Which type of blood vessel is shown here?

Elastic artery
note all of the elastin!
THis could be the aorta or common carotid or brachiocephalic trunk or something!
What is this vessel called?

muscular artery
note the internal & external elastic lamina that contain elastin…
this could be a brachial artery or radial artery etc.
What is this?

the one-way valve of the vein
this prevents backflow!
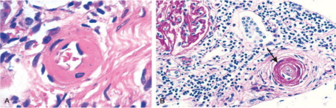
What is shown here?

hyaline arteriolosclerosis
seen in benign essential HTN
Eosinophilic deposition around the arterioles in the kidney. Kidney would look blown up. Kidney would have a rough outer surface b/c of the hyaline arteriosclerosis.
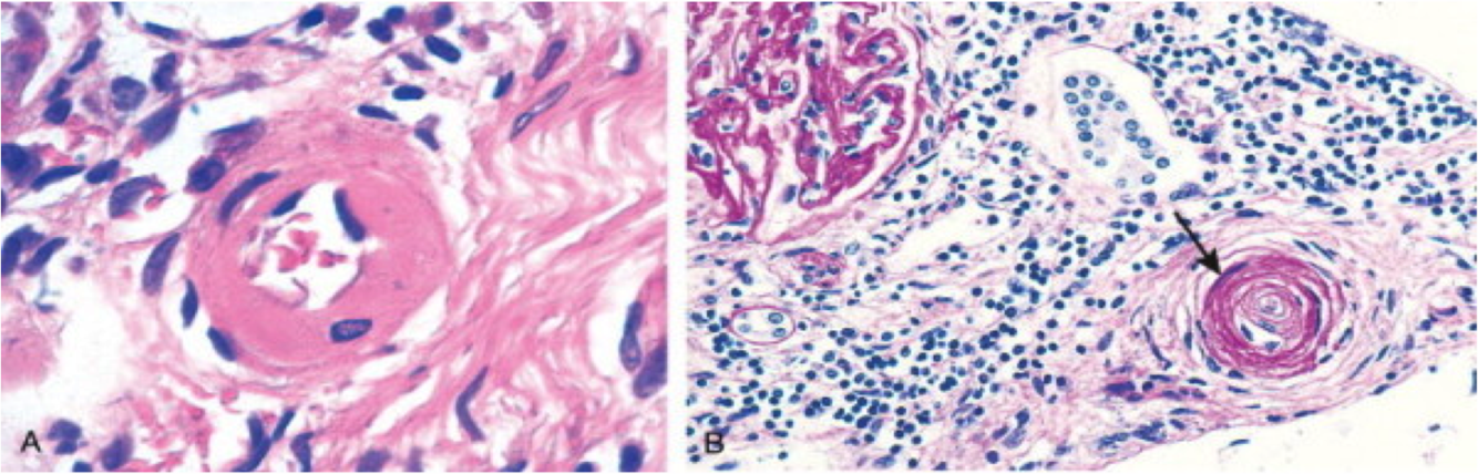
What is shown here?

hyperplastic arteriolosclerosis
seen in malignant HTN
proliferation of smooth muscle cells in the kidney & their media
on gross–hemorrhages seen along edges of kidney
Describe the process illustrated in this picture.

Due to risk factors endothelial injury & dysfunction has occurred.
We are now in a chronic inflammatory state w/ T cells & monocytes/macrophages being recruited to save the day.
Smooth muscle cell precursors are also recruited.
Additionally, there is a migration of smooth muscle cells from the media thru the internal elastic membrane.
ECM is made in the intima alongside the increase in SMC in the intima.
LDL makes its way into the cell b/c of the endothelial cell weakening…& is oxidized (increase in oxygen free radicals with all the lipids).
Oxidized LDL is eaten up by macrophages, turning them into foam cells.
This causes an increase in growth factor, cytokines, chemokines, recruitment etc.
What does this picture show?

atherosclerosis
What does this pic show?

atherosclerosis
A & B: fatty streaks & atheromas make these aortas crunchy like butterfingers
B: is an advanced atheroma–so it includes hemorrhages.
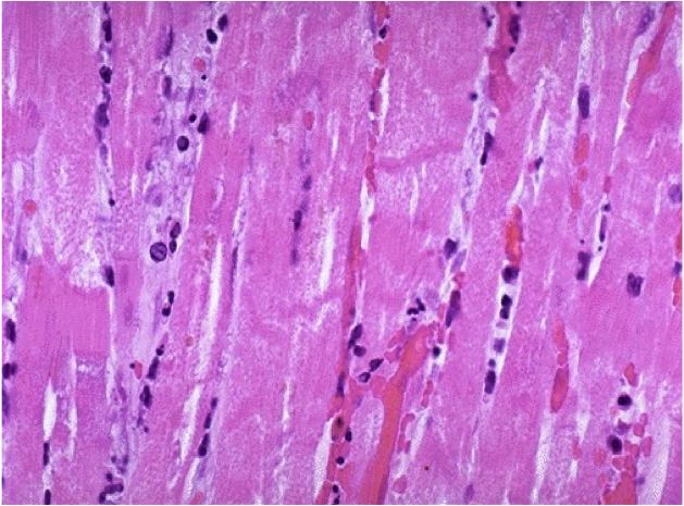
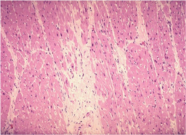
What is shown in this histo slide?

This shows an MI 1-2 days after the infarct.
there is coagulative necrosis of the myocardium
it is difficult to see the striations & the intercalated discs
looks like wavy fibers (b/c of the tension b/w the good fibers & bad fibers)
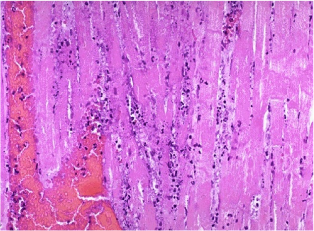
What is shown in this histo slide?

this is 3-4 days after the MI
you can see recruitment of the inflammatory cells
healing is beginning
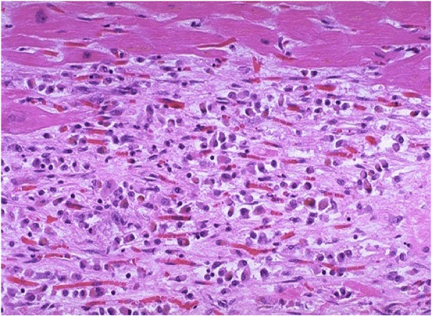
What is shown in this histo slide?

1-2 weeks after the MI
this is granulation tissue
macrophages are eating up the dead tissue (myocytes)
What is shown in this histo slide?

this is long after the MI
fibrosis has occurred
What is shown in this pic?

occlusive thrombus
What is shown in this pic?

severe atherosclerosis of the left main branch of the heart
What is shown in this pic?

occlusive atherosclerosis with thrombus
Which type of hypertrophy is shown here?

pressure overload hypertrophy
ventricles have the same chamber size, but much greater ventricular wall thickness.
In fact…concentric increase in wall thickness
What type of hypertrophy is shown here?

volume overload hypertrophy
dilated ventricles from all the fluid
less of an increase in the thickness of the ventricular wall
Which type of heart valve is seen here?

atrioventricular valves
note the chordae tendinae connecting to the papillary muscles
also called leaflets
What type of valves are these?

semilunar valves
note the cusps
What is shown here?

lined by endothelium
connected to myocardium
fibroelastic tissue present
What is shown here?

aortic valve
but it’s calcified!
form of valvular heart disease, due to normal wear & tear
What is shown here?

aortic valve that is calcificed
valvular heart disease
mechanism: Valves have “osteoblast like cells” that cause the deposition of calcium. Ca++ is made inside the fibroelastic tissue of the valve.
What does this pic show?

acute rheumatic disease
What does this pic show?

chronic rheumatic disease