Entamoeba histolytica
Phylum: Sacrodina (psuedopods) Disease: dystentery- bloody mucoid stool Transmission: fecal-oral route
Trichomonas vaginalis
Phylum: mastigophora (flagella) Disease: Trichomoniasis- vaginal discharge, painful urination (females only) Transmission: sexual intercourse
Giardia lamblia
Phylum: mastigophora (flagella) Disease: Giardiasis- diarrhea, dehydration Transmission: fecal-oral
Trypansoma brucei
Phylum: Mastigophora (flagella) Disease: African Sleeping Sickness- fever, anemia, sleepiness, unconsciousness Transmission: bite of tetse fly
Balantidium coli
Phylum: ciliphora (cilia) Disease: Balantadiasis- bloody mucoid stool (dysentery-rare) Transmission: fecal-oral route
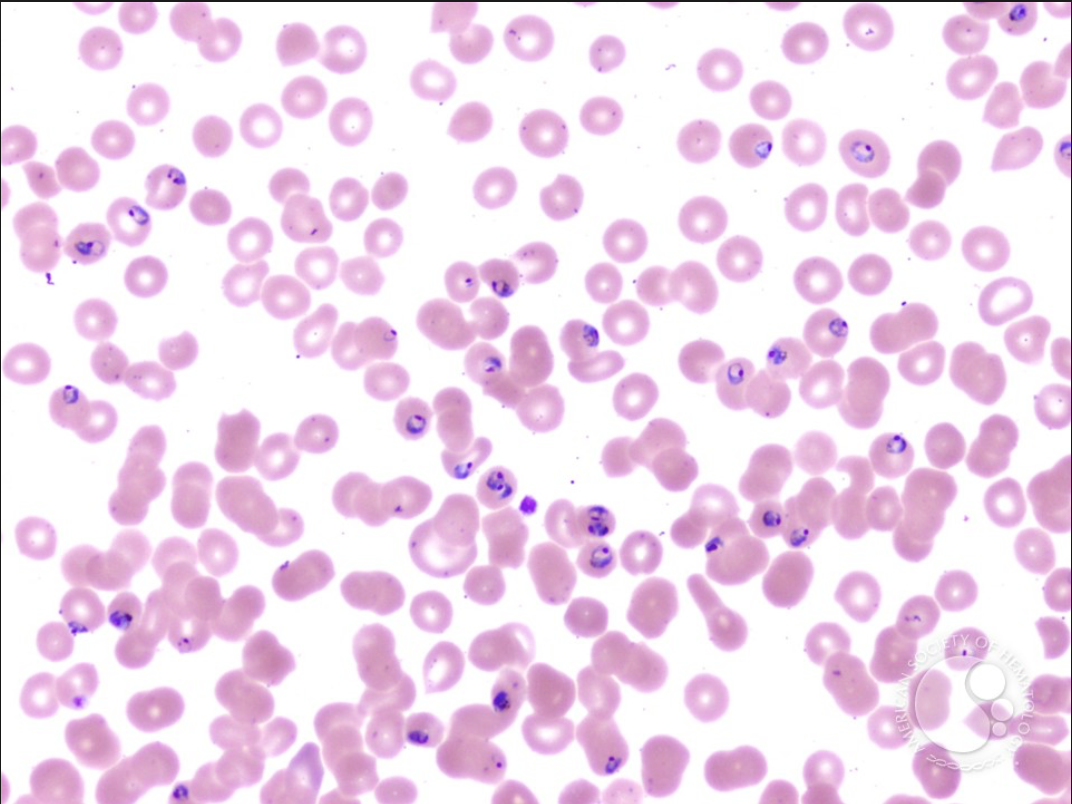
Plasmodium falciparum
Phylum: apicomplexa Disease: malaria- liver and blood infection, fever, chills Transmission: bite of female anopheles mosquito
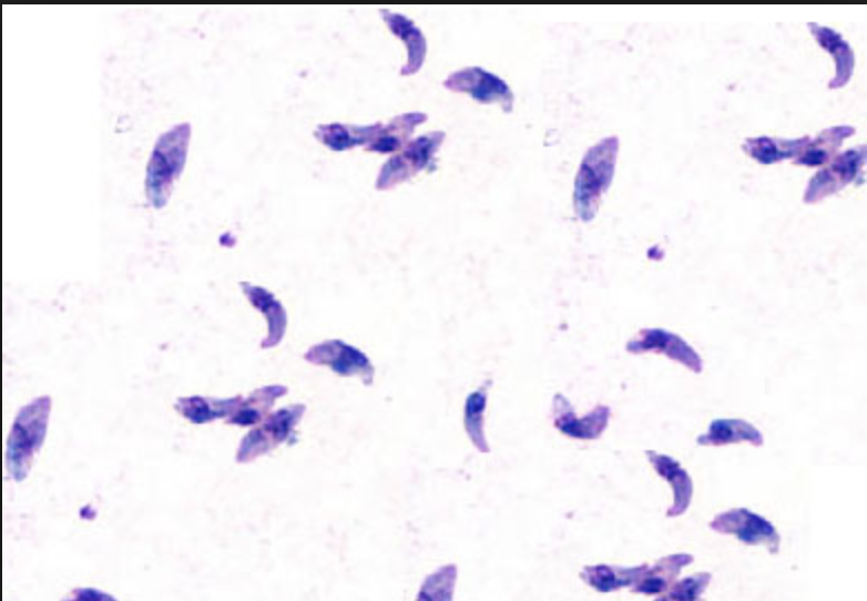
Toxoplasma gondii
Phylum: apicomplexa Disease: toxoplasmosis- asymptomatic, or behavior modification (adults)/ multi organ damage (fetus) Transmission: ingestion of oocysts from cat’s feces, transplacental

Entamoeba hystilitica trophozoite

Entamoeba hystilitica cyst

Trichomonas vaginalis trophozoite

Giardia lamblia trophozoite

Giardia lamblia cyst

Trypansoma brucei trophozoite

Balantidium coli trophozoite

Balantidium coli cyst

Plasmodium falciparum

Toxoplasma gondii