Quizzes/Tests Flashcards

(250 cards)

1
Q

xCollimation of the CT x-ray beam that occurs before the detectors, is primarily for:

a.patient protection
b.focusing the primary beam
c.determining slice thickness
d.the absorption of scatter radiation

A

d.the absorption of scatter radiation

How well did you know this?
1
Not at all
2
3
4
5
Perfectly
2
Q

CT numbers are usually provided in the form of:

a.milligrays
b.Hounsfield units
c.linear attenuation coefficients
d.EMI numbers

A

b.Hounsfield units

How well did you know this?
1
Not at all
2
3
4
5
Perfectly
3
Q

The algorithm that produces motion free images from a helical CT scan is called:

a.Fourier reconstruction
b.filtered back projection
c.interpolation
d.convolution

A

c.interpolation

How well did you know this?
1
Not at all
2
3
4
5
Perfectly
4
Q

The CT window controls the ______________ of the CT image as it appears to the viewer.

a.shades of grey and linear attenuation coefficients
b.spatial and contrast resolution
c.contrast and brightness
d.density and detail

A

c.contrast and brightness

How well did you know this?
1
Not at all
2
3
4
5
Perfectly
5
Q

Voxels that have equal dimensions (cube shaped) are referred to as:

a.anisotropic
b.prospective
c.tropic
d.isotropic

A

d.isotropic

How well did you know this?
1
Not at all
2
3
4
5
Perfectly
6
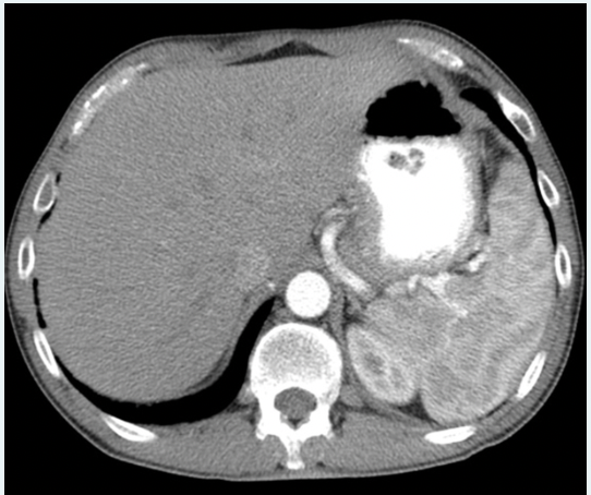
Q

In what phase of tissue enhancement is the intravenous iodinated contrast in the image below?

a.arterial
b.3 hours post drinking oral contrast media
c.3 hours post injection
d.portal venous

A

a.arterial

How well did you know this?
1
Not at all
2
3
4
5
Perfectly
7
Q

Random noise on a CT image, due to insufficient remnant radiation, appears as:

a.a step artifact
b.decreased brightness
c.fog
d.graininess

A

d.graininess

How well did you know this?
1
Not at all
2
3
4
5
Perfectly
8
Q

The loss of anatomic information between contiguous sections due to inconsistent patient breathing is called:

a.beam hardening
b.misregistration
c.misrepresentation
d.overbeaming

A

b.misregistration

How well did you know this?
1
Not at all
2
3
4
5
Perfectly
9
Q

The signal from the CT detectors must be converted into numerical information, prior to reconstruction, by the:

a.filtered back projection
b.digital to analog converter
c.analog to digital converter
d.array processor

A

c.analog to digital converter

How well did you know this?
1
Not at all
2
3
4
5
Perfectly
10
Q

The process of applying a filter that removes blurring from the reconstructed CT image is termed:

a.interpolation
b.isotropic
c.convolution
d.iterative

A

c.convolution

How well did you know this?
1
Not at all
2
3
4
5
Perfectly
11
Q

The average photon energy of the primary beam of a CT scanner operating at a tube potential of 120 kVp is approximately:

a.40 keV
b.60 keV
c.120 keV
d.100 keV

A

b.60 keV

How well did you know this?
1
Not at all
2
3
4
5
Perfectly
12
Q

The term used to describe the relationship between the linear attenuation coefficient of an object and the calculated CT number is:

a.quantum noise
b.reciprocity
c.quantum mottle
d.linearity

A

d.linearity

How well did you know this?
1
Not at all
2
3
4
5
Perfectly
13
Q

Pixels representing tissues with HU numbers greater than that of water have which of the following types of values?

a.positive
b.zero values
c.less than negative 1,000
d.negative

A

a.positive

How well did you know this?
1
Not at all
2
3
4
5
Perfectly
14
Q

The average photon energy of the CT x-ray beam can be increased by:

a.increasing filtration
b.all choices are correct
c.increasing mAs
d.increasing collimation

A

a.increasing filtration

How well did you know this?
1
Not at all
2
3
4
5
Perfectly
15
Q

A CT image is displayed in a window with a level of 0 and a width of 500. Which of the following statements is correct?

a.pixels with values less than 0 HU will appear white
b.pixels with values between -250 HU and +250 HU will be assigned shades of grey
c.pixels with values between -500 HU and +500 HU will be assigned shades of grey
d.pixels with values between 0 HU and 500 HU will appear white

A

b.pixels with values between -250 HU and +250 HU will be assigned shades of grey

How well did you know this?
1
Not at all
2
3
4
5
Perfectly
16
Q

he measurement of transmitted radiation made by an individual detector is called a(n):

a.Hounsfield unit
b.electronic signal
c.attenuation coefficient
d.ray sum

A

d.ray sum

How well did you know this?
1
Not at all
2
3
4
5
Perfectly
17
Q

An average CT number for blood is:

a.+100 HU
b.+45 HU
c.-20 HU
d.+10 HU

A

b.+45 HU

How well did you know this?
1
Not at all
2
3
4
5
Perfectly
18
Q

Which of the following could be utilized to improve temporal resolution in cardiac CT?

a.decrease in section width
b.increased breath hold
c.axial imaging
d.ECG gating

A

d.ECG gating

How well did you know this?
1
Not at all
2
3
4
5
Perfectly
19
Q

A region of interest (ROI) measurement placed over a portion of CT image provides which of the following?

a.average CT number (HU value)
b.diameter (mm)
c.distance
d.type of pathology

A

a.average CT number (HU value)

How well did you know this?
1
Not at all
2
3
4
5
Perfectly
20
Q

The streaking artifacts, depicted in the image below, is caused by:

a.metal dental fillings
b.detector malfunction
c.beam hardening
d.partial volume averaging

A

a.metal dental fillings

How well did you know this?
1
Not at all
2
3
4
5
Perfectly
21
Q

A contiguous data set means that:

a.images can only be viewed as axial images
b.all images were acquired in single acquisition
c.there is a gap in the data set
d.there is no gap in the image data set

A

d.there is no gap in the image data set

How well did you know this?
1
Not at all
2
3
4
5
Perfectly
22
Q

An insufficient mA was set for a CT scan. The resultant images are noisy; this is known as:

a.quantum mottle
b.photon flux
c.interpolation
d.mA noise

A

a.quantum mottle

How well did you know this?
1
Not at all
2
3
4
5
Perfectly
23
Q

Beam hardening artifacts can be reduced be doing which of the following:

a.acquiring thinner sections
b.utilizing a cone beam
c.decreasing the kVp
d.using reconstruction algorithms

A

d.using reconstruction algorithms

How well did you know this?
1
Not at all
2
3
4
5
Perfectly
24
Q

The main advantage of iterative reconstruction techniques versus filtered back projection is:

a.better handling of noisy images
b.faster reconstruction
c.does not require specification of reconstruction
d.better depiction of bone detail

A

a.better handling of noisy images

How well did you know this?
1
Not at all
2
3
4
5
Perfectly
25
In helical CT, pitch is defined as: a.table movement in 360 degrees/scan axis b.reconstructed slice thickness/beam width c.table movement in 360 degrees/beam width d.table movement in 360 degrees/slice thickness
c.table movement in 360 degrees/beam width
26
High-pitch techniques are useful for: a.fast scans b.gated cardiac CT c.accurate multiplanar reconstructions d.very small findings (such as nondisplaced fractures)
a.fast scans
27
In helical CT, a low pitch technique might be most helpful for: a.scanning a young child b.scanning a tachypneic patient c.detecting a subtle liver lesion d.detecting a non-displayed fracture
d.detecting a non-displayed fracture
28
The major technical challenge in cardiac CT is: a.contrast resolution b.three-dimensional reconstruction c.temporal resolution d.spatial resolution
c.temporal resolution
29
Increasing the number of rows in MDCT allows for: a.greater axial coverage b.better temporal resolution c.greater spatial resolution d.greater contrast resolution
a.greater axial coverage
30
The process responsible for tissue contrast in CT imaging is: a.characteristic radiation b.coherent scatter c.Compton effect d.photoelectric absorption
d.photoelectric absorption
31
Iodine is a good CT contrast agent because: a.very high contrast in target organs is produced b.the k-edge (33 keV) is much lower than the energies produced by a 120 kVp x-ray tube c.the k-edge (33 keV) is near the average diagnostic energy of a 120 kVp x-ray tube d.it simulates the attenuation of bone due to photoelectric absorption
c.the k-edge (33 keV) is near the average diagnostic energy of a 120 kVp x-ray tube
32
Beam hardening in x-ray imaging refers to: a.decreased average x-ray energy as a beam passes through a dense material b.decreasing x-ray beam strength as it passes through a dense material c.increased average x-ray energy as the x-ray beam passes through a dense material d.decreasing x-ray beam due to filtration
c.increased average x-ray energy as the x-ray beam passes through a dense material
33
Automated exposure compensation uses the topogram (or scout) image to determine: a.reconstruction filter b.iterative reconstruction c.tube current d.pitch
c.tube current
34
the goal of automated exposure compensation is: a.to eliminate the radiation risks from a CT exam b.to generate images of similar noise in different patient sizes c.to scan patients of different sizes with the same kV and mAs settings d.to obtain quality images with acceptable noise
b.to generate images of similar noise in different patient sizes
35
If the field of view (FOV) is constant, a larger matrix will result in which of the following: a.smaller pixel size, with low contrast resolution b.larger pixel size, with better resolution c.more pixels with better spatial resolution d.less pixels with increased image noise
c.more pixels with better spatial resolution
36
The image below depicts which of the following artifacts a.motion b.streak c.beam hardening d.volume averaging
a.motion
37
Which of the following window levels would be most appropriate for analyzing a fracture of the skull? a.- 500 HU b.0 HU c.+500 HU d.-10 HU
c.+500 HU
38
The image below would most likely have settings of which of the following window widths and window levels? a.WL 0 HU, WW 500 b.WL + 600 HU, WW 100 c.WL 0 HU, WW 1500 d.WL -600 HU, WW 1500
d.WL -600 HU, WW 1500
39
When one is viewing a minimum intensity projection (min-IP) image, each pixel represents: a.the average attenuation occurring within the voxel b.the maximum attenuation occurring within the voxel c.the minimum attenuation occurring within the voxel d.attenuations with the highest and lowest HU values possible
c.the minimum attenuation occurring within the voxel
40
Changing filters (aka kernals) in filtered backprojection results in: a.different linear attenuation coefficients b.different patient dose c.trade-off between image sharpness and noise d.reduced patient dose
c.trade-off between image sharpness and noise
41
To uniformly expose the entire detector array in MDCT, the primary beam is expanded beyond the array. This is called: a.expanded collimation b. overranging c. interpolation X d. overbeaming
d. overbeaming
42
Utilizing automatic tube current modulation results in: a. decreased patient dose b. improved radiographic contrast c. decreased radiographic contrast d. increased patient dose
a. decreased patient dose
43
Which of the following reconstruction methods can be used to decrease patient dose? a. filtered back projection b. iterative c. interpolation d. increase pitch
b. iterative
44
CT protocol should be optimized on the basis of ____to reduce patient dose. a. suspected pathology b. age c. male or female d. size or weight
d. size or weight
45
Contact shielding for CT examinations should be placed above and below the patient because of: a. x-ray beam collimation b. automatic tube current modulation c. the rotation of the x-ray tube d. high kVp techniques
c. the rotation of the x-ray tube
46
Continuous adjustment of mA during the CT examination is termed: a. ionization determination b. pitch adjustment c. automatic tube current modulation d. automatic exposure control
c. automatic tube current modulation
47
Which action could the CT technologist take to decrease patient dose? a. change the algorithm from soft tissue to bone b. decrease tube rotation from 360 to 180 degrees c. decrease the display field of view (DFOV) d. increase the matrix size
b. decrease tube rotation from 360 to 180 degrees
48
Dose length product (DLP) is calculated by which of the following? a. CTDIvol x scan length (mm) b. CTDIw x scan length (cm) C.CTDIvol x pitch d. CTDIvol x scan length (cm)
d. CTDIvol x scan length (cm)
49
Overbeaming occurs to reduce which of the following? a. patient dose b. pitch c. scan length d. penumbra
d. penumbra
50
Which of the following units is used to express the total patient dose from a helical CT exam? a.Gray b. Coulomb/kg c. mGy-cm d. Sieverts
c. mGy-cm
51
The radiation dose index calculation that takes into account the variations in absorption that occurs across the field of view due to beam hardening is termed: a. CTDIW b. MSAD c. CTDI d. CTDIvol
a. CTDIW
52
The reduction in intensity of the CT x-ray beam as it passes through patient tissue is termed: a. Compton scattering b. photoelectric absorption C.attenuation d. filtration
C.attenuation
53
Which of the following methods can be used to reduce the radiation dose to a pediatric patient requiring a CT exam? 1. reduce mA 2. limit phases of acquisition 3. increase pitch a. 1 only b. 1, 2 and 3 c. 1 and 3 only d. 1 and 2 only
b. 1, 2 and 3
54
A decrease in the focus to detector distance in a multidetector CT (MDCT) system would result in: a. decreased patient dose b. loss of contrast resolution c. magnification of the image d.increased paient dose
d.increased paient dose
55
Whole body risk based upon the radiosensitivity of exposed tissues is estimated using which of the following units? a.equivalent dose b. kerma c. stochastic dose d. effective dose
d. effective dose
56
The use of iterative reconstruction techniques for CT data processing results in: 1. decreased noise on the reconstructed image 2. decreased radiation dose to the patient 3. decreased image reconstruction time a. 1,2, and 3 b. 1 and 2 only c. 1 only d. 3 only
b. 1 and 2 only
57
Which of the following devices is used to measure the patient dose from a CT exam? a. CTDI b. ionization chamber c.OSI d. Geiger counter
b. ionization chamber
58
When implementing a scan protocol for a CT of the abdomen without contrast on a pediatric patient (weight 18 kg), which technical factor should be primarily adjusted? a. reconstruction algorithm b. detector configuration c. scan field of view (SFOV) d. tube milliamperage
d. tube milliamperage
59
Contact shields made of may be used to protect radiosensitive organs that lie within the scanned region during a CT exam a. lead b. bismuth C.aluminum d. molybdenum
b. bismuth
60
Which of the following technical factors has a direct effect on patient dose? a. mAs b. bow-tie filter c. kVO d. matrix size
a. mAs
61
Which of the following would be considered a mild reaction to IV contrast media? a. dyspnea b. vomiting c. pulmonary edema d. dysphagia
b. vomiting
62
The injection rate of an automatic injector is set to 1.5 mL/sec. What is the injection time required to inject 150 mL of contrast? a. 100 seconds b. 60 seconds c. 2 minutes d. 90 seconds
a. 100 seconds
63
After an intrathecal injection of iodinated contrast for a CT lumbar spine, the patient should be instructed to: a. rest for 8 to 24 hours with head on pillow b. rest for 8 to 24 hours with head slightly elevated C.resume normal activity d. rest for 8 to 24 hours with head lower than heart
b. rest for 8 to 24 hours with head slightly elevated
64
Which of the following may be administered to a patient having a severe anaphylactic reaction to IV iodinated contrast media? 1. epinephrine 2. atropine 3. diphenhydramine a. 1 only b. 1 and 3 only c. 1,2, and 3 d. 2 only
b. 1 and 3 only
65
Which of the following is the preferred range of heart rate for an optimal cardiac CT study? a. 65 - 75 bpm b. 75 - 85 bpm C.90 to 100 bom d.40 - 50 bpm
a. 65 - 75 bpm
66
Which oral contrast material could cause peritonitis if there was a perforation in the Gl tract? a. iohexol b. iopamidol (Gastrografin) C.diatrizoate(Hypaque) d. barium sulfate
d. barium sulfate
67
Which of the following angiocatheter sizes may be safely used with an automatic power injector with a flow rate set higher than 3 mL/ sec? 1. 18 qauge 2. 20 gauge 3. 22 gauge a. 1.2 and 3 b. 1 and 2 only c. 1 only d. 3 only
b. 1 and 2 only
68
The range of serum iodine concentration for adequate tissue pacification during contrast enhanced CT exams is: a. 50 - 60 mg/mL b. 12 - 20 mg/mL C.2 - 8 mg/mL d.30 - 40 mg/ml
C.2 - 8 mg/mL
69
The use of water as an oral contrast material for CT of the abdomen and/or pelvis provides: a. high contrast visibility of bowel structures b. better demonstration of enhancing bowel wall c. less likelihood of CIN d. hydration for IV contrast
b. better demonstration of enhancing bowel wall
70
A/an_____contrast media does not dissociate into charged particles in solution. a. neutral b. ionic C.nonionic d. osmolality
C.nonionic
71
Which of the following needle (angiocatheter) sizes would allow for the most rapid administration of IV contrast media? a. 23 qauge b. 18 gauge C.25 gauge d. 20 gauge
b. 18 gauge
72
The international normalized ratio (IN) is calculated to standardize which of the following laboratory values? a. estimated glomerular filtration rate (eGFR) b. prothrombin time (PT) c. partial thromboplastin time (PTT) d. blood urea nitrogen (BUN)
b. prothrombin time (PT)
73
An intrathecal injection of contrast media is performed for a CT exam of the lumbar spine. The contrast is administered into which of the following: a. the subarachnoid space b. the epidural space c. the subdural space d. the femoral vein
a. the subarachnoid space
74
The escape of contrast material from a needle or blood vessel into the subcutaneous tissues is called: a. infusion b.extravasation c. infiltration d. intravasation
b.extravasation
75
Risk factors for contrast-induced nephrotoxicity (CIN) include: 1. pheochromocytoma 2. allergy to shellfish 3. dehydration a. 1 only b. 3 only c. 1 and 2 only d. 2 only
b. 3 only
76
A patient suffers acute renal failure following an IV injection of contrast media for a tri-phasic liver CT study. This type of reaction would be termed: a. toxic b. iatrogenic c. nosocomial d. anaphylactic
b. iatrogenic
77
Which of the following may be considered one of the high-osmolar contrast media? 1. iothalamate meglumine 2. diatrizoate sodium 3. iohexol a. 1.2 and 3 b. 3 only c. 1 only d. 1 and 2 only
d. 1 and 2 only
78
The escape of contrast material from a needle or blood vessel into the subcutaneous tissues is called: a. infusion b.extravasation c. infiltration d. intravasation
b.extravasation
79
Risk factors for contrast-induced nephrotoxicity (CIN) include: 1. pheochromocytoma 2. allergy to shellfish 3. dehydration a. 1 only b. 3 only c. 1 and 2 only d. 2 only
b. 3 only
80
Which of the following is considered one of the ionic radiopaque contrast media? a. iohexol b. iopamidol C.oversol d. iothalamate meglumine
d. iothalamate meglumine
81
A patient who is extremely lethargic, and very difficult to arouse, is said to be: a.semicomatose b. drugged C.obtunded d. lethargic
C.obtunded
82
Direct contraindications to IV administration of iodinated contrast material include: a. type Il diabetes b.an eGER of 100 c. multiple myeloma d. severe, life threatening, prior reaction to IV contrast
d. severe, life threatening, prior reaction to IV contrast
83
Which of the following medications may be administered to slow down the heart rate for a cardiac CT exam? a. beta blocker b. sublinqual nitroglycerine c. atropine d. fentanyl
a. beta blocker
84
Which of the following medications may be administered to dilate the coronary vasculature prior to a CT cardiac exam? a. aspirin b. morphine c. sublingual nitroglycerine d. beta blocker
c. sublingual nitroglycerine
85
A normal range for diastolic blood pressure in an adult is: a.95 - 140 mm Hg b. 80 - 120 mm Hq c. 100 - 120 mm Hg d. 60 - 90 mm Hq
d. 60 - 90 mm Hq
86
Which of the following is considered one of the iso-osmolar contrast media? a. iopamidol b. iodixanol c. iohexol d. oversol
b. iodixanol
87
The potentially serious decline in renal function after IV contrast media administration is called: a.CIN b. eGFR c. renal failure d. anaphylaxis
a.CIN
88
Advantages of a saline flush immediately after IV contrast media administration include: 1. reduction in contrast agent dose 2. reduction in CIN 3. reduction in streaking artifact in the vasculature a. 1 only b. 2 and 3 only c. 3 only d. 1,2 and 3 are correct
d. 1,2 and 3 are correct
89
Which of the following terms is used to describe a patient who is not breathing? a. aphasic b. dyspnea c. aphagia d.apnea
d.apnea
90
A 35 year old male patient is brought to the emergency department at 3:00 am, via ambulance, after a MVA. The patient is unconscious and the emergency physician orders a non contrast head CT Which of the following would apply? a. The CT technologist must consult the Radiologist for appropriate consent. b. The CT technologist must try and "wake" the patient to get consent. c. The CT technologist must not complete the scan until a legal quardian is contacted. d. The CT technologist must complete the scan as this is a medical emergency.
d. The CT technologist must complete the scan as this is a medical emergency.
91
Complete cardiac diastole corresponds to which portion of the cardiac cycle on an ECG? a P wave b. PO segment c.ORS complex d. T wave
d. T wave
92
Which of the following may affect a patient's calculated glomerular filtration rate (GFR)? a. sex b. diet c. weight d. hydration
a. sex
93
Which of the following IV contrast agent administration methods provides the greatest overall plasma iodine concentration? a. direct arterial injection b. biphasic technique C.drip infusion d. bolus injection
d. bolus injection
94
Which of the following is a nonionic contrast agent? a. iothalamate b. iohexol c. iodamide d. diatrizoate
b. iohexol
95
Which of the following is the correct angle of insertion for placing an angiocath into a vein (antecubital space) for IV administration of a contrast agent? a. 60 degrees b. 15 to 30 degrees c. 5 degrees d. 45 degrees
b. 15 to 30 degrees
96
A total volume of 125 mL of iodinated contrast media is administered IV via automatic injector in 50 seconds. The flow rate for this injection is: a. 1.75 mL/sec b. 125 mL/sec c. 2.5 mL/sec d. 0.75 mL/sec
c. 2.5 mL/sec
97
The condition whereby the patient suffers from a low concentration of oxygen in the blood is called: a. hypoxia b. anoxia c. hypotension d. hypoxemia
d. hypoxemia
98
Which of the following reformat techniques is demonstrated in the image below? a.minimum intensity projection (min-IP) b.volume-rendered 3D c.MPR coronal plane d.maximum intensity projection (MIP)
d.maximum intensity projection (MIP)
99
What is the CT number for fat? a.0 HU b.-100 HU c.+50 HU d.+5 HU
b.-100 HU
100
Number 7 on the image below corresponds to: a.jejunum b.duodenum c.right kidney d.pancreas
d.pancreas
101
Number 1 on the image below corresponds to: a.right kidney medulla b.renal pelvis c.cortex of the right kidney d.left renal calyx
c.cortex of the right kidney
102
The most likely window settings for the image below would be: a.2800 window width, 600 window level b.150 window width, 70 window level c.350 window width, 0 window level d.1500 window width, -600 window level
a.2800 window width, 600 window level
103
A 58 year old male patient, with a history of smoking, is seen the the emergency department in acute respiratory distress. Pulmonary emboli are suspected and a CT is ordered. The patient's medical history indicates he is allergic to shellfish; what action should the MRT take? a.a CT examination using a pulmonary embolism protocol is done b.the MRT should recommend that a nuclear medicine V/Q exam be completed instead due to the risk of IV contrast c.the CT examination should be delayed until prophylactic treatment for allergies is completed d.a non contrast (unenhanced) CT exam of the chest should be completed
a.a CT examination using a pulmonary embolism protocol is done
104
The nephrogram phase is seen approximately _______ after IV injection of contrast media. a.30 seconds b.120 seconds c.60 seconds d.5 minutes
b.120 seconds
105
The process in CT by which different tissue attenuations are averaged to produce one less accurate pixel reading is called: a.photon deprivation b.partial volume effect c.ring artifacts d.beam hardening
b.partial volume effect
106
Which is the most likely window setting used to visualize subtle liver lesions? a.1500 window width, -600 window level b.350 window width, 50 window level c.2000 window width, 600 window level d.150 window width, 70 window level
d.150 window width, 70 window level
107
Which of the following patients are considered at high risk for developing CIN (contrast induced nephropathy)? a.patients with a history of renal calculi (kidney stones) b.male patients with a history of atherosclerotic disease c.patients with diabetes mellitus and preexisting renal insufficiency d.patients older than 65 years of age
c.patients with diabetes mellitus and preexisting renal insufficiency
108
Number 1 on the image below corresponds to: a.descending aorta b.inferior vena cava c.ascending aorta d.left pulmonary artery
d.left pulmonary artery
109
Number 4 is pointing to: a.descending aorta b.superior vena cava c.inferior vena cava d.ascending aorta
b.superior vena cava
110
What is the most common type of delayed reaction to intravenous contrast media? a.bronchospasm b.myocardial infarction c.skin reactions d.laryngeal edema
c.skin reactions
111
A 55 year old male patient arrives at the emergency department with severe pain in the right upper quadrant. A kidney stone is suspected. Which of the following CT protocols would most likely be requested? a.an oral contrast abdomen CT b.an intravenous injection abdomen CT in the portal venous phase c.an IVU would be required firs d.a non contrast abdomen CT
d.a non contrast abdomen CT
112
Which statement below best corresponds to the image: a.MPR sagittal plane b.MPR patient in decubitus position c.MPR coronal plane d.MPR axial plane
c.MPR coronal plane
113
Which is the current unit of measure to express radiation dose in helical CT dosimetry? a.roentgen (R) b.CTDIvol c.Sievert (Sv) d.DLP
b.CTDIvol
114
The phase of liver enhancement that occurs 60 to 70 seconds after an IV bolus contrast injection is called the: a.portal venous phase b.late arterial phase c.equilibrium phase d.early arterial phase
a.portal venous phase
115
The yellow line in the image below is identifying which of the following pathologies? a.pneumothorax b.severe emphysema c.hemothorax d.metastatic cancer
a.pneumothorax
116
resh blood in the brain, as in the case of a recent onset subdural hematoma, will measure approximately: a.70 HU b.-40 HU c.0 HU d.150 HU
a.70 HU
117
A 45 year old female patient arrives at the emergency department with a severe headache and dysphasia. A head CT is ordered; which of the following would be most applicable: a.a IV contrast (enhanced) head CT would be completed b.a CTA would be completed c.an MRI of the head would be the first choice of imaging procedure as this might be an aneurysm d.a non contrast (unenhanced) head CT would be completed
d.a non contrast (unenhanced) head CT would be completed
118
The image below demonstrates which of the following pathologies? a.large intestine obstruction b.abdominal aortic aneurysm and dissection c.ruptured spleen d.aortic embolism
b.abdominal aortic aneurysm and dissection
119
What pathology is demonstrated in the CT image below? a.acute subarachnoid hematoma b.chronic epidural hematoma c.acute epidural hematoma d.acute subdural hematoma
c.acute epidural hematoma
120
A patient is being positioned for a routine scan of the brain. Why is he asked to tuck his chin down toward his chest? a.to eliminate the need to tilt the gantry so that the axial scan mode can be used b.to allow immobilization sponges to be used c.to reduce radiation exposure to the lens of the eyes d.so that the scan time can be reduced
c.to reduce radiation exposure to the lens of the eyes
121
What is the expected HU value of a measurement taken in a lateral ventricle? a.4 to 8 b.40 to 50 c.-70 to -60 d.20 to 30
a.4 to 8
122
Which is a typical injection protocol for a routine examination of the brain? a.150 mL delivered at 2 mL/s, scans begin when injection is complete b.100 mL delivered at 1 mL/s, scan delay of 5 minutes c.60 mL (concentration 370), delivered at 4 mL/s, scan delay from timing bolus using the carotid artery as the reference vessel d.Split bolus: 50 mL delivered at 1.5 mL/s, wait 2 minutes, 50 mL delivered at 1.5 mL/s, scans begin when second injection is complete
b.100 mL delivered at 1 mL/s, scan delay of 5 minutes
123
Compared with a cerebral CTA, what parameter must be changed for a cerebral CTV? a.Scans are performed in the axial mode, rather than the helical mode. b.Delay from the start of injection to the start of scanning is increased. c.Slice thickness is reduced. d.kVp is increased.
b.Delay from the start of injection to the start of scanning is increased.
124
Which is a TRUE statement regarding an emergency department patient who is suspected of suffering from acute stroke? a.An unenhanced CT scan will provide no useful information in the diagnosis and treatment of acute stroke. Only CTA and CT perfusion studies are indicated. b.A CT scan of the head is only done if the patient has a previous history of stroke. c.An MRI of the head is the first choice of imaging procedures; a CT of the head is only done if an MRI cannot be done within 24 hours. d.A CT scan of the head must be done as soon as possible because it is a necessary examination in determining whether a patient can receive t-PA treatment.
d.A CT scan of the head must be done as soon as possible because it is a necessary examination in determining whether a patient can receive t-PA treatment.
125
What is the goal in performing perfusion studies for patients with acute stroke? a.To determine the onset time of the stroke b.To determine whether the stroke is hemorrhagic or ischemic c.To depict the spatial relationship of complex vascular lesions to the surrounding structures d.To distinguish infarcted tissue from the penumbra
d.To distinguish infarcted tissue from the penumbra
126
For what study might data be acquired while the patient is lying prone on the CT table? a.High-resolution chest CT b.Cardiac scoring c.CT angiography for suspected pulmonary embolism d.Routine chest
a.High-resolution chest CT
127
A volumetric HRCT study refers to a protocol that includes which of the following? a.Thin sections, in a helical mode, taken contiguously so as to cover the entire lung, during inspiration, with the patient in a supine position b.A sampling technique that is intended to provide representative areas of the lung c.Thin sections, taken at an interval of 20 mm or more between slices, during inspiration, with the patient in a supine position d.Three series of thin sections, in a helical mode, taken contiguously so as to cover the entire lung; series one is supine inspiratory, series two is supine expiratory, and series three is prone inspiratory
d.Three series of thin sections, in a helical mode, taken contiguously so as to cover the entire lung; series one is supine inspiratory, series two is supine expiratory, and series three is prone inspiratory
128
Why do many protocols for the evaluation of PE scan in the caudal-to-cranial direction? a.To reduce radiation exposure b.To eliminate the need for the patient to hold his or her breath. c.To reduce artifacts attributable to patient motion d.To chase the contrast bolus through pulmonary circulation
b.To eliminate the need for the patient to hold his or her breath
129
What must happen to a thrombus for it to be referred to as an embolus? a.It must be formed from clotted blood. b.it must detach from its original site. c.It must be formed in the right side of the heart. d.It must lodge in a pulmonary vessel.
b.it must detach from its original site.
130
At a particular institution, the PE protocol includes a second scan series, performed 180 seconds after the IV contrast injection that extends from the iliac crests to the knees. What is the purpose of this second series? a.To check the pelvis and lower extremities for deep vein thrombosis. b.To check that the patient is excreting the iodinated contrast. c.To check for ureteral obstruction. d.To assess the patient’s cardiac output
a.To check the pelvis and lower extremities for deep vein thrombosis
131
What heart valve is located between the right atrium and the right ventricle? a.Tricuspid b.Pulmonary c.Mitral d.Aortic
a.Tricuspid
132
β-Blockers are likely to be used as part of a cardiac CT protocol when the: a.patient’s heart rate is less than 60 bpm. b.patient has asthma and is being treated with an albuterol inhaler. c.patient’s heart rate is higher than 65 bpm. d.patient has a history of iodine allergy.
c.patient’s heart rate is higher than 65 bpm.
133
An imaging technique that attempts to acquire data only during cardiac segments with the lowest cardiac motion is called: a.retrospective ECG gating b.electron beam CT c.prospective ECG triggering d.a split bolus
c.prospective ECG triggering
134
A patient who is scheduled for a CT study has an irregular heartbeat with a rate of approximately 85 bpm. For which clinical indication is this the most problematic? a.Evaluation of congenital aortic arch anomaly b.Assessment of ventricular function c.Coronary artery disease d.Possible thoracic aortic dissection
b.Assessment of ventricular function
135
Why is it recommended that cardiac CT calcium scoring be restricted to patients with risk factors for coronary artery disease, rather than using it as a screening tool for all patients? a.It has not proven to be an accurate measure of coronary artery calcification. b.Risks related to the radiation dose are a concern; for asymptomatic patients with no cardiac risk factors, it is not certain that the benefit of the examination outweighs the risk from the radiation exposure. c.A correlation has not been proven between a positive calcium score and a future risk of developing heart disease d.The examination is uncomfortable for the patient.
b.Risks related to the radiation dose are a concern; for asymptomatic patients with no cardiac risk factors, it is not certain that the benefit of the examination outweighs the risk from the radiation exposure.
136
Number 2 on the image corresponds with: computed tomography image of the neck a.left external jugular vein b.left vertebral artery c.left internal jugular vein d.left internal carotid artery
d.left internal carotid artery
137
Which of the following most likely describes the patient position during the formation of the image below? a.supine b.Trendelenburg c.right lateral decubitus d.prone
c.right lateral decubitus
138
CT images of the chest should be acquired with the patient: a.at full expiration b.breathing quietly c.at full inspiration d.breathing normally
c.at full inspiration
139
This high resolution CT image of the chest was most likely acquired with a section thickness of: a.1 mm b.5 mm c.7 mm d.10 mm
a.1 mm
140
Number 1 on the image below corresponds to: a.the ascending aorta b.pulmonary trunk c.superior vena cava d.arch of the aorta
a.the ascending aorta
141
Number 7 on the image below corresponds to: a.pancreas b.duodenum c.jejunum d.right kidney
a.pancreas
142
Which of the following abdominal organs are retroperitoneal? a.stomach b.liver c.spleen d.kidneys
d.kidneys
143
During a complete CT scan of the pelvis, sections should be obtained from the: a.iliac crests to the greater trochanters of the femur b.bottom of the kidneys to the pubic symphysis c.iliac crests to the pubic symphysis d.costophrenic angles to the pubic symphysis
c.iliac crests to the pubic symphysis
144
Number 5 on the image below indicates: a.putamen b.thalamus c.caudate d.insular lobe
b.thalamus
145
For general studies of the abdomen and pelvis, how much oral contrast is commonly administered for an adult patient? a.400 - 500 mL b.750 - 1500 mL c.more than 2000 mL is required d.100 - 120 mL
b.750 - 1500 mL
146
What is the region of interest for bolus tracking for a pulmonary embolus CT scan? a.right pulmonary artery b.aortic arch c.main pulmonary artery d.superior vena cava
c.main pulmonary artery
147
The image below is most likely displayed at a window level of: a.-600 HU b.0 HU c.+50 HU d.+150 HU
a.-600 HU
148
The image below shows which of the following pathologies? a.no pathology is clearly evident b.pneumothorax c.ascending aorta dissection d.bilateral pulmonary emboli
d.bilateral pulmonary emboli
149
In which contrast enhancement phase was the image below acquired? a.portal venous b.nephrogenic c.no contrast was administered d.early arterial
a.portal venous
150
During which of the following contrast enhancement phases does the spleen have a "cotton wool" appearance? a.portal venous b.delayed phase c.arterial phase d.2 hours after ingesting oral contrast
c.arterial phase
151
Which number corresponds to the ascending aorta a.5 b.4 c.3 d.2
a.5
152
An anterior dislocation of the humeral head would be demonstrated on a scapular Y shoulder image by: a.lateral displacement of the humerus b.the humeral head demonstrated inferior to the coracoid process c.the humeral head demonstrated inferior to the acromion process d.posterior displacement of the humerus
b.the humeral head demonstrated inferior to the coracoid process
153
What is the recommended breathing instructions for the patient when performing this exam? a.suspend at the end of inspiration b.suspend at the end of expiration c.suspend after the second inspiration d.suspend, hold breath
b.suspend at the end of expiration
154
For an AP ankle image, which joint space should be demonstrated? a.Tibiotalar joint space b.Ankle mortise c.Fibulartalar joint space d.Tibiofibular joint space
a.Tibiotalar joint space
155
For an examination of the upper anterior ribs, the projection is _____________ and respiration is suspended after ______________. a.PA, full exhalation b.AP, full exhalation c.PA, full inhalation d.AP, full inhalation
c.PA, full inhalation
156
What should be done to prevent the knee joint space from being obscured by the magnified shadow of the medial femoral condyle when the lateral projection of the knee is performed? a.Increase the SID b.Direct the central ray 5 to 7 degrees cephalad c.Use foam wedges to support the leg d.Direct the CR perpendicular when the ASIS to tabletop dimension is between 18 to 25 cm
b.Direct the central ray 5 to 7 degrees cephalad
157
Upon acquisition of this lateral lower leg image, what should the MRT do next? a.Repeat the image, rotate the leg anteriorly b.Send the image to PACS c.Repeat the image increasing dorsiflexion d.Repeat the image, rotate the leg posteriorly
d.Repeat the image, rotate the leg posteriorly
158
Which of the following positioning error was made with this medial oblique rotation image? a.Knee is under rotated b.Knee is not flexed c.Central ray is not angled cephalad d.Knee is over rotated
a.Knee is under rotated
159
A fracture of the distal radius with posterior displacement of the distal fragment is termed: a.Barton's b.Smith's c.Colles' d.Bennett's
c.Colles'
160
The respiration phase when imaging the upper ribs is: a.suspended inspiration after full inspiration b.suspended respiration c.suspended inspiration after full expiration d.shallow breathing
a.suspended inspiration after full inspiration
161
The image below demonstrates: a.anterior rotation to the left side b.severe scoliosis resulting in a poor image c.anterior rotation to the right side d.the image is within acceptable rotation limits
c.anterior rotation to the right side
162
Which positioning maneuver would best improve this image if repeated? a.Have patient take in a deeper breath on second full inspiration b.Slightly rotate patient’s left side away from IR until MCP is parallel. c.Slightly rotate patient’s right side away from IR until MCP is parallel. d.Image is good. No need to repeat
c.Slightly rotate patient’s right side away from IR until MCP is parallel.
163
How is the central ray projected for this axiolateral hip image? a.Horizontal perpendicular to the femoral neck b.Vertical perpendicular to the femoral neck c.Horizontal perpendicular to the acetabulum d.Vertical parallel to the femoral neck
a.Horizontal perpendicular to the femoral neck
164
What positioning error has occurred with this oblique lumbar spine image? a.The intervertebral disk spaces are not open b.The patient is over rotated c.The intervertebral foramina are not visible d.The patient is under rotated
b.The patient is over rotated
165
A patient has an order for a PA and left lateral chest. The radiologist suspects there may be a left sided pneumothorax. What other image would help demonstrate this pathology? a.left lateral decubitus position b.ventral decubitus image c.dorsal decubitus image d.right lateral decubitus position
d.right lateral decubitus position
166
A patient with a possible basilar skull fracture enters the emergency room. The physician wants a projection to demonstrate a possible sphenoid sinus effusion. Which projection of the cranium is best for this situation? a.an AP axial (Towne) skull x-ray with a 37 degree caudal angle b.a horizontal beam (cross table) lateral skull x-ray c.a right lateral skull x-ray d.a submentovertical skull x-ray
b.a horizontal beam (cross table) lateral skull x-ray
167
The skull image below demonstrates which of the following positioning errors: a.the patient's head is rotated toward the IR b.the patient's head is rotated away from the IR c.the top of the patient's head is tilted toward the IR d.the top of the patient's head is tilted away from the IR
d.the top of the patient's head is tilted away from the IR
168
Does this image meet diagnostic evaluation criteria? a.Yes, opposite side of the mandible not overlapping affected mandible. b.No, opposite side of the mandible is overlapping affected mandible. c.No, cervical spine is superimposing area of interest. d.Yes, cervical spine is not superimposing area of interest
b.No, opposite side of the mandible is overlapping affected mandible.
168
What should the MRT do for the repeat image? a.Expose with the CR angled 5 to 8 degrees caudad b.Expose with the CR perpendicular c.Expose with the CR angled 8 to 10 degrees cephalad d.Expose with the CR angled 10 to 15 degrees caudad
a.Expose with the CR angled 5 to 8 degrees caudad
169
Which of the following should be demonstrated with this projection? a.Obturator foramen in profile b.Femoral shaft in profile c.Lessor trochanter in profile posteriorly d.Greater trochanter in profile inferiorly
c.Lessor trochanter in profile posteriorly
170
How should this AP image be corrected? a.Repeated with a 5-7 degree cephalad angle applied b.Repeated with femoral condyles parallel to the IR c.Repeated with a 5-7 degree caudal angle applied d.Image is acceptable, send to PACS
a.Repeated with a 5-7 degree cephalad angle applied
171
What positioning error occurred in this image? a.Elbow not flexed 90 degrees. b.Hand is supinated. c.No positioning error detected. Image is good. d.Hand is pronated.
d.Hand is pronated.
172
What pathology does this projection demonstrate? a.Acetabular fracture b.Anterior pelvic bone fracture c.Femoral neck fracture d.Femoral shaft fracture
c.Femoral neck fracture
173
What positioning error occurred for the oblique c-spine image? a.the patient was over rotated b.the patient's neck was hyperextended c.the patient was under rotated d.the central ray was perpendicular to the image receptor
c.the patient was under rotated
174
The AP scapula image was acquired on an emergency patient after a fall from a ladder and the patient stated he landed on his back. The patient was able to stand and was able to move his arm. What should the MRT do next? a.repeat the image, decreasing technical factors b.repeat the image, having the patient rotate towards the affected side c.repeat the image, having the patient abduct his arm 90 degrees d.repeat the image, having the patient take shallow breaths to blur lung markings
c.repeat the image, having the patient abduct his arm 90 degrees
175
The shoulder image below was acquired on a patient that had shoulder pain after a fall. What error has occurred? a.the positioning is accurate given the condition of the patient b.the patient is under-rotated c.the patient's mid coronal plane is not perpendicular to the IR d.the patient is over-rotated
d.the patient is over-rotated
176
What corrective action is required for the repeat of this image? a.hips (pelvis) must be elevated to 45 degrees b.hips (pelvis) must be depressed to 45 degrees c.shoulders must be raised to 45 degrees d.shoulders must be depressed to 45 degrees
d.shoulders must be depressed to 45 degrees
177
What positioning error has occurred with this lateral knee image? a.The CR is angled too much b.The CR is not angled enough c.The leg is under rotated, internally d.The leg is over rotated externally
d.The leg is over rotated externally
178
The lateral chest image demonstrates: a.motion, as indicated by the diaphragm b.soft tissue from the arms in the lung field c.grid error, as indicated by the moire pattern d.rotation, the posterior ribs are not superimposed
b.soft tissue from the arms in the lung field
178
A 65 year old female patient presents to the emergency department with acute abdominal pain. The ER physician orders an acute abdomen series. The patient is unable to stand and had a left hip replacement surgery 4 weeks prior to this ER visit. Which of the following images should be obtained? a.an upright PA chest, an upright abdomen and a supine abdomen b.a supine chest, a supine abdomen and a left lateral decubitus abdomen c.a supine chest, a supine abdomen and a dorsal decubitus abdomen d.an AP sitting chest, a supine abdomen and a dorsal decubitus abdomen
d.an AP sitting chest, a supine abdomen and a dorsal decubitus abdomen
179
What anatomy is interfering with the dens? a.the front teeth b.the foramen magnum c.this is an attempt at a Fuch's d.the base of the skull
d.the base of the skull
180
The image below, obtained as part of a sinus routine, requires which of the following corrections? a.the central ray angulation should be increased b.the patient's chin should be depressed c.the patient's chin should be elevated d.the central ray angulation should be decreased
b.the patient's chin should be depressed
181
The image below was acquired on a 30 year old male patient that sustained a shoulder injury playing baseball. What error occurred? a.the image is acceptable b.the patient is under rotated c.the patient is over rotated d.the image is acceptable and demonstrates a posterior dislocation
b.the patient is under rotated
182
The x-ray image below, for demonstration of the maxillary sinuses, should be repeated for which of the following reasons? a.the central ray is not parallel to the mentomeatal line b.the patient's mouth is not sufficiently opened c.the image is acceptable and should not be repeated d.the patient's chin is insufficiently raised
d.the patient's chin is insufficiently raised
183
The stepladder sign is indicative of: a.regional enteritis b.peritonitis c.small bowel obstruction d.ulcerative colitis
c.small bowel obstruction
184
The AP clavicle image below was acquired on a 18 year old male patient. What error occurred? a.the patient towards the unaffected side b.the central ray is not angled enough c.the patient is rotated towards their right side d.the patient is rotated towards their left side
c.the patient is rotated towards their right side
185
A patient with a severe hand fracture is unable to flatten their hand for the PA projection. What alternative image can be taken to demonstrate the metacarpal area of the hand without distortion? a.CT imaging would be required b.AP projection c.PA axial projection d.lateral projection
b.AP projection
186
The MRT acquired this PA oblique hand image on a 55 year old male patient. What should the MRT do next? a.not repeat the image, due to the fact that a PA and lateral hand were also completed b.repeat the image, decreasing the amount of obliquity c.repeat the image, increasing the amount of obliquity d.not repeat the image, as the image has an acceptable amount of obliquity
b.repeat the image, decreasing the amount of obliquity
187
The image below demonstrates what type of fracture? a.Colles b.Smiths c.greenstick d.pathologic
c.greenstick
188
Which projection would better demonstrate the pathology? a.AP axial outlet projection b.AP frog bilateral hip projection c.AP axial inlet projection d.Axiolateral left hip projection
a.AP axial outlet projection
189
The skull image below demonstrates which of the following positioning errors: a.no positioning error is seen b.the patient's head is rotated c.the mandible is not included in its entirety d.the patient's head is tilted
b.the patient's head is rotated
190
The AP axial clavicle image was acquired on a 22 year old male patient. What could be done to improve this image? a.the central ray caudal angle should be increased b.the patient should be rotated to the left c.the patient should be rotated to the right d.the central ray cephalad angle should be increased
d.the central ray cephalad angle should be increased
191
An MRT critiques an image of an anteroposterior (AP) pelvis. The left obturator foramen is narrower than the right. What should the MRT do? a.accept the image b.rotate the patient to the left c.rotate the patient to the right d.` rotate both feet
c.rotate the patient to the right
192
Which positioning maneuver would best improve this lateral hand image if repeated? a.extend fingers b.decrease finger separation c.increase part rotation d.decrease part rotation
c.increase part rotation
193
How can an MRT ensure that the patient is not rotated for an AP hip? a.Feet are internally rotated 15 degrees b.Both ASIS are equidistant to the tabletop c.Iliac ala are symmetrical on the image d.Midsaggital plane is perpendicular to the IR
b.Both ASIS are equidistant to the tabletop
194
What main correction should be made for the image below? a.the neck requires more flexion posteriorly (chin raised) b.the chin should be tucked down towards the chest c.the head should be rotated to the right d.the mouth should be opened wider
a.the neck requires more flexion posteriorly (chin raised)
195
A 25 year old male patient with an elbow injury requires imaging to rule out a radial head fracture. The patient is able to fully extend their arm. Which elbow projection results in the least superimposition of the radial head with other bony structures and will best demonstrate the suspected injury? a.AP elbow with partial flexion, the proximal radius and ulna parallel to the image receptor b.AP oblique with lateral rotation c.Horizontal beam lateral to demonstrate air/fluid levels d.AP oblique with medial rotation
b.AP oblique with lateral rotation
196
What positioning move would correct this lateral foot image? a.Raise the knee off the table b.Increase the dorsiflexion of the foot c.Lower the knee towards the table d.Use a 5-7 degree posterior CR angle
a.Raise the knee off the table
197
What type of patellar fracture would be demonstrated in this projection? a.Horizontal b.Vertical c.Transverse d.Longitudinal
c.Transverse
197
Does this image meet all diagnostic criteria? a.No, the patient is slightly rotated to the right b.No, only 9 posterior ribs are demonstrated above the diaphragm c.Yes, no rotation is seen and 10 posterior ribs are demonstrated d.No, the patient is breathing as indicated by blurring at the diaphragm
c.Yes, no rotation is seen and 10 posterior ribs are demonstrated
198
What positioning error is demonstrated with this medial rotation oblique foot image? a.Over rotation of the foot b.Under rotation of the ankle c.Over rotation of the ankle d.Under rotation of the foot
a.Over rotation of the foot
199
Which projection of the foot best demonstrates the bases of the fourth and fifth metatarsals free from superimposition? a.Lateral projection b.AP oblique projection (lateral rotation) c.AP oblique projection (medial rotation) d.AP projection
c.AP oblique projection (medial rotation)
200
Which projection of the knee best demonstrates the femorotibial joint space open if the patient measures more than 24 cm between the ASIS and the tabletop? a.AP oblique projection (medial rotation) b.AP projection with the central ray angled 3 to 5 degrees caudad c.AP projection with the central ray angled 3 to 5 degrees cephalad d.AP projection with perpendicular central ray
c.AP projection with the central ray angled 3 to 5 degrees cephalad
201
When radiographing the sternum, why is the RAO body position preferred? a.to prevent superimposition of the sternum on the vertebral column b.to decrease contrast by utilizing the heart shadow as background c.to decrease the object image distance of the sternum to the IR d.to demonstrate the costochondral joints of the right side
b.to decrease contrast by utilizing the heart shadow as background
202
his image demonstrates the hand in which position? a.hand pronated b.hand in internal rotation c.surface of palm against hip d.hand supinated
d.hand supinated
203
What is the positioning error in this AP axial foot image? a.Foot is rotated internally b.Foot is rotated externally c.CR is perpendicular d.CR is not angled posteriorly
d.CR is not angled posteriorly
204
A patient fell off a ladder and landed on his posterior right side. Rib x-rays are ordered. Which oblique body position would best demonstrate lower posterior ribs? a.LPO b.RAO c.LAO d.RPO
d.RPO
205
How should the patient be positioned for AP projections when the elbow cannot be fully extended? 1. Elbow joint parallel to the image receptor 2. Forearm parallel to the image receptor 3. Humerus parallel to the image receptor a.2 and 3 only b.1 only c.1 and 2 only d.1 and 3 only
a.2 and 3 only
206
Which projection of the knee should be used to demonstrate the patella completely superimposed on the femur? a.Lateral projection b.AP oblique projection (lateral rotation) c.AP projection d.AP oblique projection (medial rotation)
c.AP projection
207
An AP oblique projection of the elbow with internal (medial) rotation shows the proximal radius and ulna parallel to each other. The patient positioning error could be corrected by: a.Elevating the shoulder b.Elevating the hand and wrist c.Increasing internal rotation d.Decreasing internal rotation
c.Increasing internal rotation
208
The front leg of the Scottie dog represents the: a.Pedicle b.Superior articular process c.Pars interarticularis d.Inferior articular process
d.Inferior articular process
209
Which projection of the elbow best demonstrates the coronoid process? a.AP oblique with medial rotation b.AP oblique with lateral rotation c.Lateral elbow with central ray angled 45 degrees towards the shoulder d.Lateral with hand pronated
a.AP oblique with medial rotation
210
What anatomic misalignment is demonstrated? a.Overrotation of the knee as the proximal tib fib articulation is open b.The inferior borders of the condyles indicate the CR is perpendicular c.Underrotation of the knee as the proximal tib fib articulation is superimposed d.The inferior borders of the condyles indicate insufficient angulation of the CR
c.Underrotation of the knee as the proximal tib fib articulation is superimposed
211
What positioning maneuver(s) ensures a good image of the AP ankle? a.Plantarflexion and foot perpendicular to the IR b.Dorsiflexion and plane between malleoli parallel to the IR c.Plantarflexion and plane between malleoli parallel to the IR d.Dorsiflexion and foot perpendicular to the IR
d.Dorsiflexion and foot perpendicular to the IR
212
The AP shoulder image was acquired on a 75 year old male patient that fell on the ice. The superior scapular angle is demonstrated superior to the middle of the clavicle. What error occurred? a.the mid coronal plane was not perpendicular to the IR b.the mid coronal plane was not parallel to the IR c.the mid sagittal plane was not parallel to the IR d.the patient is leaning backward toward the IR
b.the mid coronal plane was not parallel to the IR
213
The image below depicts which of the following pathologies? a.epidural hematoma b.osteoporosis c.Paget's (osteitis deformans) disease d.osteomyelitis
c.Paget's (osteitis deformans) disease
214
What positioning error has occurred in this lateral wrist image? a.Elbow is not properly flexed b.Hand is rotated posteriorly c.Forearm and humerus are not on the same plane d.Hand is rotated anteriorly
d.Hand is rotated anteriorly
215
How many degrees and in which direction should the central ray be directed if it is necessary to have the patient prone for a PA axial projection of the sacrum? How many degrees and in which direction should the central ray be directed if it is necessary to have the patient prone for a PA axial projection of the sacrum? a.15 degrees caudad b.10 degrees caudad c.15 degrees cephalad d.10 degrees cephalad
a.15 degrees caudad
216
The following AP mobile chest x-ray was performed for an emergency patient who was having difficulty breathing. What is required to improve this image? a.Have the patient come to the x-ray department to do a proper PA chest and left lateral b.Have the patient take in a deeper inspiration and have patient rotate slightly toward the right c.No repeat image is required. The image is good. d.Have the patient take in a deeper inspiration and have patient rotate slightly toward the left
d.Have the patient take in a deeper inspiration and have patient rotate slightly toward the left
217
Why would this AP oblique, internal rotation, knee image need repeating? a.Tibiofemoral joint space is not open b.Knee is externally rotated c.Cephalad central ray angle is too great d.Patella is not in the right position
a.Tibiofemoral joint space is not open
218
The resulting image was taken on a 35 year old patient with undiagnosed hip pain. The following should be done when repeating the image: a.accept the image, this is a normal variance b.medially rotate both lower limbs 15 degrees medially c.rotate the patient to the right d.rotate the patient to the left
c.rotate the patient to the right
219
What pathology would contraindicate using this body position to obtain this image? a.Congenital hip dysplasia b.Anterior pelvic fracture c.Hip fracture d.Osteoarthritis
c.Hip fracture
220
Which of the following image criteria is not met with this lateral foot image? a.Bony trabeculae and soft tissue demonstrated b.Superimposition of the metatarsal heads c.Entire foot and distal leg d.Metatarsal cuboid joint space open
b.Superimposition of the metatarsal heads
221
Which positioning error has been made on this image? a.IR is not perpendicular to the patella b.CR is not perpendicular to the IR c.IR is not parallel to the femur d.CR is not parallel to the femur
b.CR is not perpendicular to the IR
222
How many degrees and in which direction should the central ray be directed for an AP axial projection of the coccyx? a.15 degrees cephalad b.10 degrees cephalad c.15 degrees caudad d.10 degrees caudad
d.10 degrees caudad
223
What should the MRT do with this lateral knee image? a.Send to PACS b.Repeat, with a caudal angle to the CR c.Repeat, with an increase of internal rotation of the knee d.Repeat, with a 20-30 degree flexion to the knee
d.Repeat, with a 20-30 degree flexion to the knee
224
The MRT should make the following correction for the above image? a.rotate the patient towards the right side b.rotate the patient towards the left side c.no correction should be made due to the extensive injury d.rotate the feet internally 15 degrees
c.no correction should be made due to the extensive injury
225
The image below demonstrates: a.a poor inspiration b.scapula in the lung fields c.a left sided pneumothorax d.rotation to the right
c.a left sided pneumothorax
226
Which of the following imaging criteria for a lateral thoracic spine is not being met with this projection? a.lung tissue is over the anatomy b.vertebral bodies are demonstrated without distortion c.intervertebral disk spaces are open d.the ribs are superimposed posteriorly
c.intervertebral disk spaces are open
227
Which of the following image criteria is not met with this image? a.Patella in profile b.Femoralpatellar joint space open c.Knee is flexed 20 to 30 degrees d.Femoral condyles are superimposed
d.Femoral condyles are superimposed
228
The facial bone image below demonstrates which of the following positioning errors: a.rotation and tilt b.rotation, demonstrated by the unsuperimposed EAMS c.no positioning error is seen d.tilt, demonstrated by the orbital roofs
c.no positioning error is seen
229
Upon acquisition of this image, what should the MRT do? oblique c-spine a.repeat the image, the patient requires more rotation b.Repeat the image and elevate the mandible c.the image is acceptable - send to PACS d.a swimmer's lateral is required
b.Repeat the image and elevate the mandible
230
The type of fracture that occurs when a ligament or tendon detaches or pulls a piece of bone is termed: a.pathologic b.stress c.comminuted d.avulsion
d.avulsion
231
A patient requires decubitus imaging for a left sided pneumothorax. Which position would be required? a.right lateral decubitus b.an upright inspiration, expiration PA chest would be required c.dorsal decubitus d.left lateral decubitus
a.right lateral decubitus
232
Which positioning factor determines the number of degrees the central ray should be angled for the tangential projection to demonstrate the patella? a.SID b.Object-to-image distance c.Degree of knee flexion d.Part thickness
c.Degree of knee flexion
233
An 85 year old female patient requires shoulder imaging after falling during the night. The images must be acquired on the stretcher. What routine would be most appropriate? a.AP shoulder and inferosuperior axial projection b.AP shoulder and transthoracic humerus c.AP shoulder and scapular Y lateromedial projection d.AP shoulder and scapular Y mediolateral projection
c.AP shoulder and scapular Y lateromedial projection
234
Which of the following x-ray projections would be contraindicated for a femoral neck fracture? a.unilateral frog projection of the affected hip b.AP hip projection of the affected hip c.inferosuperior axial projection of the affected hip d.AP pelvis projection
a.unilateral frog projection of the affected hip
235
Which of the following image criteria is not met with this image? a.Fibula in posterior 1/3 of tibia b.Ankle and knee joint included c.Proper collimation to include all required anatomy d.Bony trabeculae and soft tissue demonstrated
a.Fibula in posterior 1/3 of tibia
236
What positioning error is demonstrated in this AP pelvis image? a.Central ray is too superior b.Patient is rotated toward the left side c.Patient is rotated toward the right side d.No fracture is seen, so the patient must rotate their feet inward
b.Patient is rotated toward the left side
237
Which of the following positioning maneuver would best improve this image if repeated? a.rotate the patient's head to the right so that the MSP is perpendicular to the IR b.rotate the patient's head to the left so that the MCP is perpendicular to the IR c.rotate the patient's head to the left so that the MSP is perpendicular to the IR d.flex the patient's head back slightly
c.rotate the patient's head to the left so that the MSP is perpendicular to the IR
238
Which of the following would be present on the image of a properly positioned lateral projection of the forearm? 1. Olecranon process in profile 2. Elbow in 45° flexion 3. Superimposition of distal radius and ulna a.1, 2, and 3 b.1 and 3 only c.3 only d.2 and 3 only
b.1 and 3 only
239
What positioning adjustment is required to place the petrous pyramids in the bottom third of the orbits? a.the patient's head must be rotated to the left b.the central ray must be angled 30 degrees caudad c.the patient's chin must be tucked more d.the patient's chin must be elevated
c.the patient's chin must be tucked more
240
An AP axial (Towne) radiograph of the skull with insufficient angulation of the central ray would result in: a.the superior arch of the first cervical vertebra being demonstrated within the foramen magnum b.the dorsum sellae being demonstrated inferior to the foramen magnum c.the dorsum sellae being demonstrated within the dorsum sellae d.the dorsum sellae being demonstrated superior to the foramen magnum
d.the dorsum sellae being demonstrated superior to the foramen magnum
241
An MRT prepares to position a patient with a suspected hip injury. The patient is positioned on a backboard with the right leg and foot lying on its lateral aspect. Which should the radiographer do to successfully complete the examination? a.medially rotate both feet and lower legs 15 to 20 degrees b.perform the exam without repositioning the leg c.request that pain medication be given prior to rotating the leg d.ask the emergency physician if the leg can be rotated
b.perform the exam without repositioning the leg
242
Does this image meet diagnostic evaluation criteria? a.Yes, zygomatic arches seen in their entirety. b.Yes, zygomatic arches free from overlying structures. c.No, zygomatic arches not seen in their entirety. d.No, zygomatic arches are not free from overlying structures.
c.No, zygomatic arches not seen in their entirety.
243
A mediolateral projection is preferred for images of the: a.4th finger b.3rd finger c.2nd finger d.thumb
d.thumb
244
There is rotation demonstrated on this AP hip image. In which direction is the rotation? a.Toward the affected side b.Toward the unaffected side c.There is no rotation, gas is obscuring the obturator foramen d.Inferior rotation
b.Toward the unaffected side
245
The above image requires the following correction: a.the patient's feet should be internally rotated 15 degrees b.the kV should be increased c.no correction is necessary, the image is acceptable d.the collimation should be increased
c.no correction is necessary, the image is acceptable
246
What is the positioning error demonstrated in this AP knee image? a.Femoral condyles are parallel to the IR b.Leg is rotated externally c.CR enters the base of the patella d.Leg is rotated internally
d.Leg is rotated internally
247
What type of fracture is evident? a.Bennetts b.Colles c.Smiths d.Potts
b.Colles