly
12
Q

Describe fastidious bacteria.

A

-require specific nutrients & culture conditions
Ex. Temp (20-42c), pH, atmosphere, C & N, phos, sulfate, K, Mg, Ca, Fe, trace elements, vitamins, purine/pyramidine

How well did you know this?
1
Not at all
2
3
4
5
Perfectly
13
Q

What are the basic nutrient media?

A
  1. TSA
  2. LB
  3. MH
How well did you know this?
1
Not at all
2
3
4
5
Perfectly
14
Q

What are the enriched nutrient media?

A
  1. BA
  2. BH
  3. Chocolate
  4. Lysed-blood
How well did you know this?
1
Not at all
2
3
4
5
Perfectly
15
Q

Describe selective nutrient media types.

A
  1. Gram pos = PEA
  2. Fungi = SDA
  3. Gram neg = EMB
How well did you know this?
1
Not at all
2
3
4
5
Perfectly
16
Q

Describe differential media types.

A
  1. Blood agar = hemolysis
  2. MAC = gram neg, lactose ferm (pink)
  3. MSA = gram pos, mannitol ferm (yellow)
  4. CLED (urinary bacteria) = proteus, klebsiella lactose ferm
17
Q

What are the different biochemical tests for bacteria ID?

A
  1. Enzyme production
    -catalase = breaks down H2O2
    -coagulase = cause fibrin in blood to clot
    -urease = hydrolyses urea
    -tryptophanase = ability to convert tryptophane to indole
  2. Carbon source
  3. Carbohydrate ferm
18
Q

Describe UTI culture paddles.

A

-semi quantitative colony count
-presumptive ID of common uropathogens
-37c
-18 to 24 hrs
-2 sides: EMB (gram neg) & non selective CLED
RESULTS
-colony density = degree of infection
-growth on EMB = gram neg
-color on CLED = lactose ferm (yellow)

19
Q

Describe flexicult vet urine test.

A

-semi quantitative
-presumptive ID
-antibiotic susceptibility
-30 min of urine collection & 37c for 18-24hrs
-10^3 pathogen/ml = UTI infection
-no growth = bacteria susceptible to antibiotic

20
Q

Describe onsite analysis at your practice.

A

-gross
-microscopic
-point of care tests
>urine paddles (UTI infections)
>direct parasite ID
>snap test
>agglutination test

21
Q

Describe diagnostic lab tests.

A

-specimen culture
-antimicrobial susceptibility testing
-advanced immunochemical testing (ex. Immunofluorescence)
-molecular diagnostics

22
Q

How to choose a good diagnostic lab?

A

-guidance for optimal specimen management
-immunochemical & molecular methods
-antimicrobial susceptibility testing
-quality assurance
-skills
-accredited
-standardization

23
Q
A

Lactophenol cotton blue

24
Q
A

Gomori methanamine silver

25
Leishman stain
26
Trichome stain
27
Acid fast
28
Capsule
29
Endospore
30
Flagella