what is the typical presentation of a prolactinoma?
Secondary amenorrhoea, galactorrhoea, decreased libido, low GnRH, loss of pubic hair, bitemp hemianopia
define a prolactinoma?
A pituitary adenoma(benign lactotroph adenomas) that overproduces prolactin.
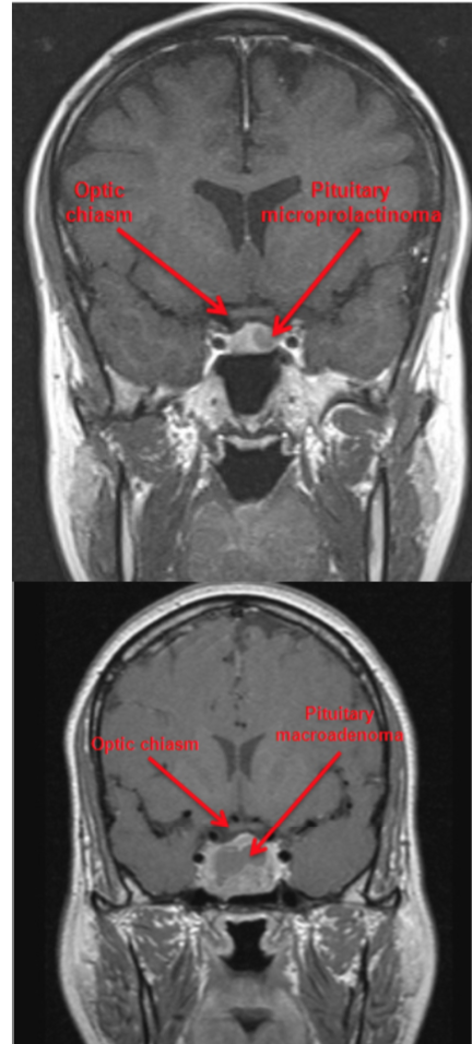
what are the 4 different types of prolactinoma?
Microadenomas: < 1 cm
Macroadenomas: > 1 cm
Giant Pituitary Adenomas: > 4 cm
Malignant Prolactinoma (RARE)
outline the aetiology of prolactinoma?
Cause if UNKNOWN
Some may occur as a consequence of MEN 1 syndrome
what is a risk factor for prolactinoma?
RISK FACTOR OF TUMOUR ENLARGEMENT IN PREGNANCY
Summarise the epidemiology of prolactinoma
Relatively common
Higher incidence in premenopausal women
What are the symptoms and signs of prolactinoma which are caused by the tumour size?
Headache
Visual disturbance (bitemporal hemianopia)
Cranial nerve palsies
Signs and symptoms of hypopituitarism
NOTE: microprolactinomas rarely expand to become macroprolactinomas
what are the symptoms and signs of prolactinoma in women?
Amenorrhoea/oligomenorrhoea
Galactorrhoea
Infertility
Hirsuitism
Reduced libido
what are the symptoms and signs of prolactinoma in men?
Symptoms are subtle and develop slowly
Reduced libido
Reduced beard growth
Erectile dysfunction
what are the appropriate investigations for prolactinoma?
Exclude pregnancy
Serum prolactin level (extremely high levels (> 5000 mU/L) suggests true prolactinoma)
Also check TFTs- hypothyroidism –> high TRH –> stimulates prolactin release
MRI – esp if visual defect is noted
Assessment of pituitary function
Computerized visual field exam

what are the complications of prolactinoma?
Complications of hypogonadism
Complications of tumour size
Summarise the prognosis for patients with prolactinoma
Microprolactinomas will spontaneously resolve in about 1/3 cases
Dopamine agonist withdrawal is usually attempted after about 2-3 years if prolactin levels have normalised and tumour volume is reduced
High rates of recurrence
what is the medical treatment of prolactinoma?
CABERGOLINE and BROMOCRIPTINE- dopamine agonists
- dopamine acts as a brake on prolactin production
what is the management if dopamine agonists are innfective
ONLY IF RESISTANT TO MED TREATMENT
Surgery – transphenoidal
Radiotherapy – rarely used – only if meds and surgery have failed