Rx Flashcards

(82 cards)

1
Q

soft tissue swelling, intra - articular erosion, ulnar deviation of MCP joints

A

RA

How well did you know this?
1
Not at all
2
3
4
5
Perfectly
2
Q

dystrophic calcification in muscle,

A

myositis ossificans

How well did you know this?
1
Not at all
2
3
4
5
Perfectly
3
Q

small femoral epiphisis, later femoral displacement, shallow acetabulum

A

congenital hip dysplasia

How well did you know this?
1
Not at all
2
3
4
5
Perfectly
4
Q

AD>5mm, hypoplastic atlas, agenesis of the dens

A

down syndrom

How well did you know this?
1
Not at all
2
3
4
5
Perfectly
5
Q

numerous intrameduallary lesion in long bones, phlebolith calcifaications

A

enchondromatosis

How well did you know this?
1
Not at all
2
3
4
5
Perfectly
6
Q

generalized osteoporosis, compression fractures, cod fish vertebrae

A

cushings sydrome

How well did you know this?
1
Not at all
2
3
4
5
Perfectly
7
Q

AVN of head of the femur, patchy sclerosis and lucency, crescent sign

A

chandler

causes idiopathiques d’un ostéonécrose selon radiopeapia :(Legg-Calvé-Perthes, Köhler, Chandler)

How well did you know this?
1
Not at all
2
3
4
5
Perfectly
8
Q

solitary oval radiolucent defect; thin cortex, bunch of grapes appearance

A

non-ossifying fibroma

How well did you know this?
1
Not at all
2
3
4
5
Perfectly
9
Q

multiple faceted stones in right upper quadrant, ultrasound, +murphy’s sign

A

cholelithiasis

How well did you know this?
1
Not at all
2
3
4
5
Perfectly
10
Q

hair on end skull, undertubulation of long bones, cod fish vertebae

A

sickel cell disease

How well did you know this?
1
Not at all
2
3
4
5
Perfectly
11
Q

AVN, fragmented irregular sclerosis of the calcaneal apophysis

A

sever

How well did you know this?
1
Not at all
2
3
4
5
Perfectly
12
Q

ossification of the medial knee collateral ligament, traumatic

A

pelligrini - stieda disease

How well did you know this?
1
Not at all
2
3
4
5
Perfectly
13
Q

soft tissue swelling, periosteal elevation, broadies’s abscess, incolucrum

A

osteomyelitis

évidemment- alex
How well did you know this?
1
Not at all
2
3
4
5
Perfectly
14
Q

round or elongated lesion eccentrically located, thins the cortex

A

chondromyxoid fibroma

How well did you know this?
1
Not at all
2
3
4
5
Perfectly
15
Q

apical cavitation; unilateral or bilater hilar lymphadenopathy, tracheal shift

A

TB

How well did you know this?
1
Not at all
2
3
4
5
Perfectly
16
Q

frankls line, pelkens spur and wimbergers ring

A

scurvy

How well did you know this?
1
Not at all
2
3
4
5
Perfectly
17
Q

AVN , sclerosis and fragmentation of the proximal pole of the scaphoid

A

preiser

How well did you know this?
1
Not at all
2
3
4
5
Perfectly
18
Q

soft tissue swelling, periarticular osteoporosis, reducible ulnar deciation

A

SLE

How well did you know this?
1
Not at all
2
3
4
5
Perfectly
19
Q

large sella turcica, arrowhead phalanges, heel pad >23mm

A

Acromegaly

How well did you know this?
1
Not at all
2
3
4
5
Perfectly
20
Q

joint space narrowing, subchondral sclerosis, osteophytes

A

osteoarthitis

How well did you know this?
1
Not at all
2
3
4
5
Perfectly
21
Q

small elevated scapula; omovertevral bone and klippel feil syndrome

A

Sprengels deformity

How well did you know this?
1
Not at all
2
3
4
5
Perfectly
22
Q

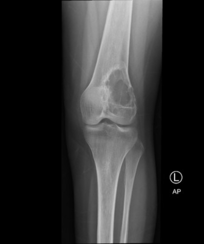
eccentric metaphyseal lesion crosses epiphyseal line, soap bubble

A

GCT

How well did you know this?
1
Not at all
2
3
4
5
Perfectly
23
Q

beak like spurs on radial side of metacarpal heads, joint space narrowing

A

hemachromatosis

How well did you know this?
1
Not at all
2
3
4
5
Perfectly
24
Q

thick traverse radiodense metaphysis bands

A

Lead poisoning

How well did you know this?
1
Not at all
2
3
4
5
Perfectly
25
Shiny corners, dagger sign, bamboo spine, ramanus lesions
AS
26
circumscribed lytic lesion, ground glass, soap bubble, shepherds crook
fibrous dysplasia
27
hair on end skull, undertubulation of long bones, cod fish vertebae
sickel cell disease
28
articular irregularity, wide intercondylar femoral groove, soft tissue swelling
hemophilia
29
cup and pencil deformity of DIP joints, mouse ears, sausage digits
psoriatic arthitis
30
slippage of one vertebra on the other, most common at L5/S1, pars fracture
spndylolisthesis
31
diaphyseal permieative, onion skin appearance with cortical saucerization
ewings sarcoma
32
dense sclerotic well circumscribed lesion rarely \>2cm, in the skull or sinuses
osteoma
33
blocked vertebrae, occipitalization of C1, platybasia, wasp waist sign
Klippel feil sytndrome
34
lucent lesions
osteoid osteoma
35
Linear intra-articular calcification in the knee, elbow, shoulder or waist
CPPD (pseudogout
36
Linear calcifications ant. to L1-L4
Abdominal Aortic Aneurysm
37
soft tissue swelling, periarticular osteoporosis, reducible ulnar deciation
SLE
38
intramedually lystic soap bubble lesion, speckeled calcification in the tibia
chondrosarcoma
39
triangular sclerosis of the lower ilium near sacroiliac joint, bilateral, symmetric
osteitis condensans ilii
40
geographic central expansile lesion with tippled calcification, hand or feet
enchondroma
41
pseudofractures in long bones, decreased bone density, coarsened travecuale
osteomalacia
42
soft tissue swelling, periarticular bone erosion, overhanging margin sing
gout
43
broad based one outrgrowth - cauliflower (mushroom like) or coat hanger look
osteochondroma
44
blastic metaphyseal permeative lesion, codmans triangle, sunburst appearnce
osteosarcoma
45
expansile geographic defect in proximal humerus or femur, fallen fragment sign
simple bone cyst
46
eccentric, lytic lesion in the metaphysis or diaphysis or in the neural arch
osteoblastoma
47
cotton wool skull, mixed blastic/lytic lesions, pelvic bring and candle flame sign
Pagets diesaes
48
general demineralization, thin cortex, few but coarsened trabecuale
osteoporosis
49
ice cream sliding off the cone sign, disrupted Klein's line and shentons lines
SCFE
50
wedged-shaped dense media upper end of tibia, overweight and black kids
blount
51
expansile geographic defect in proximal humerus or femur, fallen fragment sign
simple bone cyst
52
Champagne glass pelvis, splayed cupped metaphysis, small skull base
Achondroplasia
53
eccentric lucent lesion in metaphysis with cortical depression
Chondroma
54
absent clavicles, numerous wormian bones, pear shaped skull
cleidorcranial dysostois
55
AVN, partial fragmentation, sclerosis and collapse of the navicular bone
Kohler
56
ant. surface irregularites of the tibial tuberosity in teens
osgood- Schlatters
57
AVN, medial femoral epicondyle, ankle, hip and elbow, arc like cleft, fragment
osteochondrtis dessicans
58
ivory vertebra, punched out lytic bone lesions, bilateral hilar lympadenopathy
lymphoma in bone
59
soft tissue retraction, calcinosis cutis and acro osteoolysis
scleroderma
60
geographic lesion in medually region, destructive moth eaten appearnce
eosinophilic granuloma
61
metaphyseal fractures at different healing stages, pencil thin cortices
osteogensis imperfecta
62
subluxation of the proximal radio ulnar joint in a child
nursemaids elbow
63
Periarticular calcification around the shoulder joint, may affect hip and spine
HADD
64
small femoral head, mushroom deformity, epiphyseal sclerosis, fragmentsion
legg calve perthes
65
ant. wedging, schmorls nodes, decreased disc height in 3+ vertebrae
scheuermann's
66
totally disorganized joint with destruction, debris and distension
Charcot's joints
67
multiple small rounded radiopacities in the ends of long bones (normal varient)
osteopoikilosis
68
AVN, sclerosis, fragmentation and deformation of the second metatarsal head
freiberg
69
salt and pepper skull, acro osteolysis, bone cysts, rugger jersey spine
hyperparthyroidism
70
punched out lesions, diffuse osteoprosis, raindrop skull, pathological fracture
MM
71
AVN, dense sclerotic lunate bone with partial fragmentation and collapse
Kienbock
72
widened froth plate meaphyseal cupping, paint brush appearance in a child
rickets
73
hallux valgus deformity with marked soft tissue swelling
bunion
74
slippage of one vertebra on the other, most common at L5/S1, pars fracture
spndylolisthesis
75
oval epiphyseal lytic lesion in lower or upper tibia, fluffy cotton wool
chondroblastoma
76
soap bubble metaphyseal lytic lesion, ballooning of cortex
Aneurysmal one cyst
77
78
79
80
81
82