Definition of shock
State of inadequate tissue perfusion leading to tissue hypoxia and cell death
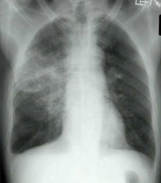
A child presents with T: 38, RR > 20, HR > 90 and WBC > 12,000. CXR is shown below. Blood cultures and sputum cultures are positive for gram + bacteria. What is causing his condition?

Septic shock. This is caused by local infection that then becomes bacteremic leading to sepsis (SIRS: systemic inflammatory response to infection) and shock. Note that septic shock kills 1/5 people.
Two most common nidus of infection that leads to septic shock?
Pneumonia and urinary tract infections.
What physiologic changes happen in the body as it moves from localized immune reaction to systemic inflammatory response (SIRS)?
Endogenous mediators and exotoxins cause massive vasodilation, myocardial depression, acidosis and organ dysfunction that leads to hypoperfusion and multiple organ failure.
Who gets septic shock?
Immunocompromised (diabetics, transplants, splenectomy, IV drug users, end-stage renal disease) and extremes of age.
Tx of septic shock
Antibiotics as early as possible (broad-spectrum to start with). Early oxygen, early intubation and transfusion if necessary. Fluids to increased central venous pressure (CVP). Give vasoactive agents to increase mean arterial pressure (MAP).
Why shouldn’t you rely on BP alone as a measure to see if someone has hemorrhagic shock?
People can lose up to 40% of blood volume before their blood pressure is decreased.
Tx of hemorrhagic shock
Find the bleeding and stop the bleeding. Check 5 areas: chest, abdomen, pelvis, femurs and extremities. Reverse coagulopathies (warfarin, ASA), replace blood products.
Why don’t you give crystalloid fluids to someone in hemorrhagic shock? When do you replace with crystalloid fluids?
You are going to dilute the remaining clotting factors they have if you do it. You always want to replace fluids with blood. You replace fluids in hypovolemic shock.
Most common causes of death from anaphylactic shock?
1) Antibiotics (especially beta-lactams) 2) Insects 3) Food (shellfish and nuts)
Physiology of anaphylaxis
Airway is compromised and hypotension induced by IgE-mediated degranulation mast cells and basophils. Degranulation and release of mediators causes diffuse urticaria, angioedema, abdominal pain, bronchospasm, rhinorrhea, conjunctivitis and hypotension.
Non-IgE mediated reaction that has the same common pathway as anaphylaxis
Anaphylactoid reaction, no sensitizing exposure is required.
Tx of anaphylaxis
Epinephrine (0.1mg IV or 0.3-0.5mg IM, give lower dose IV), there are no absolute contraindications. Airway intubation soon. Fluid resuscitation for hypotension. Steroids to halt inflammatory cascade (may take 6+ hours to work). Antihistamines (H1 & H2 blockers to control wheezing/rash). Albuterol (bronchospasms). Glucagon (to prevent inactivation of therapy if they are on beta-blockers)
Physiology of neurogenic shock
Usually from c-spine blunt trauma that injures T1-L2 sympathetic nerve roots leading to unopposed VAGAL tone. This causes hypotension and bradycardia.
How is neurogenic shock different from spinal shock?
In spinal shock you lose spinal reflex activity at or below the injury level. Neurogenic shock is referring to the systemic symptoms of unopposed vagal outflow.
Tx for neurogenic shock
1) Assume hemorrhagic shock 2) Prevent secondary cord injury 3) Fluids 4) Vasopressors (phenylephrine)
Most frequent cause of cardiogenic shock
MI that results in decreased cardiac output despite adequate volume leading to tissue hypoperfusion. Note that this can also happen with decompensated CHF, myocarditis, sepsis, chordae tendinae rupture and toxins.
Diagnosing cardiogenic shock
EKG, Echo, CXR, labs and monitoring.
Compare the central venous pressure, fluids and extremities in septic, hemorrhagic, anaphylactic, neurogenic and cardiogenic shock.
*

How effective are pressors in treatment of shock?
They do not improve meaningful outcomes, except for with anaphylaxis.
