what is this?

normal thyroid
what is this?

Nonfunctioning pituitary adenoma
what is this?

Sheehan’s postpartum pituitary necrosis
what is this?

a craniopharyngeoma
what is this?


what is this?

Thyroglossal duct cyst
what is this?

thyromegaly
identify

Grave’s disease

what is this?

Hashimoto’s thyroiditis

what is this?

hashimotos

what is this?

hashimotos

what is this?

DeQuervain’s disease

what is this?


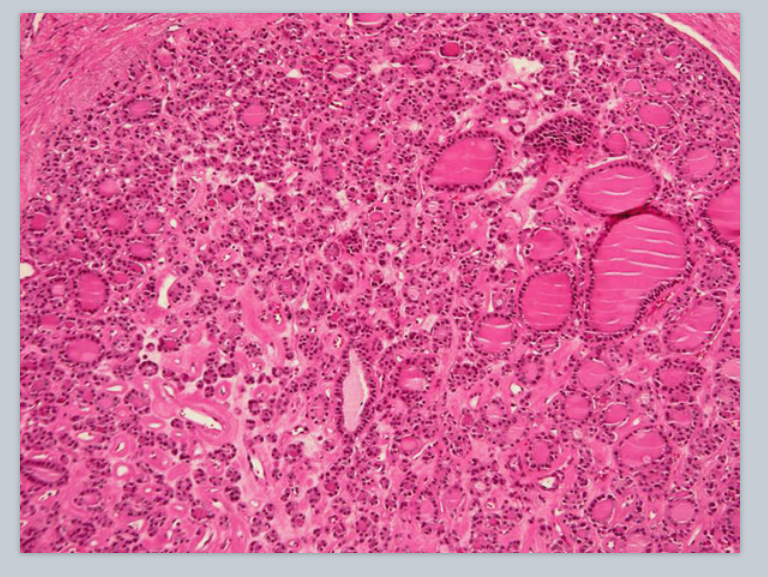
what is this?

multinodular goiter
what is this?

multinodular goiter
what is this?

solitary thyroid nodule
what is this?

follicular adenoma
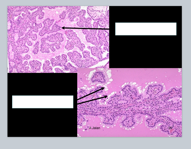
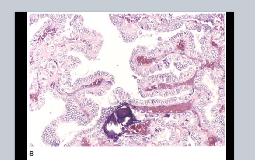
what is this?

papillary carcinoma
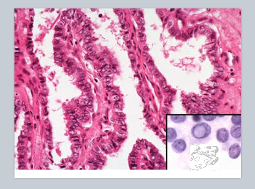
what is this?

papillary carcinoma
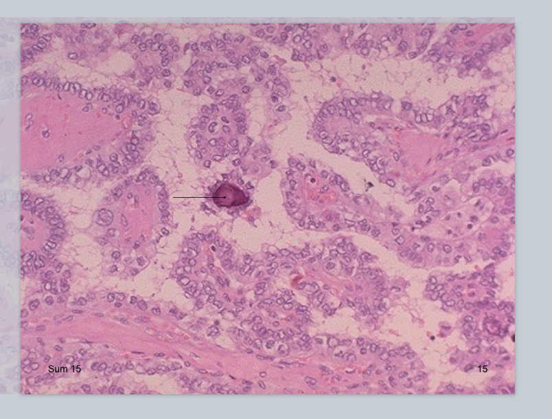
what is this?

psammoma body
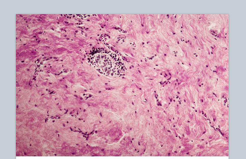
what is this?

papillary carcinoma
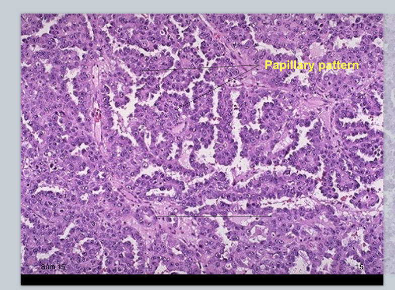
what is this?

papillary carcinoma
what is this?

follicular carcinoma
what is this?

follicular carcinoma