Maxillary buccal view: crown symmetry
Greater symmetry on maxillary 2nd premolar

Maxillary buccal view: occlusal-cervical dimension
Larger on maxillary 1st premolar

Maxillary buccal view: cervical width
Wider cervical neck on maxillary 2nd premolar

Maxillary buccal view: buccal cusp sharpness
Sharper on maxillary 1st premolar

Maxillary buccal view: buccal cusp ridge lengths
Mesial cusp ridge on maxillary 1st premoler is longer
Mesial cusp ridge on maxillary 2nd premolar is shorter

Maxillary buccal view: buccal cusp ridge depressions
More often found on maxillary 1st premolar

Maxillary buccal view: buccal ridge prominence
More prominent on maxillary 1st premolar

Maxillary mesial view: cusp height difference
Larger on maxillary 1st premolar

Maxillary mesial view: mesial crown concavity
Note its significance
Present on maxillary 1st premolar (good place for bacteria deposit –> cavities)

Maxillary mesial view: mesial marginal ridge groove
Present on maxillary 1st premolar

Maxillary mesial view: number of roots
Maxillary 1st premolar = 2 (buccal and pharyngeal)
Maxillary 2nd premolar = 1 root
(Important to know for root canals)

Maxillary mesial view: developmental root depression
Give the significance of this morphology
Deeper on maxillary 1st premolar (can be area for caries)

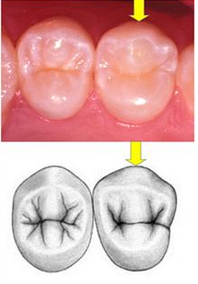
Occlusal view: outline form
More rounded on maxillary 2nd premolar

Maxillary occlusal view: lingual cusp displacement
Greater mesial displacement of lingual cusp on maxillary 1st premolar

Maxillary occlusal view: mesial surface convexity
Greater on maxillary 2nd premolar

Maxillary occlusal view: buccal ridge prominence
More prominent on maxillary 1st premolar

Maxillary occlusal view: mesial marginal ridge groove
Present on maxillary 1st premolar

Maxillary occlusal view: central developmental groove lengths
Slightly longer on maxillary 1st premolar

Maxillary occlusal view: marginal ridge width
Wider on maxillary 2nd premolar

Maxillary occlusal view: location of pits
Maxillary 1st premolar = closer to marginal ridges
Maxillary 2nd premolar = closer to center of tooth

Maxillary occlusal view: mesio-buccal and disto-buccal line angles
More prominent and angular on maxillary 1st premolar

Mandibular buccal view: occlusal cervical crown dimension
Greater on mandibular 1st premolar

Mandibular buccal view: buccal cusp height
Greater on mandibular 1st premolar

Mandibular buccal view: buccal cusp sharpness
Greater on mandibular 1st premolar
