Practice tests Flashcards

(218 cards)

1
Q

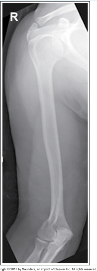
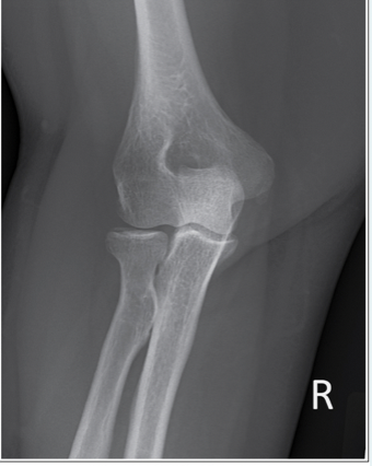
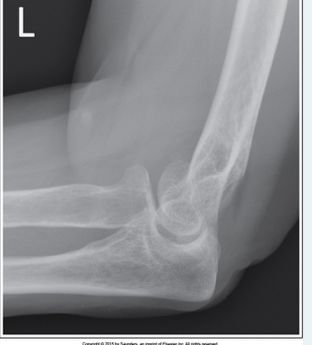
Which, from the following list of image criteria, is not met with this AP elbow image?

a.CR is not perpendicular with the IR
b.Hand is supinated
c.Equal demonstration of humerus and forearm
d.Arm is not extended

A

d.Arm is not extended

How well did you know this?
1
Not at all
2
3
4
5
Perfectly
2
Q

What is the corrective action required for a repeat AP elbow image when the patient cannot fully extend their arm?

a.Acquire 2 AP images, one for the proximal forearm, one for the distal humerus
b.No corrective action is necessary due to the patient condition
c.Use a cross table lateral beam to obtain the AP image
d.Have the patient fully extend their arm; using force if required

A

a.Acquire 2 AP images, one for the proximal forearm, one for the distal humerus

How well did you know this?
1
Not at all
2
3
4
5
Perfectly
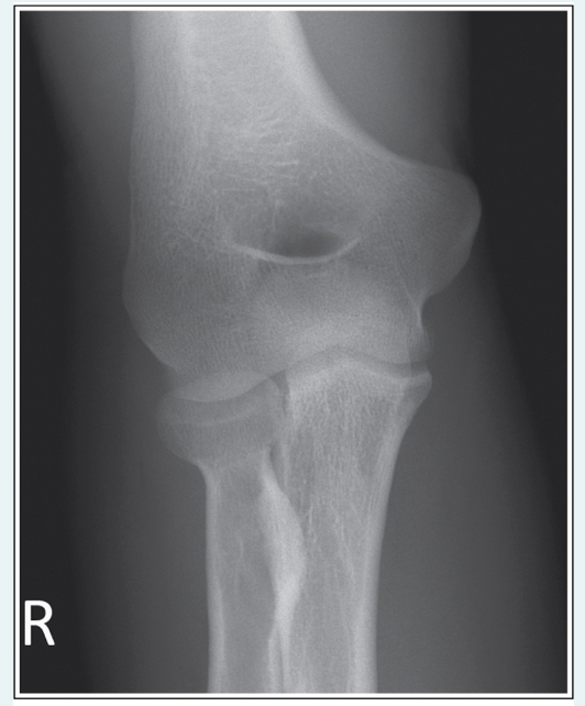
3
Q

For an AP projection of the elbow, what is the relationship of the humeral epicondyles to the IR?

a.45 degree external rotation
b.45 degree internal rotation
c.Parallel
d.Perpendicular

A

c.Parallel

How well did you know this?
1
Not at all
2
3
4
5
Perfectly
4
Q

This AP elbow image demonstrates incorrect positioning of the part. What error occurred?

a.Forearm is not fully extended
b.Forearm is hyperextended
c.Humeral epicondyles are not perpendicular to the IR
d.Humeral epicondyles are not parallel to the IR

A

d.Humeral epicondyles are not parallel to the IR

How well did you know this?
1
Not at all
2
3
4
5
Perfectly
5
Q

How should this error be corrected on the repeat AP elbow image?

a.Hand should be pronated
b.Arm should be rotated internally
c.Arm should be rotated externally
d.Forearm should be fully extended

A

b.Arm should be rotated internally

How well did you know this?
1
Not at all
2
3
4
5
Perfectly
6
Q

The white line is pointing to what anatomical part?

a.acromion process
b.clavicle
c.coracoid process
d.glenoid fossa

A

c.coracoid process

How well did you know this?
1
Not at all
2
3
4
5
Perfectly
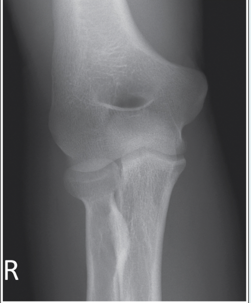
7
Q

Which of the image criteria for an AP humerus is not met with this image?

a.The shoulder joint is not fully included
b.Humeral head in profile
c.Epicondyles are in profile
d.Exposure does not show bony details

A

c.Epicondyles are in profile

How well did you know this?
1
Not at all
2
3
4
5
Perfectly
8
Q

What corrective action is necessary on the repeat image?

a.Arm should be internally rotated
b.CR should be angled caudad 15 degrees
c.Arm should be externally rotated
d.Arm should be abducted from the body

A

a.Arm should be internally rotated

How well did you know this?
1
Not at all
2
3
4
5
Perfectly
9
Q

Which evaluation criterion indicates that the humerus was properly positioned for the AP projection?

a.The greater tubercle is superimposed over the humeral head
b.The humeral head and greater tubercle are seen in profile
c.The epicondyles are superimposed
d.The lesser tubercle is seen in profile

A

b.The humeral head and greater tubercle are seen in profile

How well did you know this?
1
Not at all
2
3
4
5
Perfectly
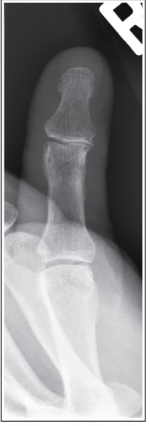
10
Q

What image criterion is not met on this AP projection of the thumb?

a.Interphalangeal joint space in profile
b.Proximal and distal phalanges demonstrated
c.First metacarpal-phalangeal joint is free of superimposition
d.First metacarpal-carpal joint is shown free of superimposition

A

d.First metacarpal-carpal joint is shown free of superimposition

How well did you know this?
1
Not at all
2
3
4
5
Perfectly
11
Q

Why is the 1st digit acquired in AP projections and not PA projections?

a.To visualize anterior/posterior fracture displacements
b.To include the trapezium
c.For ease of patient positioning
d.To reduce magnification and unsharpness

A

d.To reduce magnification and unsharpness

How well did you know this?
1
Not at all
2
3
4
5
Perfectly
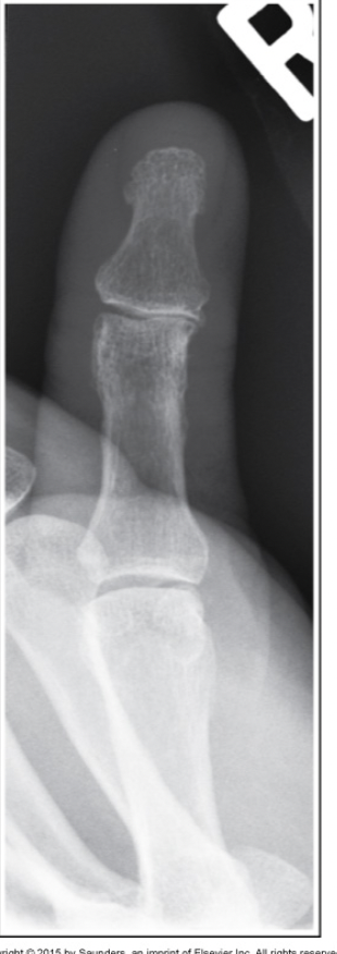
12
Q

How should the MRT correct this AP thumb image for the repeat?

a.Rotate the hand anteriorly and include the scaphoid.
b.Fully extend the arm and include the trapezium
c.Pull the hand posteriorly and include the trapezium
d.Ensure the wrist, forearm and humerus are all on the same plane

A

c.Pull the hand posteriorly and include the trapezium

How well did you know this?
1
Not at all
2
3
4
5
Perfectly
13
Q

Which of the following positioning errors has occurred in this lateral elbow image?

a.Forearm is not on the same plane as the IR
b.Central ray is angled 30 degrees towards the shoulder
c.Elbow is rotated internally
d.Elbow is not flexed 90 degrees

A

d.Elbow is not flexed 90 degrees

How well did you know this?
1
Not at all
2
3
4
5
Perfectly
14
Q

What positioning error has occurred in this lateral forearm image?

a.Distal radius and ulna are not superimposed
b.Proximal radius and ulna are not superimposed
c.Hand is supinated
d.Hand is pronated

A

a.Distal radius and ulna are not superimposed

How well did you know this?
1
Not at all
2
3
4
5
Perfectly
15
Q

What anatomy indicated the error in this PA oblique hand image?

a.MCP joint spaces are not free of superimposition
b.Space between 4th and 5th metacarpals is too narrow
c.Space between 2nd and 3rd metacarpals is too narrow
d.PIP joint space is not open

A

d.PIP joint space is not open

How well did you know this?
1
Not at all
2
3
4
5
Perfectly
16
Q

Which joint of the hand is formed by the articulation of the head of a metacarpal with a digit?

a.Metacarpophalangeal
b.Carpometacarpal
c.Proximal metacarpophalangeal
d.Distal interphalangeal

A

a.Metacarpophalangeal

How well did you know this?
1
Not at all
2
3
4
5
Perfectly
17
Q

What positioning error has occurred in this lateral wrist image?

a.Elbow is not properly flexed
b.Hand is rotated anteriorly
c.Forearm and humerus are not on the same plane
d.Hand is rotated posteriorly

A

b.Hand is rotated anteriorly

How well did you know this?
1
Not at all
2
3
4
5
Perfectly
17
Q

How did you identify this error in positioning for this lateral wrist projection?

a.The triquetrum is not aligned with the capitate
b.Radius and ulna are not superimposed
c.Pisiform is not free of superimposition
d.Hand is pronated

A

b.Radius and ulna are not superimposed

How well did you know this?
1
Not at all
2
3
4
5
Perfectly
18
Q

Which of the following is a common fracture type that may be misdiagnosed due to this positioning error?

a.Bennett’s fracture
b.Maisonneuve fracture
c.Boxer’s fracture
d.Smith’s fracture

A

d.Smith’s fracture

How well did you know this?
1
Not at all
2
3
4
5
Perfectly
19
Q

Which of the following is best demonstrated in this AP oblique (internal rotation) elbow image?

a.Capitulum
b.Lateral epicondyle
c.Trochlear process
d.Olecranon process in profile

A

c.Trochlear process

How well did you know this?
1
Not at all
2
3
4
5
Perfectly
20
Q

Which projection of the elbow best demonstrates the radial head and neck free of superimposition?

a.AP, elbow fully extended
b.Lateral
c.AP oblique, medial rotation position
d.AP oblique, lateral rotation position

A

d.AP oblique, lateral rotation position

How well did you know this?
1
Not at all
2
3
4
5
Perfectly
21
Q

What is the projection?

a.PA wrist ulnar deviation
b.PA wrist radial deviation
c.AP wrist ulnar deviation
d.AP wrist radial deviation

A

a.PA wrist ulnar deviation

How well did you know this?
1
Not at all
2
3
4
5
Perfectly
22
Q

What positioning error is demonstrated on this AP forearm image?

a.Hand is pronated
b.Hand is supinated
c.Wrist and elbow are not on the same plane
d.CR is angled 5 degrees cephalad

A

a.Hand is pronated

How well did you know this?
1
Not at all
2
3
4
5
Perfectly
23
Q

Which projection of the forearm requires that the elbow be flexed 90 degrees?

a.Lateral with a 35 degree CR toward the shoulder
b.AP oblique, lateral rotation position
c.AP trauma imaging
d.Lateral

A

d.Lateral

How well did you know this?
1
Not at all
2
3
4
5
Perfectly
24
What should the MRT decide about this AP shoulder image to demonstrate the greater tubercle? a.Repeat the image with the epicondyles internally rotated b.Repeat the image with the scapula parallel to the IR c.Repeat the image with the epicondyles externally rotated d.Send to PACS
d.Send to PACS
25
With reference to the plane of the IR, how should the humeral epicondyles be positioned for the AP projection of the shoulder with the humerus in external rotation? a.45 degrees laterally rotated b.Perpendicular c.45 degrees rotated medially d.Parallel
d.Parallel
26
What is the name of this projection? a.Lateral elbow b.Tangential elbow c.Axiolateral elbow d.Axiooblique elbow
c.Axiolateral elbow
27
What is the recommended angulation of the CR for this projection? a.angled 45 degrees cephalad b.angled 45 degrees away from the shoulder c.angled 45 degrees caudad d.angled 45 degrees toward the shoulder
d.angled 45 degrees toward the shoulder
28
What is this projection? a.PA hand b.PA oblique hand 30 degree rotation c.AP hand d.PA oblique hand, 45 degree rotation
d.PA oblique hand, 45 degree rotation
29
What should the MRT do next with this image? a.Repeat the image with the CR at the 3rd MCP joint b.Repeat the image with less rotation c.Send to PACS, no fracture is demonstrated d.Repeat the image with more rotation
b.Repeat the image with less rotation
30
What should the MRT do next with this scapular Y image? a.Repeat the image with more rotation of the body b.Repeat the image with less rotation of the body c.Repeat the image to include more humerus d.straighten the midcoronal plane
a.Repeat the image with more rotation of the body
31
What is the relationship of the body of the scapula and the IR for the Y shot of the shoulder? a.45 degree angle b.60 degree angle c.Parallel d.Perpendicular
d.Perpendicular
32
An anterior dislocation of the humeral head would be demonstrated on a Y shot shoulder image by: a.Humeral head under the coracoid process b.Anterior displacement of the humeral shaft c.Lateral displacement of the humeral shaft d.Humeral head under the acromion process
a.Humeral head under the coracoid process
33
Which projection is attempted? a.Lateral forearm b.AP forearm c.PA oblique forearm d.PA forearm
a.Lateral forearm
34
What positioning error has occurred for this PA oblique hand projection? a.All carpal bones are not included b.Hand is under rotated c.Hand is over rotated d.Digits are not parallel to the IR
d.Digits are not parallel to the IR
35
An image of a plantodorsal axial projection of the calcaneous demonstrates foreshortening. What should the technologist do next? Select one: a.Repeat with an increase of CR angle b.Repeat with a decrease of CR angle c.Repeat with increased dorsiflexion d.Repeat with a decrease of technical factors
c.Repeat with increased dorsiflexion
36
how was this image acquired? a.RPO, 30 degrees b.LPO, 40 degrees c.LAO, 40 degrees d.LPO, 30 degrees
a.RPO, 30 degrees
37
What pathology is demonstrated in this image? a.spiral fracture b.greenstick fracture c.compound fracture d.oblique fracture
b.greenstick fracture
38
On a portable knee procedure in the recovery room, post knee replacement, which images would be required to demonstrate the anatomy? a.AP and lateral b.AP and cross table lateral c.AP only d.Cross table lateral only
b.AP and cross table lateral
39
What pathology is demonstrated in the image? a.subluxation b.dislocation c.arthritis d.osteoporosis
a.subluxation
40
What corrective action is required for the repeat of this image a.Dorsiflex the foot and rotate the leg posteriorly b.Dorsiflex the foot and rotate the leg anteriorly c.Angle the central ray 5 degrees dephalad d.Elevate the knee from the table surface
a.Dorsiflex the foot and rotate the leg posteriorly
41
What should the MRT do next after acquiring this AP pelvis image? a.Send the image to PACS for reporting b.Repeat the image with the patient turned more towards the right side c.Repeat the image with the patient turned more towards the left side d.Repeat the image with the knees and hips flexed
b.Repeat the image with the patient turned more towards the right side
42
The foot is dorsiflexed on a lateral ankle to: a.open up the sinus tarsi b.prevent lateral rotation of the ankle c.superimpose the metatarsals d.demonstrate the inferior lateral malleolus
b.prevent lateral rotation of the ankle
43
The internal rotation oblique view of the foot will best demonstrate the: a.first and second metatarsals b.third to fifth metatarsals c.tarsal interspaces d.cuboid, calcaneous and fifth metatarsal
d.cuboid, calcaneous and fifth metatarsal
44
To prevent the femoral-tibial joint space from being obscured by the magnified shadow of the medial femoral condyle in the lateral position of the knee, the radiographer should: a.angle the central ray 5 degrees cephalad b.place the knee joint in 90 degree flexion c.rotate the knee so that the patella forms a 45 degree angle to the film d.fully extend the patient’s lower leg
a.angle the central ray 5 degrees cephalad
45
What is the degree of leg flexion required for a lateral view of the knee? a.15 degrees b.45 degrees c.10 to 20 degrees d.20 to 30 degrees
d.20 to 30 degrees
46
What type of fracture is evident? a.Smith’s fracture b.Stress fracture c.Greenstick fracture d.Colles’ fracture
d.Colles’ fracture
47
When placing the IR beside the patient for a cross table lateral hip image (axiolateral projection), the IR is required to be: a.parallel with the femoral neck b.parallel with the femoral shaft c.perpendicular with the femoral shaft d.perpendicular with the femoral neck
a.parallel with the femoral neck
48
Which image will provide the most amount of information for a suspected medial tibial plateau fracture? a.Lateral knee b.AP knee c.Internal rotation oblique knee d.External rotation oblique knee
d.External rotation oblique knee
49
Which of the following would best demonstrate calcaneal spurs? a.Lateral view of the ankle b.Internal rotation oblique of the ankle c.Medial rotation oblique of the foot d.Lateral view of the foot
d.Lateral view of the foot
50
Which positioning maneuver should be performed to place the femoral necks parallel with the IR for an AP projection of the pelvis? a.Rotate the lower limbs medially 15 to 20 degrees. b.Flex the hips and abduct the femora laterally 15 to 20 degrees. c.Rotate the lower limbs laterally 15 to 20 degrees. d.This image is acceptable due to the obvious femoral neck fracture
a.Rotate the lower limbs medially 15 to 20 degrees
51
Which of the following image criteria is not met with this image? a.femoralpatellar joint space open b.knee is flexed 20 to 30 degrees c.patella in profile d.femoral condyles are superimposed
d.femoral condyles are superimposed
52
What anatomic misalignment is demonstrated? a.Underrotation of the knee as the proximal tib/fib articulation is superimposed b.Overrotation of the knee as the proximal tib/fib articulation is open c.The inferior borders of the condyles indicate insufficient angulation of the CR d.The inferior borders of the condyles indicate the CR is perpendicular
a.Underrotation of the knee as the proximal tib/fib articulation is superimposed
53
What should be done to prevent the knee joint space from being obscured by the magnified shadow of the medial femoral condyle when the lateral projection of the knee is performed? a.Direct the central ray 5 to 7 degrees cephalad. b.Direct the central ray perpendicularly. c.Decrease the SID. d.Use radiolucent sponges to support the leg
a.Direct the central ray 5 to 7 degrees cephalad.
54
Which projection of the knee best demonstrates the proximal tibiofibular articulation without bony superimposition? a.AP projection, 5 degree cephalad angulation b.horizontal beam lateral c.AP oblique projection, medial rotation d.AP oblique projection, lateral rotation
c.AP oblique projection, medial rotation
55
Regardless of the condition of the patient, which positioning maneuver should be performed to position the foot for the lateral projection? a.Dorsiflex the foot. b.Ensure the plantar surface is perpendicular to the IR. c.Ensure the plantar surface is in contact with the IR. d.Rotate the leg laterally until the knee is against the table.
c.Ensure the plantar surface is in contact with the IR.
56
Which projection of the knee best demonstrates the femorotibial joint space open if the patient measures more than 25 cm between the ASIS and the tabletop? a.AP projection with the central ray angled 3 to 5 degrees caudad b.AP projection with the central ray angled 3 to 5 degrees cephalad c.AP oblique projection, medial rotation d.AP projection with perpendicular central ray
b.AP projection with the central ray angled 3 to 5 degrees cephalad
57
For an AP ankle image, which joint space should be demonstrated? a.fibulartalar joint space b.tibiotalar joint space c.ankle mortise d.tibiofibular joint space
b.tibiotalar joint space
58
For which projection of an individual hip should the unaffected hip be flexed and the thigh be raised out of the way of the central ray? a.Axiolateral projection (Danelius-Miller method) b.AP projection c.AP oblique projection (modified Cleaves method) d.Lateral projection (Lauenstein method)
a.Axiolateral projection (Danelius-Miller method)
59
What corrective action is required for a repeat image of this lateral ankle x-ray? a.Foot requires decreased dorsiflexion b.long axis of the foot parallel to the IR c.long axis of the foot perpendicular to the IR d.Foot requires increased dorsiflexion
b.long axis of the foot parallel to the IR
60
There is rotation demonstrated on this image. In which direction is the rotation? a.tilt rotation b.superior rotation c.Toward the affected side d.Toward the unaffected side
d.Toward the unaffected side
61
Which position would best assist in ruling out a fracture of the lateral tarsal bones? a.Lateral foot b.Lateral ankle c.Medial rotation oblique foot d.Medial rotation oblique ankle
c.Medial rotation oblique foot
62
You are requested to image the proximal tibiofibular joint space, which image are you going to acquire? a.medial rotation oblique view ankle b.lateral rotation oblique view ankle c.medial rotation oblique view knee d.lateral rotation oblique view knee
c.medial rotation oblique view knee
63
Upon acquisition of this image, what should the MRT do next? a.Repeat the image increasing dorsiflexion b.Send the image to PACS c.Repeat the image, rotate the leg posteriorly d.Repeat the image, rotate the leg anteriorly
c.Repeat the image, rotate the leg posteriorly
64
Which image criteria is not met with this image? a.tibial plateau in profile b.patellofemoral joint space open c.superimposed femoral condyles d.patella superimposed on femur
b.patellofemoral joint space open
65
Upon acquisition of this image, what should the MRT do? a.Repeat the image elevating the chin b.Repeat the image with an increase of CR angle c.Send the image to PACS d.Repeat the image with a decrease of body rotation
a.Repeat the image elevating the chin
66
In what body position is this projection acquired a.Lateral b.45 degree oblique c.RAO d.LAO
c.RAO
67
What anatomical structures are best demonstrated with this projection? a.right apophyseal joints b.right intervertebral foramina c.left intervertebral foramina d.left apophyseal joints
b.right intervertebral foramina
68
What projection has been attempted with this image? a.AP axial of cervical spine b.Open-mouth odontoid projection c.Fuchs odontoid projection d.AP cervical spine
b.Open-mouth odontoid projection
69
What anatomy is interfering with the demonstration of the dens? a.teeth b.mandible c.foramen magnum d.base of skull
d.base of skull
70
Which evaluation criterion pertains to the lateral projection of the cervical vertebral column? a.The intervertebral foramina closest to the IR should be open b.All seven cervical vertebrae should be demonstrated c.The intervertebral foramina furthest from the IR should be open d.The spinous processes should be in profile
d.The spinous processes should be in profile
71
How and where should the central ray be directed for the AP axial projection of the cervical vertebral column? a.15 to 20 degrees cephalad to C7 b.Perpendicular to C4 c.15 to 20 degrees cephalad to C4 d.Perpendicular to C7
c.15 to 20 degrees cephalad to C4
72
What corrective action should the MRT take on the repeat image? a.Rotate the patient to the left b.Elevate the chin c.Utilize a 15-20 degree caudal angle to the CR d.Utilize a 15-20 degree cephalad angle to the CR
d.Utilize a 15-20 degree cephalad angle to the CR
73
What positioning error has occurred for this oblique body position c-spine? a.CR is angled too little b.CR is angled too much c.Body is over rotated d.Body is under rotated
d.Body is under rotated
74
What corrective action is required for the repeat image? a.place the head in a lateral position b.Increase the obliquity of the body to 45 degrees c.oblique the patient's head 45 degrees d.decrease the body obliquity to 45 degrees
b.Increase the obliquity of the body to 45 degrees
75
Which of the following imaging criteria for a lateral thoracic spine is not being met with this projection? a.Intervertebral foramina are well demonstrated b.Intervertebral disk spaces are open c.Posterior surfaces of vertebral bodies are superimposed d.Vertebral bodies are demonstrated without distortion
b.Intervertebral disk spaces are open
76
What corrective action should be taken on the repeat image? a.Angle the CR in a cephalad direction b.Rotate the patient anteriorly c.Rotate the patient posteriorly d.Angle the CR in a caudal direction
a.Angle the CR in a cephalad direction
77
At what angle to the midsagittal plane are the thoracic intervertebral foramina? a.70 degrees b.45 degrees c.Parallel to the MSP d.90 degrees
c.Parallel to the MSP
78
Which projection is demonstrated? a.LAO cervical spine b.AP cervical spine c.RAO cervical spine d.Lateral cervical spine
a.LAO cervical spine
79
What positioning error has occurred? a.Head is tilted toward the IR b.Patient is moving c.CR angle is insufficient d.Patient is over rotated
a.Head is tilted toward the IR
80
Which of the following imaging criteria is not being met with this image? a.Intervertebral disk spaces are open b.Vertebral bodies of C3 to C7 included c.Vertebral bodies are demonstrated without distortion d.Spinous processes are aligned to the midline
b.Vertebral bodies of C3 to C7 included
81
What positioning error has occurred in this projection? a.The chin is elevated b.The MSP is not perpendicular to the IR c.The chin is depressed d.The CR angle was directed caudad
a.The chin is elevated
82
What is the corrective action required for the repeat image? a.Ensure the mental-mastoid line is perpendicular to the IR b.Rotate the patient to the right c.Ensure the mandibular angles and mastoid tips are equidistant from the IR d.Increase the CR angle to 35 degrees cephalad
c.Ensure the mandibular angles and mastoid tips are equidistant from the IR
83
Which imaging criteria is not met with this image? a.C1 and C2 are demonstrated without mandibular superimposition b.Intervertebral disk spaces are open c.C1 to C7 are demonstrated d.Spinous processes are in profile
c.C1 to C7 are demonstrated
84
What positioning maneuver is required for the repeat image of this non-trauma lateral C-spine? a.Align the IPL perpendicular to the IR b.Place 5- to 10-lb weights on the arm at the elbow c.Elevate the chin d.Position the shoulders in the same horizontal plane
b.Place 5- to 10-lb weights on the arm at the elbow
85
Which projection should be included in a cervical series if the lateral projection does not demonstrate the C7 vertebra? a.Lateral projection (swimmer’s technique) b.Lateral projection (dorsal decubitus position) c.AP axial oblique projection d.AP projection, with a perpendicular central ray
a.Lateral projection (swimmer’s technique)
86
What compensation should be made in the lateral projection of the thoracic vertebral column on a recumbent patient when the lower thoracic region is not parallel with the table? a.Place cushions under the patient’s head b.Direct the perpendicular central ray to T10 c.Angle the central ray 10 to 15 degrees cephalad d.Angle the central ray 10 to 15 degrees caudad
c.Angle the central ray 10 to 15 degrees cephalad
87
Which image criteria is not met with this projection? a.Intervertebral disk spaces are open in profile b.The space between the posterior ribs does not exceed 1.25cm c.Seventh vertebrae is in center of image d.Intervertebral foramina are demonstrated
b.The space between the posterior ribs does not exceed 1.25cm
88
What corrective action should be taken on the repeat image? a.Increase the CR angle caudad b.Increase the CR angle cephalad c.Ensure the MCP is perpendicular to the IR d.Ensure the MCP is parallel to the IR
c.Ensure the MCP is perpendicular to the IR
89
What respiration phase is used for this image to help reduce the appearance of lung markings? a.Breathing, short exposure time b.Suspended inspiration c.Breathing, long exposure time d.Suspended expiration
c.Breathing, long exposure time
90
What positioning error has occurred with this image? a.CR is angled 15 degrees cephalad b.shoulders are not in the same plane c.MCP is not perpendicular to the IR d.Head is tilted toward the IR
d.Head is tilted toward the IR
91
What corrective action is required for the repeat image? a.Rotate patient so MCP is perpendicular to the IR b.Turn patient so shoulders are in the same plane c.Ensure the IPL is perpendicular to the IR d.Ensure the CR is perpendicular to the IR
c.Ensure the IPL is perpendicular to the IR
92
With reference to the midsagittal plane, how do zygapophyseal joints open in cervical vertebrae? a.20 degrees anteriorly b.25 degrees posteriorly c.90 degrees laterally d.45 degrees posteriorly
c.90 degrees laterally
93
Which projection criteria is not met with this image? a.C5 to T3 are included in the field of exposure b.Transversely collimate to within 1.25 cm of the skin line. c.The lower arm is elevated d.The intervertebral disk spaces are open and in profile
d.The intervertebral disk spaces are open and in profile
94
What corrective action is required for the repeat image? a.Increase the elevation of the arm b.Rotate the patient posteriorly c.Place head on sponge so IPL is perpendicular to the IR d.Decrease the CR angle
c.Place head on sponge so IPL is perpendicular to the IR
95
What positioning error has occurred with this projection? a.CR is angled 5-7 degrees caudad b.Exposure is on suspended inspiration c.Hips and knees have not been flexed d.Body is rotated towards the right
c.Hips and knees have not been flexed
96
What image criteria is not met with this image? a.Upper incisors and occipital base are demonstrated superior to the dens b.Dens is in the centre of the exposure field c.Atlanto-axial joint space is open symmetrically d.Spinous processes are aligned to the midline of the body of the axis
a.Upper incisors and occipital base are demonstrated superior to the dens
97
What is the corrective action required for the repeat image? a.Align the MCP parallel with the IR b.Elevate the head so upper incisors and mastoid tip are perpendicular to IR c.Ensure the IPL is perpendicular to the IR d.Depress the head so upper incisors and mastoid tip are perpendicular to IR
b.Elevate the head so upper incisors and mastoid tip are perpendicular to IR
98
How should the central ray be directed for the AP projection (open mouth)? a.15 degrees cephalically b.Perpendicularly c.20 degrees cephalically d.15 degrees caudally
b.Perpendicularly
99
The radiographer should not use the Fuchs method to obtain the AP projection of the dens if the patient is: a.Unable to cooperate b.Unable to depress both shoulders c.Suspected to have a fracture or degenerative disease d.Unable to suspend respiration
c.Suspected to have a fracture or degenerative disease
100
When is the Fuch's projection recommended? a.To rule out fracture of the body of C2 b.To demonstrate the atlanto-axial joint space c.To demonstrate the dens without superimposition d.To rule out fracture of the C1 lateral masses
c.To demonstrate the dens without superimposition
101
What corrective action is required for the repeat image of this projection? a.Increase the CR angle b.Decrease the CR angle c.Extend the chin higher d.Depress the chin
d.Depress the chin
102
What positioning error has occurred? a.The head is tilted towards the IR b.MCP is not perpendicular to the IR c.The head is tilted away from the IR d.MCP is not parallel to the IR
b.MCP is not perpendicular to the IR
103
For a PA chest with accurate positioning, which of the following apply: 1. SID is set at 180 cm 2. shoulders are positioned at equal distances from the IR 3. upper midcoronal plane is tilted slightly toward the IR a.only 1 is correct b.1 and 2 are correct c.1, 2 and 3 are correct d.only 2 is correct
b.1 and 2 are correct
104
Which body habitus would require a landscape or crosswise position of the image receptor for a PA chest projection? a.asthenic b.asthenic c.sthenic d.hypersthenic
d.hypersthenic
105
A PA chest radiograph with accurate positioning demonstrates: a.9 anterior ribs above the diaphragm b.10 posterior ribs above the diaphragm c.10 anterior ribs above the diaphragm d.8 posterior ribs above the diaphragm
b.10 posterior ribs above the diaphragm
106
The above PA chest image is: a.inadequate due to the thoracic spine not showing through the heart shadow b.inadequate due to collimation being excessive or too wide c.inadequate due to a poor inspiration d.adequate due to the pathology
c.inadequate due to a poor inspiration
107
The radiolucency demonstrated on the patient's left side is most likely due to: a.a left sided pneumonectomy b.a spontaneous pneumothorax c.multiple rib fractures d.improper use of automatic exposure control
b.a spontaneous pneumothorax
108
The image below demonstrates: a.inadequate inspiration b.proper positioning c.anterior rotation of the right side d.soft tissue overlapping the lungs
d.soft tissue overlapping the lungs
109
The image below demonstrates: a.a patient with scoliosis b.anterior rotation of the left side c.anterior rotation of the right side d.a supine lateral chest
c.anterior rotation of the right side
110
Identify the error in the above image. a.patient leaning toward image receptor b.MSP not perpendicular to the IR c.patient not standing upright d.MCP not perpendicular to the IR
d.MCP not perpendicular to the IR
111
The image below demonstrates that the patient is: a.rotated to the right b.rotated to the left c.leaning or tilted to the left d.leaning or tilted to the right
b.rotated to the left
112
A posteroanterior (PA) chest radiograph demonstrates the left clavicle closer to the center of the spine then the right clavicle. Which action should the MRT take? a.turn the right side closer to the image receptor (IR) b.roll the shoulders and ensure the central ray is on the center of the spine c.turn the left side closer to the image receptor (IR) d.accept the image due to the kyphosis of the patient
a.turn the right side closer to the image receptor (IR)
113
A patient has an order for a PA and left lateral chest. The radiologist suspects there may be a left sided pneumothorax. What other image would help demonstrate this pathology? a.an AP axial projection, lordotic position b.an AP sitting chest x-ray c.an AP projection, right lateral decubitus position d.an AP projection, left lateral decubitus position
c.an AP projection, right lateral decubitus position
114
Which of the following statements is correct with respect to evaluation criteria for a PA projection of the chest? a.ten posterior ribs are demonstrated above the diaphragm b.the esophagus is visible in the midline c.the cervical spine can be visualized through the heart shadow d.ten anterior ribs are demonstrated above the diaphragm
a.ten posterior ribs are demonstrated above the diaphragm
115
With reference to the patient, where should the upper border of the IR/collimated field be placed for a PA chest x-ray? a.1 cm above the shoulders at the lateral aspect b.at the level of the clavicles c.at the level of T7, inferior scapular angle d.5 cm above the shoulders
d.5 cm above the shoulders
116
A PA chest radiograph reveals that only eight ribs are seen above the diaphragm. Which of the following should be done when repeating for this image? a.expose on second inspiration b.move the patient to the supine position c.decrease the exposure time d.a higher kV for better penetration
a.expose on second inspiration
117
Which evaluation criterion pertains to the lateral projection image of the chest? a.the distance from the vertebral column to the lateral border of the ribs should be equidistant on both sides b.the ribs posterior to the vertebral column should be superimposed c.a small amount of the heart shadow should be seen on the right side d.a faint shadow of the thoracic vertebrae should be seen through the heart shadow
b.the ribs posterior to the vertebral column should be superimposed
118
A patient is positioned for a PA chest radiograph and the technologist neglects to roll the patient's shoulders forward. What would be the result on this image? a.this is proper positioning for a PA chest for elderly or weak patients b.10 ribs appear above the diaphragm and therefore the image is acceptable c.scapula would appear in the lung fields, the image would have to be repeated d. appear in the lung fields, the image would not have to be repeated as all anatomy is included
c.scapula would appear in the lung fields, the image would have to be repeated
119
Situation: A patient enters the ER with difficulty breathing. The emergency physician suspects pleural effusion on the left side. The patient can't sit or stand, which of the following patient positions will best demonstrate this condition? a.right lateral decubitus b.AP supine c.LPO d.left lateral decubitus
d.left lateral decubitus
120
The manubrium is shown superimposed over the fifth thoracic vertebra (image below) for an AP sitting chest x-ray. What error occurred? a.the central ray had an excessive caudal angulation b.the patient raised their shoulders during the exposure c.the central ray was perpendicular to the long axis of the patient's sternum d.the central ray had a cephalad angulation
a.the central ray had an excessive caudal angulation
121
The lateral chest x-ray image below indicates a.inadequate inspiration due to the evident bowel obstruction b.posterior rotation of the left side c.acceptable positioning, as the gap between the posterior ribs is less than 2.5 cm d.posterior rotation of the right side
d.posterior rotation of the right side
122
Identify the positioning error in the below PA chest image: a.the kV is insufficient b.the patient's shoulders are raised c.the patient's shoulders are not rotated anteriorly d.the patient's left side is rotated away from the image receptor
b.the patient's shoulders are raised
123
What positioning error is demonstrated on the image below: a.the patient's right side is rotated toward the IR b.a right lateral body position should have been completed c.the patient's left side is rotated toward the IR d.the central ray is too superior to the iliac crests
c.the patient's left side is rotated toward the IR
124
What error is demonstrated on the AP supine abdomen projection: a.the patient is rotated toward the right b.the patient's right side is elevated c.the diaphragm is not included on the image d.this image is acceptable as the abdominal area is not rotated
a.the patient is rotated toward the right
125
Which of the following immobilization devices is recommended for an erect abdomen projection on an 18 month old patient? a.Compression band b.Pigg o stat c.the patient's parent can hold the infant in a standing position d.Tam em board
b.Pigg o stat
126
Marker placement for decubitus imaging is commonly: a.on the downside of the patient, taped on the IR b.both the right and left sides should have a radiopaque marker c.the marker should be annotated on the image after the exposure d.on the up side of the patient, taped on the IR
d.on the up side of the patient, taped on the IR
127
How long should a patient remain erect for an upright abdomen image? a.5 minutes prior to the exposure b.20 seconds prior to the exposure c.no time is required d.10 minutes prior to the exposure
a.5 minutes prior to the exposure
128
A patient comes to radiology with a possible mass beneath the right clavicle. The PA and left lateral images of the chest are inconclusive. Which additional image can be taken to demonstrate this possible mass? a.AP erect of chest b.Right lateral view of chest c.Apical lordotic image d.AP and lateral soft tissue neck
c.Apical lordotic image
129
Which of the following technical factors would be used in order to visualize both lung tissue and mediastinum on a PA chest image for a 55 year old ambulatory male patient with a sthenic body habitus? a.140 kV, 180 cm, 2 outside AEC cells b.120 kV, 180 cm, 2 outside AEC cells c.90 kV, 180 cm, 2 outside AEC cells d.120 kV, 180 cm, 15 mAs
b.120 kV, 180 cm, 2 outside AEC cells
130
Refer to the AP supine abdomen projection image below. What should the MRT do next a.accept the image and send to PACS b.Repeat the image with turning the patient towards the left side and internally rotate feet 20 degrees c.repeat the image, having the patient take in a deep breath d.center the central ray at a point 5 cm above the iliac crests
a.accept the image and send to PACS
131
A patient is in ICU after abdominal surgery. The surgeon is concerned about a possible perforated bowel. The patient cannot stand or sit. Which of the following positions will best demonstrate any possible intra-abdominal free air? a.Left lateral decubitus b.Dorsal decubitus c.AP supine chest d.Right lateral decubitus
a.Left lateral decubitus
132
Which pathological condition of the chest would be best demonstrated by the right lateral decubitus position? a.free air in both sides of the chest b.fluid levels in both sides of the chest c.fluid levels in the left side or free air in the right side d.fluid levels in the right side or free air in the left side
d.fluid levels in the right side or free air in the left side
133
The front leg of the Scottie dog represents the: a.Superior articular process b.Pars interarticularis c.Inferior articular process d.Pedicle
c.Inferior articular process
134
Which of the following demonstrates the zygapophyseal joints on a lumbar spine image? a.Lateral projection b.AP projection c.AP projection, oblique position d.AP projection, oblique position with a 15 degree cephalad CR angle
c.AP projection, oblique position
135
The left zygapophyseal joints are best demonstrated on the: a.Left posterior oblique position b.Left lateral position c.Right posterior oblique position d.Right lateral position
a.Left posterior oblique position
136
The intervertebral foramen of a lumber vertebra are best demonstrated on the: a.Lateral projection b.AP projection c.AP projection oblique position d.Lateral projection, 10 degree CR angle
a.Lateral projection
137
Which topographic landmark corresponds to L2-L3? a.Xiphoid process b.iliac crest c.Lower costal margin d.ASIS
c.Lower costal margin
138
An inflammatory condition that often results in fusion of the intervertebral and costovertebral joints is termed: a.Ankylosing spondylitis b.Spina bifida c.Spondylolysis d.Spondylolisthesis
a.Ankylosing spondylitis
139
To detect bone loss on a conventional radiograph, the bone density decrease must be at least: a.10% b.20% c.5% d.30%
d.30%
140
What should the MRT do for this lateral lumbar spine image? a.adjust the CR 2.5 cm posteriorly b.rotate the patient posteriorly c.angle the CR cephalad d.angle the CR caudad
d.angle the CR caudad
141
Which bony anatomic landmarks should be palpated for this projection? a.Spinous processes, ASIS and symphysis pubis b.Iliac crest, ASIS and symphysis pubis c.Iliac crests and ASIS d.Iliac crest, greater trochanter and ASIS
c.Iliac crests and ASIS
142
What positioning error has occurred with this oblique lumbar spine image? oblique lumbar spine x-ray a.The intervertebral disk spaces are not open b.The patient is over rotated c.The intervertebral foramina are not visible d.The patient is under rotated
b.The patient is over rotated
143
Which projection of the lumbar vertebrae best demonstrates the zygapophyseal joints? a.PA oblique projection b.AP oblique projection c.AP projection d.Lateral projection
b.AP oblique projection
144
Which image criteria is not met for this AP axial sacrum projection? a.First through fifth sacral segments are seen without foreshortening b.Median sacral crest and coccyx are aligned with the symphysis pubis c.Third sacral segment is in the middle of the image d.Sacral foramina demonstrate equal spacing
b.Median sacral crest and coccyx are aligned with the symphysis pubis
145
What positioning error has occurred with this AP axial sacrum image? AP axial sacrum xray a.patient is turned to the right b.CR angle is insufficient c.patient is turned to the left d.CR angle is too great
a.patient is turned to the right
146
How many degrees and in which direction should the central ray be directed if it is necessary to have the patient prone for a PA axial projection of the sacrum? a.10 degrees cephalad b.10 degrees caudad c.15 degrees caudad d.15 degrees cephalad
c.15 degrees caudad
147
Which projection has been attempted? oblique lumbar spine a.LAO b.RAO c.AP lumbar d.Lateral lumbar
b.RAO
148
What anatomic structure is required in this projection? l spine xray a.right apophyseal joints b.right intervertebral foramina c.left apophyseal joints d.left intervertebral foramina
c.left apophyseal joints
149
What imaging criteria is not met with this projection? L5 S1 spot x-ray image a.open lumbosacral intervertebral disk space b.evidence of proper collimation and left marker c.crests of the ilia closely superimposing each other
a.open lumbosacral intervertebral disk space
150
What should the MRT do for the repeat image? L5 S1 spot x-ray image a.Expose with the CR angled 8 to 10 degrees cephalad b.Expose with the CR angled 5 to 8 degrees caudad c.Expose with the CR perpendicular d.Expose with the CR angled 10 to 15 degrees caudad
b.Expose with the CR angled 5 to 8 degrees caudad
151
What positioning error has occurred in the AP lumbar image? AP lumbar spine a.CR is perpendicular to the IR b.Hips and knees are not flexed c.Patient is turned to the left d.Patient is turned to the right
d.Patient is turned to the right
152
How many degrees and in which direction should the central ray be directed for an AP axial projection of the coccyx? a.10 degrees caudad b.15 degrees cephalad c.10 degrees cephalad d.15 degrees caudad
a.10 degrees caudad
153
What positioning error has occurred in this image? AP coccyx x-ray a.CR is angled more than 10 degrees cephalad b.Patient is turned to the left c.Patient is turned to the right d.CR angle is more than 10 degrees caudad
c.Patient is turned to the right
154
Which vertebral structures are best demonstrated with the AP oblique projection of the lumbar vertebral column with the patient positioned in a 45 degree RPO? a.Intervertebral foramina on the left side b.Zygapophyseal joints on the right side c.Intervertebral foramina on the right side d.Zygapophyseal joints on the left side
b.Zygapophyseal joints on the right side
155
Which positioning error most likely occurred if the zygapophyseal joints were not well demonstrated and the pedicle was quite posterior on the vertebral body in an image of an AP oblique projection of the lumbar vertebrae? a.the patient was rotated too much b.the spine was not parallel to the table top c.the patient was not rotated enough d.the central ray was not perpendicular to the IR
a.the patient was rotated too much
156
What corrective action is required for the repeat of this image? oblique l-spine a.hips (pelvis) must be elevated to 45 degrees b.shoulders must be depressed to 45 degrees c.hips (pelvis) must be depressed to 45 degrees d.shoulders must be raised to 45 degrees
b.shoulders must be depressed to 45 degrees
157
How many degrees and in which direction should the central ray be directed for the lateral projection of the lumbar vertebrae when the vertebral column is not parallel with the table? a.perpendicular for males, 5 degrees caudad for females b.5 degrees caudad for females, 8 degrees caudad for males c.perpendicular for females, 5 degrees caudad for males d.5 degrees caudad for males, 8 degrees caudad for females
d.5 degrees caudad for males, 8 degrees caudad for females
158
What positioning error has occurred with this image? lateral l-spine x-ray a.CR is not perpendicular to the IR b.patient is rotated c.CR caudad angulation is too excessive d.image is acceptable
b.patient is rotated
159
Which of the following body positions was attempted for this SI joint image? a.AP with 15 degree cephalad angle b.AP c.LPO d.RPO
d.RPO
160
What positioning error has occurred with this image of the left SI joint? a.SI joint is not centered b.patient is under rotated c.patient is over rotated d.CR angle is insufficient
b.patient is under rotated
161
What is the recommended angulation of the CR for an AP axial SI joint projection? a.10 degree cephalic angle for males, 25 degree cephalic angle for females b.30 degree cephalic angle for males, 35 degree cephalic angle for females c.15 degree caudal angle for a male, 25 degree caudal angle for females d.30 degree caudal angle for males, 35 degree caudal angle for females
b.30 degree cephalic angle for males, 35 degree cephalic angle for females
162
Where does the CR enter for the semi-supine oblique of the SI joints? a.CR angled 15 degrees cephalad, 5 cm medial to the elevated ASIS b.CR angled 15 degrees cephalad, 2.5 cm medial to the elevated ASIS c.perpendicular, 5 cm medial to the elevated ASIS d.perpendicular, 2.5 cm medial to the elevated ASIS
d.perpendicular, 2.5 cm medial to the elevated ASIS
163
A PA axial cranial projection obtained with the patient's face rotated toward the right side demonstrates a greater distanced from the: a.lateral orbital margin to the lateral cranial cortex on the left side than on the right side b.right mandibular ramus to the cervical vertebrae than from the left mandibular ramus to the cervical vertebrae c.lateral orbital margin to the lateral cranial cortex on the right side than on the left side d.crista galli to the lateral cranial cortex on the right side than on the left side
a.lateral orbital margin to the lateral cranial cortex on the left side than on the right side
164
A PA axial cranial projection (Caldwell method) with poor positioning demonstrates the petrous ridges inferior to the infraorbital margins. How was the patient positioned for such a projection to be obtained? 1. The patient's chin was not tucked enough. 2. The OML was not positioned perpendicular to the IR. 3. The patient's face was rotated toward the right side. 4. The patient's head was tilted. a.4 only b.2 and 3 only c.2 only d.1 and 2 only
d.1 and 2 only
165
A reverse AP axial (Caldwell method) projection is required for a trauma patient with a cervical spine collar. A 10 degree caudal angle was needed to position the CR parallel with the OML. What central ray angulation is required to appropriately demonstrate the petrous ridges in the lower third of the orbits? a.5 degrees caudad b.adjust the patient's chin so that the OML is perpendicular to the image receptor c.perpendicular d.5 degrees cephalad
d.5 degrees cephalad
166
A patient requires a trauma AP axial cranial projection (reverse Caldwell method). When the central ray is aligned with the OML, the tube angle reads 13 degrees caudad. What central ray angle should be used? a.28 degrees caudad b.2 degrees cephalad c.15 degrees caudad d.2 degrees caudad
b.2 degrees cephalad
167
When the central ray is aligned with a patient's OML, the tube angle reads 25 degrees caudad. What angulation would you use for this patient for a trauma AP axial (Towne method) cranial projection? a.10 degrees cephalad b.Perpendicular c.45 degrees caudad d.55 degrees caudad
c.45 degrees caudad
168
Which of the following pertains to an AP axial (Towne method) cranial projection obtained with the patient's face rotated toward the left side? a.The atlas's posterior arch is demonstrated within the foramen magnum. b.The dorsum sellae is demonstrated superior to the foramen magnum. c.The distance from the dorsum sellae to the lateral foramen magnum on the patient's left side is narrower than on the right side. d.The distance from the dorsum sellae to the lateral foramen magnum on the patient's right side is narrower than on the left side.
c.The distance from the dorsum sellae to the lateral foramen magnum on the patient's left side is narrower than on the right side.
169
An AP axial (Towne method) cranial projection with poor positioning demonstrates the dorsum sellae superior to the foramen magnum. How was the positioning setup mispositioned for such a projection to be obtained? 1. The patient's face was rotated toward the left side. 2. The chin was not adequately tucked. 3. The OML was not aligned perpendicular to the IR. 4. The central ray was angled too caudally. a.1 only b.2, 3, and 4 only c.4 only d.2 and 3 only
d.2 and 3 only
170
An AP axial (Towne method) cranial projection with poor positioning demonstrates a foreshortened dorsum sellae and the atlas's posterior arch within the foramen magnum. How was the positioning setup mispositioned for such a projection to be obtained? 1. The patient's face was rotated toward the right side. 2. The chin was not adequately tucked. 3. The OML was not aligned perpendicular to the IR. 4. The central ray was angled too caudally. a.1 and 3 only b.2 and 4 only c.2 and 3 only d.3 and 4 only
d.3 and 4 only
171
A lateral cranial projection demonstrates the EAM and inferior cranial cortices without superimposition. One of each corresponding structure is demonstrated inferior to the other. How was the patient mispositioned for such a projection to be obtained? a.The central ray was centered too superiorly. b.The patient's head was rotated. c.The patient's chin was elevated. d.The patient's head was tilted.
d.The patient's head was tilted.
172
A lateral cranial projection with poor positioning demonstrates the greater wings of the sphenoid and anterior cranial cortices without superimposition. One of each of the corresponding structures is demonstrated posterior to the other. How was the patient mispositioned for such a projection to be obtained? a.The central ray was centered too superiorly. b.The patient's head was rotated. c.The patient's chin was elevated. d.The patient's head was tilted.
b.The patient's head was rotated.
173
An acanthioparietal sinus projection (Waters method) can be distinguished from a parietoacanthial sinus projection because 1. it demonstrates the bony nasal septum in alignment with the collimated field's longitudinal axis. 2. it demonstrates greater orbital magnification. 3. it demonstrates less distance from the lateral orbital rims to the lateral cranial cortices. 4. the petrous ridges are demonstrated superior to the maxillary sinuses. a.2 and 3 only b.1, 2, and 3 only c.1 and 4 only d.3 and 4 only
a.2 and 3 only
174
A patient is unable to elevate the chin enough for a parietoacanthial facial bone projection (Waters method). How could the positioning setup be adjusted for an optimal projection to be obtained? a.The projection cannot be obtained. b.Elevate the patient's chin as far as possible and use a perpendicular central ray. c.Align the central ray parallel with the MML. d.Angle the central ray cephalically.
c.Align the central ray parallel with the MML.
175
A poorly positioned parietoacanthial facial bone projection (Waters method) demonstrates the petrous ridges within the maxillary sinuses. How was the positioning setup mispositioned for such a projection to be obtained? 1. The MML was not aligned perpendicular to the IR. 2. The patient's head was rotated toward the left side. 3. The patient's chin was tucked more than needed. 4. The central ray was angled too cephalically. a.1, 3, and 4 only b.2 only c.3 and 4 only d.1 and 3 only
a.1, 3, and 4 only
176
An acanthioparietal facial bone projection (Waters method) with poor positioning demonstrates the petrous ridges too far inferior to the maxillary sinuses. How could the positioning setup be adjusted for an optimal projection to be obtained? 1. Depress the patient's chin. 2. Align the central ray parallel with the MML. 3. Align the MML perpendicular to the IR. 4. Adjust the central ray angulation caudally. a.1, 2, 3, and 4 b.2 and 3 only c.1 and 3 only d.1 and 4 only
a.1, 2, 3, and 4
177
A less than optimal PA axial cranium projection (Caldwell method) that requires the chin to be elevated to obtain optimal positioning will a.demonstrate unequal distance from the lateral orbital margins to the lateral cranial cortices on both sides. b.demonstrate the petrous ridges and pyramids in the superior half of the orbits. c.demonstrate the superior orbital fissures within the orbits. d.need the IOML to be aligned perpendicular to the IR.
b.demonstrate the petrous ridges and pyramids in the superior half of the orbits.
178
A optimally positioned AP axial cranium projection (Towne method) demonstrates all of the following except: a.the inferior occipital bone at the center of the exposure field b.symmetrical petrous ridges c.the dorsum sellae within the foramen magnum d.the posterior clinoids superior to the foramen magnum
d.the posterior clinoids superior to the foramen magnum
179
An AP axial cranium projection (Towne method) demonstrating the dorsum sellae superimposing the atlas's posterior arch: a.was obtained with the patient's face rotated toward the right side b.will require the central ray angle to be adjusted caudally until it forms a 30-degree angle with the OML c.will require the patient's chin to be elevated to obtain an optimal projection d.will also demonstrate elongation of the dorsum sellae
b.will require the central ray angle to be adjusted caudally until it forms a 30-degree angle with the OML
180
The distance from the posterior clinoid process to the lateral foramen magnum is less on the patient's left side than on the right side on an AP axial cranium projection (Towne method). To obtain an optimal projection: a.rotate the patient's face toward the left side until the midsagittal plane is perpendicular to the IR b.tuck the patient's chin until the OML is perpendicular to the IR c.elevate the patient's chin until the OML is perpendicular to the IR d.rotate the patient's face toward the right side until the midsagittal plane is perpendicular to the IR
d.rotate the patient's face toward the right side until the midsagittal plane is perpendicular to the IR
181
An optimally positioned lateral cranium projection demonstrates all of the following except: a.an area 2 inches (5 cm) superior to the EAM at the center of the exposure field b.posteroinferior occipital bones and posterior arch of the atlas free of superimposition c.the sella turcica on end d.superimposition of the greater wings of the sphenoid and orbital roofs
c.the sella turcica on end
182
A lateral cranium projection obtained with the top of the patient's head tilted away from the IR will demonstrate all of the following except the: a.inferior cranial cortices without superimposition b.right EAM inferior to the left EAM c.left side greater wing of the sphenoid inferior to the right side greater wing d.atlas's vertebral foramen
c.left side greater wing of the sphenoid inferior to the right side greater wing
183
A parietocanthial facial bone projection (Waters method) demonstrating the petrous ridges within the maxillary sinuses: a.will require a cephalic central ray angulation if the patient is unable to adjust the chin b.would have resulted if the projection was obtained with the patient's mouth open c.would have been obtained with the patient's chin insufficiently elevated to align the MML perpendicular to the IR d.would have been obtained with the patient's chin elevated more than needed to align the acanthioparietal line perpendicular to the IR
c.would have been obtained with the patient's chin insufficiently elevated to align the MML perpendicular to the IR
184
Mr. MacDonald’s orbitomeatal line is extended 10 degrees from the OML. What is the degree of angulation and direction of the CR in order to obtain an AP axial (Townes) projection? a.20 degrees caudad b.40 degrees cephalad c.40 degrees caudad d.20 degrees cephalad
c.40 degrees caudad
185
If your patient cannot extend their neck to obtain an SMV for zygomatic arches due to trauma, what alternative view can best demonstrate the zygomatic arches? a.AP Axial (reverse Caldwell) b.Modified AP Axial Towne’s method c.tangential projections d.Modified Waters method
b.Modified AP Axial Towne’s method
186
A patient requires a trauma AP axial projection (reverse Caldwell method). When the central ray is aligned with the IOML, what central ray angle should be used? a.15 degrees cephalad b.8 degrees caudad c.8 degrees cephalad d.Perpendicular
c.8 degrees cephalad
187
For an SMV projection, what line should be parallel to the IR? a.Orbitomeatal line b.Acanthiomeatal line c.Infraorbitomeatal line d.Mentomeatal line
c.Infraorbitomeatal line
188
How many degrees is the face rotated from the lateral position for the axiolateral oblique projection of the mandible to demonstrate the symphysis menti? a.45 degrees b.15 degrees c.10 degrees d.30 degrees
a.45 degrees
189
For a trauma mandible, if your patient is unable to extend or rotate his head to obtain an axiolateral oblique view of the mandible how would you proceed? a.Turn patient on his side and angle 25 degrees b.Horizontal beam lateral view with a 25-degree rotation of the tube c.Do not include an axiolateral view of the mandible d.Horizontal beam lateral view only
b.Horizontal beam lateral view with a 25-degree rotation of the tube
190
If your patient is suspected of having a sphenoid sinus infection, what projection can be done to demonstrate the sphenoidal sinuses? a.Supine Lateral b.PA Axial Projection (Caldwell) c.PA Projection, Waters method d.PA Projection (Waters) with open mouth
d.PA Projection (Waters) with open mouth
191
Often a patient cannot be turned prone for a PA Axial Caldwell projection. What central ray angle will be needed when doing a reverse AP Axial Caldwell? a.20 degrees cephalad b.15 degrees cephalad c.20 degrees caudad d.10 degrees caudad
b.15 degrees cephalad
192
You are checking your SMV for zygomatic arches, and the distance from the right mandibular ramus and the body to its corresponding lateral cranial cortex is greater than the distance from the left mandibular ramus/body to its corresponding cranial cortex? What is the positioning error? a.Patient is rotated to the left b.Patient is rotated to the right c.Patient vertex is tilted towards the right side d.Patient vertex is tilted towards the left side
c.Patient vertex is tilted towards the right side
193
The mandible mentum (symphysis) is demonstrated posterior to the ethmoid sinuses in an SMV projection for the zygomatic arches, what is the positioning error? a.Patients neck is under extended b.Patients read was rotated to the right c.Patient needs no correction d.Patients neck was over extended
a.Patients neck is under extended
194
This image was performed to primarily demonstrate which of the following: Townes x-ray a.Ethmoid sinuses b.Frontal sinus c.Foramen magnum d.Zygomatic arches
d.Zygomatic arches
195
dentify the projection in this image: a.Tangential b.SMV c.Lateral d.PA axial
a.Tangential
196
Identify how you would direct the central ray when performing the exam demonstrated in this image: a.Perpendicular to the IOML and centered to the zygomatic arch at a point approximately 1 inch (2.5 cm) posterior to the outer canthus b.Perpendicular to the OML and entering the midsagittal plane at a level approximately 1 inch (2.5 cm) posterior to the outer canthi c.Perpendicular to the IOML and entering the midsagittal plane at a level approximately 1 inch (2.5 cm) posterior to the outer canthi d.Perpendicular to the OML and centered to the zygomatic arch at a point approximately 1 inch (2.5 cm) posterior to the outer canthus
c.Perpendicular to the IOML and entering the midsagittal plane at a level approximately 1 inch (2.5 cm) posterior to the outer canthi
197
Does this image meet diagnostic evaluation criteria? a.No, zygomatic arches are not symmetric b.Yes, zygomatic arches free from overlying structures c.Yes, zygomatic arches symmetric d.No, affected zygomatic arch not centered
a.No, zygomatic arches are not symmetric
198
Which image would need to be repeated and why? a.Image B, due to exposure technique b.Image A, due to hyperextension c.Image B, due to using a grid d.Image A, due to exposure technique
d.Image A, due to exposure technique
198
Does this image meet diagnostic evaluation criteria? a.No, zygomatic arches are not free from overlying structures. b.No, zygomatic arches not seen in their entirety. c.Yes, zygomatic arches free from overlying structures. d.Yes, zygomatic arches seen in their entirety.
b.No, zygomatic arches not seen in their entirety.
198
What positioning error occurred in this image? It is an attempted SMV. a.OML was not perpendicular to IR b.OML was not parallel to IR c.IOML was not parallel to IR d.IOML was not perpendicular to IR
c.IOML was not parallel to IR
198
Why would this image be repeated? a.MSP not rotated toward affected side b.Patient’s neck is not hyperextended backward enough c.MSP not centered; patient’s head is rotated d.Patient’s head not resting on vertex
c.MSP not centered; patient’s head is rotated
198
Does this image meet diagnostic evaluation criteria? a.Yes, opposite side of the mandible not overlapping affected mandible. b.No, cervical spine is superimposing area of interest. c.Yes, cervical spine is not superimposing area of interest. d.No, opposite side of the mandible is overlapping affected mandible.
d.No, opposite side of the mandible is overlapping affected mandible.
199
How much do you rotate the patient’s head when performing this image? a.0 degrees toward IR from true lateral b.30 degrees toward IR from true lateral c.15 degrees toward IR from true lateral d.45 degrees toward IR from true lateral
b.30 degrees toward IR from true lateral
200
Identify the anatomy of interest. a.Symphysis b.TMJ c.Body d.Ramus
d.Ramus
201
How much do you rotate the patient’s head when performing this image? a.30 degrees toward IR from true lateral b.45 degrees toward IR from true lateral c.0 degrees toward IR from true lateral d.15 degrees toward IR from true lateral
c.0 degrees toward IR from true lateral
202
This image was performed to mainly demonstrate which body part? a.Mandibular ramus b.Mandibular symphysis c.Mandibular body d.Odontoid process
c.Mandibular body
203
Identify the projection and anatomy of interest. a.PA symphysis b.PA mandibular body and ramus c.PA axial symphysis d.PA axial mandibular body and ramus
d.PA axial mandibular body and ramus
204
Identify how you would direct the central ray when performing the exam demonstrated in this image. a.Parallel to the bridge of the nose at a point image 0.5 inch (1.3 cm) distal to the nasion b.Perpendicular to the bridge of the nose at a point image 0.5 inch (1.3 cm) distal to the nasion c.Parallel to the bridge of the nose at a point image 1 inch (2.54 cm) distal to the nasion d.Perpendicular to the bridge of the nose at a point image 1 inch (2.54 cm) distal to the nasion
b.Perpendicular to the bridge of the nose at a point image 0.5 inch (1.3 cm) distal to the nasion
205
Identify the projection in this image. a.Caldwell b.Towne c.PA d.PA axial
d.PA axial
206
dentify how you would direct the central ray when performing the exam demonstrated in this image. a.Perpendicular to exit the nasion b.15 degrees caudad to exit the nasion c.Caudal angle of 30 degrees to the OML or 37 degrees to the IOML enters approximately image 2.5 inches (6.3 cm) above the glabella d.Perpendicular, entering 2 inches (5 cm) superior to the EAM
b.15 degrees caudad to exit the nasion
207
Which of the following positioning maneuver would best improve this image if repeated? a.Center the MSP of the patient’s body to the midline of the grid by slightly rotating the patient's head to the left b.Center the MSP of the patient’s body to the midline of the grid by slightly rotating the patient's head to the right c.Center the MCP of the patient’s body to the midline of the grid. d.No positioning error detected in image.
a.Center the MSP of the patient’s body to the midline of the grid by slightly rotating the patient's head to the left
208
What positioning error occurred in this image? a.Patient’s head was rotated. b.Patient’s head flexed too much. c.Patient’s head was tilted. d.No positioning error seen.
c.Patient’s head was tilted.
209
dentify the anatomy as marked by the arrow. a.Anterior clinoid processes b.Posterior clinoid processes c.Clivus d.Dorsum sellae
b.Posterior clinoid processes
210
Does this image meet diagnostic evaluation criteria? a.No, dorsum sellae and posterior clinoid processes are not visible within foramen magnum b.Yes, dorsum sellae and posterior clinoid processes visible within foramen magnum c.Yes, equal distances from lateral borders of skull to lateral margins of foramen magnum on both sides d.No, distances from lateral borders of skull to lateral margins of foramen magnum on both sides are not equal
d.No, distances from lateral borders of skull to lateral margins of foramen magnum on both sides are not equal
211
Which of the following positioning maneuvers would best improve this image if repeated? a.Ensure MSP is perpendicular to the plane of the IR. b.Align MML perpendicular to IR. c.Have patient open mouth wider if possible. d.Align OML 37 degrees from the plane of the IR.
a.Ensure MSP is perpendicular to the plane of the IR.
212
What positioning error occurred in this image? a.The patient’s head was rotated. b.No positioning error detected in image. c.The patient’s neck was not extended back enough. d.The patient’s head was titled.
d.The patient’s head was titled.
213
Identify how you would direct the central ray when performing the exam demonstrated in this image. a.Directed horizontal, enter the patient’s head image 0.5-1 inch (1.3-2.5 cm) posterior to the outer canthus b.Perpendicular to zygoma midway between inner canthus and EAM c.Perpendicular, entering 2 inches (5 cm) superior to the EAM d.Perpendicular to zygoma midway between outer canthus and EAM
c.Perpendicular, entering 2 inches (5 cm) superior to the EAM