Renal Flashcards

(121 cards)

1
Q

What is the most likely diagnosis?

A

The patient most likely has acute tubular necrosis (ATN) secondary to renal ischemia as a consequence of shock due to the accident. ATN is the most common cause of acute kidney injury and is a result of direct injury to the renal tubular epithelia.

How well did you know this?
1
Not at all
2
3
4
5
Perfectly
2
Q

What are common causes of Acute Tubular Necrosis?

A

Renal ischemia and nephrotoxins are the two general classes of causes of ATN. Hypotension and other prerenal diseases can cause renal ischemia. Common nephrotoxins include antibiotics (eg, aminoglycosides, amphotericin, foscarnet), radiocontrast, immunosuppressants (eg, cyclosporine, tacrolimus), chemotherapy agents (eg, cisplatin), and myoglobin (eg, in rhabdomyolysis).

How well did you know this?
1
Not at all
2
3
4
5
Perfectly
3
Q

What is the cause of the patient’s azotemia in Acute Tubular Necrosis?

A

ATN involves direct damage to renal tubular epithelial cells (the proximal tubule is particularly vulnerable to ischemic injury because of its high demand for adenosine triphosphate). In addition, the sloughing of intact tubular cells and necrotic cellular debris into the tubular lumen blocks the urinary luminal tract. This leads to a back leak of the filtrate and, consequently, a decrease in the glomerular filtration rate (GFR).

How well did you know this?
1
Not at all
2
3
4
5
Perfectly
4
Q

How do the laboratory findings help distinguish Acute Tubular Necrosis from prerenal disease?

A
How well did you know this?
1
Not at all
2
3
4
5
Perfectly
5
Q

Why is the BUN/creatinine ratio elevated in prerenal disease but not in intrinsic renal disease?

A

most sensitive to hypoperfusion) where volume depletion increases reabsorption of sodium and water in parallel with an increase in BUN.
Creatinine is not reabsorbed in the proximal tubule; hence, when there is volume depletion, there is not a commensurate rise in serum creatinine. Creatinine is freely filtered, and then gets secreted in the tubules.
Thus, in cases of upper gastrointestinal bleeding or other causes of hypoperfusion, BUN is elevated but creatinine is normal.

How well did you know this?
1
Not at all
2
3
4
5
Perfectly
6
Q

What is the natural course of Acute Tubular Necrosis?

A

Within 36 hours of injury, ATN undergoes an initiatory phase, during which time urine output decreases and BUN increases. Within 2–6 days, a maintenance phase begins, where urine output falls dramatically and there is a significant risk of death without treatment. Finally, the recovery phase typically occurs within 2–3 weeks.

How well did you know this?
1
Not at all
2
3
4
5
Perfectly
7
Q

How do the results of a fluid challenge test differ between Acute Tubular Necrosis and prerenal disease?

A

A fluid challenge (the use of intravenous fluids to restore intravascular fluids) usually restores normal renal function in patients with simple prerenal disease (hypoperfused kidneys). However, in patients with ATN, renal dysfunction often persists despite fluid challenge. A fluid challenge is contraindicated in patients with volume overload (eg, heart failure).

How well did you know this?
1
Not at all
2
3
4
5
Perfectly
8
Q

How do the urinary sodium excretion and FeNa values differ between Acute Tubular Necrosis and prerenal disease?

A
How well did you know this?
1
Not at all
2
3
4
5
Perfectly
9
Q

What is the most likely diagnosis?

A

Autosomal dominant polycystic kidney disease (ADPKD). ADPKD has a prevalence of approximately 1:1,000 and is the leading genetic cause of chronic renal failure. It is diagnosed with imaging.

How well did you know this?
1
Not at all
2
3
4
5
Perfectly
10
Q

How is Autosomal dominant polycystic kidney disease (ADPKD) inherited?

A

The disease is inherited in an autosomal dominant fashion. Approximately 85% of cases of ADPKD are due to a mutation in the PKD1 gene on chromosome 16; the remainder of the cases are caused by mutations in PKD2 on chromosome 4.

How well did you know this?
1
Not at all
2
3
4
5
Perfectly
11
Q

What is the presentation of Autosomal dominant polycystic kidney disease (ADPKD)?

A

ADPKD may present at any age but is most frequently diagnosed in the third to fifth decades (although PKD type 2 inheritance has a later onset). Because ADPKD is dominantly inherited, patients may be aware of a family history of the disease. Patients can experience chronic flank pain due to calculi, urinary tract infection, or massively enlarged kidneys. Patients may also present with gross hematuria, and nocturia may be present if renal concentrating ability is impaired. Upon presentation, microscopic hematuria and proteinuria may be found, and hypertension at presentation is common.

How well did you know this?
1
Not at all
2
3
4
5
Perfectly
12
Q

What are the extrarenal manifestations of Autosomal dominant polycystic kidney disease (ADPKD)?

A

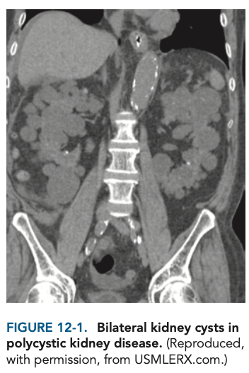
Colonic diverticular disease is the most common extrarenal effect of ADPKD. Hepatic cysts (Figure 12-1) are present in 50%–70% of patients and are generally asymptomatic with little effect on liver function. There is also an association between ADPKD and berry aneurysms of the circle of Willis, which show familial clustering. Rupture of such aneurysms results in subarachnoid hemorrhage and increased mortality and morbidity. Mitral valve prolapse is found in 25% of patients with this disease. Most patients with APDKD die from cardiac causes. Cardiac hypertrophy and coronary disease are extremely common.

How well did you know this?
1
Not at all
2
3
4
5
Perfectly
13
Q

What is the prognosis for patients with Autosomal dominant polycystic kidney disease (ADPKD)?

A

Progression to chronic renal failure is common, with 50% of patients developing end-stage renal disease by 60 years of age (ADPKD accounts for approximately 5% of patients who initiate dialysis annually). There is great variability in the progression of the disease even within families. Early age at diagnosis, male gender, recurrent infection, proteinuria, and hypertension are all associated with an early onset of renal failure. PKD1 carriers tend to have a more severe course. At present, there is no proven treatment for ADPKD; management generally consists of controlling any associated hypertension and/or proteinuria to preserve the glomerular filtration rate, but renal replacement therapy is eventually indicated.

How well did you know this?
1
Not at all
2
3
4
5
Perfectly
14
Q

What is the most likely diagnosis?

A

The most common causes of gross hematuria in a child are urinary tract infection and trauma. The most likely diagnosis in this case, however, is hereditary nephritis, or Alport syndrome, which consists of glomerular disease, sensorineural deafness, and ocular abnormalities, such as anterior lenticonus, a conical projection of the lens surface. These patients often progress to end-stage renal disease by the second decade of life.

How well did you know this?
1
Not at all
2
3
4
5
Perfectly
15
Q

Alport syndrome is due to a mutation in a gene that codes for which protein?
Because of this mutation, the glomerulus loses the ability to selectively filter on the basis of what property?

A

Alport syndrome is due to a defect in the gene that codes for the α5 subunit of type IV collagen. Type IV collagen is found primarily in the basal lamina. Tissue from patients with this mutation fails to stain for this protein.
The glomerulus loses the ability to filter on the basis of size. The glomerular basement membrane is primarily a size-selective (as well as charge-selective) filter; therefore, damage to the basement membrane leads to loss of size selectivity.

How well did you know this?
1
Not at all
2
3
4
5
Perfectly
16
Q

What is the probability that this patient’s brother (person 3 in Figure 12-2) also has Alport Syndrome?

A

The probability is 50%. The pedigree represents X-linked inheritance. Since the boy’s mother is a carrier, each son has a 50% chance (one of two X chromosomes in the mother) of inheriting the mutation. There are also autosomal recessive and autosomal dominant variants of Alport syndrome.

How well did you know this?
1
Not at all
2
3
4
5
Perfectly
17
Q

What other screening tests, in addition to urinalysis, can be used to confirm the diagnosis of Alport syndrome?

A

Alport syndrome is associated with ocular abnormalities and deafness; therefore, an ophthalmological examination and a formal audiogram should be performed, as deficits may be subtle. Skin biopsies can also be useful in diagnosing Alport syndrome.

How well did you know this?
1
Not at all
2
3
4
5
Perfectly
18
Q

What is the most likely diagnosis?

A

There is a high clinical suspicion for drug-induced acute interstitial nephritis (AIN) because of the patient’s recent initiation of a medication. Drug therapy is responsible for 71% of reported AIN cases, with infections (eg, Legionella, leptospirosis, cytomegalovirus, and streptococci) and autoimmune disorders (eg, systemic lupus erythematosus, Sjögren syndrome, sarcoidosis) responsible for the rest. AIN can develop between 1 week and 9 months of drug initiation.

How well did you know this?
1
Not at all
2
3
4
5
Perfectly
19
Q

What drugs are associated with drug-induced acute interstitial nephritis (AIN)?

A

Many medications have been associated with AIN, although methicillin remains the classic drug.
Antibiotics are commonly associated with a high risk of causing AIN include penicillin, cephalosporins,
rifampin, and sulfonamides.
Nonsteroidal anti-inflammatory drugs (NSAIDs) are known to lead to AIN as well as to vasoconstriction
of the afferent glomerular arterioles by inhibiting prostaglandin production.
Proton pump inhibitors are increasingly reported as a cause of AIN.

How well did you know this?
1
Not at all
2
3
4
5
Perfectly
20
Q

What other symptoms are common in patients with drug-induced acute interstitial nephritis (AIN)?

A

Other nonspecific complaints, such as weakness, fatigue, and anorexia, are common. Rash can sometimes accompany fever and eosinophilia to complete the classic triad of a drug-induced hypersensitivity reaction. However, only 10% of cases of drug-induced AIN manifest with all three signs.

How well did you know this?
1
Not at all
2
3
4
5
Perfectly
21
Q

What are the typical urinalysis findings in drug-induced acute interstitial nephritis (AIN)?

A

Urinalysis often reveals pyuria and hematuria. WBC casts in the absence of a urinary infection is highly suggestive of AIN. Urine eosinophils increase the suspicion as well. Mild proteinuria may be found. Creatinine concentration can also be acutely elevated.

How well did you know this?
1
Not at all
2
3
4
5
Perfectly
22
Q

What kidney biopsy findings are common in drug-induced acute interstitial nephritis (AIN)?

A

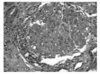
Kidney biopsy is the only way to confirm this condition. Renal tissue histopathology often shows interstitial edema with diffuse cellular infiltration of the interstitium by inflammatory cells including lymphocytes, monocytes, eosinophils, and granulocytes (Figure 12-3). Tubulitis may also be seen. The presence of granulomas may suggest an autoimmune cause, such as sarcoidosis.

How well did you know this?
1
Not at all
2
3
4
5
Perfectly
23
Q

What is the appropriate treatment for drug-induced acute interstitial nephritis (AIN)?

A

Withdrawal of the offending agent is the primary therapy. The effectiveness of corticosteroid treatment has not been proven by a prospective, randomized controlled trial, but prednisone is often used empirically, especially in cases of failure to induce remission after withdrawal of drug therapy or advanced renal failure.

How well did you know this?
1
Not at all
2
3
4
5
Perfectly
24
Q

What is the most likely diagnosis?

A

This patient has likely developed Fanconi syndrome (FS), which is characterized by a generalized transport defect in the proximal tubules, thus representing a proximal (type II) renal tubular acidosis (RTA). FS is either acquired or inherited. It can be acquired as a rare complication of plasma cell dyscrasias, including multiple myeloma, MGUS, Waldenström macroglobulinemia, and primary amyloidosis. FS may also result from Sjögren syndrome, heavy metal poisoning, and drug reactions. If inherited, FS is mostly transmitted as an autosomal recessive trait.
Although all of the urinalysis and laboratory findings support the diagnosis of FS, in a patient with MGUS and back pain, multiple myeloma should be on the differential.

How well did you know this?
1
Not at all
2
3
4
5
Perfectly
25
What are the functions of the proximal convoluted tubules?
The proximal convoluted tubules are the “workhorses of the nephron” and reabsorb all glucose and amino acids and the majority of filtered sodium, potassium, phosphate, bicarbonate, and water. Ammonia is also secreted to buffer distally secreted H+.
26
What is the pathogenesis of Fanconi syndrome?
FS is characterized by multiple proximal tubular transport defects. The exact mechanism varies with the etiology of FS. In FS associated with monoclonal gammopathies, kappa-type Bence Jones proteins have been found to be reabsorbed by proximal tubular cells. Subsequent failure to complete proteolysis of these light chains results in cytoplasmic crystalline inclusions, which may eventually compromise tubular function.
27
What medication can mimic the presentation of Fanconi syndrome?
Acetazolamide works by inhibiting bicarbonate in the proximal tubule and thus can cause proximal RTA.
28
What is glomerular filtration rate (GFR)?
29
What is the mechanism of the observed hypokalemia in Fanconi syndrome?
The primary function of the kidneys is to preserve volume though the reabsorption of sodium and free water. In FS, there is an increased distal delivery of sodium due to the incompetent proximal tubules. The principal cells within the collecting ducts will compensate by increasing sodium reabsorption through an exchange for potassium. This results in potassium clearance rates that may be more than twice the GFR, indicating net tubular secretion. Metabolic acidosis secondary to defective proximal tubule bicarbonate reabsorption may also contribute to potassium loss, as cells tend to remove H+ from circulation through an exchange for potassium, thereby increasing the filtered load of potassium.
30
What conditions should be considered in the differential diagnosis?
Acute glomerulonephritis and alveolar hemorrhage suggest Goodpasture syndrome (GP) or a systemic vasculitis, such as Wegener granulomatosis or microscopic polyangiitis. While vasculitis is more common, that would likely present with constitutional symptoms. Lupus and other forms of acute glomerulonephritis that are related to pulmonary infection or result in pulmonary edema should also be considered.
31
To aid in the diagnosis, which 4 antibodies should be tested for by serology?
1. Anti–glomerular basement membrane (anti-GBM) antibody 2. Anti–neutrophilic cytoplasmic antibody (vasculitides) 3. Anti-Smith antibody 4. Anti–double-stranded DNA (lupus)
32
Only anti-GBM antibodies are subsequently isolated from the patient’s serum. What is the epidemiology of the associated condition?
Isolation of anti-GBM antibodies suggests Goodpasture syndrome, which is a form of anti-GBM disease characterized by rapidly progressive glomerulonephritis, alveolar hemorrhage, and autoantibodies to type IV collagen. GP has a prevalence of 1:1 million. GP occurs with alveolar hemorrhage in 60%–70% of cases. Males 5–40 years of age are most commonly affected. Both genders are affected equally in older adults. Patients younger than 30 years of age are more likely to be severely affected. Untreated, GP has a fatality rate of 50%.
33
What is the pathogenesis of Goodpasture syndrome?
IgG (rarely IgA or IgM) autoantibodies against type IV collagen are the distinguishing feature of GP, and they also correlate with the severity of disease. The α3 chains of type IV collagen are present in the basement membranes of glomeruli, alveoli, and several other organs. The antigen targets of GP autoantibodies are normally inaccessible because of the presence of endothelial cells. The exposure of these antigens to circulating antibodies is more likely in the kidneys and lungs because of the fenestrated nature of the endothelial lining of glomerular capillaries and the increased susceptibility of the lungs to injury (eg, from smoking, toxin inhalation, or infection).
34
What type of hypersensitivity reaction is responsible for this patient’s disease process in Goodpasture syndrome?
A type II hypersensitivity reaction is responsible. Fixation of complement to the anti-GBM antibodies activates the classic complement pathway that results in the recruitment of neutrophils and monocytes. Type II hypersensitivity is also seen in myasthenia gravis, pernicious anemia, Graves disease, pemphigus vulgaris, and other conditions.
35
What are the typical kidney biopsy microscopy findings in Goodpasture Syndrome?
Light microscopy typically shows cres- centic glomerulonephritis (see Figure 12-8). Immunofluorescence microscopy (Figure 12-4) demonstrates the nearly pathognomonic finding of a smooth linear deposition of IgG along the glo- merular capillaries.
36
What is the most likely diagnosis?
Henoch-Schönlein purpura (HSP). In children, the combination of rash (as described above), arthralgias, abdominal pain, and renal disease is pathognomonic for HSP. However, only 63% of patients with HSP actually present with abdominal pain and only 40% with renal disease. An additional 33% of patients also have evidence of gastrointestinal bleeding. Less common symptoms include testicular torsion, intussusception, pancreatitis, cholecystitis, and protein-losing enteropathy. Approximately 1% of children with HSP progress to end-stage renal disease, and approximately 10% of HSP cases are seen in adults.
37
What are the dermatologic findings for Henoch-Schönlein purpura (HSP)?
Both purpura and petechiae may be seen in HSP. Purpura is characterized by nonblanching, flat lesions measuring > 2 mm in diameter. Petechiae are non-blanching, flat lesions measuring < 2 mm in diameter. Both are signs of bleeding occurring in the skin.
38
What is the pathophysiology of Henoch-Schönlein purpura (HSP)?
HSP is a small-vessel vasculitis. Although the precipitating factor is unknown, anecdotal evidence suggests upper respiratory infection for children. With HSP, IgA deposition in blood vessels causes leaking, which leads to purpura and petechiae. This is pathophysiologically similar to IgA nephropathy.
39
Which conditions should be considered in the differential diagnosis of this patient’s rash?
The main concerns, in addition to HSP, are clotting disorders and sepsis; as a result, coagulation studies should be performed. A similar rash can be caused by rickettsial infections, although this patient is afebrile. It is important to distinguish HSP from hemolytic-uremic syndrome (HUS), as the two conditions present similarly and can both cause extensive renal disease. However, HUS is not likely in this patient, as there are no signs of hemolytic anemia such as schistocytes on blood smear. In adults, HSP must be distinguished from systemic diseases such as hypersensitivity vasculitis and systemic lupus erythematosus.
40
What are the appropriate treatments for Henoch-Schönlein purpura (HSP)?
Treatment is based on the severity of symptoms, as the disease is typically self-limiting. An asymptomatic patient requires no treatment. However, severe symptoms, including signs of renal involvement, may require renal biopsy and steroids. Regardless of the severity of symptoms, patients with HSP require urinalysis every 3 months for 1 year, as HSP has a high rate of recurrence. Recurrence or flares typically occur within 4 months of the initial diagnosis.
41
What is the most likely diagnosis?
Hypercalcemia. Symptoms include lethargy, hyporeflexia, confusion, depression, headaches, psychosis, bradycardia, a shortened QT interval, nausea, vomiting, constipation, muscle weakness, polyuria, polydipsia, and gastroduodenal ulcer disease (secondary to calcium-induced gastrin release).
42
How are ionized calcium and albumin used in the diagnosis of Hypercalcaemia?
Ionized calcium is the primary determinant of cellular and membrane activity. However, routine reporting of serum calcium levels includes calcium that is bound to proteins. Approximately 45% of calcium circulates in the free or ionized form, and another 40% is bound to albumin (the remainder is bound to various anions). Accurate assessment of calcium levels therefore requires the simultaneous measurement of albumin and serum calcium levels.
43
How does hypoalbuminemia affect Hypercalcaemia?
Hypoalbuminemia can decrease measured serum calcium levels independently of any net change in ionized calcium levels. For each decrease of 1.0 g/dL in serum albumin below the laboratory’s reference normal value, 0.8 mg/dL should be added to the total calcium measured (the opposite is done in cases of hyperalbuminemia). Given the patient’s hypoalbuminemia, the actual total serum calcium level is even greater than the already elevated total calcium observed.
44
What are the two most common causes of hypercalcemia?
Hyperparathyroidism (thus the importance of checking PTH levels) and malignancy are the leading causes of hypercalcemia.
45
What are the appropriate treatments for Hypercalcaemia?
Symptomatic hypercalcemia, as seen in this patient, should first be treated with a saline infusion to expedite renal calcium excretion. Furosemide may be initiated to promote calciuresis only after the patient is volume replete. Furosemide promotes natriuresis and increases calcium excretion. Bisphosphonates inhibit osteoclast activity and are also used to treat hypercalcemia. Given this patient’s history of chronic osteomyelitis, suppressed PTH, and dramatically elevated alkaline phosphatase levels, there is a high clinical suspicion for underlying malignancy.
46
What is the most likely diagnosis?
Hypokalemia
47
What two main factors predisposed the patient to torsades de pointes?
The patient was started on digoxin to increase cardiac output and to treat the atrial fibrillation; furosemide was added to treat the pulmonary edema. However, furosemide in the setting of congestive heart failure can lead to severe hypokalemia (serum potassium level < 2.5 mEq/L). Hypokalemia has been shown to promote digitalis-induced arrhythmias, even when digitalis levels are in the therapeutic range. Digitalis toxicity can induce fatal arrhythmias.
48
What are the most common causes of Hypokalaemia?
49
How does alkalosis lead to Hypokalaemia?
The Na+-K+-ATPase pump keeps intracellular potassium levels much higher than the serum/extracellular level. However, in the setting of alkalosis, hydrogen ions leave cells to minimize pH change. In the process, hydrogen ions function in an apparent exchange for potassium that can lead to hypokalemia.
50
How is metabolic acidosis associated with hypokalaemia?
Metabolic acidosis causes an exchange of hydrogen ions into the cells for potassium ions into the plasma, leading to hyperkalemia. However, in the setting of metabolic acidosis (notably diabetic ketoacidosis), urinary potassium excretion is also increased. This leads to a situation in which potassium is being moved from the cells and then excreted in the urine. As a result, although the serum potassium level is normal or even high in metabolic acidosis, the total body stores are actually low. The hypokalemia often reveals itself once the acidosis is corrected.
51
What are the appropriate treatments for hypokalaemia?
Potassium can be repleted either directly (ie, with potassium chloride) or through the use of a potassium- sparing diuretic such as amiloride, spironolactone, or triamterene. Amiloride is often the diuretic of choice, as it lacks the hormonal adverse effects of spironolactone (gynecomastia and amenorrhea).
52
What is the most likely diagnosis?
Hyponatremia, which is commonly defined as a serum sodium concentration ≤ 135 mEq/L. Hyponatremia is more prevalent in the hospital setting or in nursing homes.
53
What are the common causes of Hyponatraemia?
54
What symptoms are typically associated with Hyponatraemia?
The decreased osmolarity (for most cases of hyponatremia) causes an osmotic water shift that increases intracellular fluid volume. Clinical manifestations are typically neurologic in nature secondary to cerebral edema within the confines of the cranial vault. Nonspecific symptoms, such as malaise or nausea, are common. Headache, lethargy, confusion, and obtundation may appear as sodium levels fall further. Stupor, seizures, and coma can occur if progression is rapid or concentrations fall below 120 mEq/L.
55
What is the pathogenesis of this condition in this particular patient?
This patient is likely suffering from diuretic-induced hyponatremia. Thiazides deplete serum sodium and potassium levels and stimulate ADH-mediated water retention. It should be noted, though, that loop diuretics are unlikely to cause hyponatremia, as the maximal urine concentrating ability, and thereby water retention, is reduced with the decrease in medullary interstitial tonicity. If hyponatremia develops over a period of days rather than acutely, the brain cells react to hyponatremia by secreting salts and, over time, organic osmolyte to prevent excess water entry and swelling. This may explain why no significant swelling can be seen on CT scan of the head.
56
What other laboratory test will help identify the etiology of the hyponatraemia in this patient?
Plasma osmolality, urine osmolality, fractional excretion of sodium, urine sodium concentration, and urine potassium concentration are helpful. If diuretics are responsible, as in this case, the plasma osmolality may be slightly low. Urine osmolality is elevated, as thiazides stimulate antidiuretic hormone (ADH). Urine sodium is elevated because of a thiazide-mediated decrease in reabsorption. However, some of the excess sodium delivered to the collecting duct is reabsorbed at the expense of potassium. Urine potassium therefore would also be elevated.
57
What is the most appropriate treatment for Hyponatraemia?
Rapid correction of chronic hyponatremia can result in central pontine myelinolysis, a diffuse (not limited to the pons) demyelination syndrome. A rapid increase in serum osmolarity leads to brain cell shrinkage, and this is believed to result in demyelination. If hyponatremia occurs suddenly, over a few hours, then rapid correction is unlikely to cause demyelination as the brain will not have time to undergo compensatory measures as discussed above.
58
What is the most likely diagnosis?
Hypophosphatemic (previously vitamin D–resistant) rickets is suggested by the patient’s slow growth and skeletal findings as well as by his laboratory values: upper normal PTH, normal calcidiol and calcium levels with low calcitriol (which would normally be elevated in the setting of hypophosphatemia), and phosphaturia in the setting of normal renal function. Two inheritable forms exist. X-linked hypophosphatemic (XLH) rickets is more likely in this case, as it generally affects males and presents in childhood. The grandfather likely was similarly affected, whereas the heterozygous mother is only mildly affected with dentition problems. Less common autosomal dominant and recessive forms also exist, which affect both genders equally and present later in life.
59
What is the pathogenesis of Hypophosphatemic rickets?
XLH is associated with a loss-of-function mutation in a gene on the X chromosome responsible for the clearance of fibroblast growth factor-23. Failure to clear this growth factor leads to phosphaturia and decreased 1α-hydroxylase activity in the kidney. Increased excretion of phosphate, decreased calcitriol, and bone deformities result.
60
What are the typical radiologic findings in Hypophosphatemic rickets?
Figure 12-5 shows the widened diaphyses, funnel-like beaking of the metaphyses, and increased curvature of the femoral and tibial shafts. Enthesopathy (calci- fication of tendons, ligaments, and joint capsules) is also often seen. Lower-extremity deformities develop as the child begins to bear weight with ambulation.
61
What is the appropriate treatment for Hypophosphatemic rickets?
A combination of phosphorus and calcitriol is re- quired to restore age-appropriate growth velocity. Administration of either substance alone is insuffi- cient. Phosphorus by itself decreases ionized calcium levels, which results in PTH release and secondary hyperparathyroidism. Serum phosphorus normaliza- tion also simultaneously decreases calcitriol forma- tion. This removes the inhibitory effect of calcitriol on PTH synthesis and its stimulatory effect on intes- tinal reabsorption of calcium and calcium deposition in bone.
62
How is phosphate regulated in the body?
Calcium and phosphate regulation are linked. Phosphate is primarily reabsorbed in the proximal renal tubules. PTH release is stimulated by low serum calcium, high phosphate, and low vitamin D. PTH decreases phosphate levels by inhibiting phosphate reabsorption in the proximal tubules. Calcitriol formation is stimulated by low serum cal- cium and phosphate levels and high PTH levels. It enhances gut absorption of both calcium and phos- phate. It also decreases PTH secretion.
63
What is the acid-base disturbance in this patient?
64
What are the causes and two main types of metabolic acidosis?
65
What are the causes of respiratory alkalosis?
Anything that stimulates the central respiratory drive and causes hyperventilation, such as cerebrovascular accidents or neurologic disease, can cause respiratory alkalosis. Hypoxia, such as that caused by anemia, high altitudes, and pulmonary disease, can likewise increase respiratory rate and respiratory alkalosis. Other hyperventilatory states such as mechanical overventilation or voluntary hyperventilation, such as in cases of anxiety, can also be causative.
66
How is anion gap calculated?
67
What is the pathogenesis of this patient’s condition?
Aspirin is hydrolyzed to salicylate once ingested. At toxic levels, salicylates cause a primary respiratory alkalosis by stimulating the medullary respiratory center to hyperventilate. Salicylates also stimulate skeletal muscle metabolism, increasing oxygen consumption and carbon dioxide production. This further stimulates hyperventilation. The metabolic acidosis component occurs because salicylates cause both lipolysis and uncoupling of oxidative phosphorylation, resulting in the production of organic acids, pyruvate, and ketones.
68
What acid-base disturbance is seen in this patient?
Metabolic alkalosis. The pH of the arterial blood is > 7.45, which indicates alkalemia. Metabolic alkalosis can be distinguished from respiratory alkalosis by examining the PCO2. Normal or increased PCO2 with increased bicarbonate indicates that the alkalosis is metabolic.
69
What does the body do to partially compensate for Metabolic alkalosis?
70
How is Metabolic alkalosis further classified?
71
What is the pathogenesis of this patient’s condition?
This patient is volume depleted because he stopped his intravenous fluids. In addition, he has been vomiting, which removes further fluid and chloride (from HCl). His alkalemia is therefore likely saline responsive. His dehydration stimulates the renin-angiotensin-aldosterone system. Elevated aldosterone causes reabsorption of Na+ in exchange for K+ and H+. This further exacerbates the alkalemia and also leads to hypokalemia. Treatment involves restoration of volume status to prevent further exacerbation of the alkalemia and the complications of hypokalemia.
72
How does aciduria occur in Metabolic alkalosis?
Aciduria is paradoxical in the setting of alkalemia. It can occur, however, in the setting of an extended period of volume depletion. The activated renin-angiotensin-aldosterone system exchanges Na+ for K+ and H+. Over time, the pool of available intracellular K+ becomes depleted, resulting in the exchange of only H+. The subsequent aciduria is an indication of a metabolic emergency with severe hypokalemia.
73
What is the most likely diagnosis?
The boy likely has nephrotic syndrome in the form of minimal change disease (lipoid nephrosis). This is the most common manifestation of nephrotic syndrome in children (approximately 90% of cases occur in children younger than 10 years of age). Age younger than 6 years, normal renal function, and absence of hypertension are strong indicators for this diagnosis.
74
What are the four classic symptoms of Nephrotic syndrome?
Nephrotic syndrome classically presents with proteinuria, hypoalbuminemia, edema, and hypercholesterolemia (Table 12-1).
75
What pathologic changes at the glomerular level are associated with Nephrotic syndrome - minimal change disease?
The glomerular basement membrane contains heparan sulfate, which acts as a negative charge barrier that keeps small and negatively charged proteins such as albumin from crossing the membrane. Minimal change disease can be preceded by a recent infection or vaccination. It is believed that T cells release cytokines that injure glomerular epithelial cells. Consequently, the negative charge barrier is lost, whereas the size filter provided by the slit diaphragm proteins may remain intact. This leads to renal albumin wasting since albumin has a negative charge at neutral pH.
76
What are the likely histology findings in Nephrotic syndrome - minimal change disease?
Glomeruli appear normal on light microscopy, leading to the name minimal change. However, when the glomeruli are viewed under electron microscopy, effacement or flattening of foot processes can be seen. The electron micro- graph in Figure 12-6 shows ef- facement of the foot processes (arrowhead).
77
What is the appropriate treatment for minimal change disease?
Given the high incidence of minimal change disease in children with nephrotic syndrome, this can be presumed to be the diagnosis until proven otherwise. Corticosteroids are given both as treatment and as a diagnostic tool because the majority of patients with minimal change disease respond promptly (thus avoiding biopsy).
78
What is the most likely diagnosis? What is the most likely cause of this patient’s proteinuria?
The boy’s presentation suggests nephrotic syndrome, which is characterized by the triad of high urine protein losses, hypoalbuminemia, and hypercholesterolemia. Patients often present with periorbital edema, peripheral edema, and/or ascites secondary to decreased plasma protein. This results in decreased plasma oncotic pressure, which, in turn, leads to sodium and free water retention. The likely mechanism of action is loss of charge barrier at the glomerular membrane due to effacement of foot processes (which would be seen on electron microscopy; no changes would be seen on light microscopy).
79
What are the typical laboratory findings in nephrotic syndrome?
Serum albumin levels are low, and 24-hour urine protein excretion is high secondary to the massive loss of albumin at the glomerulus. Patients also often demonstrate severe hyperlipidemia. Less than one-half of patients have microscopic hematuria.
80
What are the appropriate treatments for Nephrotic syndrome?
Nephrotic syndrome is treated with prednisone. Although the etiology of minimal change disease is unknown, it is thought to be due to an immune system abnormality. Therefore, corticosteroids (prednisone) and other immune suppressants are commonly used. Symptomatic treatment should also be initiated for edema, hypercoagulability, infection, decreased intravascular volume, and other clinical manifestations.
81
After 2 months of steroid treatment, the patient shows no decrease in his proteinuria, and a renal biopsy is obtained. What is the most likely diagnosis?
The boy likely has developed focal segmental glomerular sclerosis (Figure 12-7), which can be resistant to steroid treatment. Light microscopy of the biopsy specimen may demonstrate focal areas of glomeruli with segmental sclerosis. Electron microscopy demonstrates foot process derangement.
82
What is the most likely diagnosis?
The presence of flank pain, emesis, high fever, and costovertebral angle tenderness indicate acute pyelonephritis. Pyelonephritis is a urinary tract infection (UTI) that has progressed from the lower urinary tract (bladder/urethra) to the upper urinary tract. It is most common in young children and sexually active women. Men are less likely to develop pyelonephritis or acute cystitis, in part because of their longer, less exposed urethras. Other predisposing factors include vesicoureteric reflux (congenital), flow obstruction, catheterization, gynecologic abnormalities, diabetes, and pregnancy.
83
What are the most likely pathogens in UTIs?
Escherichia coli is the most common cause of UTIs (50%–80% of cases). Staphylococcus saprophyticus is the second most common cause of UTIs in young, sexually active women. Other common causative organisms include Proteus mirabilis, Klebsiella (second most common cause overall), Serratia, Enterobacter, and Pseudomonas. Group B β-hemolytic streptococcal infection can cause UTIs in infants as part of the sepsis they develop.
84
How can this patient’s symptoms be distinguished from those associated with cystitis, urethritis, or vaginitis?
Pyelonephritis classically manifests as flank pain, costovertebral angle tenderness, nausea, and vomiting with high fever. By contrast, the classic primary complaint in cystitis is dysuria accompanied by frequency, urgency, suprapubic pain, and hematuria. Urethritis and vaginitis present with dysuria, discharge, pruritus, dyspareunia, and an absence of frequency or urgency.
85
What are the characteristic laboratory findings in acute pyelonephritis?
Pyuria is an essential finding in UTIs. Urinalysis typically shows >10 WBCs/HPF. Hematuria is also common in women with UTI but not in women with urethritis or vaginitis. Leukocyte casts in the urine is pathognomonic for pyelonephritis. Additionally, serum tests show leukocytosis, an elevated erythrocyte sedimentation rate, and an elevated C-reactive protein level.
86
What are the appropriate treatments for UTI/acute pyelonephritis?
The goal of empiric therapy is to use drugs that achieve high concentrations in the renal medulla. Oral medications include the fluoroquinolones (especially ciprofloxacin) and trimethoprim-sulfamethoxazole. Intravenous options include ceftriaxone, ciprofloxacin, ampicillin and gentamicin, and piperacillin/ tazobactam.
87
What classification of renal disorders do these symptoms represent?
Hematuria with RBC casts, dysmorphic RBCs, and proteinuria on urinalysis in the setting of hypertension and edema indicate a nephritic syndrome. Causes of nephritic syndrome include rapidly progressive glomerulonephritis (RPGN), poststreptococcal GN, IgA nephropathy, lupus nephritis, and mesangial proliferative GN.
88
The next day, the patient is oligo-anuric, and her serum creatinine rises to 3.2 mg/dL. What is the most likely diagnosis?
This patient most likely has RPGN, a clinical diagnosis characterized by a doubling of serum creatinine in a 3-month period and rapid progression to acute renal failure. RPGN can result from a primary glomerulopathy or a secondary glomerulopathy mediated by a systemic disease, such as lupus in this case, or a streptococcal infection.
89
Kidney biopsy is also performed the next day (Figure 12-8). How does it aid in the diagnosis of rapidly progressive glomerulonephritis (RPGN)?
Kidney biopsy remains the gold standard for diagnosis. Light microscopy (LM) demonstrates the typical crescent formation of RPGN (Figure 12-8). Immunofluorescence microscopy of a renal specimen distinguishes three major patterns of immunoglobulin deposition, representing three diagnostic categories: Immune-complex glomerulonephritis is categorized by scattered granular deposits of immune complexes. This is the typical “lumpy bumpy” pattern. It can be seen in Henoch-Schönlein purpura and lupus among others. Anti–glomerular basement membrane disease shows smooth, linear deposition of immunoglobulin as seen in Figure 12-4. Pauci-immune glomerulonephritis (the most common type) manifests sparse or absent immunoglobulins. It can be seen idiopathically or in the setting of anti–neutrophilic cytoplasmic antibody vasculitides.
90
What is the pathogenesis of rapidly progressive glomerulonephritis (RPGN)?
RPGN is on the spectrum of immunologically mediated PGN. Lupus-associated RPGN is rare but likely shares a mechanism similar to other types of lupus renal diseases. Mesangial and subendothelial deposition of immune complexes, primarily composed of DNA-anti-DNA, are present. Subsequent activation of complement initiates the immune response.
91
How does the morphology of urine erythrocytes distinguish upper and lower urinary tract disorders?
Dysmorphic RBCs suggest upper tract bleeding or inflammatory glomerular or tubulointerstitial disease. RBC casts are also an indication of a glomerular disorder. Normal erythrocytes or eumorphic RBCs suggest lower urinary tract bleeding.
92
Should a patient with rapidly progressive glomerulonephritis (RPGN) receive treatment or will the condition self-resolve?
Untreated RPGN typically progresses to end-stage renal disease over weeks to months; therefore, prompt treatment is essential. Although treatment varies based on underlying etiology, empiric steroids should be given to all RPGN patients, sometimes with cyclophosphamide.
93
What is the most likely diagnosis?
The man most likely suffers from renal artery stenosis. The bruit described is in the region of the renal artery; this finding, in addition to the sudden increase in blood pressure and hypokalemia supports the diagnosis of renal artery stenosis. Imaging confirms the diagnosis.
94
What is the pathogenesis of renal artery stenosis in this patient and how would it differ in a young woman?
In the elderly population, renal artery stenosis is seen more often in men and is mostly caused by atherosclerotic plaques (secondary to hypercholesterolemia). For younger patients, fibromuscular dysplasia of the renal arteries, seen more in females, would be the likely cause.
95
What changes in renin secretion from each kidney are likely in renal artery stenosis?
The kidney ipsilateral to the stenosis will increase renin secretion in response to a perceived decrease in arterial pressure due to decreased flow to the juxtaglomerular apparatus. The contralateral kidney will respond to the patient’s resulting hypertension by decreasing its renin secretion (Figure 12-9).
96
How does elevated plasma renin lead to hypertension?
In the plasma, renin converts angiotensinogen (produced in the liver) to angiotensin I. This is converted to angiotensin II by angiotensin-converting enzyme (ACE), which is secreted by pulmonary and renal endothelial cells. Angiotensin II acts on vascular smooth muscle to increase blood pressure. Angiotensin II also acts on the adrenal cortex to stimulate the release of aldosterone, which increases renal absorption of sodium to increase blood volume and thus blood pressure.
97
What electrolyte abnormalities are associated with renal artery stenosis?
As seen in hyperaldosteronism, the sodium reabsorption is isotonic; therefore, the serum sodium is normal but hypertension ensues, and hypokalemia is expected as a consequence of renal potassium losses.
98
What is the medication of choice for renal artery stenosis?
To correct the increased angiotensin II, an ACE inhibitor (such as captopril) or an angiotensin II receptor blocker (such as losartan) would be the medication of choice. Caution should be used with these drugs when renal artery stenosis is bilateral.
99
What four classes of antihypertensive drugs directly target the effects of renin? Give examples of each.
1. ACE inhibitors (captopril, enalapril, and lisinopril). 2. Angiotensin II receptor blockers (losartan). 3. Aldosterone-antagonizing diuretics (spironolactone). 4. Renin inhibitors (aliskiren).
100
What is the most likely diagnosis?
Nephrolithiasis (kidney stones). Acute back/side pain (especially related to movement or that waxes and wanes) with elevated calcium and RBCs in the urine indicates kidney stones.
101
How is Nephrolithiasis classified?
Approximately 85% of renal calculi are calcium oxalate stones (Figure 12-10), which are strongly radiopaque. The second most common kid- ney stones are struvite (ammonium magnesium phosphate), which are radiopaque and associated with Proteus vulgaris and Staphylococcus aureus infection. Other, less common stones include uric acid stones (radiolucent) and cystine stones (moderately radiopaque). This patient most likely has calcium oxalate stones given her hypercalcemia and normal temperature.
102
How is Nephrolithiasis classified?
Approximately 85% of renal calculi are calcium oxalate stones (Figure 12-10), which are strongly radiopaque. The second most common kid- ney stones are struvite (ammonium magnesium phosphate), which are radiopaque and associated with Proteus vulgaris and Staphylococcus aureus infection. Other, less common stones include uric acid stones (radiolucent) and cystine stones (moderately radiopaque). This patient most likely has calcium oxalate stones given her hypercalcemia and normal temperature.
103
What is the pathogenesis of Nephrolithiasis - calcium oxalate stones? What is the pathogenesis of the other three classifications of this condition?
Calcium oxalate stones can be caused by hypercalciuria, hyperoxaluria, or hypocitraturia (citrate is a potent inhibitor of calcium precipitation/stone formation). Struvite stones form in the presence of alkaline urine, created by urease-splitting organisms such as Proteus vulgaris, Klebsiella, or Staphylococcus aureus. Uric acid stones are associated with hyperuricemia, which is seen in gout and conditions with high cell turnover such as leukemia or myeloproliferative disease. Cystine stones are observed in congenital cystinuria.
104
What is the appropriate treatment for Nephrolithiasis - calcium oxalate stones?
Treatment consists of analgesics, hydration, and if obstructed or infected, antibiotics ± stenting. Thiazide diuretics are contraindicated in this patient because of her hypercalcemia. Extracorporeal shockwave lithotripsy may be necessary for stones that do not pass spontaneously as a minimally invasive surgical intervention is usually indicated for stones > 5 mm.
105
What hormonal imbalance can cause the electrolyte abnormalities seen in Nephrolithiasis?
Hyperparathyroidism should always be considered in a patient with calcium stones. The high calcium concentration and low phosphate concentration may be a result of excess parathyroid hormone (PTH). High PTH level increases renal reabsorption of calcium and decreases renal reabsorption of phosphate. It also stimulates renal activation of vitamin D, which increases calcium and phosphate absorption from the gastrointestinal tract.
106
What is the most likely diagnosis?
Hyponatremia
107
How is the etiology of hyponatraemia determined?
Volume status is assessed first. Although sodium loss can cause hyponatremia, excessive retention of water is usually the cause. A thorough history and physical examination can help correlate the patient’s volume status to a cause of hyponatremia, and laboratory values can be used to confirm volume status. The cause of fluid loss can be determined by history (eg, vomiting, diuretics, diarrhea) and physical findings of low volume (eg, decreased skin turgor, low jugular venous pressure). Signs of excessive fluid retention include peripheral edema.
108
What laboratory findings can help determine a patient’s volume status?
Serum and urine osmolarity and sodium concentration can help confirm a patient’s volume status. Most hyponatremic patients have a decreased serum osmolarity; however, renal failure and hyperglycemia are two important causes of hyponatremia that accompany normal or increased serum osmolarity. In patients with low plasma osmolarity, urine osmolarity can differentiate primary polydipsia (low/normal urine osmolarity) from impaired water excretion (high urine osmolarity, as in the majority of patients). In patients with hypo-osmolar serum and hyperosmolar urine, urinary sodium can then distinguish between hyponatremia caused by circulating volume depletion (eg, from heart failure, cirrhosis, hypovolemia leading to decreased urinary sodium) and euvolemic hyponatremia (eg, syndrome of inappropriate secretion of antidiuretic hormone [SIADH] leading to normal urinary sodium).
109
In this case, what is the most likely etiology of the patient’s volume status?
This patient’s small cell lung tumor raises the likelihood of SIADH (a paraneoplastic syndrome for small cell lung cancer). Physical findings and lab values are also consistent with SIADH.
110
What are the major causes of SIADH?
1. Ectopic ADH production by a tumor, particularly small cell (oat cell) carcinoma of the lung. 2. Intracranial pathology, such as trauma, stroke, tumors, or infection. 3. A wide range of drugs. 4. Major surgery, pain. 5. HIV infection. 6. SIADH may also be idiopathic.
111
What is the mechanism of action of ADH?
ADH is the main regulator of serum osmolality. ADH causes water channels (eg, aquaporin-2) of the principal cells of the kidney’s collecting ducts to translocate to the cell membrane, thereby allowing more water to be reabsorbed. Its release from the posterior pituitary is stimulated by hyperosmolarity and by decreased effective circulating volume.
112
What are the appropriate treatments for SIADH secondary to ectopic ADH production by a small cell (oat cell) carcinoma of the lung?
Treatment consists of tumor resection. If evidence of SIADH persists or resection is not possible, treatment involves restriction of free water intake or use of hypertonic saline with loop diuretics or demeclocycline.
113
What is cross-matching?
In transplantation, the process of cross-matching determines whether the recipient has antibodies to the donor’s WBCs. This measure prevents hyper acute rejection due to preformed antibodies.
114
If CMV is present, what fraction of a blood sample will have the highest yield for the virus?
Because CMV invades WBCs, these cells contain the highest titer of the virus. Upon centrifuging a blood sample, a “buffy coat,” representing < 1% of blood and seen between the plasma and hematocrit, will separate out most of the WBCs and platelets. Figure 12-11 shows a CMV giant cell with multiple hyaline inclusions.
115
Why is CMV of particular concern in this patient?
The girl is immunosuppressed, and there is a significant probability that she has been exposed to CMV. Approximately 80% of normal adults are infected with CMV yet remain asymptomatic because of their functional immune systems. Therefore, there is a high likelihood that the donor may have been CMV positive. As with other members of the herpes virus family, CMV is more likely to activate in an immunosuppressed host. In the immunocompromised host CMV can cause a variety of syndromes, including a mildly febrile upper respiratory illness, severe gastrointestinal syndrome with mild hepatitis, marked pancytopenia, or pneumonitis. CMV can also directly cause graft dysfunction.
116
What is the mechanism of action of ganciclovir against CMV?
Ganciclovir is a guanosine derivative that inhibits CMV DNA polymerase. The most common side effects of ganciclovir are hematologic thrombocytopenia (57%) and leukopenia (41%).
117
How does infection lead to fever in a normal individual?
Pyrogenic cytokines released by phagocytic cells of the immune system trigger the release of cytokines, including tumor necrosis factor-α and interleukin-1, which causes the hypothalamus to increase the set point of core body temperature. A key factor in the ability to mount a fever is the presence of an intact immune system. Infection is often difficult to detect in patients with poor immune function, as their ability to mount a fever is severely blunted.
118
What is the most likely diagnosis?
This boy most likely has vesicoureteral reflux (VUR), which is the most common urologic finding in children. It is seen in 1% of all newborns and almost 50% of young children presenting with a UTI.
119
Where is the bladder located in men and women?
The bladder sits behind the pubic symphysis and anterior to the rectum in both men and women. In men, the bladder lies anterior to the seminal vesicles above the prostate gland and is anterior to the uterus in women.
120
What are the two regions of the bladder?
The lower region is the trigone or the base of the bladder. The entry of the ureters marks the base of the trigone. The apex of the trigone is where the urethral orifice is surrounded by the internal urethral sphincter. The upper region of the bladder holds urine that enters the bladder via the ureteral orifices. The bladder can expand vertically and horizontally to hold up to 300–400 mL (~ 20-30 mL/kg) of urine before voiding.
121
What is the innervation of the bladder?