4 types of shock
Hypovolemic (hemorrhage), cardiogenic (accident), distributive (bee sting), obstructive (tamponade)
Rush protocal
1) Pump (heart) 2) Tank (IVC, abdomen, pelvis, pulmonary) 3) Pipes (aorta, femoral and popliteal)

Where does the marker go in a cardiac exam? Everything else?
Marker to patient’s left for cardiac. Right for everything else.
Assessing the pump
1) Contractility (ejection fraction) 2) Effusion 3) RV strain. Assess w/parasternal views (long and short), subxiphoid and apical views.

Poor mans way of assessing ejection fraction
Does the mitral valve slap back towards the aortic valve
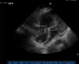
What does this patient have?

Pericardial effusion, note the fluid going around the heart
Increased LV ejection fraction, increased volume in the right ventricle and a “D-shaped” septum

Acute RV overload due to PE (RV strain). Note that it is easy to mis-identify the RV in these cases because it is so much larger.
Really thick RV wall in a patient with asthma

Poorly controlled asthma can cause pulmonary HTN and increased RV wall thickness
How do confirm that you are in the RV
Moderator band

Noninvasive way to look at a patient’s volume status
IVC collapses when patient breaths in if patient is hypovolemic ( 2cm = high central venous pressure, this is how it will look if someone has a massive PE, tension pneumothorax or pericardial tamponade.

Fast exam
RUQ (Morrison’s pouch looking for fluid between liver and kidney). LUQ (looking for fluid between kidney and spleen. Bladder (look for fluid behind bladder and in culdesac (Pouch of Douglas) in woman). Look at diaphragm (look for loss of mirror image in liver indicating hemothorax and effusion).

This is a mirror image artifact of what

Hemangioma in the liver
What would this look like if the patient had a pneumothorax?

Normally the visceral and parietal pleura slide against each other. If there is no sliding then you see no sliding and you look for the lead point. You can also use M-mode and look for sands on the seashore, if there are straight lines then you know there is no lung sliding and there is a pneumothorax.

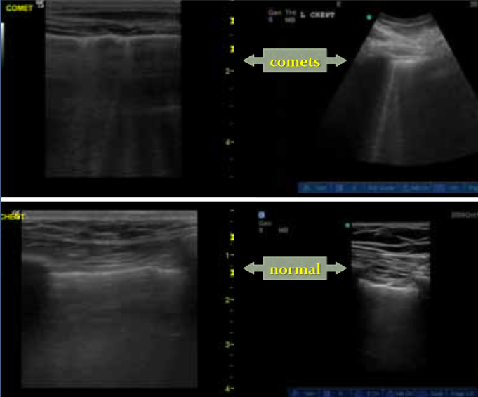
How do you tell if someone has pneumonia or CHF?
Look for comet-tails (vertical B lines as opposed to horizontal A lines which are normal). This is because the ultrasound penetrates the fluid better and comes back like multiple foggy headlights in the morning.

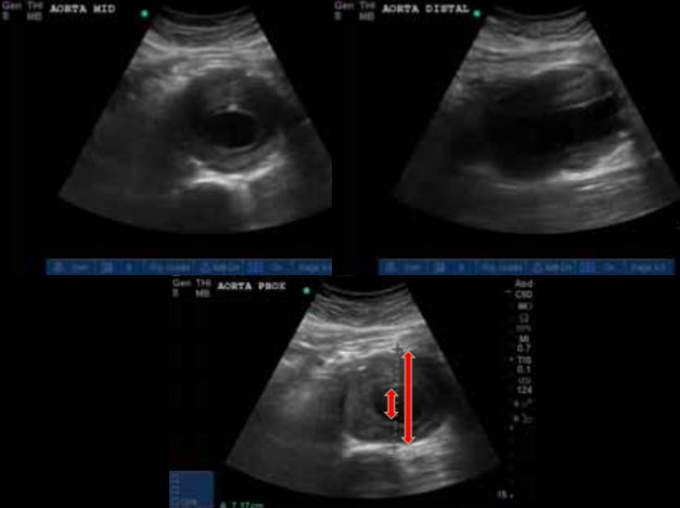
How should you measure the aorta when assessing for aortic aneurism?
Wall to wall, include plaques

What does this patient have going on with his aorta?

Aortic dissection
How do you assess for DVT?
Find the vessel and try to collapse it. If the vein is not compressed by the time the artery is compressed you know the clot inside the vein is holding the walls open.

Where to check for LE DVT
Femoral and popliteal regions
PATCHMD
PE, Acidosis, Tension PTX, Cardiac tamponade, Hypovolemia, MI, Drugs
How do differentiate a pleural effusion from a pericardial effusion
Pericardial effusion has “rat tail” that goes between the heart and descending aorta. The pleural effusion goes behind the aorta.

A patient codes during dialysis. Ultrasound shows “carbonated beverage” in the RV. What is causing her condition?
Air embolism can cause acute RV overload because the heart cannot pump air.
A patient presents with chest pain and dyspnea. Left femoral view shows a non-compressible vein, dilated RV and dilated IVC. There is normal pleural sliding and no comet tails. How do you want to treat him?
Thrombolytics for PE and DVT. Note that you do not thrombolyse every PE, you will definitely do it if you see RV strain.
A patient presents with chest pain and dyspnea. The lungs show comet tails in all lobes bilateral. There is decreased ejection fraction and minor pleural effusion/pericardial effusion. Peripheral veins collapse fine and there is a dilated IVC. What do you give this patient?
Vasopressors to increase cardiac contractility, this patient has CHF.
A woman presents with postpartum dyspnea and fatigue. There is travel pericardial effusion around the LV. What is causing her condition?
Post-partum dilated cardiomyopathy