
Microabcesses (acute pyelonephritis)

Acute pyelonephritis with renal papillary necrosis

Chronic pyelonephritis - clubbed calyces, depressed cortical scars, assymmetrically contracted kidney

Chronic pyelonephritis

Prostatic hyperplasia, bladder trabeculation, calculus formation

Hydronephrosis, chronic pyelonephitis, calculus

Hydronephosis

Staghorn calculi

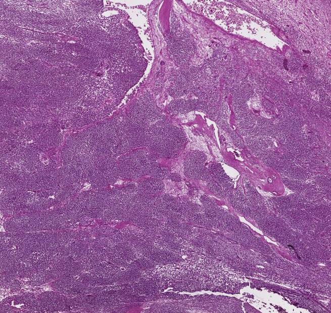
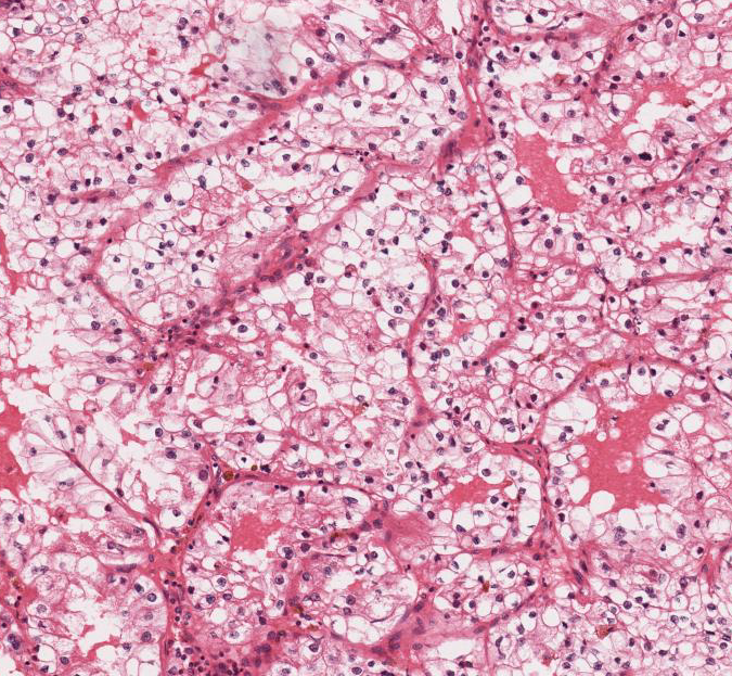
Adenocarcinoma (RCC, CCC)

TCC of ureter

TCC

Nephroblastoma (Wilm’s tumour)

Nephroblastoma

TCC of ureter, hydronephrosis

TCC of bladder

Nephroblastoma (Wilm’s tumour)

Urotherlial carcinoma

Clear cell carcinoma

Clear cell carcinoma

Hydronephrosis due to calculus

Prostatic hyperplasia, calculi, trabeculations

Staghorn calculi, hydronephrosis, chronic pyelonephritis

Wilm’s tumour

Clear cell carcinoma