What is a volvulus?
The twisting of a loop of intestine around its mesenteric attachment
This leads to a closed loop bowel obstruction.
It can become ischaemic and lead to rapid bowel necrosis and perforation
Where do volvuli occur?
Most commonly in sigmoid colon which means it is a common cause of large bowel obstruction after malignancy and diverticular disease.
Can also occur in stomach, caecum, small intestine and transverse colon.
Why do volvuli most commonly occur in the sigmoid colon?
Because of the long mesentery there.
It is more prone to twist on its mesenteric base.
Risk factors
Increasing age
Neuropsychiatric disoreders
Resident in a nursing home
Chronic conspitation or laxative use
Male gender
Previous abdominal operations
Clinical features
Colicky pain
Abdominal distension
Absolute constipation
It is a rapid onset (few hours) and also note the degree of the abdomnial distension.
Vomiting might occur but that is usually a late sign.
Examination findings
Tympanic to percussion
Can have signs of perforation or peritonism (in case it is a surgical emergency)
Dx
Other bowel obstruction
Severe constipation
Pseudo-obstruction
Sigmoid diverticular disease
Laboratory ix
Routine bloods
Electrolytes
Ca2+
TFTs
Imaging
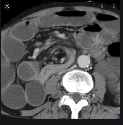
Initial imaging = CT scan abdo-pelvis with contrast
This identifies the site and cause.
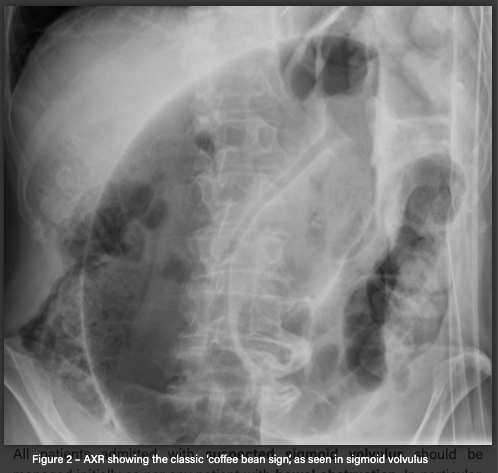
Some places do AXR.
CT abdo-pelvis with contrast findings
Dilated sigmoid colon

Whirl sign
AXR findings
Coffee-bean sign from left iliac fossa
If the ileocaecal valve is incompetent it can also show signs of small bowel dilation

General management
Examined for signs of ischaemia and fluid resus
Conservative management
Usually the initial managment
Decompression by sigmoidoscope and insertion of a flatus tube
Explain sigmoidoscope decompression
Patient is placed in left lateral position
Lubricated sigmoidoscope is inserted into rectum.
Locate the twisted bowel
When in the correct position -> decompress.
A rush of air and liquied faeces will come as the obstruction is relieved
Explain flatus tube
Often left in the body for up to 24h after initial decompression.
This is to allow for continued passage of contents and to aid recovery.
Indications of surgery
Colonic ischaemia or perforation
Repeated failed attempt at decompression
Necrotic bowel noted at endoscopy
Patients with recurrent volvolus may choose to have an elective procedure (sigmoidectomy with primary anastomosis)
What surgery is done?
Laparotomy for Hartmann’s procedure
Complications
Bowel ischaemia and perforation
Recurrence
Complications from a stoma if placed
Mortality from surgery is usually quite high because the patients are usually old, frail and co-morbid
What is the second most common site for a volvulus?
Caecum (25-40% of all colonic volvuli)
Bimodal age of onset (10-29 and then 60-79y)
Risk factors for younger group with caecal volvulus.
Intestinal malformatio or excessive exercise
Risk factors for older patients with caecal volvulus.
Chronic constipation
Distal obstruction
Dementia
Ix of caecal volvulus
CT imaging
Management of caecal volvulus
Always laparatomy and ileocaecal resection