Label this macroscopic image of the kidney?

4Lateral border
5Medial border
6Renal hilus
7Renal sinus
10 Cranial end
11 Caudal end
15 Renal lobes
16 Renal cortex
22 Renal medulla
23 Renal pyramids
24 Base of the pyramid
27 Renal crest
30 Renal columns
31 Renal pelvis
32 Ureter
Look at this?

The Nephron is:
= Functional unit of kidney (!)
= Renal corpuscle + renal tubule
Look at this?

WHat is the Uriniferous tubule?
= Nephron + collecting tubule

How does the Transitional epithelium (urothelium) appear?

List Urinary tract pathology?
Case A

Dog
Gordon Setter
2 years 10 months
Male neutered
Polyuria/polydipsia, severe azotemia, severe anemia, proteinuria and a history of melena. Presenting with renal failure. Euthanasia.
What is your diagnosis?
Diagnosis:
Bilateral severe chronic interstitial nephritis with severe fibrosis and tubular atrophy
(suspected leptospirosis)
Case B

Cat
Domestic short hair
12 years 9 months
Female neutered
Abnormal left kidney. Surgical resection was attempted but then aborted. Presenting with anorexia and oedema on caudal part of body. Euthanasia.
What is your diagnosis?
Diagnosis:
Renal carcinoma with severe hydronephrosis and medullar atrophy
Case C

English Bulldog
7 months
Female entire
Two day history of vomiting and diarrhea, bloods showed increased urea, creatinine and calcium. Anuric overnight. Severe hyperkalaemia leading to ECG changes and death.
What is your diagnosis?
Diagnosis:
Severe bilateral renal dysplasia with severe uremic pneumonia and gastritis
Case D

Irish Wolfhound
8 years
Female entire
Sudden death due to gastric dilation and volvulus (GDV). On post-mortem examination, the urinary tract appeared grossly abnormal.
What is your diagnosis?
Urinary bladder in pic
Diagnosis (urinary bladder):
Moderate to severe diffuse chronic follicular cystitis
(incidental finding)
Case E

Cavalier King
Charles Spaniel
5 years
Female
Inappetance and vomiting. Last night not been eating well, off colour and vomiting bile. Passed away this morning.
what is your diagnosis?
Diagnoses:
•Severe bilateral chronic interstitial nephritis with severe uremic gastritis and parathyroid hyperplasia
•Moderate diffuse chronic follicular cystitis
(incidental finding)

Case F

Cocker spaniel
11 years
Male entire
Sudden onset of lethargy and anorexia after being in the kennels for two weeks. Rapid deterioration and death the next day.
what is your diagnosis?
Diagnosis:
•Severe bilateral chronic interstitial nephritis with uremic gastritis, hypertrophic costochondral junctions (‘rachitic rosary’) and aortic mineralization
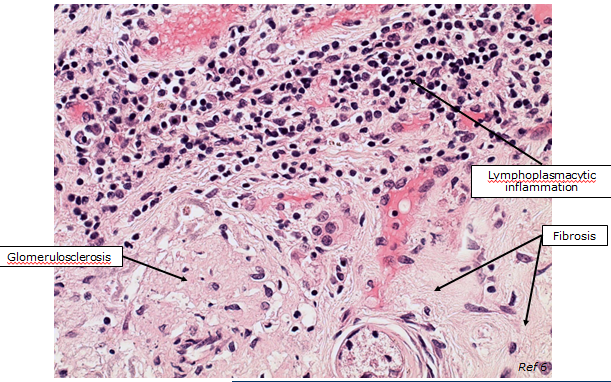
What can be seen here?

Diagnosis:
Bilateral severe chronic interstitial nephritis with severe fibrosis and tubular atrophy
(suspected leptospirosis)