Respiratory Flashcards

(33 cards)

1
Q

Empyema: medical and surgical management

A

Supportive:
* Supplemental O2
* Analgesia
* Fluids/nutrition (considering SIADH / catabolism etc)

Specific (Medical):
* IV Abs Broad Spectrum (Piperacillin-Tazobactam or Cefotaxime + Vancomycin if MRSA
suspected)
* Once sepsis settled and stabilised, 3-4 weeks of PO ABx (usually AugDF)
* Large Bore Chest drain (large size) ~20Fr

Specific (Surgical Options):
* Fibrinolytics via chest drain
* VATS – video-assisted thoracoscopic surgery
* Open thoracotomy

How well did you know this?
1
Not at all
2
3
4
5
Perfectly
1
Q

Biochemical features on pleural fluid of empyema

A

Purulent pleural fluid
1 or more of following:
* + gram stain / culture
* WCC > 50,000
* Pleural fluid glucose <2.2
* Pleural fluid pH <7.2
* Pleural fluid LDH >1000

How well did you know this?
1
Not at all
2
3
4
5
Perfectly
2
Q

PE definitions: massive, submassive, non-massive

A

Massive PE
Acute PE + haemodynamic compromise (no longer defined by size)
* BP < 90 for 15min
* Vasopressor requirement
* Pulseless

Submassive PE
Acute PE, not haemodynamically compromised but:
* Right heart strain (ECG / Echo / BNP)
* Troponin Leak

Non-massive PE
Acute PE + none of above

How well did you know this?
1
Not at all
2
3
4
5
Perfectly
3
Q

Well’s Score (and simplified Well’s) for PE

A
How well did you know this?
1
Not at all
2
3
4
5
Perfectly
4
Q

PERC rule components + interpretation

A

Parameters at initial ED assessment (8 components)
-​ age <50 years
-​ HR < 100 beats/min
-​ SpO2 > 94% on air
-​ no unilateral leg swelling
-​ no haemoptysis
-​ no surgery or trauma within 4 weeks
-​ no previous DVT or PE
-​ no oral hormone use

*​if all the above criteria are met
-​ sensitivity for PE detection is approximately 95%, speciificity 10%
-​ post test probability of PE is 0.4 - 3% for PE (LR- 0.17)
-​ may not be quite sensitive enough to make decisions about need for further testing
-​ HR of > 100 present in only 40% of patients with PE, so this criteria will miss a significant proportion of patients

How well did you know this?
1
Not at all
2
3
4
5
Perfectly
5
Q

Echo findings in PE

A
  • RV
    • > 2.5cm in PLAX view in absence of hypertrophy
    • McConnell’s sign: RV apical free wall normokinesia +/- hyperkinesia despite akinesia +/- hypokinesia of remaining RV free wall
  • D-shaped inter ventricular septum
  • Tricuspid regurgitation
  • Tricuspid annular peak systolic excursion at free wall annular excursion (TAPSE) < 1 cm on M mode Ap4Ch or subcostal views
  • Small LV with change in size with respiration
  • Intracardiac thrombus (rare) +/- PFO
  • Non-collapsable IVC
  • Elevated pulmonary artery pressure

In simple terms:
- Dilated RV
- Poorly contractile RV
- Hyperdynamic LV
- Dilated IVC
- McConnell sign (RV RWMA sparing RV apex)
- Bowing septum to LV

How well did you know this?
1
Not at all
2
3
4
5
Perfectly
6
Q

Pulmonary hypertension aetiology groups (I-V) and examples

A

Group I - pulmonary arterial hypertension
*​uncommon
*​idiopathic (primary)
*​familial
*​drug use
-​cocaine
-​amphetamines

Group II - pulmonary venous hypertension
*​second most common cause
*​left-sided atrial or ventricular heart disease
*​left-sided valvular heart disease

Group III - associated with chronic hypoxaemia
*​most common cause
*​chronic obstructive pulmonary disease etc

Group IV - chronic thromboembolic disease

Group V - miscellaneous
*​sarcoidosis
*​pulmonary Langerhans’-cell histiocytosis
*​lymphangiomatosis
*​systemic sclerosis
* tumour obstruction
* chronic renal failure on dialysis

How well did you know this?
1
Not at all
2
3
4
5
Perfectly
7
Q

Pulmonary hypertension - treatment

A

Mild-moderate disease
- Supplemental oxygen
- Vasodilators
* Sildenafil 80mg TDS improved ~60% patients
* CCBs useful in ~10%
- Diuretics
- Anticoagulation (idiopathic and secondary to VTE)

Severe cases:
Epoprostenol
- Vasodilator with antiplatelet and anti-inflammatory effect
Bosentan/Sitaxetan/Ambrisentan
- Endothelin-receptor antagonists
- Vasodilatory, anti-inflammatroy agents
- Remodelling mediator

Ambrisentan
- Selective antagonist of endothelin type A receptor -> blocks vasoconstrictive effects of endothelin (produced by endothelial cells)
- SEs incl. hepatotoxicity, peripheral oedema, nasal congestion, sinusitis, flushing, palpitations, anaemia
- 5-10mg film-coated tablets

How well did you know this?
1
Not at all
2
3
4
5
Perfectly
8
Q

Indications and dose of thrombolysis in massive PE

A
  1. Cardiac arrest from suspected PE
  2. High risk PE with cardiogenic shock +/- persistent hypotensive OR persistent hypoxia with respiratory distress unresponsive to maximal O2 therapy
  3. Right heart strain on echo, or cardiac markers (PEITHO study) OR
    Moderate PE (right and left main pulm trunks or > 2 lobes with >70% involvement) (MOPPETT study)

Alteplase
1. 10mg bolus followed by 40-90mg IV over 2 hours
2. 50mg IV bolus in cardiac arrest (prolonged CPR)

How well did you know this?
1
Not at all
2
3
4
5
Perfectly
9
Q

Contraindications to thrombolysis in PE

A
  1. CNS
    - Heamorrhagic CVA (absolute)
    - Ischaemic CVA <3 mo (absolute)
    - Ischaemic CVA >3 mo (relative)
    - Structural cerebrovascular disesase i.e. AVM (absolute)
    - CNS neoplasm (absolute)
    - CNS surgery <3 mo (absolute)
  2. Trauma
    - Recent head trauma with fracture or brain injury (absolute)
    - Minor head trauma due to syncope NOT contraindication
  3. Recent surgery/procedures
    - Major non-CNS surgery <3wk (relative)
    - Recent puncture of non-compressible vessel (relative)
  4. Bleeding history
    - Active bleeding, excl. menses (absolute)
    - Recent internal bleeding <2-4 wks (relative)
    - Known bleeding diathesis (absolute)
  5. Coagulation studies
    - Plt <100 (relative)
    - Elevated INR, PTT (relative)
  6. Anticoagulants
    - Oral anticoagulation (relative)
    - Multiple anticoagulants (relative)
  7. Hypertension
    - History of chronic, severe, poorly-controlled HTN (relative)
    - BP on presentation >180 systolic or >110 diastolic (relative)
  8. Age
    - >75yo (relative)
    - Dementia (relative)
  9. Special populations
    - Pregnancy or 1st week postpartum (relative)
    - Traumatic or prolonged CPR (relative)
How well did you know this?
1
Not at all
2
3
4
5
Perfectly
10
Q

Initial ventilator settings in intubated paediatric asthma patient

A
How well did you know this?
1
Not at all
2
3
4
5
Perfectly
11
Q

Dose of second- and third-line asthma treatments

A

IV steroids
- IV hydrocort 4mg/kg (max 200mg)
- IV methylpred 1mg/g (max 60mg)
- IV dex 0.6mg/kg (max 16mg)
MgSO4 - 0.2mmol/kg (max 8mmol)
Aminophylline - 10mg/kg (max 500mg) over 30 mins (not compatible with MgSO4)
IV salbutamol - 5-15 microg/kg (max 250 microg) over 10 mins -> infusion 1-2microg/kg/min (max 200microg/min), adjust to response and HR
IM adrenaline 10microg/kg of 1:1000 (max 300 microg; 500 microg in adults), repeated 5 minutely, as required

How well did you know this?
1
Not at all
2
3
4
5
Perfectly
12
Q

ECG findings in PE

A

● Sinus tachycardia – the most common abnormality; seen in 44% of patients.
● Complete or incomplete RBBB – associated with increased mortality; seen in 18% of patients.
● Right ventricular strain pattern – T wave inversions in the right precordial leads (V1-4) ± the inferior leads (II, III, aVF). This pattern is seen in up to 34% of patients and is associated with high pulmonary artery pressures.
● Right axis deviation – seen in 16% of patients. Extreme right axis deviation may occur, with axis between zero and -90 degrees, giving the appearance of left axis deviation (“pseudo left axis”).
● Dominant R wave in V1 – a manifestation of acute right ventricular dilatation.
● Right atrial enlargement (P pulmonale) – peaked P wave in lead II > 2.5 mm in height. Seen in 9% of patients.
● SI QIII TIII pattern – deep S wave in lead I, Q wave in III, inverted T wave in III. This “classic” finding is neither sensitive nor specific for pulmonary embolism; found in only 20% of patients with PE.
● Clockwise rotation – shift of the R/S transition point towards V6 with a persistent S wave in V6 (“pulmonary disease pattern”), implying rotation of the heart due to right ventricular dilatation.
● Atrial tachyarrhythmias – AF, flutter, atrial tachycardia. Seen in 8% of patients.
● Non-specific ST segment and T wave changes, including ST elevation and depression. Reported in up to 50% of patients with PE.

How well did you know this?
1
Not at all
2
3
4
5
Perfectly
13
Q

Causes for false negative D dimer in PE

A
  1. Small clot loat (e.g. small calf only DVTs)
  2. Mature thrombus
  3. Defective fibrinolysis (contributory to formation of initial thrombus also)
How well did you know this?
1
Not at all
2
3
4
5
Perfectly
14
Q

Methods for estimating size of pneumothoraxx

A

Light’s formula
* ​horizontal distance from the midline at the level of the hilum to the outer edge of the pneumothorax cubed
* ​divided by the horizontal distance from the midline at the same level to the lateral chest wall cubed

British Thoracic Society guidelines
*​ size of a pneumothorax is divided according to presence of visible rim between lung margin and chest wall at the level of the hilum on a PA CXR
- ​small - visible rim < 2 cm
-​ large - visible rim ≥ 2 cm
* ​a 2 cm pneumothorax is approximately 50% (‘large’)

American College of Chest Physicians
* ​size determined by distance from the lung apex to the ipsilateral thoracic cupola at the parietal surface as determined by an upright standard CXR
-​ small - apex to cupola distance < 3 cm
-​ large – apex to cupola distance ≥ 3 cm

How well did you know this?
1
Not at all
2
3
4
5
Perfectly
15
Q

Features on history of poor asthma control

A

1) Daytime symptoms >/= 2 days per week
2) Need reliever > 2 days per week - increased use of bronchodilators reported by patient/carer
3) Any limitation of activities
4) Any symptoms during night or on waking
5) >3 or 3rd presentation to ED in 1 month
6) Prior ICU admission
7) Poor social situation / health literacy / concordance / compliance

16
Q

NIV in asthma: pros and cons

A

Pros:
● Extrinsic PEEP decreases the work of breathing by helping overcome Auto-PEEP
● Extrinsic inspiratory positive pressure (IPAP) may increase tidal volume by decreasing the work done against airway resistance
● Shorter inspiratory times may increase tidal volumes without causing any extra dynamic hyperinflation
● NIV may prevent intubation in a select group of patients
● Decreases WOB

Cons:
● May delay intubation
● Inappropriate settings may increase the effort of breathing
● Increased positive airway pressure increases risk of pneumothorax
● Barotrauma
● Addition of extrinsic PEEP which is higher than
intrinsic PEEP will exacerbate dynamic
hyperinflation
● NIV makes it more difficult to clear secretions if
there is a strong infective component.

17
Q

Chest xray - 30F w/ Goodpastures - differentials

A
  • Pulmonary Haemorrhage (goodpastures)
  • LRTI ie staph pneumonia, influenza
  • Opportunistic infection (immunosuppressed) – ie Pneumocystis
  • Cryptogenic Organising Pneumonia/ Bronchiolitis Obliterans Organising Pneumonia
  • Congestive Cardiac Failure
  • Malignancy with lymphatic dissemination ie Lymphangitis Carcinomatosis
18
Q

Causes of pleural exudate?

A
  • Infective – pneumonia, tuberculosis
  • Inflammatory - rheumatoid arthritis, SLE, Dressler’s syndrome
  • Malignancy
  • Pulmonary embolism
  • Benign asbestos related
  • Abdominal – Pancreatitis, intra abdominal abscess, oesophageal perforation, ascites e.g. Meig’s syndrome (benign ovarian tumour/ascites/pleural effusion)
19
Q

Risk factors for re-expansion pulmonary oedema post-thoracocentesis + ways to mitigate

A

-​ Age < 30 years
- ​Lung collapse for > 7 days
- ​>3 L pleural fluid
- Use of suction
- Rapid drainage >1.5L/hr
- Larger pneumothoraces

Possible prevention measures:
-​ Drain < 1.5 L pleural fluid initially or slow drainage to 500 mL per hour
-​ Avoid high negative intrapleural pressures (e.g. avoid suction in initial treatment)

20
Q

Contra-indictaions to NIV in ED

A
  • Unable to protect own airway
  • Uncooperative
  • Absent, weak, or agonal respiration
  • Excessive respiratory secretions
  • Maxillofacial fractures
  • Basilar skull fractures
  • Recent upper airway surgery
  • Active vomiting
21
Q

Lights Criteria for pleural exudate

A

Lights criteria (High protein and LDH = exudate), determines presence of exudate with protein and LDH levels
1. Pleural fluid protein to serum protein ratio >0.5
2. Pleural fluid LDH to serum LDH ratio >0.6
3. Pleural fluid level >2/3 of upper value for serum LDH
4. Pleural fluid albumin >30g/L
5. (optional) Serum albumin - pleural fluid albumin <1.2g/dL (confirms if results equivocal)

22
Q

Causes of pleural exudate

A
  • Malignancy – Lung, breast, pleural.
  • Infection – Pneumonia, empyema, pleuritis, viral disease
  • Autoimmune – Rheumatoid, SLE
  • Vascular – PTE
  • Cardiac – Pericarditis, CABG
  • Respiratory – Haemothorax, Chylothorax
  • Abdominal – Subphrenic abscess
23
Q

Causes of pleural transudate

A
  • Cardiac – CCF, PTE
  • Liver – Ascites, Cirrhosis
  • Renal – Glomerulonephritis, Nephrotic syndrome
  • Ovarian – Meigs syndrome
  • Autoimmune – Sarcoid
  • Thyroid – Myxoedema
24
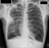
CXR - 1yoM, witnessed choking episode - describe findings and diagnosis (side)
Inhaled foreign body LEFT main bronchus 1. Mediastinal shift to the right on expiratory 2. Increased lucency on left lung on expiration 3. Hyperexpansion left lung on expiration 4. Normal inspiratory film
25
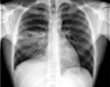
CXR - 30M IVDU - Describe xray and differential
1. Cavitating lesion RMZ 2. RML-LL consolidation 3. Air bronchogram 4. Small right pleural effusion 5. Fluid in horizontal fissure DDx. Infective: - Staph aureus - TB/mycoplasma - Anaerobes (peptostreptococcus etc.) - Gram negs: klebsiella/legionella/pseudomonas etc. - Strep pneumo - Fungal, cryptococcosis, parasites, PJP Non-infectious: - Malignancy (primary, metastatic, lymphoma) - Vascular incl. pulmonary infarction, VTE - Granulomas (RA, sarcoidosis, Wegener's) - Pneumoconiosis, bronchiectasis - Congenital cyst
26
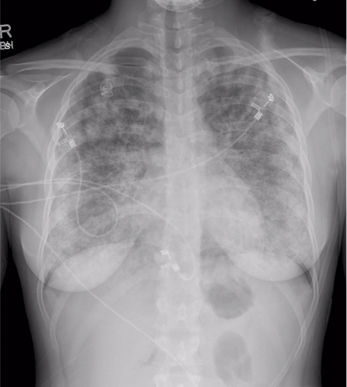
CXR: 80M acute pleuritic chest pain, SOB BG smoker - CXR findings and DDx
* Marked hyperinflation * Moderate/large left-sided pneumothorax * Mediastinal shift to the right – possible tension PTX * Bilateral widespread pulmonary infiltrates * Right midzone (basal segment of upper lobe) wedge-shaped cavitating lesion/consolidation * Right apical focal consolidation * Interposed hepatic flexure under right hemidiaphragm (Chilaiditi syndrome) DDx. * Cavitating pneumonia – Klebsiella, S. Aureus, Pneumoccocus, TB * Malignancy – primary bronchogenic CA * Interstitial pneumonitis - Influenza/viral * Pneumothorax – rupture of large bullae
27
PESI score components
Age Sex History of: - Cancer - Heart failure - Chronic lung disease HR >=110 SBP <100mmHg RR >=30 Temp <36 degC AMS O2 sats <90% Predicts 30 day outcomes of patients with PE
28
Criteria to wean from NIV
pH >=7.30 Sat >=90% on FiO2 <=40% - OR P/F ratio >200 mmHg with FiO2 <0.5 SBP 90-180mmHg HR 50-120 BPM RR <25 without accessory muscle use Normal mentation
29
MoA of ketamine in severe asthma (3)
1. Direct relaxant effect on bronchial smooth muscle 2. Antagonism of histamine and acetylcholine 3. Mast cell membrane stabilisation
30
Predicted PEFR for asthma severity
Mild >60% predicted Mod 40-60% Severe <40% Life-threatening - inappropriate
31
Massive haemoptysis definition
>600mL in 24hr OR >100mL in 1 hour
32
YEARS criteria
1. Clinical signs or symptoms of DVT 2. Haemoptysis 3. PE most likely diagnosis