Repaso General Flashcards

(22 cards)

1
Q

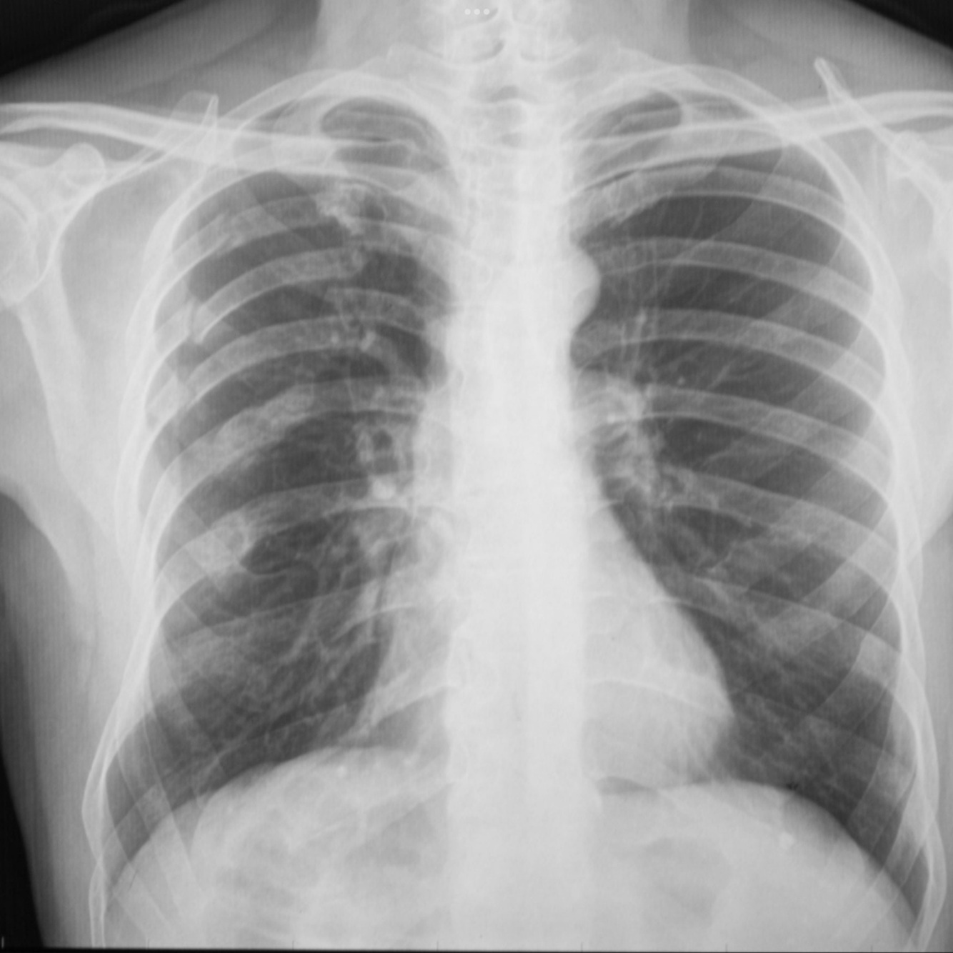
Masculino de 48 años, asaltado en la vía pública con disnea severa, dolor torácico, de forma espontánea tras el evento

A

Neumotórax parcial

How well did you know this?
1
Not at all
2
3
4
5
Perfectly
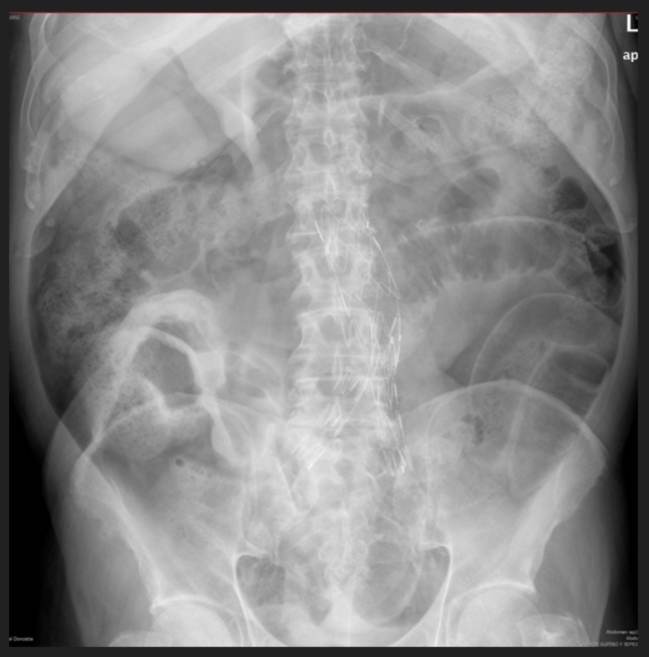
2
Q

Paciente masculino de 73 años de edad, dolor abdominal severo, imposibilidad para evacuar y canalizar gases 12 hrs

A

Volvulus

How well did you know this?
1
Not at all
2
3
4
5
Perfectly
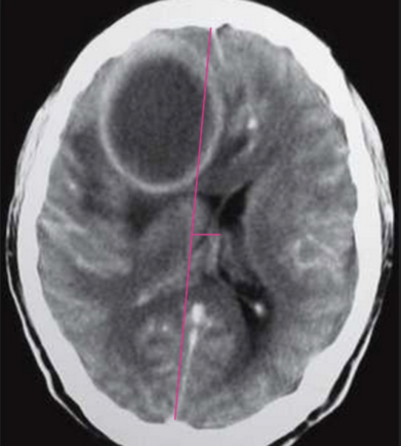
3
Q

Hay desviación de la línea media en SNC?

A

VERDADERO

How well did you know this?
1
Not at all
2
3
4
5
Perfectly
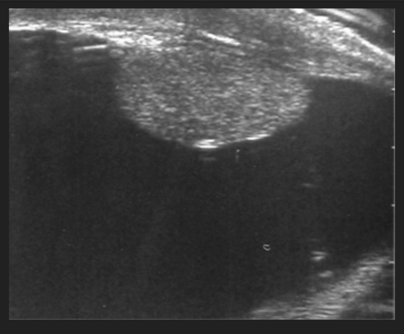
4
Q

Masculino de 56 años, olor y aumento de volumen testicular, imagen de USG

A

Hidrocele

How well did you know this?
1
Not at all
2
3
4
5
Perfectly
5
Q

Masculino de 55, abdomen agudo

A

Neumoperitoneo

How well did you know this?
1
Not at all
2
3
4
5
Perfectly
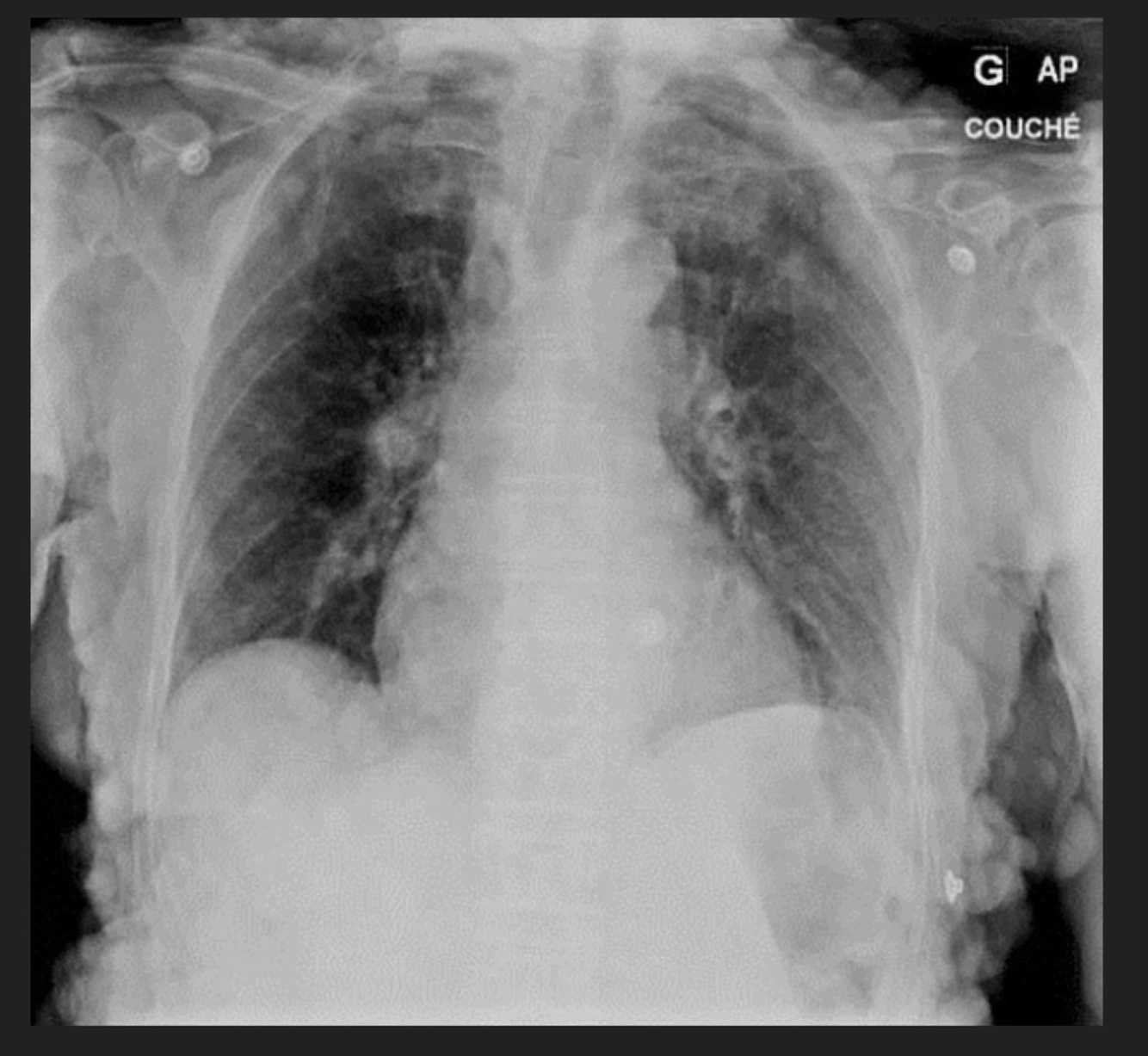
6
Q

Femenino de 82 años, el dato extrapulmonar aparente es:

A

Neurofibromatosis

How well did you know this?
1
Not at all
2
3
4
5
Perfectly
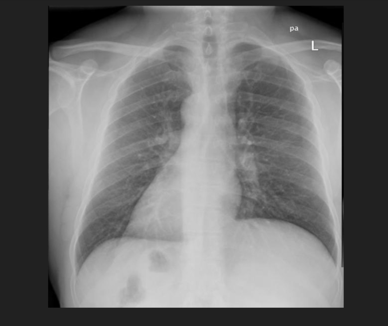
7
Q

Masculino de 54 años. Disnea, dolor precordial, ruidos cardiacos apagados

A

Derrame pericardico

How well did you know this?
1
Not at all
2
3
4
5
Perfectly
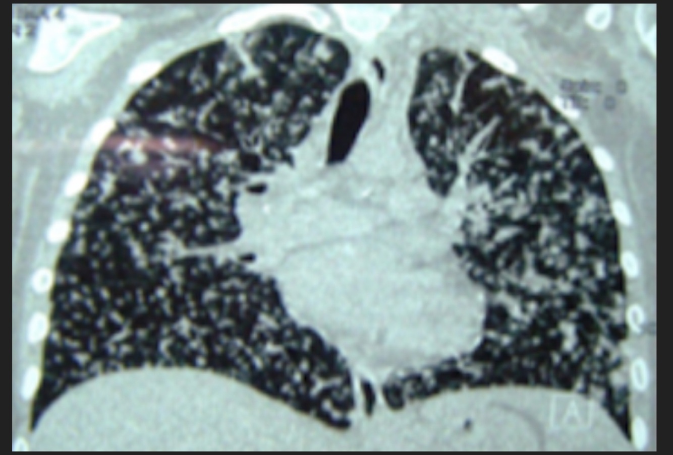
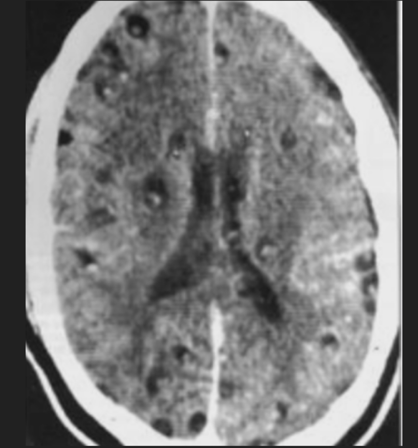
8
Q

Masculino de 66 años de edad, cuenta con el diagnóstico de VIH positivo, con fiebre, disnea

A

TB Miliar

How well did you know this?
1
Not at all
2
3
4
5
Perfectly
9
Q

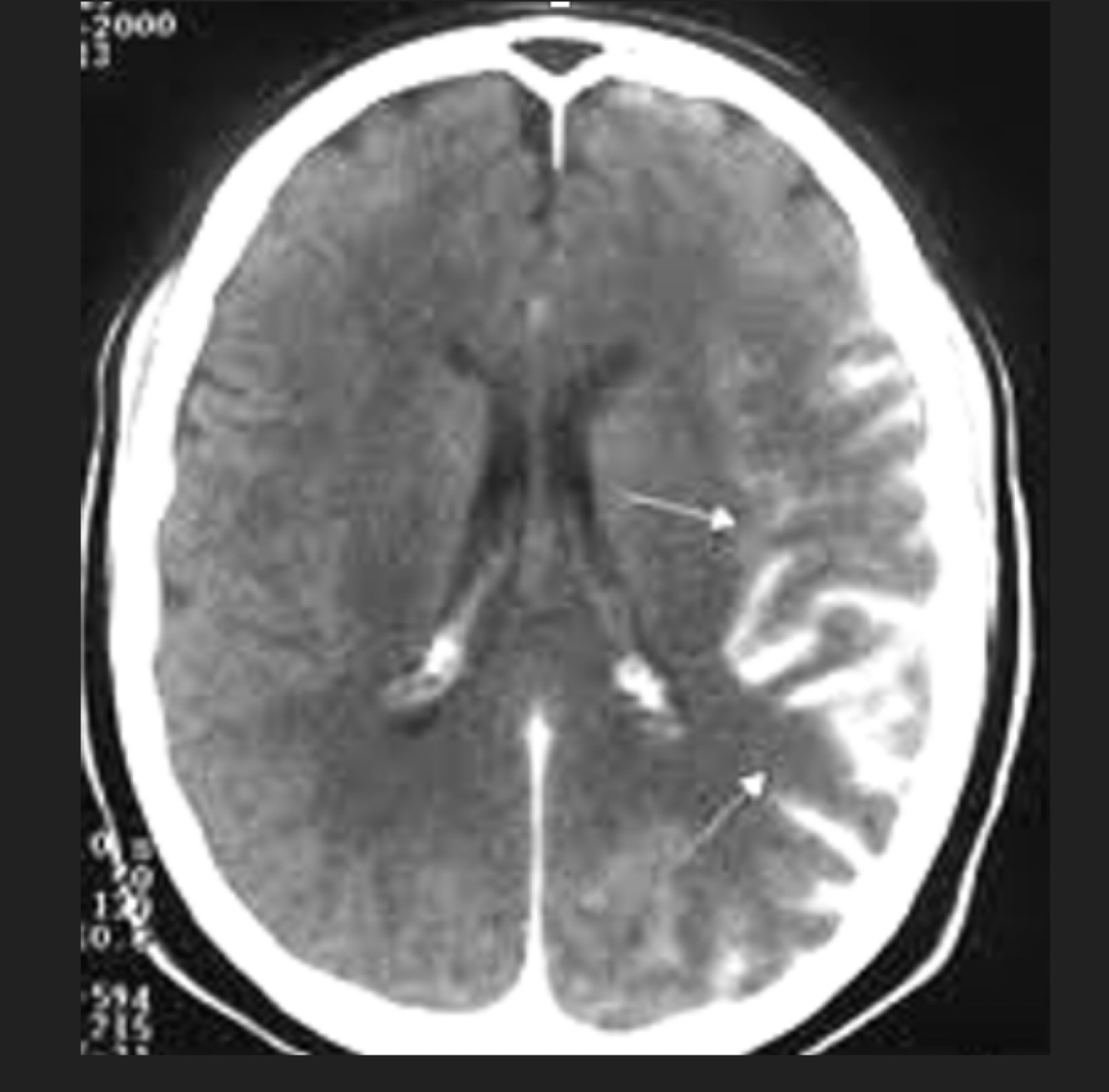
Paciente con accidente automovilístico. Glasgow 5

A

Hemorragia subaracnoidea

How well did you know this?
1
Not at all
2
3
4
5
Perfectly
10
Q

Femenino de 72 años de edad, con cefalea y crisis convulsivas

A

Neurocisticercosis

How well did you know this?
1
Not at all
2
3
4
5
Perfectly
11
Q

Femenino de 34 años, FUM hace 14 semanas

A

Embarazo múltiple

How well did you know this?
1
Not at all
2
3
4
5
Perfectly
12
Q

Femenino 59 años,dolor en hipocondrio derecho, vómitos, Murphy positivo, USG vesícula biliar pared 12 mm

A

Colecistitis Crónica Litiásica Agudizada (CCLA)

How well did you know this?
1
Not at all
2
3
4
5
Perfectly
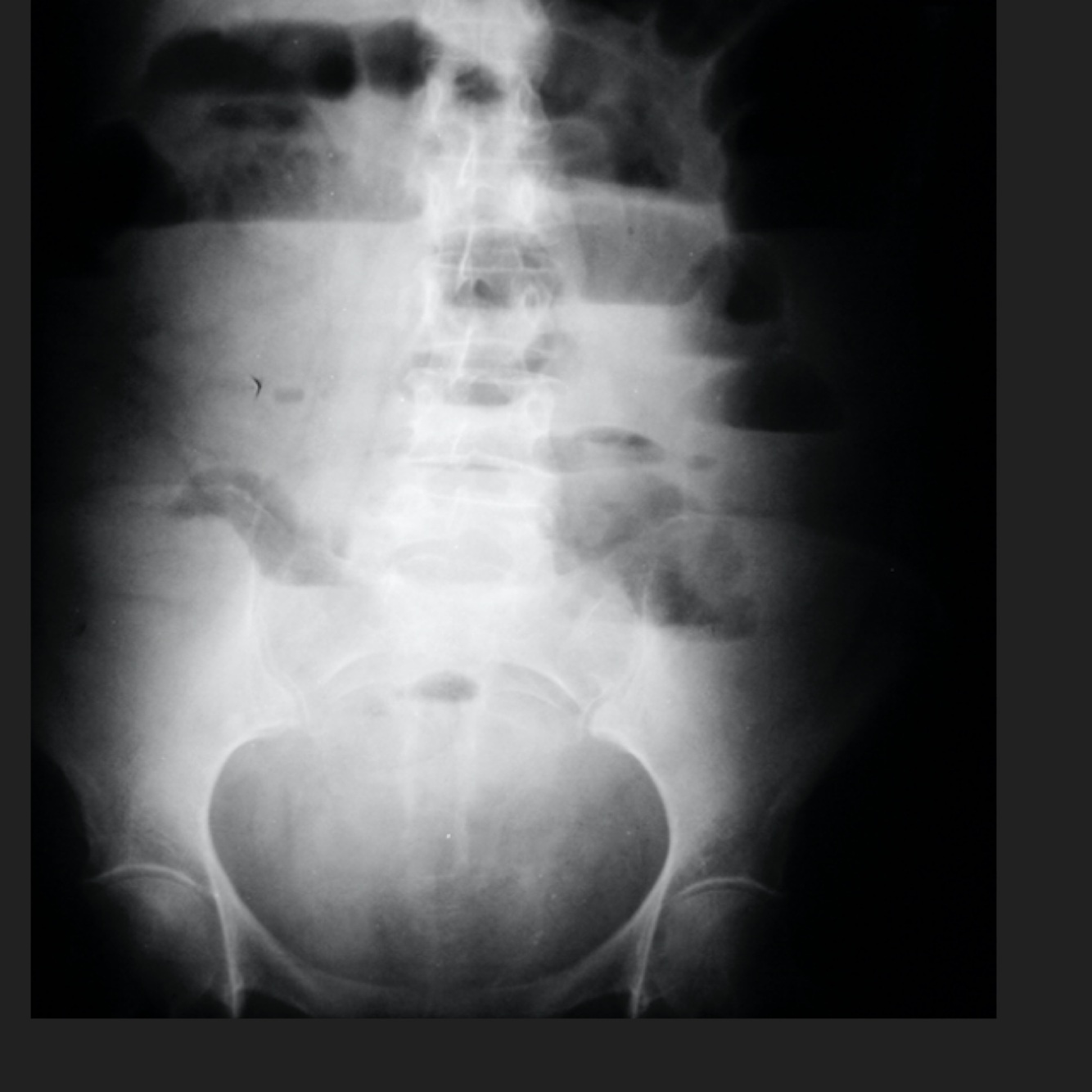
13
Q

Femenino de 68 años. Dolor abdominal, distensión abdominal, imposibilidad para evacuación y canalización de gases 18 hrs

A

Oclusión intestinal

How well did you know this?
1
Not at all
2
3
4
5
Perfectly
14
Q

Masculino de 57 años, viene a valoración preparatoria, usted indica:

A

Situs inversus

How well did you know this?
1
Not at all
2
3
4
5
Perfectly
15
Q

Causa de la insuficiencia renal del paciente

A

Nefrocalcinosis

How well did you know this?
1
Not at all
2
3
4
5
Perfectly
16
Q

Masculino de 49 años, con IVU de repetición, Hematuria ocasional

A

Riñon en herradura

17
Q

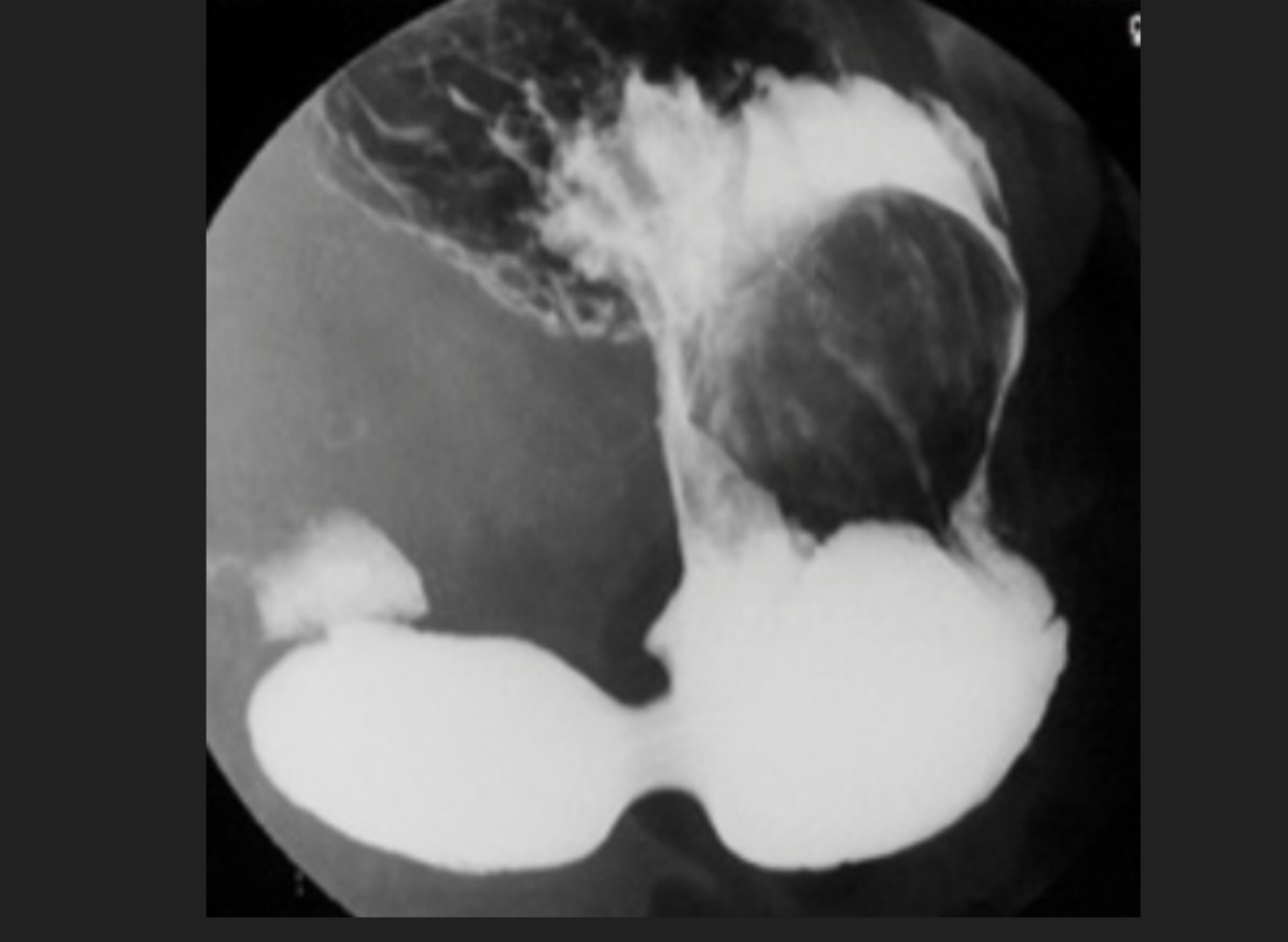
Femenino de 65 años, disfagia, dolor retroesternal

18
Q

Masculino de 74 años. Sensación de plenitudgástrica, astenia, Adinamia, Hiporexia, pérdida de peso de 16 kg en tres meses

19
Q

Femenino de 79 años. Astenia, Adinamia, dolor óseo, sed intensa, pérdida de la fuerza en miembros inferiores

A

Mieloma múltiple

20
Q

Femenino de 42años
FUM hace 8 semanas, USG

A

Mola Hidatiforme

21
Q

Femenino de 28 años, tos en accesos, Rinorrea anterior y posterior, malestar importante

A

Sinusitis maxilar izquierda

22
Q

Masculino de 45 años, accidente automovilístico, disnea, dolor en tórax

A

Tórax inestable