Placenta Flashcards

(18 cards)

1
Q

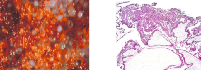
Tipos de enfermedades trofoblásticas gestacionales (3)

A
  • Mola hidatidiforme completa
  • Mola hidatidiforme parcial
  • Mola invasiva
How well did you know this?
1
Not at all
2
3
4
5
Perfectly
2
Q

Mola que no es compatible con la embriogénesis

A

Mola hidatidiforme completa

How well did you know this?
1
Not at all
2
3
4
5
Perfectly
3
Q

Cariotipo presente en la mola hidatidiforme completa

Importante aprender

A
  • Cariotipo (46, XX o XY) diploide
  • Genética paterna
How well did you know this?
1
Not at all
2
3
4
5
Perfectly
4
Q

¿Cómo se ve la mola hidatidiforme completa?

A

Vellosidades hinchadas (racimos de uvas)

How well did you know this?
1
Not at all
2
3
4
5
Perfectly
5
Q

Mola resultante de la formación de un embrión temprano

A

Mola hidatidiforme parcial

How well did you know this?
1
Not at all
2
3
4
5
Perfectly
6
Q

¿Cómo se ven las vellosidades en la mola hidatidiforme parcial?

A

Vellosidades normales

How well did you know this?
1
Not at all
2
3
4
5
Perfectly
7
Q

Cariotipo presente en la mola hidatidiforme parcial

Importante aprender

A
  • Cariotipo (69, XXX) triploide
  • Óvulo normal se fecunda por dos espermatozoides o uno diploide
How well did you know this?
1
Not at all
2
3
4
5
Perfectly
8
Q

Molas completas con capacidad de invasión

A

Mola invasiva

How well did you know this?
1
Not at all
2
3
4
5
Perfectly
9
Q

La mola invasiva penetra hasta causar:

A

Ruptura de la pared uterina

How well did you know this?
1
Not at all
2
3
4
5
Perfectly
10
Q

La mola invasiva tiene la capacidad de metastatizar

V o F

A

FALSO: sin capacidad de metastatizar, pero sí de embolizar

Células pueden llegar a pulmones o cerebro

How well did you know this?
1
Not at all
2
3
4
5
Perfectly
11
Q

¿Qué se usa para el seguimiento de la mola invasiva y cómo se trata?

A
  • B-GCH
  • Quimioterapia
How well did you know this?
1
Not at all
2
3
4
5
Perfectly
12
Q

Cuadro clínico

Paciente feliz porque piensa que está embarazada, ya que tiene amenorrea y la prueba de embarazo sale positiva. Pero realizamos un USG, donde no ves feto y ves una bola que se ve como copo de nieve, esto es igual a una

¿Por qué la prueba de embarazo salió positiva?
¿Cómo se trata?

A
  • mola hidatidiforme completa
  • Prueba sale positiva porque la mola produce grandes cantidades de hCG, la misma hormona que detectan las pruebas de embarazo.
  • Completa/incompleta: legrado
  • Mola invasora: histerectomía, quimio y seguimiento
How well did you know this?
1
Not at all
2
3
4
5
Perfectly
13
Q

Si al momento de retirar la placenta se deja un pedazo, ¿qué puede generarse?

A

Coriocarcinoma gestacional

How well did you know this?
1
Not at all
2
3
4
5
Perfectly
14
Q

Neoplasia maligna de la placenta que puede resultar de una mola completa (50%), después de un aborto (25%) o después de una gestación normal

A

Coriocarcinoma gestacional

How well did you know this?
1
Not at all
2
3
4
5
Perfectly
15
Q

El coriocarcinoma gestacionel es la neoplasia que presenta más:

A

Necrosis y hemorragia

How well did you know this?
1
Not at all
2
3
4
5
Perfectly
16
Q

¿Cómo se presenta el carcinoma gestacional al diagnóstico?

A

Enfermedad diseminada a pulmones, vagina, encéfalo o hígado

17
Q

¿De qué se conforma el coriocarcinoma gestacional?

A

Células neoplásicas de citotrofoblasto y sincitiotrofoblasto

No forma vellosidades

18
Q

El coriocarcinoma gestacional responde muy bien a la quimioterapia

V o F