Radio Flashcards

(84 cards)

1
Q

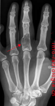
Si on parle du signe du fragment flottant, tu penses à quoi?

A

Kyste essentiel osseux

How well did you know this?
1
Not at all
2
3
4
5
Perfectly
2
Q

Signe radio pour un ostéochondrome?

A

Sessile ou pédoncule (pointe dans le sens inverse de l’articulation)

How well did you know this?
1
Not at all
2
3
4
5
Perfectly
3
Q

Quelle est la lésion lytique la plus commune des mains et des pieds?

A

Enchondrome

How well did you know this?
1
Not at all
2
3
4
5
Perfectly
4
Q

coquille d’oeuf dans la diaphyse, tu penses à quoi?

A

Enchondrome

How well did you know this?
1
Not at all
2
3
4
5
Perfectly
5
Q

Dans la maladie d’Ollier et de Mafucci, il y a quelle type de tumeur?

A

Enchondrome

How well did you know this?
1
Not at all
2
3
4
5
Perfectly
6
Q

tumeur bénigne sur un corps vertébral la plus commune

A

Hémangiome

How well did you know this?
1
Not at all
2
3
4
5
Perfectly
7
Q

Sur radio:

vue de face = roue de charrette/ vue latéral = prison

A

Hémangiome

How well did you know this?
1
Not at all
2
3
4
5
Perfectly
8
Q

Si j’ai un gros patient que je veux radiographier, quelle paramètre dois-je augmenter?

A

Augmenter le mAs

How well did you know this?
1
Not at all
2
3
4
5
Perfectly
9
Q

Qu’est-ce que le signe de cupidon?

A

Variante de la normale qui démontre une surface irrégulière d’une plaque vertébrale inférieure. Surtout à L4-L5.

How well did you know this?
1
Not at all
2
3
4
5
Perfectly
10
Q

Meilleur moyen dx pour anévrisme de l’aorte abdominale?

A

Écho

How well did you know this?
1
Not at all
2
3
4
5
Perfectly
11
Q

Pédicule manquant sur une vertèbre, que regardes-tu?

A

L’autre pédicule. Si contre est sclérosé = congénital, si non, on pense à métastase.

How well did you know this?
1
Not at all
2
3
4
5
Perfectly
12
Q

Qu’arrive-t-il si la ligne de Mc gregor ou de Chamberlain est anormale? La signification?

A

Impression basillaire

How well did you know this?
1
Not at all
2
3
4
5
Perfectly
13
Q

Causes de calcification discale?

A
  • CPPD
  • Goutte
  • SA
How well did you know this?
1
Not at all
2
3
4
5
Perfectly
14
Q

Est-ce que l’ostéome ostéoide est soulagé par l’aspirine?

A

Oui

How well did you know this?
1
Not at all
2
3
4
5
Perfectly
15
Q

Caractéristiques de l’ostéosarcome sur une radio

A
  • Rayon de soleil
  • Souvent fémur distal

Jeunes entre 0-20 ans et ils peuvent faire de la fièvre

How well did you know this?
1
Not at all
2
3
4
5
Perfectly
16
Q

Caractéristiques du sarcome d’Ewing sur une radio

A
  • Os long
  • Diaphyse
  • Lamellé (réaction du périoste)
How well did you know this?
1
Not at all
2
3
4
5
Perfectly
17
Q

Meilleur test dx pour un enchondrome?

A

biopsie

How well did you know this?
1
Not at all
2
3
4
5
Perfectly
18
Q

Roue de charette dans le crâne… Tu penses à?

A

Hémangiome

How well did you know this?
1
Not at all
2
3
4
5
Perfectly
19
Q

Caractéristiques de Paget?

A
  • Épaississement du cortex
  • Épaississement du crâne
  • Fracture pathologique et déformité
How well did you know this?
1
Not at all
2
3
4
5
Perfectly
20
Q

Quel type de tumeur dans un syndrome de Mcune Albright?

A

Dysplasie fibreuse

How well did you know this?
1
Not at all
2
3
4
5
Perfectly
21
Q

Triade de Phémister?

A

Pour la maladie de Pott

  • Ostéopénie juxtapose-articulaire
  • Perte d’espace articulaire
  • Érosion péri-articulaire
How well did you know this?
1
Not at all
2
3
4
5
Perfectly
22
Q

Caractéristique de l’ostéomyélite?

A

Infection = Staph aureus

  • sinus d’évacutation en radio (cloaque)
  • 0-1ans, arthrite de Tom Smith touche ++ hanche
  • fièvre si atteinte axiale
How well did you know this?
1
Not at all
2
3
4
5
Perfectly
23
Q

Si présence de protéines de Bences Jonces, tu penses à ?

A

Myélome multiple

How well did you know this?
1
Not at all
2
3
4
5
Perfectly
24
Q

Maladie de kahler =

A

Myélome multiple

How well did you know this?
1
Not at all
2
3
4
5
Perfectly
25
Présence d'un fragment flottant, tu penses à ?
Kyste essentiel osseux
26
Vertèbre en chandail de Rugby/sandwich?
- Hyperparathyroïdie | - Ostéopétrose
27
Vertèbre en H?
Anémie falciforme
28
Vertèbre en prison?
Hémangiome
29
Vertèbre en ivoire?
- Paget - Métastase - Lymphome
30
Présence de syndesmophytes non-marginaux dans quelle maladie?
DISH
31
Présence de syndesmophytes marginaux dans quelle maladie?
SA
32
Ostéochondrite disséquante sur quel condyle?
Partie latérale du condyle médial du genou
33
Nécrose avasculaire de la tête du métatarse
Maladie de Freiberg
34
Nécrose avasculaire du lunatum
Maladie de Kienbock
35
Qu'est-ce que la fracture de Barton?
Fracture du radius distal avec dislocation radio-carpal
36
Qu'est-ce que la fracture de Greenstick?
Une fracture en bois vert est un type de fracture osseuse fréquent chez l'enfant. C'est une fracture située au niveau de la diaphyse de l'os due à une contrainte en hyperflexion.
37
Fracture de Colles?
Fracture de FOOSH, du radius distal
38
Bennet Fracture :
* Fracture base du 1e métacarpe (pouce) * Cause : ABD forcée
39
Kienbock desease :
* Nécrose avasculaire du lunatum
40
Fracture du Chauffeur
Fracture du processus styloide du radius
41
Fracture de Smith
Fracture du radius distal avec déplacement antérieur du radius
42
Fracture de Colles
Fracture du radius distale avec déplacement postérieur
43
Malgaigne fracture
Fracture unilatérale du rameau pubien avec dislocation bilatérale des articulations sacro-iliaques
44
Ligne de Klein
Suit angle col fémorale = pour épiphysiolyse
45
Ligne de Kohler
* Ligne verticale portion médial bassin et passe portion latérale foramen obturée * Pour : protusion acétabulaire
46
Ligne Skinner
Parrallèle Fovea + suit corps du fémur
47
Clay Shoveler fracture
Fracture avulsion PE cervicale, vue en profil
48
Hangman Fracture
Fracture pédicules C2 = mécanisme en hyper-extension
49
Jefferson fracture
* Fracture de C1 * Fracture arche postérieur * Vue APBO : on voit latéralisation des masses de C1
50
Teardrop fracture
Fracture avulsion partie antérieur corps vertébrale
51
Fracture de chance
* Fx horizontale du corps vertébral * mécanisme : en flexion excessice
52
Rugger Jersey sign
* Hyperparathyroidie * Ostéopétrose
53
Bassin de verre
* Ostéopétrose * Thérapie douce
54
Bassin en verre de champagne
* Rachitisme/Achondroplasie = Rammollissement des os
55
Signe de la phalange de pique
Gigantisme ou Acromégalie
56
Pelligrini Stieda Fracture
Fx avulsion du LCM (genou)
57
Prend radio grosse madame
Augmenter 2x mAs
58
Radio manqué, trop RADIOPAQUE :
trop noire = trop cuite Augmenter le kVp | radiopaque = blanc = sous-exposé donc augmenter mas
59
Joueur de foot (grand et gros) et on veut prendre des radios cervicale, on fait quoi pour avoir un rayon plus pénétrant :
Augmenter kVp
60
Si radio est trop pâle on fait quoi :
Augmente le mAS = pas assez cuite = ++ de noire
61
Ostéopoecilie associée à qu'elle condition
* Hyperparathyroidie * ASYMPTOMATIQUE
62
Lieu de résorption osseuse de hyperathyroidie
Phalanges mains et pied
63
Lieu enchondrome + 2e nom de la condition
* Métaphyses main et pied = grosse lésion lytique * Maladie D'Ollier
64
Triade HME : Heredity multiple exostose
MÉO * Madelung * Épaississement métaphyse * Ostéochondrome
65
Triade de Maladie de Pott
Phemister * Diminution espace discaux * Ostéopénie * Érosion péri-articulaire
66
Triade ostéogénène imparfaite
* Ostéopénie * Sclère bleu * Dentition anormale
67
Pathologie peuvent créer protusion acétabulaire
PROT * Paget * PAR * Ostéomalie ou ostéogénèse imparfaite * Trauma
68
Signe du chapeau inversé de Napoléon
Spondylisthésique ISTMIQUE
69
Calcification TRIADIÉE
Calcul biliaire
70
Triade de Sjorenson associé à quoi
Scheuermann
71
Tache café lait de type : Cote du maine, associée à quoi
Dysplasie fibreuse
72
Cancer avec signe pelure oignon
Sarcome Ewing
73
Signe Fragment flottant associée :
Kyste essentiel osseux
74
Hippocratisme digital, associée à :
Carcinome bronchique
75
Atélactasie
Affaissement du poumon : crée MATITÉ
76
Pneumonie créer matité ou tympanisme
matité = pcq consolidation
77
Lésion quon voit dans la tuberculose
Nodule de Ghon
78
Tumeur maligne primaire associée à l'amiantose
Mésothéliome
79
Fracture de Segond
Lésion du LCL (genou)
80
Fracture de Maisonneuve
Rupture du ligament deltoïde ou une fracture-avulsion horizontale de la malléole interne, associée à une longue fracture oblique de la fibula 
81
Dupuytren fracture
Fracture des deux malléoles (lat et med)
82
Fracture de Chopart
Facture et/ou dislocation calcanéus, cuboide et naviculaire
83
Fractured de Jones
Fracture du styloide du 5e méta
84
Nom du Fragment épiphysaire dans Salter Harris type 2
Thurstan Holland