respi Flashcards

(153 cards)

1
Q

RESPIRATORY EPITHELIUM

A

pseudostratified columnar epithelium
w/ goblet cells

will transition to simple cuboidal in bronchioles,
then to simple squamous in alveolar ducts and alveoli!
(i.e. Type I cells, fn of gas exchange)

note: the parts which come into contact w/ external envt
(e.g. part of pharynx and larynx)
= STRATIFIED SQUAMOUS epithelium

How well did you know this?
1
Not at all
2
3
4
5
Perfectly
2
Q

Main mucles involved in respiration

A

Diaphragm and chest wall muscles

  • Inspiration: CONTRACT
    to move down and move ribs down
    => increase intrathoracic volume
  • Expiration: RELAX
    to allow thoracic cavity to recoil
    => decrease intrathoracic volume

thus,
inspiration = ACTIVE process
expiration = PASSIVE process

How well did you know this?
1
Not at all
2
3
4
5
Perfectly
3
Q

which is/are true about intrapleural pressure?

A) Intrapleural pressure is always greater than intrapulmonary pressure
B) Intrapleural pressure is always less than intrapulmonary pressure
C) Intrapleural pressure is always greater than atmospheric pressure
D) Intrapleural pressure is always less than atmospheric pressure

A

B) and D)
- Intrapleural < Intrapulmonary
in order to keep lungs expanded
- Intrapleural < Atmospheric
as lungs have tendency to collapse inward due to elastic recoil while chest wall has natural tendency to expand outward
-> negative pressure acts like vacuum
=> prevents lung from collapsing

How well did you know this?
1
Not at all
2
3
4
5
Perfectly
4
Q

relationship bet intrapulmonary pressure and atmospheric pressure during inspiration

A

intrapulmonary pressure < atmospheric pressure
-> pressure gradient drives air to flow INTO lungs

How well did you know this?
1
Not at all
2
3
4
5
Perfectly
5
Q

relationship bet intrapulmonary pressure and atmospheric pressure during expiration

A

intrapulmonary pressure > atmospheric pressure
-> pressure gradient drives air to flow OUT of lungs

How well did you know this?
1
Not at all
2
3
4
5
Perfectly
6
Q

causes of change in intrapleural pressure

A

increased air or fluid in pleural space

increased air = pneumothorax
increased fluid = pleural effusion (serous fluid) OR haemothorax (blood)

How well did you know this?
1
Not at all
2
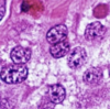
3
4
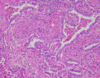
5
Perfectly
7
Q

which sensors (and where) detect changes in O2

A

Peripheral chemoreceptors
in aortic and carotid bodies

senses mainly O2, but also CO2 and pH

How well did you know this?
1
Not at all
2
3
4
5
Perfectly
8
Q

which sensors (and where) detect changes in CO2

A

Central chemoreceptors
in medulla

senses mainly CO2 and pH

How well did you know this?
1
Not at all
2
3
4
5
Perfectly
9
Q

which drive is normally a more potent stimulator of ventilation,
hypoxic (low pO2) or hypercapnic (high pCO2)?

A

hypercapnic
bcos normal range of pCO2 is 35-45mmHg
and hypercapnic drive has range of 45-70mmHg
=> more sensitive

normal range of pO2 is 80-100mmHg
and hypoxic drive has range of less than 60mmHg
=> less sensitive

since chemoreceptors of pCO2 is in medulla (brain),
most powerful respiratory stimulant in healthy person is
decreased CSF pH

How well did you know this?
1
Not at all
2
3
4
5
Perfectly
10
Q

In what scenario will patients rely more on hypoxic drive for ventilation

A

COPD patients
bcos there is chronic CO2 retention
-> blood becomes chronically more acidic
-> blood buffers step in to normalise blood pH
=> less stimulation of chemoreceptors even though CO2 remains high

implications:
giving oxygen supplementation
-> reduce hypoxic drive
=> cause decreased ventilation instead of increased ventilation

How well did you know this?
1
Not at all
2
3
4
5
Perfectly
11
Q

definition of tidal volume (TV)

A

volume of air entering or exiting lungs
with EACH passive breath

How well did you know this?
1
Not at all
2
3
4
5
Perfectly
12
Q

definition of inspiratory reserve volume (IRV)

A

extra air entering lungs with maximum inspiration

How well did you know this?
1
Not at all
2
3
4
5
Perfectly
13
Q

definition of expiratory reserve volume (ERV)

A

extra air exiting lungs with maximum expiration

How well did you know this?
1
Not at all
2
3
4
5
Perfectly
14
Q

definition of vital capacity (VC)

A

total volume of air which can be moved in or out of lungs
(i.e. TV + IRV + ERV)

How well did you know this?
1
Not at all
2
3
4
5
Perfectly
15
Q

Which of the following is true about Functional Residual Capacity (FRC)?

A) It is the total amount of air in the lungs after normal exhalation.
B) It consists of Expiratory Reserve Volume (ERV) and Residual Volume (RV).
C) It plays a key role in preventing large fluctuations in alveolar gas composition.
D) All of the above.

A

D) All of the above.

FRC = ERV + RV,
and represents the volume of air left in the lungs AFTER a normal expiration

helps maintain steady oxygen and CO₂ levels.

How well did you know this?
1
Not at all
2
3
4
5
Perfectly
16
Q

air flow in, air flow out or both

Compliance vs Elasticity vs Airway resistance
in relationship to airflow

A
  • Compliance
    = stretchability
    => affects how easily air flows IN
  • Elasticity
    = recoil
    => affects how easily air flows OUT
  • Airway resistance
    = resistance to airflow
    => affects how easily air flows IN AND OUT
How well did you know this?
1
Not at all
2
3
4
5
Perfectly
17
Q

what is compliance affected by

A
  • surfactant
    which disperses the fluid molecules on lining of alveoli
    -> decreases surface tension
    => thus helping alveoli stretch
  • fibrosis
  • skeletal deformities

1 pathology linked to surfactant production is neonatal respiratory distress syndrome
where insufficient surfactant production
-> alveoli collapse,
esp in not fully developed lungs of premature neonates

How well did you know this?
1
Not at all
2
3
4
5
Perfectly
18
Q

what is airway resistance affected by

A
  • size of airway
    (changes with bronchoconstriction and bronchodilation)
  • mucus accumulation

pathologies linked to this are
* asthma: bronchoconstriction + mucus overproduction
(and also airway swelling/oedema)
* drugs (anti-adrenergics, anti-cholinergics, anti-inflammatory): bronchodilation or bronchoconstriction

How well did you know this?
1
Not at all
2
3
4
5
Perfectly
19
Q

difference in pressure and flow in lungs

compare bet before birth/fetus vs after birth/adults

A
  • before birth: high pressure, low flow
    due to lungs being prevented from being used for gas exchange
    -> constriction of pulmonary blood vessels
    -> high resistance in these blood vessels
    => high pressure, low flow
  • after birth: low pressure, high flow
    due to lungs having function of gas exchange
    -> dilation of pulmonary blood vessels
    -> low resistance in these blood vessels
    => low pressure, high flow

before birth,
oxygenation occurs via placenta
and blood from RV bypasses lungs via ductus arteriosus and foramen ovale

How well did you know this?
1
Not at all
2
3
4
5
Perfectly
20
Q

what does restrictive lung disease affect

A
  • limit lung expansion
    => reduced compliance
  • since lungs now resist expansion more
    => high recoil
How well did you know this?
1
Not at all
2
3
4
5
Perfectly
21
Q

what does obstructive lung disease affect

A
  • impede airflow
    => increased airway resistance
How well did you know this?
1
Not at all
2
3
4
5
Perfectly
22
Q

how does restrictive lung disease affect FEV1/FVC ratio

A

increase in FEV1/FVC
(to ≥ 0.7-0.8)
* due to air having difficulty ENTERING lungs
lung volumes are reduced (FVC decrease)
=> less air available to be exhaled in 1st second of forced exhalation too (FEV1 decrease)
* however due to high recoil
-> rapid expiration in 1s
=> FEV1 decreases less than FVC

How well did you know this?
1
Not at all
2
3
4
5
Perfectly
23
Q

how does obstructive lung disease affect FEV1/FVC ratio

A

decrease in FEV1/FVC
(to ≤ 0.7-0.8)
due to airway impedement
-> exhalation (passive process) being limited and thus slowing down
=> decreased FEV1

also have decrease in FVC
as patient cannot exhale completely
-> air being trapped
however, decrease in FEV1 > decrease in FEV1

How well did you know this?
1
Not at all
2
3
4
5
Perfectly
24
Q

Why is oxygen (O₂) more affected than carbon dioxide (CO₂) in many respiratory pathologies?

A) O₂ has a higher solubility in blood than CO₂
B) CO₂ has a greater solubility in blood than O₂
C) O₂ is actively transported across the alveolar membrane
D) CO₂ is not affected by ventilation-perfusion mismatches

A

B) CO₂ has a greater solubility in blood than O₂

thus CO2 is more efficiently removed than O2 is taken up
-> O2 levels are affected first in various pathologies
=> ventilation must be severely impaired before CO2 retention (hypercapnia) occurs

How well did you know this?
1
Not at all
2
3
4
5
Perfectly
25
how does RATE of blood flow change during exercise
**increased** rate of blood flow -> **less time** available for gases to **diffuse and equilibrate** => lead to exercise-induced **hypoxia** in **intense exercise**
26
what factors affect affinity of Hb for O2
* pH (lower pH = decreased affinity) * temperature (higher temp = decreased affinity) * 2,3-DPG (increased 2,3-DPG = decreased affinity) | 2,3-DPG is molecule in RBC which regulates affinity of Hb for O2 ## Footnote when we NEED more O2 (e.g. during exercise or at higher altitudes), **affinity** of Hb for O2 should **decrease**, to allow O2 to be **released to tissues more easily** change in affinity due to 2,3-DPG is NOT IMMEDIATE => affinity of Hb for O2 will not change UPON e.g. ascending to **higher altitudes**
27
Does pO2 change in Hb disorders (e.g. anaemia)
No! as pO2, which measures the pressure of O2 **dissolved in blood** is determined by **alveolar O2 conc** and is independent of amt of Hb
28
explain CO2 transport in human body ## Footnote eqn is CO2 + H2O -> H2CO3 -> H+ + HCO3-
* CO2 diffuses from lungs/tissue to blood * some CO2 are **dissolved in blood** => resposible for **pCO2** * the rest **enter RBCs** * in RBC, some will **bind to proteins** e.g. **Hb** to form **carbamino Hb** * others will be converted to H2CO3 then to **HCO3-** * HCO3- is then **transported into blood** (while **Cl- is transported into RBC** to maintain electrical neutrality) | eqn is CO2 + H2O -> H2CO3 -> H+ + HCO3- ## Footnote HCO3- in blood is the **predominant** form of CO2
29
definition of dead space
* ventilation ≥ perfusion => wasted ventilation as **air inspired** does not undergo gas exchange * **V/Q = infinity**
30
definition of shunt
* perfusion ≥ ventilation => wasted perfusion as **blood** does not undergo gas exchange * **V/Q = 0**
31
example of dead space
* pulmonary embolism as it **obstructs blood flow** to areas of lung that still receive ventilation ## Footnote there is also physiologic dead space <- mainly due to **anatomical dead space** (i.e. air in conducting airways (e.g. nose, pharynx) where no gas exchange occurs)
32
examples of shunt
* atelectasis as **collapse of alveoli** -> alveoli not being ventilated but still receiving blood flow * pneumonia as **inflammation** -> **fluid-filled alveoli (w/ exudate)** -> alveoli is poorly ventilated but still receiving blood flow ## Footnote there is also physiologic shunts due to **bronchial circulation** <- **bronchial arteries**, after supplying lung tissues w/ oxygenated blood and thus now carrying deoxygenated blood, drain into **pulmonary veins**(carries oxygenated blood)
33
Which of the following is FALSE? A) Absence of cyanosis indicates normal SaO2 B) Hyperbaric treatment can be used to treat both decompression sickness and carbon monoxide poisoning C) A patient with carbon monoxide poisoning is unlikely to have arterial hypoxaemia D) For a given partial pressure, there are more CO2 molecules dissolved in blood than O2 molecules E) Acidosis shifts the oxygen dissociation curve to the right
A) Absence of cyanosis indicates normal SaO2 absence of cyanosis can still occur w/ drop is SaO2 below normal <- cyanosis occurs when there is **EXCESS** deoxygenated Hb (around SaO2 of 70-80%) ## Footnote (C) is true as CO binds to Hb => affects Hb and does not affect PO2 also note that CO poisoning does NOT cause cyanosis <- CO binds to Hb to form **COHb** which is **cherry pink**
34
separate structures into upper and lower respiratory tract ## Footnote pathway of airflow: * Nasal cavity (or oral cavity) * Pharynx * Epiglottis and larynx * Trachea * Bronchi * Bronchioles * Alveoli
* Upper RT: nasal cavity and pharynx * Lower RT: trachea and below ## Footnote larynx can either be upper RT or lower RT
35
risk factors of NPC
* **EBV** infection at young age => patients w/ NPC often have **high antibody titres** to EBV * **Southern Chinese** descent * Family history => **screening** recommended for people w/ **2 close family members infected** ## Footnote since EBV infection occurs at **young age** -> **long latency** bet EBV infection and NPC
36
Symptoms of NPC
* enlarged **CERVICAL lymph nodes** <- metastases * hearing loss and **tinnitus** due to **obstruction** to eustachian tube -> secretory **otitis media** (i.e. tube blocked -> everything behind tube gets infected) * epistaxis (i.e. nosebleed) * diplopia (i.e. double vision) <- invasion of **CN VI** ## Footnote * enlargement of cervical (neck) lymph nodes is PAINLESS * other nasal-related symptoms include blocked nose and serous discharge
37
# 3 types types of NPC
* keratinising * non-keratinising (differentiated or undifferentiated)
38
# i.e. what results in higher likelihood of getting NPC what is **keratin**ising NPC associated with
Smoking and drinking alcohol (rmb as **keratin** -> strong (bcos in fingernails) -> gangsters (who are strong) all smoke and drink)
39
what is the most common subtype of NPC
**non-keratinising** squamous cell carcinoma (**undifferentiated**)
40
which subtype of NPC is the **most sensitive** to radiotherapy
**UN**differentiated **NON**-keratinising type (rmb that two Ls make a W => **most likely to be cured**) ## Footnote in contrast, **keratin**ising type is the **least sensitive** (rmb that keratin is **strong**)
41
what does the screening for EBV involves
**annual** screening of * EBV **IgA** antibody (bcos we swab the **mucosA**) * nasoendoscopy
42
Which of the following is the most common cause of croup? A) Respiratory syncytial virus (RSV) B) Haemophilus influenzae C) Parainfluenza virus D) Streptococcus pneumoniae
C) Parainfluenza virus take note that (A), (B) and (C) are all common causes of **acute laryngotracheobronchitis** (i.e. croup)
43
Which of the following best describes the pathophysiology of croup? A) Excess mucus production in the bronchi B) Inflammation and edema of the subglottic region C) Necrotizing infection of the epiglottis D) Bronchoconstriction due to IgE-mediated response
B) Inflammation and edema of the subglottic region **Viral infection** -> sudden **swelling** of **epiglottis and vocal cords** -> partial **obstruction** of airway => barking cough and stridors | stridor is a high-pitched sound heard typically during inhalation
44
complication of **c**roup
**c**hoking in young **c**hildren
45
what is 1 possible benign neoplasm
sinonasal papillomas (a.k.a. transitional **"Schneiderian"** papilloma) * defining characteristic: **HIGH recurrence, LOW malignancy** (i.e. it keeps coming back, but doesn't become malignant and metastasise)
46
complication of sinusitis ## Footnote sinusitis is the inflammation of the paranasal sinus linings of the **maxillary, ethmoid and frontal** sinuses
inflammation -> mucosal oedema -> bacterial infection -> **spread to meninges*
47
pathogenesis of asthma
1. Sensitisation to allergens **exposure** to allergens stimulate **APCs** -> activate naive CD4+ **T cells** -> differentiate into **Th2 cells** -> release key cytokines like **IL-4 and IL-5** -> **IL-4** promotes **IgE production** by **B cells** -> IgE then **bind to mast cells** => mast cells are now **sensitised** 2. Mast cell activation (EARLY stage rxn) during **re-exposure**, allergens **cross-links IgE** -> **mast cell degranulation** -> release of mediators such as **histamine, leukotrienes (LTB4, LTD4) and prostaglandins** => **bronchoconstriction**, mucus production and edema due to increased vascular permeability 3. Eosinophilic inflammation (LATE stage rxn) **IL-5** recruits **eosinophils** -> release toxic granules => **tissue damage** (destruction of epithelium) and thus **worsening inflammation** ## Footnote histamine release causes excess production of mucus
48
Structural changes due to chronic inflammation in asthma
* Airway remodeling: <- **smooth muscle** hypertrophy and hyperplasia * Airway **hyperresponsiveness** * **Goblet cell** metaplasia -> mucus overproduction * Mucosal **oedema** ## Footnote can also result in * **Fibrosis and scarring** -> permenant reduction in airway diameter * (In longstanding cases) Deposition of **collagen** beneath bronchial epithelium <- lung adapts to try and increase muscle strength so that it doesn't collapse so easily airway hyperresponsiveness = airways excessively narrowing even in response to mild triggers
49
What are Curschmann spirals composed of? A) Eosinophil-derived proteins B) Mucus from goblet cell hyperplasia C) Collagen fibers D) Fibrin deposits
B) Mucus from goblet cell hyperplasia Curshmann spirals form **thick mucus plugs** -> block exchange of air and block inhaled medications ## Footnote seen in **sputum analysis**
50
What causes the formation of Charcot-Leyden crystals in asthma? A) Breakdown of eosinophils releasing Galectin-10 B) Chronic inflammation leading to fibrosis C) Excess surfactant production in the lungs D) Neutrophil aggregation in response to allergens
A) Breakdown of eosinophils releasing Galectin-10 its presence indicates **eosinophilic inflammation** => thus likely to be **atopic (allergy) asthma** ## Footnote seen in **sputum analysis**
51
# mediators? inflammation type? key players? types of asthma
* allergic asthma: **IgE**-mediated type **1** inflammation, involving **IL-4 and IL-13** * eosinophilic asthma: **cell**-mediated type **2** inflammation, involving **IL-5**, IL-4 and IL-13 * mixed asthma: allergic asthma + eosinophilic asthma
52
drug classes used in asthma and COPD
* bronchodilators: beta-2 agonists and muscarinic antagonists * anti-inflammatory: inhaled corticosteroids (ICS)
53
what are the preferred bronchodilators used for asthma
**beta-2 agonists** (SABAs and LABAs) bcos **bronchoconstriction** (MAIN problem) is due to inflammatory mediators => quick solution is to **directly relax** airway smooth muscle ## Footnote in contrast, in **COPD**, bronchoconstriction and mucus secretion is due to **increased vagal (i.e. parasympathetic) tone** => solution is to give **parasympatholytics** which = **antimuscarinics**
54
# and route which drug is given in emergency to relieve asthma attack
adrenaline (or epinephrine), IV/SC
55
# and route what drug is given to relieve bronchospasm in acute asthma | n
**Salbu***tamol* (*SABA*) (rmb as "SABA-tamol), IV in emergency, inhalation/oral otherwise | acts for 3-6 hrs
56
# and route what drug can be used both for maintenance (controller) and for acute relief (reliever) of asthma
**F**ormo*terol* (**Fast**-acting *LABA*), inhalation/oral | acts for 12 hr
57
# and route what drug is used for long-term maintenance (controller) of asthma
**S**alme*terol* (**slow**-acting *LABA*), inhalation/oral | acts for 12 hr
58
# and route what bronchodilator is ultra long-acting
**In**daca*terol* (ulta long-acting, almost like **infinity**, *LABA*), inhalation/oral | acts for 24 hr => given once a day ## Footnote used for **maintenance** in **COPD** and **LAMA** NOT working
59
most common side effect of bronchodilators
tremor bcos **B2** agonist -> stimulate **skeletal muscles** => tremors ## Footnote by increasing cAMP -> enhanced Na+/K+ pump activity -> disrupts **normal muscle contraction-relaxation balance** => **involuntary** muscle twitching
60
how do bronchodilators affect K+ and glucose levels
* hypokalaemia due to bronchodilators being B2 agonists -> stimulate **Na+/K+ pump** in **skeletal muscles** -> increase **uptake of K+** from bloood into cells => decrease serum K+ levels * hyperglycaemia via stimulation of **glycogenolysis and gluceoneogenesis** and inhibition of insulin secretion (@ higher doses) | glycogenolysis = breakdown of gly... gluconeogenesis = glu... production ## Footnote hypokalaemia has same MOA as tremors
61
use of which drug class alone will worsen asthma
LABAs -> **downregulate** B2 adrenoceptors -> **reduce effectiveness** of B2 agonists as reilievers when used for bronchodilation in acute asthma attack => must prescribe **inhaled corticosteroids** together ## Footnote downregulation is due to chronic stimulation -> body desensitisation
62
# think if the pathophysiology of asthma MOA of bronchodilators
* airway **smooth muscle** relaxation => combat **bronchoconstriction** * **mast cell** stabilisation => help with **ALL** effects * decrease **microvascular** leakiness => reduce **oedema** * increase **mucociliary** clearance => increase **mucus** clearance
63
examples of inhaled corticosteroids
* Flutica**sone** * Cicle**son**ide * Bude**son**ide
64
side effects of ICS
* Candidiasis * Dysphonia ## Footnote both related to **throat** area
65
Which of the following **ICS** has the greatest risk of adrenal suppression? A) Budesonide B) Beclomethasone C) Fluticasone D) Ciclesonide
C) Flutica**sone** bcos it has higher **systemic bioavailability**
66
Which of the following **ICS** is an example of a soft steroid? A) Budesonide B) Beclomethasone C) Fluticasone D) Ciclesonide ## Footnote Soft steroid: Drugs that have localised action and are metabolised into inactive forms once absorbed systemically
D) Cicle**son**ide **prodrug** -> requires esterase activation in lungs -> reduced **systemic side effects** (including adrenal suppression)
67
why are corticosteroids administered via IV in acute asthma attack
so that they can be administered **early** <- have **slow onset of action**
68
why should corticosteroids NOT be used in every situation
must strike balance bet **control** of inflammatory disease and increased risk of **opportunistic infection**
69
Examples of leukotriene pathway inhibitors
* zi-**LEU**-ton * monte-LU**(LEU)**-kast are **LEU**-kotriene pathway inhibitors ## Footnote administered vis **ORAL** route only
70
side effects of leukotriene pathway inhibitors
* mood disturbances, insomnia/vivd dreams and suicidal thinking * Churg-Strauss syndrome: steroid **withdrawal** -> **eosinophilic rebound** -> triggering **vasculitis** and worsening asthma and systemic symptoms ## Footnote Churg-Strauss syndrome more commonly seen in Montelukast
71
what is another **anti-inflammatory** drug is used as **2nd-line treatment** for severe **allergic** asthma
Anti-**IgE** antibody = Omalizumab
72
side effects of Omalizumab
**O***ma*lizumab = anti-IgE antibody sounds like **O**-shit *ma* heart hurts => side effectd are **heart attack**, as well as blood clots and TIA ## Footnote bcos heart attack can be caused by blood clots and blood clot can also cause TIA
73
what is another **anti-inflammatory** drug is used as **2nd-line treatment** for severe **eosinophilic** asthma
Anti-IL**5** antibody = RESLIzumab (bcos RESLIzumab = Re**5**lizumab)
74
side effect of reslizumab
oropharyngeal pain
75
Cromoglicic acid is primarily used in the management of: a) Acute asthma attacks b) Chronic obstructive pulmonary disease (COPD) c) Exercise-induced and mild persistent asthma d) Status asthmaticus
c) Exercise-induced and mild persistent asthma used **prophylactically** to prevent asthma symptoms | used in mild persistent asthma when patients **cannot tolerate ICS** ## Footnote MOA: * prevents **mast cell degranulation** -> prevent release of histamine and inflammatory mediators
76
Adverse effects of cromoglicic acid? A) Throat irration B) Dry mouth C) Cough D) Unpleasant bitter taste E) All of the above
E) All of the above Cromoglicic acid = **Cough**-*mouth*-glicic acid => symptoms include * **cough** * *mouth related: dry mouth, and unpleasant bitter taste in mouth*
77
Which of the following are used as an adjunct treatment for **severe acute** asthma? A) Magnesium oxide B) Magnesium sulphate C) Sodium sulphate D) Calcium oxide E) Calcium sulphate ## Footnote used when 1st-line treatments (bronchodilaters and corticosteroids) are not working
B) Magnesium sulphate has multiple beneficial effects, including **bronchodilation** (via inhibiting Ca2+ influx into smooth muscle cells) and **anti-inflammatory** effects
78
What is the primary cause of chronic bronchitis? A) Bacterial infection B) Long-term exposure to irritants C) Autoimmune response D) Genetic mutations
B) Long-term exposure to irritants **inflammation** of bronchi -> **MUCUS** HYPERSECRETION & luminal narrowing (from thickened bronchial walls) => **airway obstruction** ## Footnote **NEUTROPHILIC** inflammation (i.e. chronic exposure to irritants -> activate **neutrophils** -> release substances which **stimulate mucus-secreting cells to secrete more mucus**)
79
Why are patients with chronic **B**ronchitis known as **B**lue **B**loaters
* Blue due to **mucus plugs** -> **shunts** in some lung areas ("wasted perfusion") -> systemic **hypoxemia** (i.e. blood has little O2 => **cyanosis** which gives skin the blue colour * Bloaters due to **RHF** -> **fluid retention**
80
explain hypoxic vasoconstriction | occurs in COPD
**physiological** response by body where arteries to **shunted** lung segments **constrict** -> **divert blood** to **better-oxygenated** lung segments
81
How does chronic bronchitis contribute to cor pulmonale (right heart failure)? A) Increased systemic vascular resistance B) Pulmonary hypertension due to hypoxic vasoconstriction C) Left ventricular hypertrophy D) Increased cardiac output
B) Pulmonary hypertension due to hypoxic vasoconstriction chronic hypoxia -> **pulmonary vasoconstriction** -> **increased pressure** in those pulmonary arteries => strain in right heart (specifically RV)
82
pathogenesis of emphysema: Irritants (e.g. cigarette smoke) → Triggers (...) → Recruited inflammatory cells release (...), including (...) → (...) in activity of proteases and protease inhibitors, e.g. (...) EITHER due to (...) of proteases OR due to (...) in anti-proteases, e.g. (...) deficiency → (...) of alveolar walls and thus larger but less efficient air spaces, a.k.a. (...) & (...) of elastic recoil
irritants (e.g. cigarette smoke) -> triggers **inflammation** -> recruited inflammatory cells release **inflammatory mediators** (including **proteases**) -> **imbalance** in activity of proteases and protease inhibitors (e.g. **alpha-1-antitrypsin**) EITHER due to **oveproduction of proteases** OR due to **decrease in anti-proteases (e.g. a1-antitrypsin deficiency)** -> **breakdown of alveolar walls** and thus larger but less efficient air spaces (**bullae**) & **loss of elastic recoil** ## Footnote proteases break down protein -> in lungs, they degrade **elastin**, which proides **structural integrity** to alveolar walls as well as provide **elasticity**
83
is emphysema considered obstructive or restrictive lung disease
Obstructive due to the loss of **elastic recoil** -> affect **exhalation** * decrease in FVC <- patient cannot exhale completely * large decrease in FEV1 <- **exhalation** (passive process) is now **limited** and thus **slows down** * decrease in FEV1 > decrease in FVC => **decrease** in FEV1/FVC (to **≤ 0.7-0.8**)
84
What is the primary cause of panacinar emphysema? A) Alpha-1-antitrypsin deficiency B) Air pollution C) Smoking-related irritation D) Chronic infections
A) Alpha-1-antitrypsin deficiency **ENTIRE** acinus is **uniformly affected** ## Footnote in contrast, centrilobular emphysema is commonly associated with **smoking**
85
In which part of the lung does centrilobular emphysema primarily occur? A) Upper lobes B) Lower lobes C) Central parts of the acinus D) Distal alveolar sacs only
A) Upper lobes centrilobular emphysema = associated with **smoking** -> **smoke rises** => more severe in **upper** lobes
86
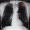
observations in chest X-ray of patient w/ emphysema
A. barrel chest due to **loss of elastic recoil** * resulted in **chest wall's outward force** (intrinsic inelasticity and thus tendency to expand outwards) being relatively **unopposed** -> **ribcage expand** more than normal * also resulted in **air** being unable to be exhaled completely and thus being **trapped** -> **expansion of chest wall** even more B. flattening of hemidiaphragms due to trapped air exerting **pressure** -> forces diaphragm down
87
Why are patients with em**P**hysema known as **P**ink **P**uffers
* Pink due to **adequate oxygenation** * Puffers due to **increased respiratory efforts** to expel air <- destruction of alveolar walls and loss of elastic recoil makes it **hard for air to be expelled**
88
definition of emphysema
permenant dilatation of airspaces distal to the terminal bronchiole w/ destruction of tissue in **absence of scarring** ## Footnote * permenant dilatation of airspaces distal to the terminal bronchiole = alveoli forming bullae * destruction of tissue = destruction of alveoli by proteases
89
pathogenesis of bronchiectasis: **Interference with drainage of secretions**, either via (...) of airway or abnormality in (...) of mucus → accumulation of (...) → which are (...) and thus an ideal environment for (...) => **recurrent and persistent (...)** → chronic (...) inflammation => bronchial (...)
*interference w/ **drainage** of secretions* * obstruction of airway * abnormality in viscocity of mucus (i.e. either block drainage or stop clearing system) -> **accumulation of mucus** -> which are **stagnant** and thus an **ideal envt for infections** => ***recurrent** and persistent infection* -> chronic **necrotising** inflammation => bronchial **dilatation**
90
is bronchiectasis considered obstructive or restrictive lung disease
obstructive bcos **accumulated mucus** clog the dilated bronchi -> reduce airflow ## Footnote **hypoxemia** -> **hypoxic vasoconstriction** by lungs to compensate -> pulmonary **hypertension** => cor pulmonale (i.e. **RHF**) [Complication of bronchiectasis]
91
important symptoms of bronchiectasis
* (productive) COUGH <- excess **mucus trigger cough reflex** to clear the airways * accompanied by FOUL-SMELLING sputum <- chronic **bacterial infections** * often HAEMPTYSIS due to **damage of bronchial blood vessels** -> bleeding into airways
92
Which of the following is NOT a direct cause of ARDS? A) Systemic sepsis B) Severe trauma/burns C) Inhalation of toxic fumes
A) Systemic sepsis **indirect** cause that is most commonly associated with ARDS
93
What is the primary pathophysiologic mechanism of the acute exudative phase of ARDS? A) Fibrosis of the alveoli B) Damage to type II pneumocytes leading to surfactant loss C) Vasoconstriction of pulmonary capillaries D) Decreased mucus production in the airways
*B) Damage to type II pneumocytes leading to surfactant loss* lung injury (direct or indirect) -> activation of immune cells (e.g. neutrophils) which **release cytokines** into blood -> **damage** to alveolar epithelium and capillary endothelium -> *results in **surfactant loss**, thus increased surface tension and thus **alveolar collapse*** AND **increased vascular permeability**, thus fluid, proteins and inflammatory cells **leak into alveoli** and form **hyaline membranes**
94
What occurs in the organizing phase of ARDS? A) Regeneration of normal alveolar tissue B) Resolution of pulmonary edema with complete recovery C) Fibroblast proliferation leading to fibrosis and stiff lungs D) Increased surfactant production
C) Fibroblast proliferation leading to fibrosis and stiff lungs **regeneration** of **type II** alveolar lining, then **organisation** of hyaline membranes w/ fibrosis => marked interstitial **fibrosis** (**"honeycomb" lungs**) and NO MORE hyaline membranes
95
biggest COPD risk factor
age ## Footnote disease usually sets in @ around 40 or older
96
what cell count do we use to track disease progression of COPD? A) Eosinophil B) Neutrophil C) WBC 4) Platelets
A) Eosinophil ## Footnote eosinophil levels is a biomarker for **ICS responsiveness** => **low** levels = **neutrophilic-driven** inflammation -> ICS will have **minimal effect** on reducing exacerbations and **increase risk of infections** (e.g. pneumonia)
97
A patient with ≥ 2 moderate COPD exacerbations in the past year but eosinophil count < 300 should receive which treatment? A) LABA only B) LABA + ICS C) LABA + LAMA D) LABA + LAMA + ICS
C) LABA + LAMA * patient is in Grp **E** bcos ≥ 2 moderate COPD exacerbations or ≥ 1 leading to hospitalisation * but **EOS < 300** -> at higher risk of **infections** (e.g. pneumonia) => CANNOT use **ICS**
98
A patient with a CAT score of 15, mMRC of 3, and no recent exacerbations should be classified under which COPD treatment group? A) Group A B) Group B C) Group E
B) Group B * both grps A and B involve 0 or 1 moderate COPD exacerbations * but grp B as **mMRC** ≥ 2 and **CAT** ≥ 10
99
example of SA**MA**
Ipratrop**ium**
100
examples of LA**MA**
* Tiotrop**ium** * Glycopyrron**ium**
101
why are muscarinic antagonists (MA) preferred in COPD
bcos bronchoconstriction and mucus secretion in COPD is due to **increased vagal i.e. parasympathetic tone** -> antimuscarinics = **parasympatholytics** = **reduce vagal tone** ## Footnote chronic airway irritation in COPD -> chronic inflammation and remodeling of airways -> persistent stimulation of vagal sensory fibers => increased vagal tone
102
# 3 conditions in what conditions do we not use ICS in treatment of COPD
* Repeated **pneumonia** events as using ICS -> immmunosuppression => higher risk of **recurrent infections** * Blood eosinophils < 100 cells/μl (relate to subset within Grp E) * History of **mycobacterial infection** (e.g. TB) as using ICS -> immmunosuppression => higher risk of **reactivation**
103
what kind of infections are COPD exacerbations usally triggered by
**viral** infections (e.g. influenza) ## Footnote thus getting viral vaccines (e.g. influenza vaccine) will help reduce exacerbations of COPD while getting bacterial vaccines (e.g. pneumococcal vaccine) will not
104
what are the 2 malignant epithelial cell tumours of the lung
* small cell carcinoma * non-small cell carcinoma ## Footnote risk factors include * **cigarette smoking** * radioactive material (e.g. asbestos)
105
diff in treatment of small cell lung carcinoma vs non-small cell lung carcinoma
* small cell: chemotherapy + radiotherapy <- metastasise * non-small cell: **surgery** <- less frequently metastatic and thus less responsive to chemotherapy
106
histological features of small cell carcinoma (lung)
* small neoplastic cells ("oat-like") * w/ finely **granular** nuclear chromatin ("salt and pepper") ## Footnote pepper = lighter staining cytoplasm salt = darker staining chromatin that appear in form of dark dots
107
what type of non-small cell carcinoma (lung) is this
adenocarcinoma * more commonly seen in **female non-smokers** * **peripherally** located on lungs
108
what type of non-small cell carcinoma (lung) is this
squamous cell carcinoma due to the **keratin pearls** * more commonly seen in **male smokers** * central centivation and necrosis seen in lungs
109
Why do pulmonary infarctions occur in only about 10% of PE cases? A) The lungs have a high oxygen reserve B) The pulmonary arteries can autoregulate to prevent infarction C) The lungs have dual blood supply from both the pulmonary and bronchial arteries D) The embolus is usually rapidly dissolved by fibrinolysis
C) The lungs have **dual blood supply** from both the pulmonary and bronchial arteries thus when emboli blocks blood flow in pulmonary arteries, bronchial arteries can supply lung tissue ## Footnote however, if infarction DOES occur, **tissue damage** and death -> **bronchial arterie**s STILL supplying blood to tissue -> **blood leaks** into damaged tissue => presence of **haemorrhagic** wedge-shaped **lesion** (lesion is due to **healing** leaving a scar)
110
What is a long-term consequence of recurrent small pulmonary emboli (PE)? A) Pulmonary edema B) Pulmonary hypertension C) Pleural effusion D) Chronic hypoventilation
B) Pulmonary hypertension Recurrent small emboli progressively **narrow the pulmonary arteries** -> increasing vascular **resistance** => pulmonary **hypertension**
111
A patient is experiencing a persistent cough with thick mucus. Which class of medication would be MOST appropriate to help them clear their airways? A) Antitussives B) Mast cell stabilizers C) Expectorants D) Antihistamines
C) Expectorants * increases production of **respiratory tract fluids** -> help liquefy and **reduce viscocity** of the thick mucus => helps to loosen and thus clear mucus from airways * **oral** route
112
example of expectorant
guaifenesin
113
A patient with allergic rhinitis is experiencing a runny nose and sneezing. Which medication would be MOST appropriate? A) Expectorants B) Decongestants C) Antitussives D) Antihistamines
D) Antihistamines * counteract the effects of histamine, which is released during allergic reactions -> reduce symptoms like runny nose and sneezing * CNS effects, including **sedation**, if take **1st gen** ones ## Footnote don't use mucregulators / mast cell stabilisers as those are for **more severe** cases
114
# s If medication helps to regulate the production or viscosity of mucus, into what category does it fall? A) Antihistamine B) Mucoactive agent C) Antitussive D) Decongestant
B) Mucoactive agent 2 types: * mucolytics * mucokinetics
115
# what drug class is it Acetyl*cysteine* reduces mucous viscosity by which mechanism? A) Stimulating ciliary beat frequency to clear mucus B) Increasing surfactant production in the alveoli C) Blocking voltage-gated sodium channels to reduce local irritation D) Breaking bonds in mucoproteins
D) Breaking bonds in mucoproteins has free **sulfhydryl** group -> opens **disulfide bonds** in mucoproteins (i.e. break down mucoproteins) => **lowers viscocity** of mucus | Mucoactive agent, specifically a *mucolytic*
116
A patient with a known history of **asthma** is prescribed a medication to help with excessive mucus production. Which of the following medications would require the MOST caution given the patient's medical history? A) Bromhexine B) Ambroxol C) Acetylcysteine D) Guaifenesin
C) Acetyl*cysteine* *Mucolytics* have adverse effect of **bronchospasm** => used with caution in patients with **asthma** and elderly or debilitated patients w/ **severe respiratory insufficiency** ## Footnote **Mucokinetics** (Bromhexine + its active metabolite Ambroxol) must also be avoided in patients with **asthma**
117
# test for what how to check if PE has occurred
levels of **D-dimers** bcos clot formation involves the **cross-linking** of D-dimers in fibrin mesh by **Factor 13** -> breakdown of clots will increase D-dimer lvls in blood
118
# where emboli comes from, what is the pathway it travels pathogenesis of pulmonary embolism
DVT -> venous emboli from lower limb -> IVC -> R heart -> pulmonary arteries
119
which factor causes pulmonary oedema, low oncotic pressure OR increased hydrostatic pressure?
Increased hydrostatic pressure * pulmonary *capillaries* have **tight junctions** that prevent fluid from easily leaking into *alveoli* -> must have increased hydostatic pressure to **force fluid out** * low oncotic pressure only causes oedema when there is **another contributing factor**, e.g. increased hydrostatic pressure or damage to capillary barrier
120
does PE result in pulmonary oedema or pleural effusion
pleural effusion * bcos embolism -> **ischemia and inflammation** -> inflammatory mediators increase **permeability of *pleural capillaries*** => fluid leakage into *pleural cavity* * NOT pulmonary edema bcos emboli obstructs the pulmonary arteries -> increased pressure **before the clot** and NOT in downstream capillaries -> no direct increase in hydrostatic pressure in *pulmonary capillaries* => fluid is less likely to move into *alveoli* ## Footnote fluid in **pleural effusion** = **exudate** bcos inflammation <-> fluid in pulmonary **oedema** = **transudate**
121
Which of the following pharmacological effects is NOT associated with bromhexine and its metabolite, ambroxol? A) Stimulation of surfactant production B) Increased adherence of mucus to cilia C) Suppression of influenza virus multiplication D) Antioxidant activity via free radical scavenging
B) Increased adherence of mucus to cilia Mucoactives actually decrease adherence of mucus to cilia via increasing **cilia beat frequency** ## Footnote for (A), surfactant acts as "anti-glue" -> **prevent mucus from sticking** to alveolar and bronchial walls for (D), antioxidant activity = protect lung tissue from oxidative damage by **neutralising free radicals** other pharmacological effects include anti-inflammatory and local anaesthetic
122
A patient is prescribed carbocisteine for excessive mucus production. Which of the following conditions would be a contraindication for this medication? A) Allergic reaction to penicillin B) Active peptic ulcer C) Severe respiratory insufficiency D) History of asthma
B) Active peptic ulcer *Mucoactive* agents (acetylc*ysteine*, carbo*cisteine*) has **gastrointestinal disturbance** as adverse side effect, but carbocisteine in particular is contraindicated in patients w/ peptic ulcer
123
types of antitussives
* opioid * nonopioid
124
Which of the following best describes the mechanism of action of codeine as an antitussive? A) It directly relaxes bronchial smooth muscle, reducing airway constriction and cough. B) It reduces inflammation in the airways, thereby decreasing the urge to cough. C) It acts in the central nervous system (CNS) to suppress the cough reflex. D) It acts on peripheral sensory nerves to reduce their sensitivity to cough triggers.
C) It acts in the central nervous system (CNS) to suppress the cough reflex. Codeine acts on **cough centre** in **medulla** (CNS) -> alters its **sensitivity** => suppresses **cough reflex**
125
when is antitussives used
for **non-productive** ("dry") coughs
126
Why is codeine not recommended as an antitussive for children? A) Codeine is metabolized faster in children, leading to reduced efficacy. B) Children are more sensitive to opioid-induced respiratory depression due to immature respiratory centers and liver development. C) Children are more likely to become addicted to opioid antitussives compared to adults. D) Codeine can cause severe gastrointestinal side effects in children.
B) Children are **more sensitive** to opioid-induced **respiratory depression** due to **immature respiratory centers and liver development.** Not recommended for children **< 18 y/o** ## Footnote recall! respiratory depression is an **adverse effect** of antitussives, for which there is an increased risk of * during **overdose** * in patients with **severe respiratory insufficiency** * when combined w/ **other CNS depressants**
127
In individuals who are CYP2D6 ultra-rapid metabolizers, what potential risk is associated with codeine use? A) Lower risk of addiction due to rapid drug metabolism. B) Increased risk of severe respiratory depression, even at normal doses. C) Increased risk of gastrointestinal side effects. D) Reduced antitussive effect due to rapid drug breakdown.
B) Increased risk of severe respiratory depression, even at normal doses. due to **faster rate** of conversion of codeine to **morphine**, an even **more potent opoid** => greater risk of side effects, including respiratory depression
128
A patient has a history of opioid abuse. Which of the following antitussives would be the MOST appropriate and safest choice for this patient? A) Codeine B) Diphenhydramine C) Oxycodone D) Dextromethorphan
D) Dextromethorphan * from greatest to lowest risk of addiction: 1. codeine 2. dextromethorphan 3. diphenhydramine (no risk at all) * from most to least effective: 1. codeine 2. dextromethorphan 3. diphenhydramine (H1 antihistamine -> **mild** antitussive effects) => dextromethorphan used as it is the **most effective non-opoid** antitussive
129
Which of the following is a common adverse effect associated with the use of first-generation antihistamines like diphenhydramine, particularly in elderly patients? A) Improved cognitive function. B) Diarrhea. C) Increased salivation. D) Urinary retention.
D) Urinary retention 1st-gen antihistamines have significant **anticholinergic** effects -> **block parasympathethic** (i.e. effects that **mimic sympathethic**) => Reduced salivation, urination, digestion, HR, etc ## Footnote urinary retention is one of the more concerning anticholinergic effects in elderly
130
types of decongestants used
* Sympathomimetic agents -> EITHER direct **a-adrenoceptor agonists** OR indirect **increase in release of adrenaline/noradrenaline** -> **vasoconstriction** of nasal blood vessels => reduce **inflammation (and thus swelling)** and **secretion of mucus** * Nasal corticosteroids -> reduce **inflammation** => reduce (swelling and thus) **congestion** and **secretion of mucus**
131
examples of sympathomimetic agents used as decongestants
* a-adrenoceptor agonists: phenylephrine * indirect increase in release of adrenaline/noradrenaline: pseudoephedrine
132
examples of nasal *corticosteroids*
* **flu**tica*sone* * **mom**eta*sone* "**mom** takes care of you when you have the **flu**"
133
A patient reports experiencing a **'rose water' odor** while using a medication for nasal congestion. Which of the following medications is most likely responsible for this? A) Acetylcysteine. B) Cetirizine. C) Dextromethorphan. D) Phenylephrine.
D) Phenylephrine unique characteristic of phenylephrine, an a-adrenoceptor agonist decongestant
134
A patient with a history of hypertension is seeking an over-the-counter medication for nasal congestion. Which of the following decongestants should be avoided? A) Intranasal ipratropium. B) Cetirizine. C) Pseudoephedrine. D) Intranasal cromoglicic acid.
C) Pseudoephedrine * pseudoephedrine = indirect sympathomimetic nasal decongestant * adverse effects of nasal decongestants include **CNS** stimulation (e.g. restlessness, tremors, irritability) and **cardiovascular** effects (e.g. **hypertension** due to vasoconstriction) * these adverse effects are worse when taken through **oral route** and pseudoephedrine is taken orally ## Footnote note: indirect sympathomimetics like pseudoephedrine also has cardiovascular adverse effect of **tachycardia**
135
# esp in relation to nasal corticosteroids side effects of intranasal route
local mucosal **dryness and irritation**
136
A patient taking diphenhydramine for cold symptoms reports increased appetite. What receptor antagonism is most likely responsible for this side effect? A) H1 antihistamine in CNS. B) Cholinergic antagonism. C) α-adrenergic antagonism. D) 5-HT receptor antagonism.
D) 5-HT receptor antagonism **1st gen anti-histamines** (e.g. diphenhydramine) also exhibit **5-HT receptor antagonism**, which has been linked to an **increased appetite**
137
A factory worker with a runny nose and nasal congestion is prescribed an intranasal decongestant. What is the MOST important instruction to give this patient regarding the duration of use for this medication? A) Use the decongestant for as long as symptoms persist to ensure complete resolution. B) Use the decongestant only when symptoms are severe to prevent tolerance. C) Limit use to 5-7 days to avoid rebound congestion. D) Alternate between different brands of decongestants to maintain effectiveness.
C) Limit use to 5-7 days to avoid rebound congestion **prolonged use** of sympathomimetic agents -> compensatory **upregulation of parasympathetic** nervous system -> effects seen when sympathomimetic agents are stopped
138
What is the primary mechanism of action of ipratropium as a mucoregulator? A) β2-adrenergic receptor agonism B) Inhibition of phosphodiesterase (PDE) C) Muscarinic receptor antagonism D) Histamine receptor antagonism
C) Muscarinic receptor antagonism Ipratrop*ium* = SA*MA* -> **inhibits M3** muscarinic receptors and thus its activation of **submucosal glands and goblet cells** => reduce **mucus output** ## Footnote route: **intranasal**
139
How would you advise a patient on the administration of nasal drops and sprays? 1. (...) all the way forwards or backwards 2. Insert (...) and press pump steadily and firmly 3. Breathe through (...) gently and avoid (...) for (...) minutes in head tilted posture
1. **Bend** all the way forwards or backwards 2. Insert **spray bottle nozzle** and press pump steadily and firmly 3. Breathe through **nose** gently and avoid **blowing nose** for **2-3** mins in head tilted posture
140
Which cough and cold medication is the most contraindicated in children?
Promethazine * < 6 months: **contraindicated**, * 6 months - 2 yrs: not recommended, * ≥ 2 yrs: use (with caution) **1st gen anti-histamine**, very high risk of **respiratory depression** ## Footnote all other cough and cold meds are * < 6 months: not recommended * 6 months - 2 y/o: use only when benefits > risks * ≥ 2 y/o: use (w/ caution)
141
which cough and cold medication is safe to use in elderly
Guaifenesin * expectorant * no significant A/Es in elderly ## Footnote * cough suppressants are generally **not recommended** * other cough and cold meds all **cause A/Es** (note: notable anticholinergic effects in elderly are precipitation of **dementia** due to cognitive impairment and contraindication in **NARROW-angle glaucoma** due to increased intraocular pressure)
142
What is the role of Annexin A1 in cromoglicic acid’s mechanism? A) It stimulates histamine release B) It promotes prostaglandin and leukotriene production C) It inhibits prostaglandin and leukotriene production D) It increases chloride channel activity
C) It inhibits prostaglandin and leukotriene production Cromoglicic acid INCREASES **annexin A1** secretion -> annexin A1 **blocks PLA2** -> prevent release of **AA** -> prevent conversion of AA into inflammatory mediators, **prostaglandins and leukotrienes**
143
why should patients on guaifenesin take more water
* further reduce viscocity of mucus * protect **renal function**
144
definition of residual volume
volume of air left in lungs AFTER **maximum expiration** ## Footnote CANNOT be measured using spirometry since it remains in lungs AFTER maximal exhalation
145
how does theophylline help in treatment of asthma
**2nd line** bronchodilator as it blocks **adenosine receptors** -> prevent adenosine-caused **bronchoconstriction** and histamine release from mast cells | i.e. **adjunct** bronchodilator
146
treatment for Group A COPD
SAMA and/or SABA ## Footnote recall! criteria is * 0 or 1 moderate exacerbations (NOT leading to hospital admission) * CAT < 10 * mMRC 0-1
147
treatment for Group B COPD
LAMA or LABA ## Footnote recall! criteria is * 0 or 1 moderate exacerbations (NOT leading to hospital admission) * CAT ≥ 10 * mMRC ≥ 2
148
treatment for Group E COPD
* LAMA and LABA * ICS if blood EOS ≥ 300 ## Footnote recall! criteria is * ≥ 2 moderate exacerbations or ≥ 1 leading to hospitalisation
149
adverse effects of theophylline
nausea, vomiting, anxiety, insomnia, tremors, arrhythmias "**the**ophylline = **tea**-ophylline and thus cause **similar symptoms to caffeine**"
150
what antibiotic can be given to patients with COPD ## Footnote used for **prevention** is patient has frequent **bacterial exacerbations**
azithromycin -> has **anti-fibrotic** and **airway-relaxing** effects => prevent exacerbation | drug class: macrolide ## Footnote recall! * adverse effects include QT prolongation (ur a **M**F cutie (QT)!) * contraindicated in **hepatic** dysfunction
151
# used to reduce sputum viscocity and aid mucus clearance what is the preferred mucolytic for patients with COPD
erdosteine (**thiol** derivative) ## Footnote compared to other mucolytics which are **cysteine** derivatives (e.g. carbocisteine, acetylcysteine)
152
how are leukotriene pathway inhibitors administered
**oral** route only "monty python chug straws using his **mouth**!" | monty python = montelukast, chug straws = churg-straws syndrome
153
what is the most common way to pick up cancer
**paraneoplastic** syndromes, common ones are * cushing's * SIADH