Pleura Flashcards

(21 cards)

1
Q

Tórax: pleura

Pleura, definição e volume normal de líquido?

A

Membrana que reveste pulmões e parede torácica, com cerca de 10 ml de líquido por lado.

How well did you know this?
1
Not at all
2
3
4
5
Perfectly
2
Q

Tórax: pleura

Partes da pleura? (3)

A
  1. Pleura visceral;
  2. Pleura parietal;
  3. Cavidade pleural (espaço virtual).
How well did you know this?
1
Not at all
2
3
4
5
Perfectly
3
Q

Tórax: pleura

Principais causas de derrame pleural transudativo?

A
  1. Doença cardíaca;
  2. Doença renal;
  3. Hipoalbuminemia.
How well did you know this?
1
Not at all
2
3
4
5
Perfectly
4
Q

Tórax: pleura

Principais causas de derrame pleural exsudativo?

A
  1. Empiema;
  2. Doença neoplásica.
How well did you know this?
1
Not at all
2
3
4
5
Perfectly
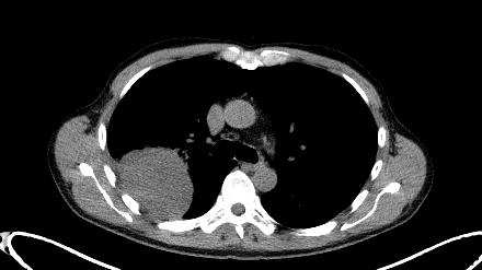
5
Q

Tórax: pleura

Split pleural sign?

A

Espessamento e realce da pleura visceral e parietal separadas por derrame exsudativo/empiema.

Empiema, evienciando o split pleural sign.
How well did you know this?
1
Not at all
2
3
4
5
Perfectly
6
Q

Tórax: pleura

Características sugerem espessamento pleural benigno? (2)

A
  1. Regular;
  2. Crônico com aumento da gordura subpleural e calcificação.
How well did you know this?
1
Not at all
2
3
4
5
Perfectly
7
Q

Tórax: pleura

Causas principais de espessamento pleural benigno?

A
  1. Tuberculose;
  2. Empiema;
  3. Asbestose;
  4. Hemotórax;
  5. Fibrose pulmonar;
  6. Radioterapia;
  7. Cirurgia;
  8. Trauma;
  9. Drogas.
How well did you know this?
1
Not at all
2
3
4
5
Perfectly
8
Q

Tórax: pleura

Achados sugerem espessamento pleural maligno? (3)

A
  1. Nodular;
  2. Pleura mediastinal acometida;
  3. Invasão da parede torácica, espessura > 1 cm e padrão circunferencial
How well did you know this?
1
Not at all
2
3
4
5
Perfectly
9
Q

Tórax: pleura

Causas principais de espessamento pleural maligno?

A
  1. Mesotelioma pleural maligno (primário da pleura; forte relação com asbesto);
  2. Metástases pleurais (malignidade secundária) — mais comuns:
    Câncer de pulmão;
    Câncer de mama;
    (também podem: ovário, GI, rim, linfoma/leucemia, etc.).
How well did you know this?
1
Not at all
2
3
4
5
Perfectly
10
Q

Tórax: pleura

Principal critério para diferenciar lesão intrapulmonar de extrapulmonar?

A

Ângulo formado entre a lesão e a pleura.
Intrapulmonar → ângulos agudos com a pleura.
Extrapulmonar → ângulos obtusos com a pleura.

a) Lesões extrapleurais Geralmente estão associadas a lesões costais (fratura ou destruição) e elevam a pleura parietal e visceral para longe da parede torácica. Isso aparece como uma densidade triangular nas margens superior e inferior da lesão (setas). b) Lesões pleurais Costumam ser lobuladas e também podem mostrar o “sinal do levantamento pleural” (pleural lift-up sign) nas suas margens (setas), a menos que se originem da pleura visceral e cresçam principalmente para dentro do parênquima pulmonar. c) Lesões pulmonares em contato com a superfície pleural Não separam a pleura da parede torácica e podem ser bem ou mal delimitadas. Um ângulo agudo entre a lesão e a parede torácica, tanto na margem superior quanto na inferior, também é característico de massa pulmonar.
How well did you know this?
1
Not at all
2
3
4
5
Perfectly
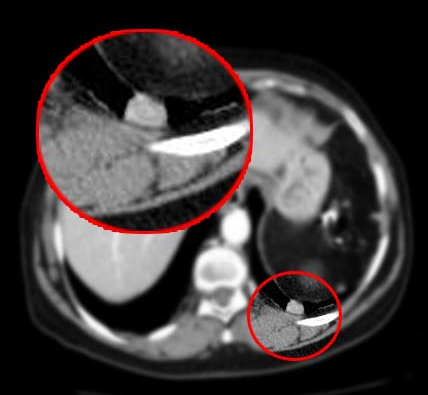
11
Q

Provavelmente lesão intrapulmonar ou extrapulmonar?

A

Massa periférica alongada de partes moles no hemitórax esquerdo.
A lesão apresenta o sinal da borda incompleta, caracterizado por:
Borda medial nitidamente delimitada (seta curva em ciano);
Borda lateral mal definida (seta reta em ciano);
Achado compatível com localização extrapulmonar (pleural) da lesão.

How well did you know this?
1
Not at all
2
3
4
5
Perfectly
12
Q

Tórax: pleura

Tumor fibroso da pleura - aspectos gerais ?

A
  1. Benigno em cerca de 80% (25–78 anos; média 55,9 anos);
  2. Maligno: 17–78 anos (média 52,5 anos);
  3. 2ª neoplasia primária mais comum da pleura (<5%);
  4. Origina-se do tecido conjuntivo submesotelial;
  5. Geralmente da pleura visceral;
  6. 20% apresentam baqueteamento digital.
Aspectos macroscópicos do tumor fibroso. A massa está aderida à pleura visceral por um pedículo (seta sólida branca) e apresenta: Aspecto nodular em redemoinho (whorled) Focos de necrose ao corte Em relação à pleura adjacente: Ângulos obtusos com a pleura (seta sólida preta) são característicos Entretanto, lesões volumosas podem formar ângulos agudos com a pleura (seta curva preta) na imagem seccional (TC/RM)
How well did you know this?
1
Not at all
2
3
4
5
Perfectly
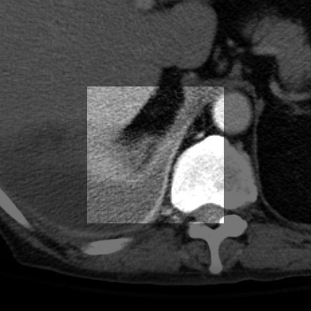
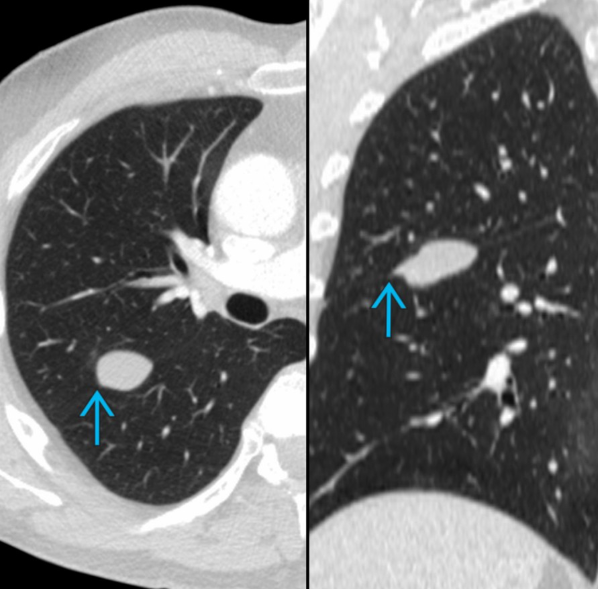
13
Q

Tumor fibroso da pleura - aspectos de imagem? (6)

A
  1. 80% das lesões ocupam o terço inferior do tórax;
  2. 21/60 lesões encostavam no diafragma ipsilateral, simulando elevação ou eventração;
  3. Podem existir: Necrose, hemorragia, degeneração mixoide e Pedículo.
  4. Sinal da borda incompleta (incomplete border sign):lesão extraparenquimatosa (apresenta: uma margem bem definida onde está tangente ao feixe de raios X)
  5. RM (18 tumores): 78% heterogêneos em T1; 83% heterogêneos em T2; 61% com sinal aumentado em T2 comparado ao T1.;
  6. TC Atenuação de partes moles; realce intenso homogêneo . Podem existir:
    Áreas sem realce (necrose, hemorragia, degeneração mixoide)
Imagem composta com TC contrastada (CECT) nos planos axial (à esquerda) e coronal (à direita) de um homem de 66 anos com tumor fibroso localizado benigno demonstra uma massa de partes moles na fissura maior direita. Observa-se morfologia em “bico” (beak-like) do tumor ao longo da fissura interlobar adjacente (seta sólida em ciano), achado que sugere origem pleural/fissural da lesão.
How well did you know this?
1
Not at all
2
3
4
5
Perfectly
14
Q

Tórax: pleura

Linfoma pleural costuma ser primário.

A

Falso.

Linfoma pleural costuma ser secundário. Primário é muito raro.

How well did you know this?
1
Not at all
2
3
4
5
Perfectly
15
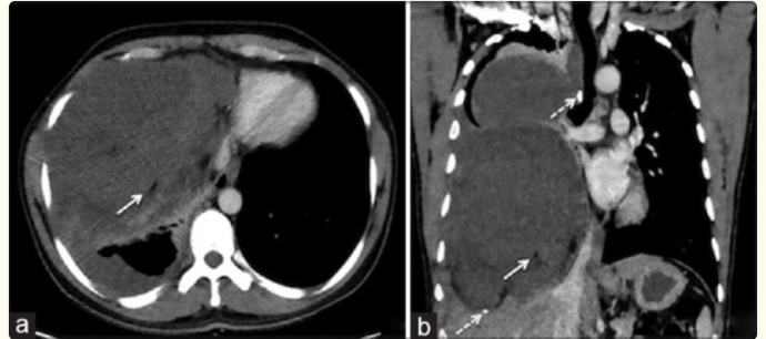
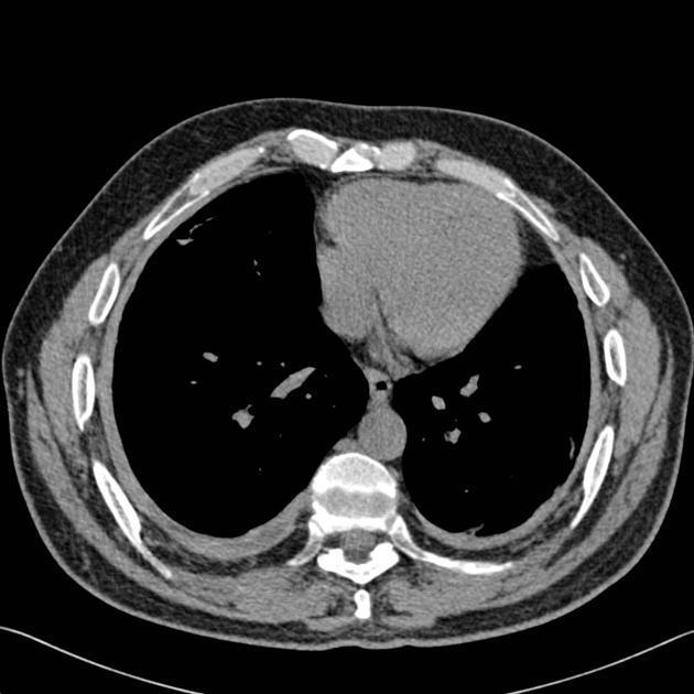
Q

Tórax: pleura

Achados na TC do linfoma pleural? (7)

A
  1. Nódulo sólido baseado na pleura;
  2. Espessamento pleural difuso;
  3. Derrame pleural frequentemente associado.
  4. Pode apresentar:
    Áreas hipodensas → necrose, hemorragia, degeneração cística
    Calcificações (até 26%)
  5. Pequenos tumores → homogêneos;
  6. Grandes → heterogêneos;
  7. Geralmente sem invasão local.
Massa baseada na pleura direita, com necrose parcial, associada a múltiplos pequenos nódulos satélites também pleurais (não evidenciados nesta imagem).
How well did you know this?
1
Not at all
2
3
4
5
Perfectly
16
Q

Tórax: pleura

Aspecto da invasão da parede torácica no linfoma?

A

invasão da parede torácica sem destruir costela.

17
Q

Tórax: pleura

Alterações nas lesões linfoma comum após quimioterapia?

A

Alterações císticas ou calcificações.

18
Q

Tórax: pleura

Esplenose torácica?

A

Autotransplante de tecido esplênico no espaço pleural após trauma.

Ocorre após lesão diafragmática/esplênica; cerca de 18% dos casos. Geralmente assintomática e incidental.

19
Q

Tórax: pleura

Lipoma pleural na TC? (3)

A
  1. Lesão homogênea, oval/lenticular, com densidade de gordura e sem realce;
  2. Tumores encapsulados, compostos por gordura, com crescimento lento;
  3. Origina-se das camadas submesoteliais da pleura parietal, podendo se estender para o espaço subpleural, pleural ou extrapleural.
Lesão bem delimitada, com atenuação média de -115 UH, em contato com o arco posterior da terceira costela, formando ângulo obtuso com a parede torácica.
20
Q

Tórax: pleura

Sugere lipossarcoma em uma massa com gordura?

A

Presença de componente sólido com realce pelo contraste.

TC de tórax com contraste (planos axial e coronal) mostra grande massa heterogênea, hipodensa, de base pleural direita, contendo áreas de gordura (setas contínuas) e focos calcificados (setas tracejadas). A lesão ocupa quase todo o hemitórax direito, causando colapso pulmonar direito subjacente e discreto derrame pleural direito. Microscopia foi compatível com lipossarcoma (variante mixoide/pleomórfica)
21
Q

Tórax: pleura

Acometimento pleural na doença do asbesto? (3)

A
  1. Fibra silicatada com resistência ao calor;
  2. Placas pleurais surgem após cerca de 20 anos da exposição; geralmente bilaterais, esparsas, poupam ápices e seios costofrênicos; calcificam em cerca de 10–15%;
  3. Pode causar espessamento pleural com calcificações esparsas, não contínuas.
A TCAR (HRCT) de tórax demonstra acentuado espessamento septal nas regiões subpleurais de ambos os pulmões, com múltiplas bandas subpleurais e foco de atelectasia arredondada no segmento basal posterior do lobo inferior direito. Os achados são compatíveis com asbestose.