Name the Causes of ARDS (10)
ARDS
A= Aspiration vs. [Acute Pancreatitis] vs. [Air Fluid Embolus (amniotic)]
R= Radiation
D= Drugs vs. DIC vs. Drowning
S= Sepsis vs. Smoking vs. Shock
ARDS is a restrictive pattern that –> ⬇︎Lung Compliance, Pulm HTN and impaired gas exchange
Tx for ARDS
PEEP (Positive End Expiratory Pressure)
Based on GOLD Criteria, how should COPD pts be treated?


What are the 3 criteria for COPD Exacerbation
COPD
[Cough ⇪ with (Oral-Lung SPUTUM ∆ )]
[Pulmonary WHEEZING BL ➜ respiratory acidosis]
Dyspnea
Tx for COPD Exacerbation-4
“I’m having COPD Exacerbation! Give me DOPA! (but not really)”
Out of the Tx for COPD Exacerbation
Which improves survival?
________________
Which ⬇︎future events?
“I’m having COPD Exacerbation! Give me DOPA! (but not really)”
[O2 PRN via BiPAP (goal: 90-94% O2 Sat)]
________________
Abx (Azithro-⬇︎future events or Levoflox or Doxy)
Difference between [Dead Space Ventilation] and [Physiological shunting]
________________
Which causes Hypoxemia?
[Dead Space Ventilation] = [Ventilation with no perfusion]
________________
[Physiological shunting] = [Perfusion with no ventilation (think PNA)] ➜ [HYPOXEMIA refractory to supplemental O2]➜ SHUNTING of blood to better ventilated areas
What mediastinal masses are found in the…
A: Anterior mediastinum
B: Middle mediastinum
C: Posterior mediastinum
A: Anterior = Thymoma
B: Middle = Bronchogenic Cyst
C: Posterior = Neurogenic tumors (Meningocele/Lymphomas/Esophageal tumors)

For pts on ventilators, what are the best ventilator setting changes for ⬆︎ oxygenation-2 and why
Most common sx of Pulmonary Embolism-5


Physical Exam: Rales, low Fever, Hemoptysis
(LTOT-Long Term Oxygen Therapy) improves survival in Stage 4 COPD pts
When is LTOT indicated-3
________________
how many hours per day is it used?
________________
used ≥15 hours/day!
In Cor Pulmonale pts, PaO2 LOE 59 or SaO2 LOE 89

Describe the Approach to a PE pt
W
L I H
P P D
N N P
N N i
________________

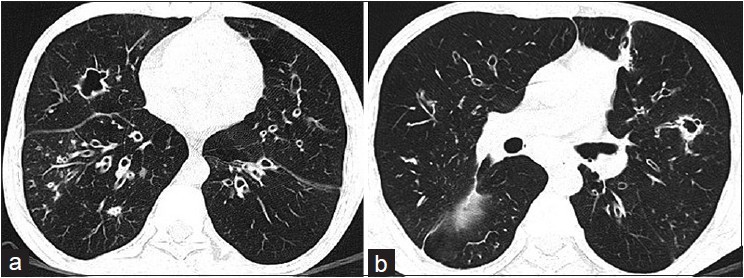
Bronchiectasis Etx

Recurrent
[Poor mucociliary clearance] –> Bacterial infection –> Inflammation –> Bronchial Dilation and thickening–> [tenacious productive cough w/ hemopytsis]
________________
Dx = High Res CT Chest

Gold standard dx for Bronchiectasis

High Res CT chest scan (initial dx)

List the Obstructive causes of Bronchiectasis (2)
A:
1) Tumor
2) Foreign Body

List the Infectious causes of Bronchiectasis (2)
1) TB
2) [Aspergillus Fumigatus in ABPA]-Allergic BronchoPulmonary Aspergillosis] –> will be associated with [recurrent transient pulm infiltrates]

List the Congenital causes of Bronchiectasis (3)
1) Immunodeficient Syndromes
2) cystic fibrosis
3) Kartagener (1° Ciliary Dyskinesia)

List the Random causes of Bronchiectasis (3)
1) Rheumatoid Arthritis
2) Lupus
3) Graft

What is the most common cause of Hemoptysis
Bronchitis (usually [acute s/p viral infection] but could be chronic also)
Tx = supportive
Also think about: Bronchiectsis/TB/CA/Trauma/PE
Describe Bronchial Breath Sounds-2
[Loud-LONG EXPIRATION]
+
[Loud-short inspiration]
What does Bronchial breath sounds indicate?
________________
Where in the body are Bronchial bs normal?
Pulmonary Consolidation (alveoli are full of blood/pus/water–> SHUNT)

________________
OVER THE TRACHEA
Name Drugs that cause Asthma exacerbation and why-4
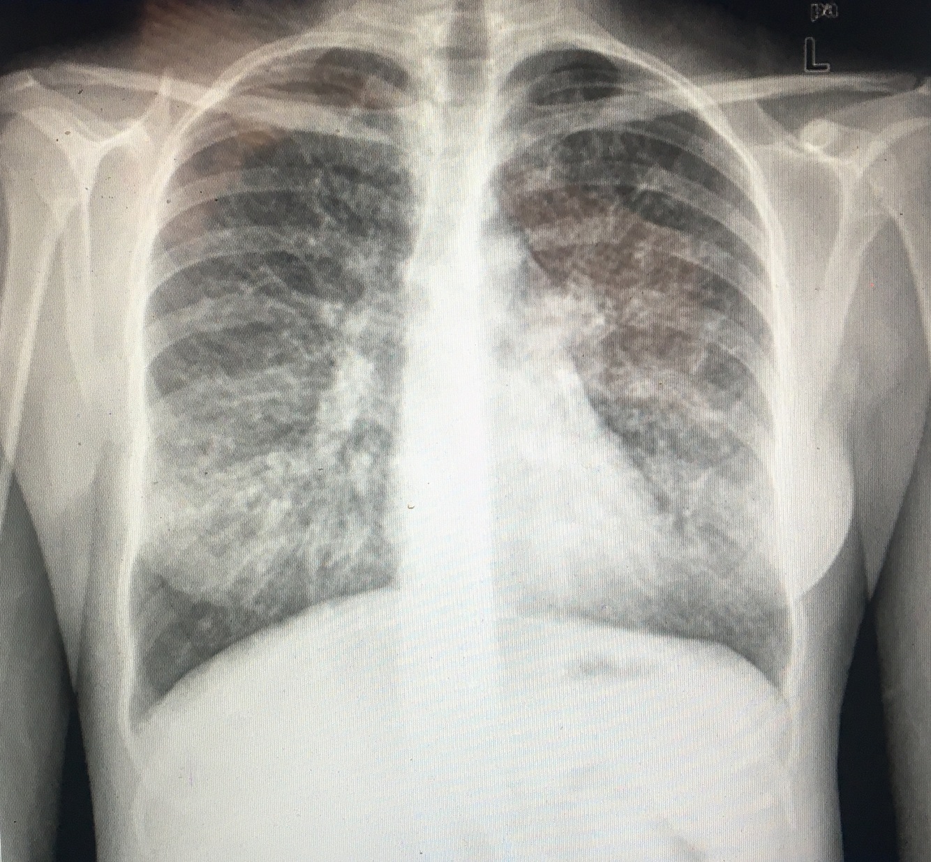
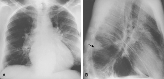
What’s the most significant finding in this CXR and what does it indicate?

Westermark Sign! = Pulmonary Embolus!

Formula for Alveolar-arterial oxygen gradient
