Radio abdo Flashcards

(20 cards)

1
Q
A
How well did you know this?
1
Not at all
2
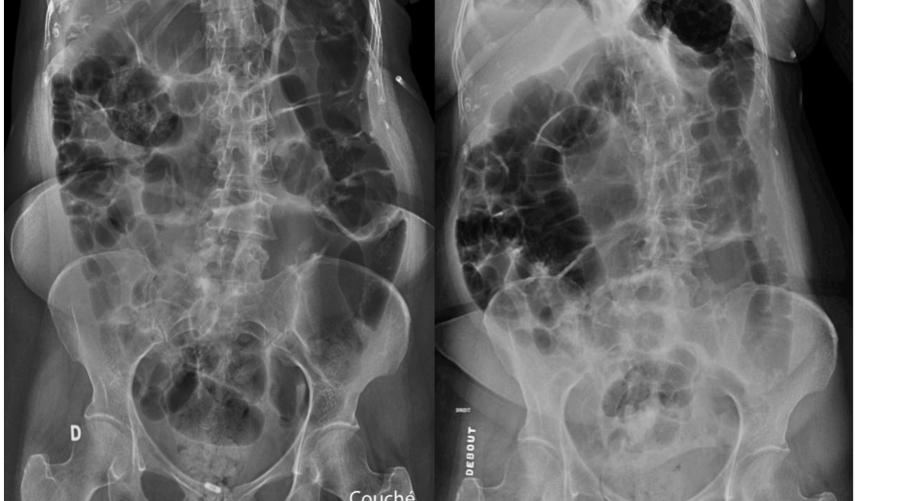
3
4
5
Perfectly
2
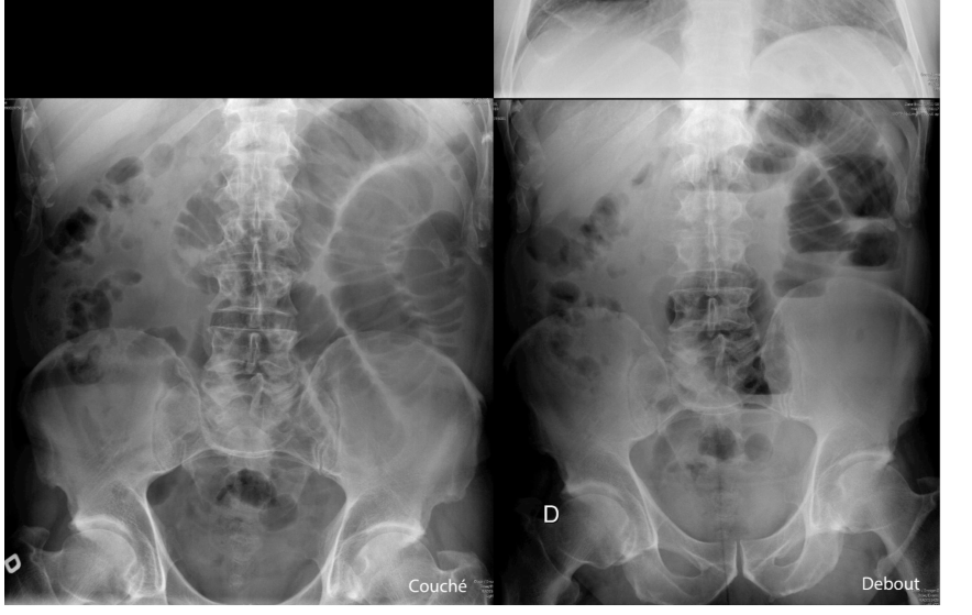
Q

diagnostic?

A

volvulus pck immense

mais pas de grain de café so

volvulus du CAECUM

How well did you know this?
1
Not at all
2
3
4
5
Perfectly
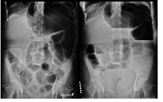
3
Q

si patient pas capable etre debout donne une alternative pour déceler un pneumopéritoine

A

Décubitus latéral

How well did you know this?
1
Not at all
2
3
4
5
Perfectly
4
Q

?

A

calcification,lithiase urinaire

How well did you know this?
1
Not at all
2
3
4
5
Perfectly
5
Q

patho?

A

Pneumopéritoirne

How well did you know this?
1
Not at all
2
3
4
5
Perfectly
6
Q
A
How well did you know this?
1
Not at all
2
3
4
5
Perfectly
7
Q

patho?

A

Illéus paralytique

How well did you know this?
1
Not at all
2
3
4
5
Perfectly
8
Q

donne 3 trucs pour différencier entre obstruction grele ou colon

A
  1. Si replis muqueux traversent toujours la lumière intestinale = GRELE
  2. ColON devrait être en périphérie et Grêle milieu
  3. Si trèsss dilaté enre >7 cm , grêle devrait pas se rendre là
How well did you know this?
1
Not at all
2
3
4
5
Perfectly
9
Q

donne le diagnostic complet

A

Obstruction colique avec valvule illéo caecale incompétente

How well did you know this?
1
Not at all
2
3
4
5
Perfectly
10
Q
A
How well did you know this?
1
Not at all
2
3
4
5
Perfectly
11
Q
A
How well did you know this?
1
Not at all
2
3
4
5
Perfectly
12
Q

patho?

A

attention!!!

PNEUMOPÉRITOINE

ya de la marde en dessous qui represente surement illus paralytique en peritonte

How well did you know this?
1
Not at all
2
3
4
5
Perfectly
13
Q

donne 3 trucs pour reconnaitre

un illéus paralytique

RADIOLOGIQUEMENT

A

1–) importance de la dilatation

très très dilaté –) paralytique fera pas ca

2–)ne voit pas ou très peu de niveux hydro-aérique( MEILLEUR TRUC SI T’ÉTAIS CAPABLE EN VOIR)

3–)Si capable voir air dans le rectum en bonne qté –) surement pas obstruction mécanique

How well did you know this?
1
Not at all
2
3
4
5
Perfectly
14
Q

quels sont les 3 critères pour savoir si il y a obstruction ?

A
  1. Dilaté?
  • grêle > 3 cm
  • >6 cm colon
  • > 9 cm caecum

2- Niveau hydro-aérique

3-Faible aération distale à l’obstruction

How well did you know this?
1
Not at all
2
3
4
5
Perfectly
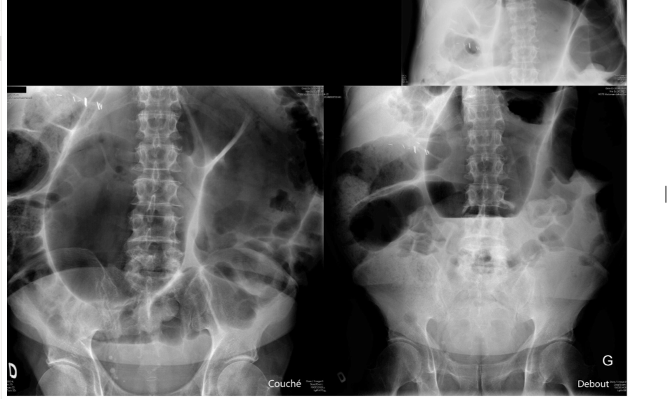
15
Q

patho?

A

obst grêle,

ya meme des clips d’appendicectomie qui fitte avec obst par ADHÉRENCES

How well did you know this?
1
Not at all
2
3
4
5
Perfectly
16
Q

Comment se porte la valvule illéocaecale?

A

COMPÉTEnte wich is bad

mais ouin pck juste colon dilaté

17
Q

pstho?

A

Obstruction du colon

18
Q

.

19
Q

meilleur facon de différencier un illéus paralytique d’une obstruction collique?

A

EXAMEN PHYSIQUE

illéus paralytique—) AUCUN bruit peristaltique

OBSTRUCTION COLLIQUE–) péri augmenté dans les premières heures

20
Q

diagnostic

A

graine de café

VOLVULUS du SIGMOIDE