QOTD Flashcards

(34 cards)

1
Q

A 34-year-old man is seen in the office for consultation one day after spontaneous rupture of the tympanic membrane. While camping two days ago, he developed acute otitis media of the right ear. Yesterday, he had spontaneous relief of ear pain along with some bloody purulent discharge from the right ear canal. He has no subjective loss of hearing. Physical examination of the ear shows residual dried blood in the auditory canal, and a clot overlying a small perforation site in the pars tensa of the tympanic membrane. Which of the following is the most appropriate advice to give this patient regarding his condition?

A. Arrange for transportation to the emergency department for urgent evaluation
B. Daily insertion of an ear wick soaked with aminoglycoside otic solution for one week
C. Irrigate the ear canal daily in a shower to remove residual debris
D. Keep the ear canal dry to allow the perforation to heal spontaneously
E. Schedule an appointment with an otolaryngologist for tympanostomy tube placement

A
How well did you know this?
1
Not at all
2
3
4
5
Perfectly
2
Q

A 32-year-old man with diabetes comes to the emergency department with two days of intense, deep ear pain and a purulent drainage from the left ear. Physical examination reveals an erythematous and edematous canal which contains some debris and granulation tissue. The tympanic membrane is barely visible but appears intact. The surrounding external ear is also indurated and erythematous. The patient has a fever of 102.1F. Which of the following is the next best step in the care of this patient?

A. Prescribe ciprofloxacin/dexamethasone ear drops, and counsel patient to keep the ear canal dry for at least a week
B. Prescribe oral amoxicillin, and schedule a follow up visit for two weeks to make sure infection has cleared
C. Refer the patient to an otolaryngologist in one week
D. Admit the patient to the hospital for intravenous antibiotics
E. Admit the patient for hyperbaric oxygen therapy

A

D) Admit the patient to the hospital for intravenous antibiotics

A. Prescribe ciprofloxacin/dexamethasone ear drops, and counsel patient to keep the ear canal dry for at least a week

While this regimen is an appropriate treatment for acute otitis externa, this patient is at an increased risk for malignant necrotizing otitis externa due to his history of diabetes and presence of fever.

B. Prescribe oral amoxicillin, and schedule a follow up visit for two weeks to make sure infection has cleared

This is an appropriate treatment for acute otitis media. Otitis media is characterized by a painful ear, fever, and hearing impairment. On physical examination, a bulging, erythematous tympanic membrane will be present, with reduced mobility. Otorrhea is usually only present if the tympanic membrane has ruptured.

C. Refer the patient to an otolaryngologist in one week

This patient should be seen by an ENT for further studies and management, but this should not precede the initiation of treatment. In cases which are refractory to medical treatment, surgical debridement of the bone by an ENT may be indicated.

D. Admit the patient to the hospital for intravenous antibiotics

In diabetic or immunocompromised patients, the risk of malignant otitis externa (osteomyelitis of the skull base) is high, and treatment should begin immediately with IV anti-pseudomonal antibiotics. Ciprofloxacin is the first-line antibiotic. A CT may also be done to evaluate for bone erosion.

E. Admit the patient for hyperbaric oxygen therapy

Hyperbaric oxygen therapy can be used as an adjunct in the treatment of malignant otitis externa, though studies have been conflicting in determining benefit.

How well did you know this?
1
Not at all
2
3
4
5
Perfectly
3
Q

A 2-year-old boy is brought to the office by his mother because she has noticed that the vision in his left eye has progressively deteriorated over the past month. Physical examination of the eye shows a white pupillary reflex in response to light. Funduscopic examination shows a white mass projecting from the retina. Which of the following is the most likely diagnosis?

A. Congenital cataract
B. Macular degeneration
C. Ocular melanoma
D. Retinitis pigmentosa
E. Retinoblastoma

A

E. Retinoblastoma

Retinoblastoma is the most common primary malignant intraocular tumor in children. It originates from the retina, and can be unilateral or bilateral. It most commonly occurs in children less than 5 years of age. Whitening of the red reflex is the most common presentation for retinoblastoma.

How well did you know this?
1
Not at all
2
3
4
5
Perfectly
4
Q

A 54-year-old man comes to the emergency department because he recently had sudden onset of black and gray specks floating in his left eye along with what he describes as a curtain being pulled over his peripheral vision.On slit-lamp examination, the retina appears to be separated from the normal structure of the eye.This patient is at increased risk for which of the following complications the longer this condition goes untreated?

A. Anterior uveitis
B. Cataracts
C. Corneal abrasion
D. Nearsightedness
E. Permanent vision loss

A

E. Permanent vision loss
(Pt has retinal detachment)

How well did you know this?
1
Not at all
2
3
4
5
Perfectly
5
Q

Which of the following physical examination characteristics best differentiates oral candidiasis from oral leukoplakia?

A. Ability to scrape off patch
B. Color of patch
C. Induration of patch
D. Location of patch
E. Particular shade or hue of white

A

A. Ability to scrape off patch

How well did you know this?
1
Not at all
2
3
4
5
Perfectly
6
Q

A 46-year-old woman is seen in the office for evaluation of numbness and tingling in her legs, and decreased taste sensation in her mouth for the past month. She denies urinary or fecal incontinence. She has a past medical history of epilepsy, for which she takes phenytoin. She adheres to a strict vegan diet. Her last normal menstrual period was three weeks ago. Her periods are regular, and generally last six days. Temperature is 37.0°C (98.6° F), pulse rate is 74/min, and blood pressure is 112/76 mmHg. Physical examination shows a smooth, beefy red tongue. Neurologic examination shows absence of ankle reflexes bilaterally, presence of Babinski reflex, and positive Rhomberg test. The remainder of the examination shows no abnormalities. Finger stick blood analysis of hemoglobin was 9.0 g/dL.

Which of the following best explains the cause of her anemia?
a) Alcoholism
b) Lead toxicity
c) Menorrhagia
d) Phenytoin use
e) Vegan diet

A

e) Vegan diet
This patient has macrocytic anemia from B12 deficiency. Vitamin B12 is often lacking in vegan diets since the primary sources of the vitamin are dairy, fish and meat. Neurologic symptoms including paresthesias, numbness, and loss of vibration and position sense can occur. In severe cases dementia and psychosis may occur. Atrophy of the tongue mucosa results in a loss of taste sense.

How well did you know this?
1
Not at all
2
3
4
5
Perfectly
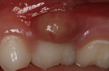
7
Q

An 8-year-old girl is brought to the emergency department by her parents because of continuous, gnawing dental pain for the past week. Her mother reports that the pain is worse when she eats something cold, or if she touches the tooth. On physical examination you see the attached image, with exquisite tenderness when you tap the associated tooth with a tongue blade. What is the next best step in the management of this patient?

A. Order CT face and admit for cancer workup
B. Discharge home with clinic follow up for biopsy
C. Order antibiotics and dental consultation
D. Admit with orders for a soft diet and monitor over the next 24-48 hours
E. Discharge home with a prescription strength pain reliever

A

C. Order antibiotics and dental consultation

This is the correct course of action if a dental abscess is suspected. Untreated abscesses could lead to local cellulitis or Ludwig angina (an infection of the submandibular space). Infections usually involve anaerobes. Pediatric dental abscesses may need to be admitted for procedural sedation for incision/drainage of the abscess or may be taken care of in an appropriate dental office.

How well did you know this?
1
Not at all
2
3
4
5
Perfectly
8
Q

A 5 y/o boy is brought to the office by his mother because she has noticed a persistent lump in his neck for the past month. PE shows a midline 2 cm rubbery mass located just inferior to the hyoid bone. When he is asked to swallow or protrude his tongue, the mass transiently moves upward.

Which is the most likely diagnosis?
A. Branchial cleft cyst
B. Goiter
C. Normal contents of the carotid sheath
D. Submental lymph node
E. Thyroglossal duct cyst

A

E. Thyroglossal duct cyst

Thyroglossal duct cysts are the most common congenital neck cyst. They are typically located in the midline (~70% are located within 2 cm of the midline), and are the most common midline neck mass in young patients. Thyroglossal duct cysts typically present during childhood (90% before the age of 10), or remain asymptomatic until they become infected. They account for 70% of all congenital neck anomalies, and are the second most common benign neck mass, after lymphadenopathy. Presentation is typically either as a painless rounded midline anterior neck swelling or, if infected, as a red warm painful lump. It may move with swallowing, and classically elevates on tongue protrusion. Thyroglossal duct cysts are epithelial lined cysts that form from failure of normal developmental obliteration of the thyroglossal duct during development (8th-10th gestational week), and can thus occur anywhere along the course of the duct.

How well did you know this?
1
Not at all
2
3
4
5
Perfectly
9
Q

What is the most common cause of viral conjunctivitis?

A. Coronavirus
B. Influenza virus
C. Adenovirus
D. Parainfluenza virus
E. Human herpes virus

A

C. Adenovirus

How well did you know this?
1
Not at all
2
3
4
5
Perfectly
10
Q

A 35-year-old man began drug therapy with isoniazid one month ago for treatment of latent tuberculosis. Which of the following laboratory studies is the most important to obtain in monitoring this patient for black box warning adverse effects of this medication?

A. Blood urea nitrogen
B. Complete blood count
C. Creatinine
D. Liver function tests
E. Sodium

A

D. Liver function tests

Severe and sometimes fatal hepatitis associated with isoniazid therapy has been reported and may occur or may develop even after many months of treatment. The risk of developing hepatitis is age related. The risk of hepatitis is increased with daily consumption of alcohol. Therefore, patients given isoniazid should be carefully monitored and interviewed at monthly intervals. For persons 35 and older, in addition to monthly symptom reviews, hepatic enzymes (specifically, AST and ALT [formerly SGOT and SGPT, respectively]) should be measured prior to starting isoniazid therapy and periodically throughout treatment. Isoniazid-associated hepatitis usually occurs during the first three months of treatment.

How well did you know this?
1
Not at all
2
3
4
5
Perfectly
11
Q

Which of the following types of anemia has hypochromic, microcytic red blood cells, and low plasma ferritin levels?

A. Anemia of chronic disease
B. Aplastic anemia
C. Hemolytic anemia
D. Iron deficiency anemia
E. Megaloblastic anemia

A

D. Iron deficiency anemia

Iron deficiency anemia is a hypochromic, microcytic anemia with low plasma ferritin levels.

How well did you know this?
1
Not at all
2
3
4
5
Perfectly
12
Q

A 23-year-old woman with a history of anxiety and depression comes to your office because of an itchy rash on her abdomen that she has had for years. Physical examination reveals various lichenified plaques spread over the abdomen and onto the flanks. There is some evidence of excoriation, but no telangiectasias or signs of infection are present. Which of the following is the most likely diagnosis?

A. Actinic keratosis
B. Lichen planus
C. Lichen simplex chronicus
D. Pityriasis rosea
E. Psoriasis

A

C. Lichen simplex chronicus

Lichenified plaques due to chronic, excessive scratching, especially in someone with psychological factors, leads to lichen simplex chronicus. Thickened plaques are typically present with excoriations. The rash only occurs on areas that can be reached by the patient. Treatment involves cessation of scratching and topical corticosteroids.

How well did you know this?
1
Not at all
2
3
4
5
Perfectly
13
Q

Which of the following signs or symptoms would you expect to find at the bite site of a patient infected with rabies?

A. Purulent discharge
B. Paresthesias and fasciculations
C. Epithelial necrosis
D. Cellulitis and abscess formation
E. Rabies is not associated with signs or symptoms at the bite site

A
How well did you know this?
1
Not at all
2
3
4
5
Perfectly
14
Q

Stevens-Johnson syndrome is most commonly linked to exposure of which of the following medications?

Levofloxacin
Glucophage
Phenytoin
Amiodarone
Acetaminophen

A

Phenytoin

How well did you know this?
1
Not at all
2
3
4
5
Perfectly
15
Q

A 66-year-old woman, diagnosed with primary biliary cirrhosis two years ago, is being evaluated in the office for vitamin K deficiency because of fat malabsorption. An abnormality in which of the following studies is most likely to indicate significant vitamin K deficiency in this patient?

A. C-reactive protein
B. Erythrocyte sedimentation rate
C. Ferritin
D. Prothrombin time
E. Red blood cell distribution width

A

D. Prothrombin time

How well did you know this?
1
Not at all
2
3
4
5
Perfectly
16
Q

A 4-year-old Somali-American boy is brought to the pediatrician’s office by his parents following three days of fever, loss of appetite and malaise. A non-productive cough began this morning. His parents state that other children in their apartment building also have similar symptoms. Temperature is 40°C (104°F). On physical examination the patient appears fatigued. Tympanic membranes are grey, translucent, and mobile with air insufflation. The sclera are injected bilaterally and there is redness, swelling and warmth of the eyelid margins. Nasal drainage is present. Lungs are clear to auscultation, and the abdomen is soft and non-tender. Which of the following additional physical examination findings is most likely to be present?

A. Bright red rash on bilateral cheeks
B. Fine papular rash on chest and abdomen
C. Swelling of the parotid glands
D. Vesicular eruption on the mouth, hands and feet
E. White specks on the buccal mucosa

A

E. White specks on the buccal mucosa

Koplik spots, white or bluish-gray specks on a red base seen on the buccal mucosa, are pathognomonic for measles (rubeola). They are also described as looking “like a grain of salt.” Measles is caused by a virus from the paramyxovirus family. The classic maculopapular rash seen in measles occurs 1-2 days following the emergence of Koplik spots. The classic triad of cough, coryza, and conjunctivitis is also seen with measles. Inflammation of the eyelid margin in cases of measles is known as the Stimson line. The United States has experienced pockets of outbreaks in recent years in communities with low vaccination rates. While the diagnosis of measles can be made on the basis of the clinical picture, laboratory diagnosis via reverse-transcriptase polymerase chain reaction and IgM or IgG titers are necessary for outbreak control.

17
Q

What is the most common cause of pneumonia in elderly pts (>65 y/o)?

A

Influenza virus

18
Q

Which of the following is the earliest EKG change seen in hyperkalemia?
A. U wave
B. QRS widening
C. Sine-wave pattern
D. Peaked T waves
E. Loss of P wave

A

D. Peaked T waves

19
Q

A nurse frantically calls you because one of your patients lost consciousness with the following rhythm on the cardiac monitor. As you are speaking with her, the patient becomes pulseless with the same rhythm. Which of the following is the initial treatment of choice in this patient?

A. Magnesium sulfate
B. Implantable defibrillator
C. Defibrillation
D. Amiodarone
E. Metoprolol

A

C. Defibrillation

This cardiac monitor demonstrates torsades de pointes. In unstable patients, the first step in management is nonsynchronized defibrillation. In stable patients, one may try magnesium sulfate. Overall, the underlying cause of torsades de pointes needs to be identified and addressed (eg hypokalemia, drug-induced). Prolonged QT interval is a risk factor and contributory to the underlying electrophysiologic mechanism.

20
Q

Which of the following is the most common type of thyroid cancer?

A. Anaplastic
B. Follicular
C. Lymphoma
D. Medullary
E. Papillary

A

E. Papillary

Papillary thyroid carcinoma is the most common form of well-differentiated thyroid cancer, and the most common form of thyroid cancer to result from exposure to radiation. Papillary carcinoma appears as an irregular solid or cystic mass or nodule in a normal thyroid parenchyma. Despite its well-differentiated characteristics, papillary carcinoma may be overtly or minimally invasive. These tumors have a propensity to invade lymphatics, but are less likely to invade blood vessels. Life expectancy of patients with this cancer is related to their age. The prognosis is better for younger patients than for patients who are older than 45 years. Fine-needle aspiration biopsy is considered the best first-line diagnostic procedure for a thyroid nodule. Surgery is the definitive management of papillary thyroid cancer. Approximately 4-6 weeks after surgical thyroid removal, patients may have radioiodine therapy to detect and destroy any metastasis and residual tissue in the thyroid.

21
Q

An indirect hernia is most likely to pass through which of the following structures?

A. Femoral canal
B. Hesselbach triangle
C. Inguinal canal
D. Obturator foramen
E. Spigelian fascia

A

C. Inguinal canal

Indirect inguinal hernias arise lateral and superior to the course of the inferior epigastric vessels (lateral to Hesselbach triangle), and then protrude through the deep (internal) inguinal ring into the inguinal canal. It passes inferomedial to emerge via the superficial ring and, if large enough, extends into the scrotum.

22
Q

A 54-year-old man is being evaluated in the hospital after being admitted from the emergency department with a diagnosis of encephalitis. Which of the following is the most likely etiologic agent of this patient’s condition?

A. Herpes simplex virus
B. Measles virus
C. Mumps virus
D. Rabies virus
E. Tuberculosis

A

A. Herpes simplex virus

Herpes simplex virus (HSV), varicella-zoster virus (VZV), and enterovirus are three of the most commonly identified etiologic agents in acute encephalitis. These should be routinely screened for in the cerebrospinal fluid.

23
Q

An infant who sits with only minimal support, who attempts to attain a toy beyond reach, and who can roll from supine to prone, but does not display a pincer grasp, is at which of the following developmental levels?

A. 2 Months
B. 4 Months
C. 6 Months
D. 9 Months
E. 12 Months

24
Q

During the acute hemolysis of red blood cells, which one of the following sets of serum findings would be most supportive?

A. Elevated haptoglobin and creatinine; metabolic alkalosis
B. Elevated potassium and LDH; reduced haptoglobin
C. Reduced potassium; elevated haptoglobin and LDH
D. Reduced haptoglobin, potassium and LDH
E. Reduced haptoglobin; elevated sodium and chloride

A

B. Elevated potassium and LDH; reduced haptoglobin

During acute hemolytic states – the serum potassium and LDH levels are classically elevated; serum haptoglobin levels are reduced

25
A college student wants to be listed on the Dean’s Honor Roll. After failing an exam, she explains the failure by saying “Because I have to work to pay my tuition, I am behind in my coursework and that is the reason this happened. This course isn’t really that important to me any way.” Subconsciously she really hates the course. Which of the following is this patient displaying? A. Rationalization B. Identification C. Regression D. Sublimation E. Schizophrenia
A. Rationalization
26
A 17-year-old male is brought to the emergency department because of acute onset of right eye pain, decreased vision from the right eye, and mucopurulent discharge. While eliciting the history you discover that he began wearing contact lenses a few months earlier and doesn’t remember the last time he removed and cleaned them. When examining the eye with fluorescein you note uptake in a dendritic pattern around the cornea. Which of the following is the most likely diagnosis? A. Corneal abrasion B. Ocular foreign body C. Episcleritis D. Keratitis due to herpes simplex virus E. Uveitis
D. Keratitis due to herpes simplex virus Herpes keratitis is often due to contact lens abuse and classically is seen by fluorescein uptake in a dendritic pattern. This can be a very serious infection, and ophthalmology should be consulted immediately.
27
A 32-year-old woman who is at 30 weeks' gestation comes to the emergency department because she has had right-sided chest pain and difficulty breathing for the past week. She says that the pain is worse when taking a deep breath. Pulse rate is 122/min, respirations are 26/min, and blood pressure is 120/74 mmHg. Oxygen saturation is 92% on room air. On physical examination, edema of the left lower leg is noted. Laboratory studies show a D-dimer level of 3282 ng/mL (normal <250 ng/mL). Electrocardiography and chest x-ray studies are ordered. While discussing the next steps with the patient, she expresses concern about doing any further imaging because of exposure to radiation. Which of the following is the most appropriate next step in management? A. Recommend a CT scan of the chest, and discuss the risks of radiation and reaction to intravenous contrast B. Recommend avoiding any more imaging at this time, and repeat the D-dimer assay in 24 hours C. Recommend that a ventilation-perfusion lung scan is the test of choice due to lower radiation to the fetus D. Recommend that the patient start Warfarin (coumadin) at this time. E. Recommend that the patient undergo a repeat chest x-ray study in 24 hours, as this minimizes the amount of radiation to the fetus
A. Recommend a CT scan of the chest, and discuss the risks of radiation and reaction to intravenous contrast Venous thromboembolism is the leading cause of maternal mortality in the United States. This patient is presenting with signs and symptoms of pulmonary embolism (PE) and deep vein thrombosis. There are not enough high-quality studies relating to the management of VTE in pregnancy. However, According to the American Academy of Family Physicians practice guidelines, a spiral CT scan is the imaging modality of choice to evaluate for PE, and radiation exposure to the fetus is less than with a V/Q scan.
28
A 5-year-old girl is brought to the office by her parents because she has been limping due to decreased range of motion in her right knee for the past seven weeks. There was no provoking injury, and she has not had any recent illnesses. When asked about pain, the patient says that it “kind of hurts.” Medical history includes no chronic disease conditions, and immunizations are up-to-date. She has consistently been in the 40th percentile for body mass index on the growth curve. Vital signs are within normal limits. Physical examination shows edema of the right knee and decreased active and passive flexion and extension. The knee is not red or hot. A limping gait is noted with favoring of the left leg. The remainder of the examination shows no abnormalities. An MRI shows synovial thickening, joint effusion, and bone marrow edema. Which of the following laboratory studies is most likely to be abnormal in this patient? A. Antinuclear antibody test B. Complete blood cell count C. Measurement of C-reactive protein level D. Measurement of lactate dehydrogenase level E. Rheumatoid factor assay
A. Antinuclear antibody test Most children with oligoarthritis type juvenile idiopathic arthritis (JIA) present with onset before age 6, a female predominance, and a positive antinuclear antibody test 70 to 80% of patients.
29
A 53-year-old female presents to the emergency department with fever, abdominal discomfort, and diarrhea for two days. She has a history of tension-type headaches and depression. She doesn’t think she ate anything that could have made her sick. Along with the loose stools she has noticed some worsening dyspnea. Vitals are temperature 102.8ºF, pulse 124, respiratory rate 24, and pulse oximetry 97% (room air). Physical exam findings include scattered crackles in the bibasilar region and mild abdominal tenderness. Laboratory results reveal a leukocytosis of 17,000 and serum sodium of 128 me/L. Chest x-ray reveals bibasilar patchy alveolar infiltrates. What is the most likely etiology of this presentation? A. Streptococcus pneumoniae B. Legionella pneumophila C. Chlamydophila pneumoniae D. Mycoplasma pneumoniae E. Haemophiles influenzae
B. Legionella pneumophila Legionaire’s disease more commonly presents with non-pulmonic manifestations than other common pneumonia etiologies. The diarrhea, abdominal pain, & hyponatremia are characteristic. Streptococcus & Haemophilus are more likely to have typical pneumonia presentations. Mycoplasma & Chlamydiophila tend to have an atypical pneumonia presentation. Mycoplasma is also more common in pediatric populations.
30
A 43-year-old woman, gravida 3 para 3, comes to the office because of worsening dysmenorrhea and menorrhagia for the past 6 months. She states that she has always had heavier than normal periods, often passes clots, and has painful menstruation. Height is 5 ft 8 in, and weight is 222 lb. Body mass index is 33.8 kg/m². Temperature is 36.8°C (98.3°F), pulse rate is 72/min, respirations are 18/min, and blood pressure is 126/76 mmHg. Oxygen saturation is 100%. Pelvic examination shows a slightly soft, symmetrically enlarged uterus that is tender to palpation. A serum pregnancy test is negative. Which of the following is the most likely diagnosis? A. Adenomyosis B. Endocervical polyp C. Endometrial carcinoma D. Leiomyoma E. Nabothian cyst
A. Adenomyosis Adenomyosis is a condition of uncertain etiology in which ectopic endometrial tissue develops within the myometrium. Adenomyosis is usually diagnosed in multiparous women between the ages of 40-50 years. The majority of women have menorrhagia and dysmenorrhea. Pelvic pain is common with palpation and the uterus is typically symmetrically enlarged and soft or "boggy".
31
Which of the following accurately describes amaurosis fugax? A. A transient monocular vision loss B. Loss of either the right or left half of both visual fields C. The finding of drusen bodies on fundoscopy D. The physical examination finding of two different pupil sizes E. A permanent monocular vision loss
A. A transient monocular vision loss associated with temporary loss of blood flow to the retina that can be due to temporal arteritis or CVA.
32
A 3-year-old girl is brought to the office by her mother because of facial swelling for the past two days. She was seen one week prior for a viral upper respiratory tract infection which is largely resolved. Rapid strep testing was negative at that time. Temperature is 37.0°C (98.6°F), pulse rate is 100/min, and blood pressure is 92/60 mmHg. On examination, there is bilateral periorbital edema. No rashes are present. Examination of a urine sample shows it to be foamy. Serum albumin is 2.0 g/dL (normal 3.4 to 5.5 g/dL). Which of the following findings on dipstick urinalysis is most likely to be seen in this patient? A. Bilirubinuria B. Hematuria C. Ketonuria D. Low pH E. Proteinuria
E. Proteinuria This patient has suspected nephrotic syndrome. Heavy proteinuria, hypoalbuminemia, edema, and lipiduria are the main characteristics of nephrotic syndrome. There are many causes of nephrotic syndrome, including minimal-change nephropathy (common cause in children), focal glomerulosclerosis, diabetes mellitus, and SLE. Treatment involves a low salt diet, ACE inhibitor or ARB, and loop diuretics.
33
A 47-year-old male construction worker was lifting a 75-lb back of cement when he twisted and injured his back. He presents complaining of lumbar back pain with radiating pain into his right lower extremity. He denies any other trauma. He has never injured his back before. He denies loos of bladder or bowel function. He is noted to have decreased sensation over the heel and lateral border of his right foot. Right lower extremity strength is measured as follows: Quadriceps 5/5, peroneals 3/5; EHL 5/5, Gastrocnemius 4/5. Based on this assessment, which nerve root is most likely involved? L3 L4 L5 S1 S2
S1
34
A 34-year-old woman comes to the clinic because she has had daily headaches for the past three weeks. She says she thought they were simple stress headaches, but over-the-counter medication such as ibuprofen has not provided relief. The headaches are worse in the morning and can worsen when she bears down to have a bowel movement. She also has had ringing in her ears which seems to beat with her pulse. During the headaches, she loses her vision for a few seconds at times and also sees some flashes of light. Temperature is 37.1°C (98.8°F), pulse rate is 80/min, respirations are 16/min, and blood pressure is 128/87 mmHg. Oxygen saturation is 98% on room air. The result of a funduscopic examination of the left eye is shown. A palsy of which of the following cranial nerves is most likely? A. III B. IV C. V D. VI E. VII
D. VI This patient has pseudotumor cerebri which is also called idiopathic intracranial hypertension. This diagnosis is most common in overweight women of childbearing age. In this disorder, increased intracranial pressures lead to headaches, papilledema, and vision loss. Patients also report pulsatile tinnitus. Commonly, patients will present with a palsy of the abducens nerve (cranial nerve VI) which causes the affected eye to turn medially and to lose its ability to abduct. Patients can also present with horizontal diplopia. The diagnosis is made clinically along with an MRI and lumbar puncture. Other causes of increased intracranial pressure must be ruled out. A lumbar puncture can be therapeutic as well as diagnostic. Patients will also need an ophthalmologic evaluation. Treatment also includes a low-sodium diet and therapy with acetazolamide.