URO Flashcards

(12 cards)

1
Q

La Imágen nos muestra:

A

Ectopia renal

How well did you know this?
1
Not at all
2
3
4
5
Perfectly
2
Q

Identificamos:

A

Riñon en herradura

How well did you know this?
1
Not at all
2
3
4
5
Perfectly
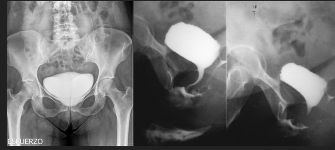
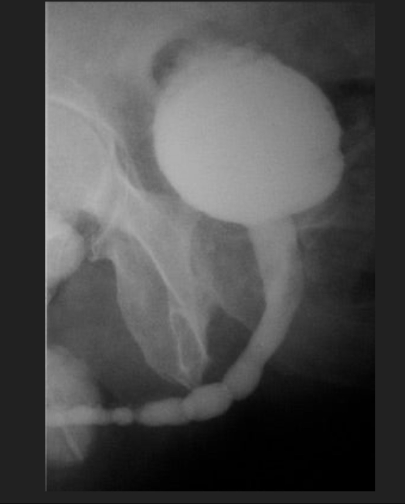
3
Q

Cistograma con datos de:

A

Divertículos vesicales

How well did you know this?
1
Not at all
2
3
4
5
Perfectly
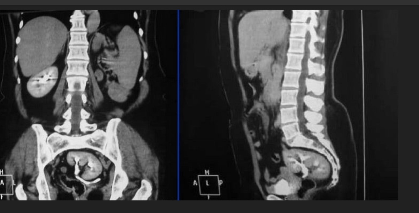
4
Q

UE Nefromegalia secundaria a:

A

Hidronefrosis

How well did you know this?
1
Not at all
2
3
4
5
Perfectly
5
Q

IRC secundaria a:

A

Riñones poliquisticos

How well did you know this?
1
Not at all
2
3
4
5
Perfectly
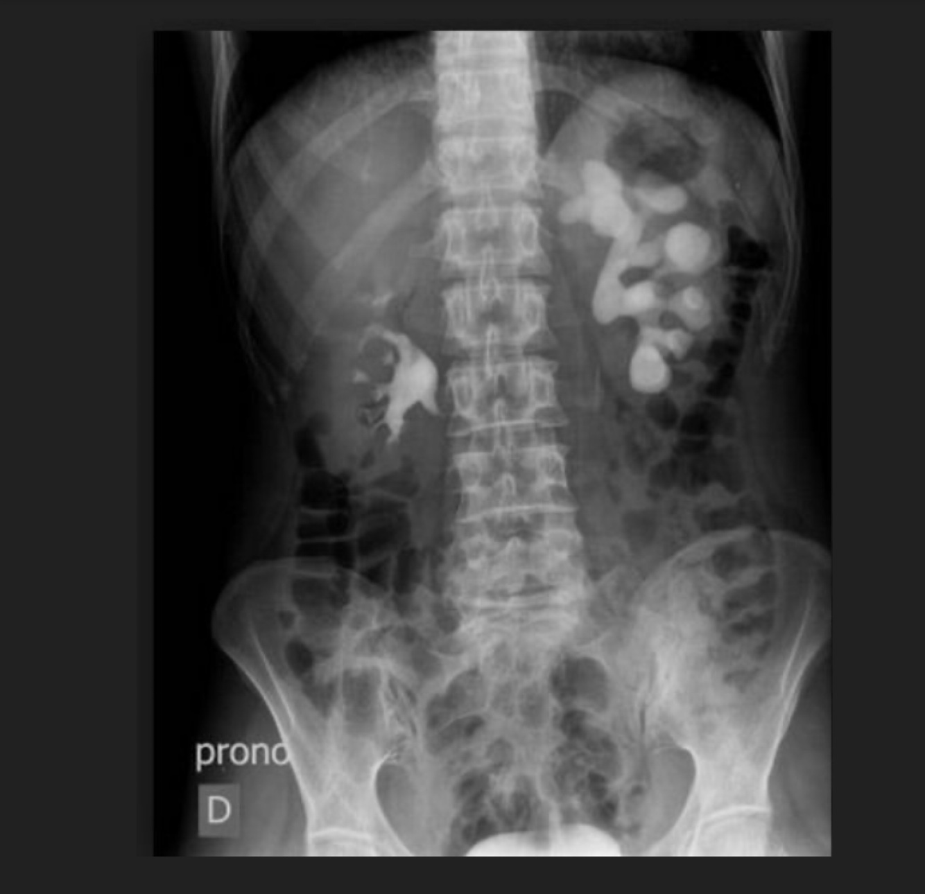
6
Q

Parte de UE, ¿Hay patología ureteral?

A

Doble sistema colector completo

How well did you know this?
1
Not at all
2
3
4
5
Perfectly
7
Q

¿Hay alteración ureteral?

A

Doble sistema colector incompleto

How well did you know this?
1
Not at all
2
3
4
5
Perfectly
8
Q

-Tabaquismo +
-Astenia
-Adinamia
-Hiporexia
-Baja de 12 kg en cuatro meses
-Hematuria silenciosa

A

Cáncer renal

How well did you know this?
1
Not at all
2
3
4
5
Perfectly
9
Q

Mujer, al efectuar esfuerzo (toser, hacer ejercicio, cargar algo pesado) presenta fuga de orina

A

Vejiga de esfuerzo, incontinencia urinaria, cistocele

How well did you know this?
1
Not at all
2
3
4
5
Perfectly
10
Q

Hombre durante la micción

A

Uretra: Múltiples estenosis, secuelas de gonorrea

How well did you know this?
1
Not at all
2
3
4
5
Perfectly
11
Q

Hombre en tedio de HPO
-Hematuria silenciosa
-Astenia
-Adinamia
-Hiporexia
-Pérdida de peso de 8 kg en tres meses

A

HPO+ Cáncer vesical

How well did you know this?
1
Not at all
2
3
4
5
Perfectly
12
Q

-Hematuria silenciosa
-Astenia
-Adinamia
-Hiporexia
-Baja de peso de 12 kg

A

Cáncer renal

How well did you know this?
1
Not at all
2
3
4
5
Perfectly