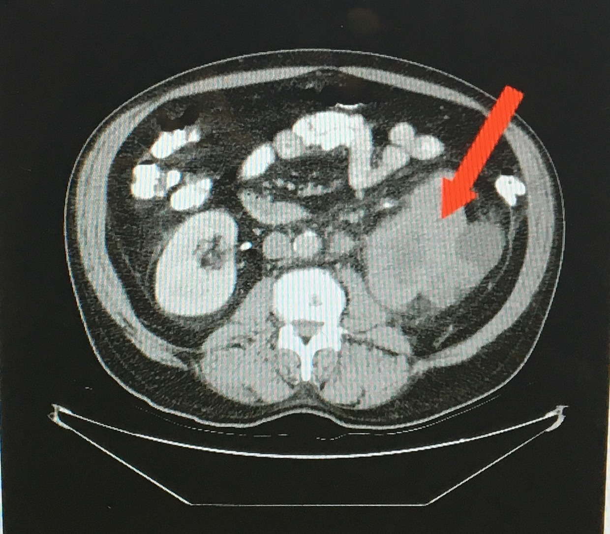
Classic Presentation for [Renal Cell Carcinoma] (4)
RCC looks like HAWF!
[Hematuria PAINLESS (most common)] / [Abd palpable Mass] / [Wt loss] / [Flank Pain]
Scrotal varicoceles are in 10% of pts
L RCC in image

Normal range for PCO2
33 - 44 (40 = standard)
List the indications for HemoDialysis - 5
AEIOU
Acidosis (HCO3 <10, pH<7.1)
Electrolytes (⇪K>6.5 / Mg / P) or (⬇︎ Ca+)
Intoxication (Alcohols/ASA/Lithium/Anticonvulsants)
Overloaded BADLY with Fluid
Uremia (⇪ NH3-BUN)
etx for Sundowning
________________
Tx?
[Alzheimers vs. EtOH withdrawal vs. Delirium] –> Circadian Rhythm dysfunction –> [⬆︎confusion & agitation at Sundown]
________________
Tx = Melatonin
It takes Lungs minutes to compensate for acidosis/alkalosis
How long does it take Kidneys to compensate for respiratory acid-base
2 days
What are the 2 main electrolyte SE of Furosemide?
________________
how do they affect the heart?
High doses of Loop diuretics also cause reversible or permanent hearing loss and/or tinnitus
ADPKD - [Autosomal Dominant Polycystic Kidney Dz]
Describe the Disease - 7

ADPKD
Aneurysm (Berry)
Doomed [HTN and MVP]
[PrOteinuria AND Hematuria]
Kidney Failure (Early vs. Late onset) - Hepatomegaly occurs if cystic involvement
Differentation problem = Etx
Image: Renal Ultrasound which = Dx

BUN Normal range
7- 18
How does Ethylene Glycol affect Kidneys?
EG is converted into oxalate by liver –> binds to Ca+ = retangular envelope shaped Ca+Oxalate crystals –> Tubular damage

Fomepizole
MOA
________________
indication
Inhibits [Hepatic Alcohol Dehydrogenase] from converting Ethylene Glycol ➜ oxalate
________________
[Ethylene Glycol] poisoning
Name 4 classes of drugs to cause Fever
Hepatorenal syndrome Etx
Portal HTN from liver failure –> MASSIVE Splenic ARTERIAL Vasodilation –> ⬇︎BP –> PreRenal AKI that’s NOT RESPONSIVE TO IVF
Type 1 = Rapid / Type 2 = slow
General beta blockers (propranolol) are used to treat what complication of cirrhosis?
⬇︎ GastroEsophageal variceal bleeding
List Causes of Anion Gap Metabolic Acidosis-9

List Causes of NORMAL-Anion Gap Metabolic Acidosis (NAHA)-7

Urine Osmolarity values in
Pre renal failure
________________
Intrinsic renal failure
>350
________________
=300
________________

Urine Specific Gravity values in
Pre renal failure
________________
Intrinsic renal failure
> 1.020
________________
= 1.010
________________

FeNa values in
Pre renal failure
________________
Intrinsic renal failure
<1
________________
>2
________________

BUN/Cr Ratio values in
Pre
Intrinsic
Post Renal Failure
>20
________________
10-20
________________
10-20

UNa values in
Pre renal failure
Intrinsic renal failure
<20
________________
>30
________________

In a pt w/hematuria, what also in the urine would indicate Glomerular etx specifically?
Protein (On Urine Dipstick)
How is Uremia associated w/GI px?
Uremia can –> Glanzmann Thromboasthenia (dysfunction of Platelet 2b3a Fibrinogen binding R) –> Bleeding! GI px and ASA avoidance is necessary to prevent GI bleeds
Dx = ⬆︎Bleeding Time // Tx = DDaVP (⬆︎release of vWF)

List Risk Factors for Contrast induced nephropathy
________________
What are the 2 most important?
Ctx: SCr > 1.5 or GFR <60

How do you address Contrast induced neprhopathy At-Risk pts, who needs contrast imaging?-4
