What is pseudo-obstruction?
AKA Ogilvie syndrome.
Dilation of the colon due to an adynamic bowel in the absence of mechanical obstruction
Where do the pseudo-obstruction occur?
Caecum and ascending colon
Can also affect the whole bowel.
Pathophysiology
Unknown.
Thought to be interupption of the autonomic nervous supply leading to absence of smooth muscle action.
What can untreated cases cause?
Toxic megacolon
Bowel ischaemia
Perforation
Causes
Electrolyte imbalance and endocrine disorders -> hypercalcaemia, hypothyroidism, hypomagnesaemia
Medication like opioids, CCBs or anti-depressants
Recent surgery, severe illness or trauma
Neurological disease like Parkinson’s, MS and Hirschsprung’s disease
Clinical features
Abdo pain
Abdo distension
Constipation with paradoxical diarrhoea
Vomiting (late feature)
Examination findings
Distension
Tympanic sounds on percussion
Soft and non tender abdomen
Focal abdo tenderness should be assessed as it indicates ischaemia.
Dx
Mechanical obstruction
Paralytic ileus
Toxic megacolon
Laboratory tests
Blood tests
U&Es
Ca2+
TFTs
CRP/ESR
Imaging
AXR
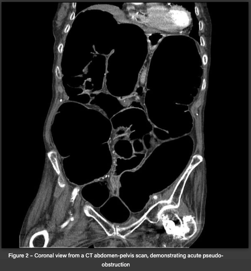
CT Abdo-pelvis with IV contrast
AXR findings
Shows bowel distension such as in mechanical obstruction
This means it has limited use as diagnostic imaging
CT abdo-pelvis with IV contrast findings
Dilation of the colon + will be able to exclude mechanical obstruction
It can also show complications

Conservative management
Usually surgery is not required.
Patient should be NBM and started on IV fluids
If there is vomiting NG tube might be fitted.
If there is no resolution within 24-48h -> endoscopic decompression + insertion of a flatus tube.
IV neostigmine can also be trialled.
Nutritional support should be done.
Indications of surgical management
Perforation or ischaemia
Non-responding cases
Surgical interventions
Segmental resection +/- anastomosis.
Unless all affected areas are removed it will not be curative.
Caecostomy or ileostomy can be done to decompress the bowel long-term.