psoriasis is a chronic multisystem disease with predominantly _____ and _____ manifestations
age of onset of psoriasis
____% of patients with a family history have psoriasis
does psoriasis just go away after treatment or does it wax and wane over time?
what form of psoriasis are scaly, erythematous patches, papules, and plaques that are sometimes pruritic

what form of psoriasis are lesions located in the skin folds of the axilla, groin, inframammary region do they have scale? why?

what form of psoriasis presents with raindrop lesions, 1-10 mm salmon-pink papules with a fine scale

what form of psoriasis are generalized erythema covering nearly the entire body surface area with varying degrees of scaling

what form of psoriasis are generalized or palmoplantar

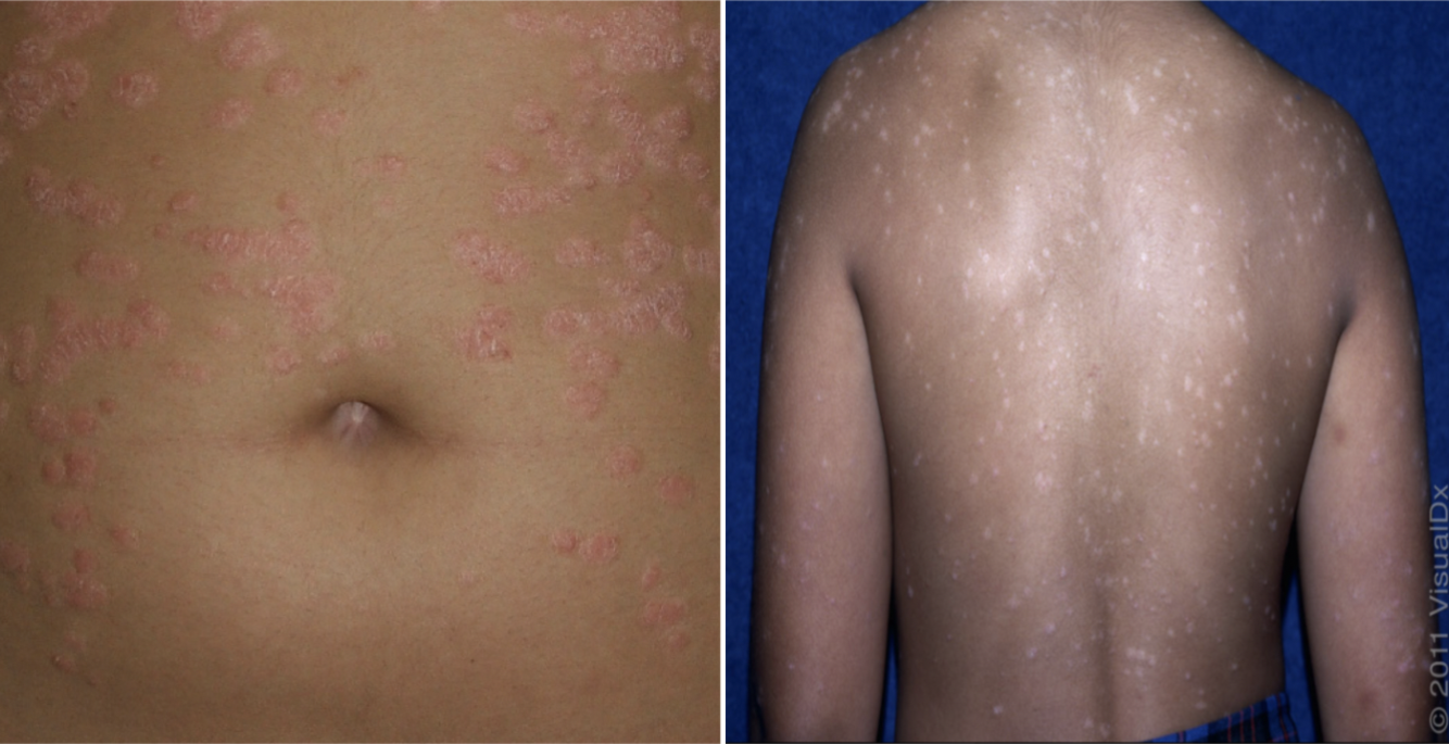
what form of psoriasis is the acute onset of raindrop sized lesions on the trunk and extremities

gluttate psoriasis often preceded by
gluttate psoriasis chance for long term remission after single episode
what type of psoriasis is characterized by corticosteroid withdrawal

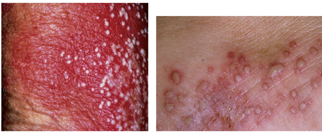
when generalized, pustular psoriasis can be _______
what type of psoriasis is often misdiagnosed as athlete’s foot
what type of psoriasis involves almost the entire skin surface where the skin is bright red

by definition, erythema in erythroderma affects what percent body surface area
> 90%
what type of psoriasis often requires hospital admission to manage complications such as high output heart failure and sepsis
how to distinguish the cause of psoriatic erythroderma
treatment of psoriatic erythroderma
what is auspitz sign
what is koebner phenomenon
what is the most common form of psoriasis
what is the pathogenesis of psoriasis