PS/PR Flashcards

(86 cards)

1
Q

Pulmonary Valve

PV has 3 leaflets and sits at the junction of the _____ and _______

A

RVOT & main PA

How well did you know this?
1
Not at all
2
3
4
5
Perfectly
2
Q

Pulmonary Valve

What are the name of each cusp?

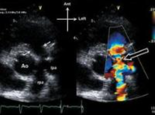
A

AC (anterior)

LC (left)

RC (right)

*note: anterior is the largest

How well did you know this?
1
Not at all
2
3
4
5
Perfectly
3
Q

Pulmonary Stenosis

Definition?

A

narrowing/thickening/obstruction of the PV that impedes systolic flow traveling fro the RV, though the PV, into the PA. Similar to AS

How well did you know this?
1
Not at all
2
3
4
5
Perfectly
4
Q

Pulmonary Stenosis

Types of PS?

A
  • subvalvular (infundibular) PS: an obstruction of the RVOT (below the valve)
  • valvular PS: an obstruction of the PV cusps
  • supravalvular PS: an obstruction in the PA (above the valve)
How well did you know this?
1
Not at all
2
3
4
5
Perfectly
5
Q

Pulmonary Stenosis

Causes?

A
  • congenital (mainly): the stenotic PV can be trileaflet, bicuspid, or dysplastic
  • a part of more complex congenital anomaly (frequently): Tetralogy of Fallot, atrioventricular canal, double outlet RV etc)
  • carcinoid heart disease: most common form of acquired PS
  • subvalvular PS: *caused by sinus of Valsalva aneurysm which protrudes into the RVOT and obstruct flow
  • Functional PS: tumor that compress the RVOT
  • RHD: possible but uncommon
How well did you know this?
1
Not at all
2
3
4
5
Perfectly
6
Q

Pulmonary Stenosis

murmur?

A

harsh systolic ejection murmur heard at the left upper sternal border; a thrill may also be present

How well did you know this?
1
Not at all
2
3
4
5
Perfectly
7
Q

Pulmonary Stenosis

complication?

A
  • dyspnea on exertion (*physical/mental effort)
  • Jagular venous distension (enlargement)
  • RVH, eventually RV dilatation & RA enlargement
  • associated congenital anomalies
How well did you know this?
1
Not at all
2
3
4
5
Perfectly
8
Q

Pulmonary Stenosis Grading

peak Doppler velocity

mild?

severe?

A

mild: < 3 m/s
severe: > 4 m/s

How well did you know this?
1
Not at all
2
3
4
5
Perfectly
9
Q

Pulmonary Stenosis Grading

peak Doppler gradient

mild?

severe?

A

mild: < 36 mmHg
severe: > 64mmHg

How well did you know this?
1
Not at all
2
3
4
5
Perfectly
10
Q

Pulmonary Stenosis Grading

mean Doppler gradient

severe?

A

>40mmHg

How well did you know this?
1
Not at all
2
3
4
5
Perfectly
11
Q

Pulmonary Stenosis Grading

Always check tricuspid regurgitation gradient to rule out overestimation of PS gradient.

T or F ?

A

T

How well did you know this?
1
Not at all
2
3
4
5
Perfectly
12
Q

What is tetralogy of Fallot?

A

Tetralogy of Fallot is a birth defect that affects normal blood flow through the heart. It happens when a baby’s heart does not form correctly as the baby grows and develops in the mother’s womb during pregnancy.

A heart defect that features four problems.

They are:

  • a hole between the lower chambers of the heart (atrioventricular canal/ASD/VSD)
  • an obstruction from the heart to the lungs (PS)
  • The aorta lies over the hole in the lower chambers
  • RV hypertrophy
How well did you know this?
1
Not at all
2
3
4
5
Perfectly
13
Q

Pulmonary Stenosis

What are the echo findings?

A
  • thickening if the PV leaflets with systolic doming
  • RV hypertrophy due to RV pressure overload = increased afterload
  • flattening if the IVS due to the RV pressure overload *D shaped LV (can be visualized in PSAX)
  • RA enlargement
  • RV failure in the later stages of PS
  • post-stenotic dilatation of the MPA due to the high velocity PS jet striking the PA wall *similar to AS
How well did you know this?
1
Not at all
2
3
4
5
Perfectly
14
Q

Pulmonary Stenosis

What are the M-mod findings?

A

“a” wave dip of the right posterior PV cusp

*normal range: 2-3 mm in depth

*severe: > or = 8mm in depth

How well did you know this?
1
Not at all
2
3
4
5
Perfectly
15
Q

Pulmonary Stenosis

Explain how to assess with Doppler

A

similar to AS, assess:

  • peak velocity
  • max & mean PG
  • PVA

via the continuity equation

  • CW focus in the PV; acquire the PV peak velocity & the VTI
  • PW gate in the RVOT; acquire the RVOT peak velocity & VTI

*For a quick PG, utilize the modified Bernouli’s equation: PG = 4V2

How well did you know this?
1
Not at all
2
3
4
5
Perfectly
16
Q

Pulmonary Stenosis

PVA equation?

A

PVA = (VTI RVOT) (CSA RVOT) / (VTI PV)

*acquire the RVOT diameter just proximal to the PV

How well did you know this?
1
Not at all
2
3
4
5
Perfectly
17
Q

Pulmonary Stenosis

what is the normal range of RVOT proximal?

A

21-35mm

How well did you know this?
1
Not at all
2
3
4
5
Perfectly
18
Q

Pulmonary Stenosis

The Gorlin Formula can be used to calculate the PVA.

T or F ?

A

T

How well did you know this?
1
Not at all
2
3
4
5
Perfectly
19
Q

Pulmonary Stenosis

What views can be used for PV Doppler assessment?

A
  • PLAX RVOT
  • PSAX RVOT
  • Subcostal base
How well did you know this?
1
Not at all
2
3
4
5
Perfectly
20
Q

Pulmonic Regurgitation

definition

A

the backward or regurgitant flow of blood through the PV into the RV during ventricular diastole; may be acute or chronic

How well did you know this?
1
Not at all
2
3
4
5
Perfectly
21
Q

Pulmonic Regurgitation

etiology

A
  • incomplete PV closure due to PH (high pressure pulmonary disease): causes PA/PV annulus dilatation *most common cause
  • infective endocarditis/vegetation *second most common
  • RHD: uncommon; usually affect MV, AoV prior to PV
  • Myxomatous (non cancerous tumor) degeneration
  • Connective tissue disorder e.g. Marfan’s syndrome
  • Congenital anomalies: Tetralogy of Fallot, VSD, valvular PS, absence of the PV etc
  • iatrogenic: relating to illness caused by medical examination or treatment e.g. post surgical repair
  • PA catheter
  • Carcinoid heart disease
  • Syphillis
  • Tuberculosis
  • chest trauma
  • prosthetic heart valve
  • physiologic
How well did you know this?
1
Not at all
2
3
4
5
Perfectly
22
Q

Pulmonary Regurgitation

symptoms & signs

A
  • asymptomatic; may be tolerated for years due solely to PR is rare
  • dyspnea
  • fatigue
  • palpable RV impulse along left sternal border
  • systolic/diastolic thrills (a vibratory movement or resonance) at the left upper sternal border
How well did you know this?
1
Not at all
2
3
4
5
Perfectly
23
Q

Pulmonary Regurgitation

murmur

A

a low-pitched diastolic murmur that may increase with inspiration

right-sided Austin Flint murmur: low frequency presystolic murmur

Graham-Steele murmur: a high-pitched blowing diastolic murmur may be heard when PH is present with PR

How well did you know this?
1
Not at all
2
3
4
5
Perfectly
24
Q

Pulmonary Regurgitation

treatment

A
  • PR usually well tolerated
  • endocarditis prophylaxis (prevention)
  • Digitalis (Digitalis medicines strengthen the force of the heartbeat by increasing the amount of calcium in the heart’s cells) for RHF
  • valvuloplasty/valve replacement
How well did you know this?
1
Not at all
2
3
4
5
Perfectly
25
_Pulmonary Regurgitation_ Trivial/mild PR is present in up to \_\_\_\_% of patient
87
26
_Pulmonary Regurgitation_ M-mode findings
* RV dilatation * RV dilatation with paradoxical (seemingly absurd or self-contradictory) septal motion - due to RV vol overload * premature opening of the PV due to severe, acute PR that increases the RVED pressure * fine **diastolic flutter** of the **TV** * diastolic flutter of the pulmonic valve
27
_Pulmonary Regurgitation_ 2D echo findings
* **PH** (common cause) * anatomic basis/defect that prevents coaptation: annulus dilatation, PA dilatation, infective endocarditis, RHD, carcinoid heart disease, PS etc * RA dilatation * RV dilatation with paradoxical septal motion due to vol overload pattern * D-shaped LV * determine RV dimensions, volumes and EF
28
_Pulmonary Regurgitation_ Doppler assessment
acquire the end-diastolic pulmonic regurgitation (EDPR) velocity and calculate the EDPR gradient with modified Bernouli's equation = 4V2
29
_Pulmonary Regurgitation_ Doppler assessment What is the normal range?
0-5 mHg
30
_Pulmonary Regurgitation_ Doppler Assessment PR grade
mild
31
_Pulmonary Regurgitation_ Doppler Assessment PR grade
severe
32
_Pulmonary Regurgitation_ Doppler Assessment PR grade
trivial
33
_Pulmonary Regurgitation_ Doppler Assessment PR grade
mild
34
_Pulmonary Regurgitation_ Doppler Assessment PR grade
moderate
35
_Pulmonary Regurgitation_ Doppler Assessment PR grade
severe
36
_Pulmonary Regurgitation_ Color Doppler Assessment physiologic regurgitation: _____ in length and not holodiastolic in duration with normal PA pressure let area/width _____ RVOT diameter
\< 1 cm \< ⅓
37
_Pulmonary Regurgitation_ Color Doppler Assessment Borderline regurgitation: _____ in length and **holodiastolic** in duration jet area/width: _____ RVOT diameter
1-2 cm \>⅓ and \< ⅔
38
_Pulmonary Regurgitation_ Color Doppler Assessment clinically significant: ____ in length with peak velocity _____ and holodiastolic in duration jet area/width: \_\_\_\_\_RVOT diameter
> 2cm > > \> or = 1.5 m/s > > \> ⅔
39
PH is an elevation in the pressure of the PAs caused by another disease such as diastolic heart failure or left heart disease. T or F?
T
40
Echo provides a noninvasive assessment of PH and an accurate systolic PA pressure. T or F?
T
41
\_\_\_\_\_\_ is the most common cause of PS
congenital heart disease
42
PS creates a harsh diastolic ejection murmur and a thrill may also be present T or F?
F \*harsh systolic ejection murmur not diastolic
43
echo findings include a PV “a” wave of 10mm; what is most likely the diagnosis? * severe PH * severe PR * severe PS * all of the above
severe PS
44
The patient presents with congenital PS with a peak velocity of 3.5 m/s; what is most likely the diagnosis? * normal PV * peak PG = 14 mmHg, mild PS * peak PG = 49 mmHg, moderate PS * peak PG = 52 mmHg, severe PS
moderate PS
45
\_\_\_\_\_\_ is an indication of PS? * LVH with flattening of the IVS * post-stenotic dilatation of the aorta * thickening of the pulmonic leaflets with systolic doming * all of the above
thickening of the pulmonic leaflets with systolic doming
46
A Graham-Steele murmur is a high-pitched blowing diastolic murmur may that may be heard in case of PS with PH T or F?
F Graham-Steele murmur (a high-pitched blowing diastolic murmur) is present with PR & PH
47
Calculate the ______ with the end-diastolic PR velocity and Bernoulli equation * EDPR gradient * RVEDP * RVSP * all of the above
EDPR gradient
48
The pulmonary valve has 3 leaflets and sits at the junction of the LV outflow tract (LVOT) and the main pulmonary artery (PA) T or F ?
49
Structural abnormalities are the cause of tricuspid regurgitation at least 25% of the time. Please list at least 4
50
Severe hemodynamic changes due solely to pulmonary regurgitation is rare T or F ?
51
List 5 clinical symptoms associated with Right Heart Failure
52
A progressive increase in degree of TR can lead to RV volume overload T or F ?
53
Always check tricuspid regurgitation gradient to rule out overestimation of pulmonary stenosis gradient T or F ?
54
Up to 87% of normal patients appear to have PR T or F ?
55
For cases of tricuspid stenosis, our Doppler finding would demonstrate a spectral wave form similar to the waveform demonstrated with this finding \_\_\_\_\_\_\_\_\_\_\_\_\_\_\_\_\_.
56
The pulmonic valve (PV) has a saddle shape because of anterior and posterior high points and mid septal and lateral wall low points T or F ?
57
List 5 causes of pulmonary regurgitation (PI)
58
Signs and symptoms of Pulmonic stenosis include: Dyspnea, Fatigue, Right Upper quadrant abdominal pain T or F ?
59
Describe the TS (tricuspid stenosis) murmur
60
List 4 causes of TS (tricuspid stenosis)
61
Functional Tricuspid Regurgitation occurs 75% of the time. Please list 4 causes.
* Left heart disease (left ventricular dysfunction or valve diseases) resulting in pulmonary hypertension * Primary pulmonary hypertension * Secondary pulmonary hypertension (e.g. chronic lung disease, pulmonary thromboembolism, left-to-right shunt) * Atrial fibrillation * Cardiac tumors (particularly right atrial myxomas
62
What do the following statements describe? Low-pitched, diastolic murmur, usually best heard along the third or fourth intercostal spaces adjacent to the left sternal border (accentuated with inspiration) Low frequency presystolic murmur (right-sided Austin Flint)
63
List 3 M-Mode findings for Pulmonary Regurgitation (PI)
* RV dilatation * Right ventricular volume overload pattern (right ventricular dilatation withparadoxical septal motion) * Fine diastolic flutter of theTricuspid valve * Diastolic flutter of the pulmonic valve
64
How many papillary muscles does the tricuspid valve have?
3
65
Hepatojugular reflux, Peripheral edema, Ascites, Atrial fibrillation, and Hyperdynamic RV impulse are considered physical findings associated with PR T or F ?
F * Jugular venous distention with prominent “v” wave * Hepatomegaly * Pulsatile liver * Hepatojugular reflux * Peripheral edema * Ascites * Atrial fibrillation * Hyperdynamic RV impulse These are all the clinical presentation of TR
66
A patient with Pulmonary Regurgitation my exhibit systolic/diastolic thrills at the left upper sternal border T or F ?
T Also, palpable right ventricular impulse along left sternal border is present
67
Signs and symptoms of PS: Dyspnea, fatigue, RUQ abdominal pain T or F ?
F \*Dyspnea, Fatigue, Right Upper quadrant abdominal pain are signs of **TS**
68
**The pulmonary valve has 3 leaflets and sits at the junction of the LV outflow tract (LVOT) and the main pulmonary artery (PA).** T or F ?
False The pulmonary valve has 3 leaflets and sits at the junction of the **RVOT** and the main pulmonary artery
69
Structural abnormalities are the cause of tricuspid regurgitation at least 25% of the time. Please list at least 4.
Rheumatic, endocarditis, traumatic (blunt chest injury, laceration), congenital, prolapse, carcinoid disease, endomyocardial fibrosis
70
**Severe hemodynamic changes due solely to pulmonary regurgitation is rare.** T or F ?
T
71
List 5 clinical symptoms associated with Right Heart Failure.
72
A p**rogressive increase in degree of TR can lead to RV volume overload.** T or F ?
T
73
**Always check tricuspid regurgitation gradient to rule out overestimation of pulmonary stenosis gradient.** **T or F ?**
T
74
**Up to 87% of normal patients appear to have PR.** T or F ?
T
75
**For cases of tricuspid stenosis, our Doppler finding would demonstrate a spectral wave form similar to the waveform demonstrated with this finding \_\_\_\_\_\_\_\_\_\_\_\_\_\_\_\_\_.**
76
**For cases of tricuspid stenosis, our Doppler finding would demonstrate a spectral wave form similar to the waveform demonstrated with this finding \_\_\_\_\_\_\_\_\_\_\_\_\_\_\_\_\_.**
77
**The pulmonic valve (PV) has a saddle shape because of anterior and posterior high points and mid septal and lateral wall low points.** T or F ?
T
78
**List 5 causes of pulmonary regurgitation (PI).**
* Incomplete PV closure (pulmonary hypertension causes pulmonary artery and PV annulus dilatation) * Infective endocarditis/ veg * Rheumatic heart disease, although it usually attacks the mitral valve and AOV prior to the PV * Congenital anomalies (tetrafallot of fallot, ventricular septal defect, valvular pulmonic stenosis) * Carcinoid heart disease
79
**Signs and symptoms of Pulmonic stenosis include: Dyspnea, Fatigue, Right Upper quadrant abdominal pain.** T or F ?
80
**Describe the TS (tricuspid stenosis) murmur.**
High pitched diastolic rumble that varies with respiration and has an opening snap
81
**List 4 causes of TS (tricuspid stenosis).**
Rheumatic heart disease Congenital TS (Ebstein anomaly) Carcinoid heart disease Secondary TS due to intracardiac wires/pacemaker, right atrial clot/tumor, or TV veg Secondary TS due to other medical conditions (systemic Lupus Erythematosus) Prosthetic valve dysfunction
82
**Functional Tricuspid Regurgitation occurs 75% of the time. Please list 4 causes.**
* Left heart disease (left ventricular dysfunction or valve diseases) resulting in pulmonary hypertension * Primary pulmonary hypertension * Secondary pulmonary hypertension (e.g. chronic lung disease, pulmonary thromboembolism, left-to-right shunt) * A fib * Cardiac tumor (right atrial myxomas)
83
**What do the following statements describe?** **Low-pitched, diastolic murmur, usually best heard along the third or fourth intercostal spaces adjacent to the left sternal border (accentuated with inspiration)**
**Low frequency presystolic murmur (right-sided Austin Flint)**
84
**List 3 M-Mode findings for Pulmonary Regurgitation (PI).**
85
**How many papillary muscles does the tricuspid valve have?**
86
**Hepatojugular reflux, Peripheral edema, Ascites, Atrial fibrillation, and Hyperdynamic RV impulse are considered physical findings associated with PR.** T or F ?