
R) heart failure

Asthma - muscous plugs, thickened bronchial walls

Asthma - mucous plugging, lymphoid aggregates, smooth muscle hypertrophy, eosinophils in mucosa

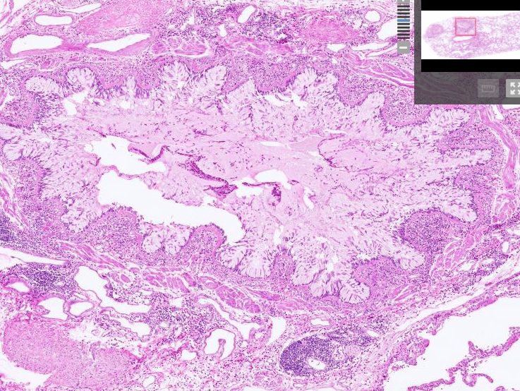
Bronchiectasis - airways filled with exudate, permanent dilation of airways,

Bronchiectasis

Bronchiectasis - bronchial dilation, purulent sputum, peribronchial fibrosis

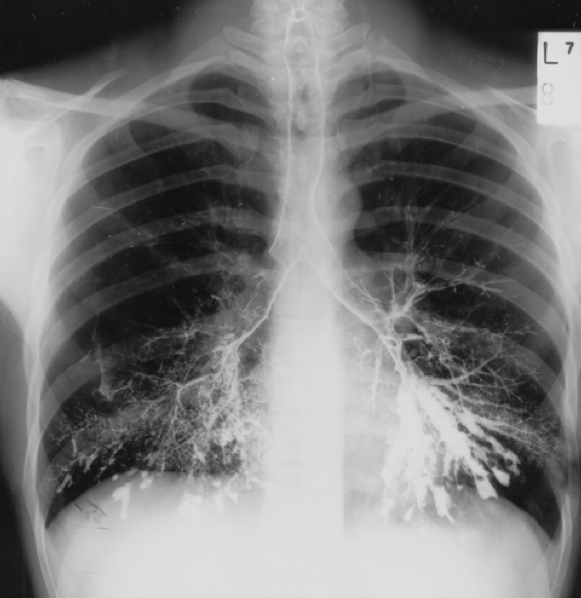
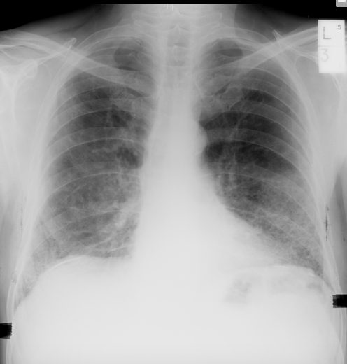
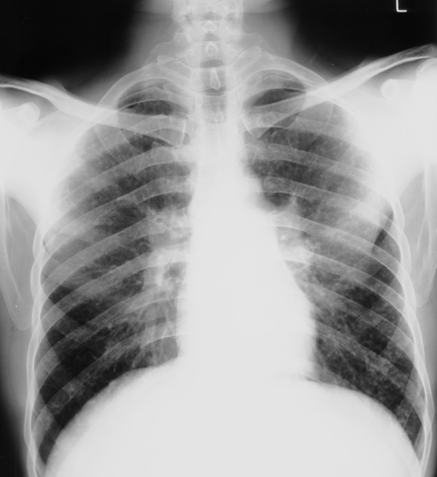
Bilateral hilar lymphadenopathy consistent with sarcoidosis

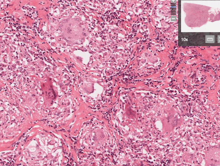
Sarcoidosis - giant cells, non-caseating granuloma, epitheloid cells

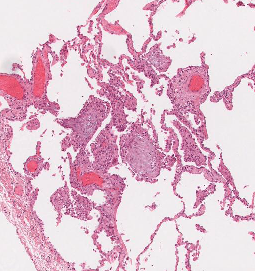
Hypersensitivity pneumonitis - interstitial pneumonitis, non-caseating granulomas

Coal miner’s lung

Coal miner’s lung

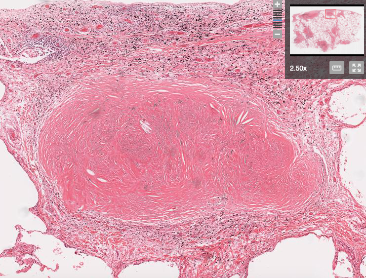
Silicosis - silicotic nodules

Asbestosis - interstitial fibrosis, pleural thickening

Asbestosis - interstitial fibrosis, calcified pleural plaques

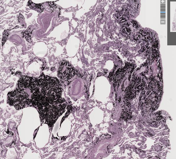
Silicosis - perihilar lymphadenopathy, silicotic nodules

Normal lung

Anthracosis

Emphysema, small areas of pneumonia in base

Emphysema, bullae

Pleural fibrosis

Asbestosis - interstitial fibrosis denser in lower zones, pleural fibrosis

Fibrous thickening of parietal pleura

Anthracosilicosis - upper lobe fibrosis, apical pleural thickening

Anthracosis