The largest mesiodistal crown dimension of any anterior tooth
Maxillary Central Incisor

The squarest (least I-C and M-D dimensional difference) of any incisor
Maxillary central incisor

Greatest curvature on mesial surface than all other teeth (curvature of cervical line)
Maxillary central incisor

Long axis bisector passes through incisal edge
Maxillary central AND lateral incisors

Smallest mesio-distal crown dimension of any maxillary tooth
Maxillary lateral incisor

3 teeth with the most crown form variations
Maxillary lateral incisor
Maxillary 3rd molar
Manidular 3rd molar

Squareness of crown: least difference in ucco-lingual and mesio-distal dimensions of any anterior tooth
Maxillary lateral incisor

Greatest incisal edge curvature of any incisor
Maxillary lateral incisor

Most cervically located distal proximal contact of any incisor (and describe precisely where it is)
Maxillary lateral incisor (located halfway between incisal edge and cervical line)

Smallest mesiodistal, buccolingual and incisal-cervical dimensions of any tooth
Mandibular central incisor

Only tooth with symmetrical mesial and distal halves (bilaterally symmetrical crown)
Mandibular central incisor

Sharpest mesio-incisal AND disto-incisal angle of any tooth
Mandibular central incisor

Mesial and distal proximal contacts located at same level along incisal-cervical axis
Mandibular central incisor
Mandibular 1st premolar

Long axis bisector passes just buccal to incisal edge (3)
Mandibular central incisor
Mandibular lateral incisor
Mandibular canine

Distal half of cron rotated lingually over root
Rotation is greater than for any other tooth
Mandibular lateral incisor

Sharpest mesio-incisal angle (only) of any tooth
Mandibular lateral incisor
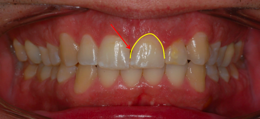
Consequence of not respected cervical anatomy
Inflammation (i.e. crowns are wrong shape or too deep beneath gingiva)

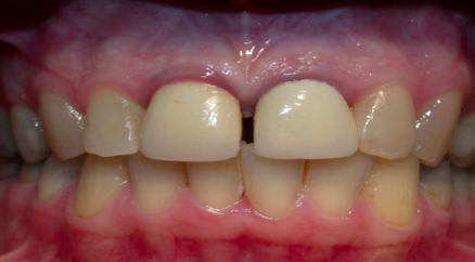
Diastema
A space between two teeth

Consequence of not respecting natural morphology when closing a diastema
Creation of a breeding ground for bacteria (higher risk for food and plaque accumulation) –> chronic infection –> alveolar bone loss

Define black triangle
Papilla relies on underlying bone for structure, so loss of bone –> loss of papilla –> black triangle
What may cause plaque accumulation on the root? What is the consequence?
Groove/depression/concavity on root
May compromise a patient’s ability to maintain good oral hygiene (can’t access)
In time, may lead to an inflammatory process and eventual loss of alveolar bone

Consequence of triangular incisor teeth
Contribute to incisally displace contact points –> inesthetic black triangles

Define peg laterals
Unusually small lateral incisors

Golden proportions
Use lateral incisors as reference
So central maxillary incisor = 161% view
Canine = 61% view
