what causes Syndrome of inappropriate ADH (SiADH)?
Most common cause
what are the 3 Effects of excess ADH?
Clinical findings based on retention of free water in SIADH?
what is the diagnostic criteria for SIADH?
what is the treatment for SIADH?
Demeclocycline
Pituitary hypofunction (Hypopituitarism) can be of 2 types?
what is Anterior pituitary hypofunction?
Refers to partial or complete loss of anterior pituitary function.
what can cause Anterior pituitary hypofunction?
what is MCC of hypopituitarism in adults**?
what is it associated with?
Nonfunctioning pituitary adenoma
multiple endocrine neoplasia (MEN) I syndrome*.
what are the Clinical findings for Nonfunctioning pituitary adenoma?
The adenoma expands causing:
what is Sheehan’s postpartum pituitary necrosis?
Pregnancy related infarction of the pituitary gland.
how does sheehan’s postpartum pituitary necrosis present?
what is the most common cause of hypopituitarism in children?
from where does it come from?
where can it be located?
Craniopharyngioma (adamantinoma)
rathke’s pouch
above the sella turcica
symptoms of craniopharyngioma?
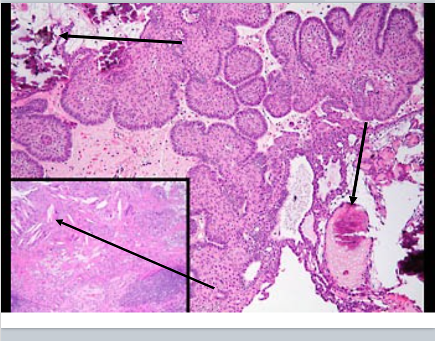
how does craniopharangioma look on micro and gross?
identify the parts of a micro photo of a craniopharyngeoma

upper left: calcification
lower right: keratinized squamous cells
magnification: cholesterol crystals
what is Pituitary apoplexy?
what is Empty sella syndrome?
Sudden enlargement of a pituitary adenoma due to bleeding within the adenoma
Refers to abscense of the pituitary due to compression and atrophy or surgical removal.
decreased gonadotropins in hypopituitarism will cause what effects on adult women, men, children?
and how will these changes reflect in a lab report?
adult woman = 2ry amenorrhea, decreased libido, diminished 2ry sex characteristics
adult men = impotence, diminished 2ry sex characteristis
children = growth and sexual maturation retardation (delayed fusion of epiphyses)
labs: low FSH and LH, low estradiol/testosterone
growth hormone deficiency found in hypopituitarism will affect adults and children how?
adults = only hypoglycemia
children = pituitarism dwarf, delayed growth and sexual maturation
TSH deficiencty found in hypopituitarism will affect individuals how?
ACTH deficiency found in hypopituitarism will affect individuals how?
Prolactin deficiency found in hypopituitarism will affect individuals how?
what are the most important hormonal deficiencies to recognize in hypopituitarism?
adrenal insufficiency and hypothyroidism should be treated with?
Glucocorticoids first (to avoid adrenal crisis) and then with Thyroid hormone
Name a Posterior pituitary hypofunction disease
Diabetes insipidus