Comment on this CXR

Consolidation in the right middle lobe consistent with pneumonia
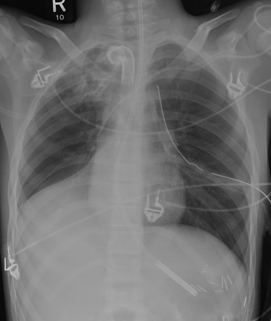
Comment on this CXR

Right lower lobe collapse
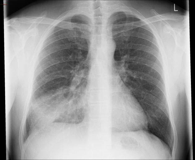
Comment on this CXR

A well defined thick walled cavitatory lesion is noted in the right para-hilar area in the midzone of right lung
aka Pulmonary TB
Define COPD
‘a chronic disease characterised by progressive airflow limitation that is not fully reversible and characterised by chronic bronchitis and emphysema’
Define Obstructive Sleep Apnoea Syndrome
Recurrent episodes of partial or complete upper airway (pharyngeal) obstruction during sleep, intermittent hypoxia and sleep fragmentation manifesting as excessive daytime sleepiness
Describe an approach to the analysis of blood gases in clinical practice
Always look at pO2 first to assess if the patient is in respiratory failure or requires additional oxygen
Next look at the pCO2 to determine Type 1 vs Type 2 Resp. Failure
Then look at the acid-base balance to determine if:
Acute Resp. Acidosis (Elevated pCO2, Normal Bicarb, Acidosis)
Comp. Resp. Acidosis (Elevated pCO2, Elevated Bicarb, Not Acidotic)
Acute on Chronic Resp. Acidosis (Elevated pCO2, Elevated Bicarb. Acidosis)
Describe clinical features of pulmonary embolism
Tachypnoea
Crackles
Tachycardia
Fever
Signs of Peripheral DVT
Pleuritic Chest Pain
Dyspnoea
Cough
Haemoptysis
Syncope
Describe investigations for pulmonary embolism
Modified Geneve Score (Risk Assessment)
D-Dimer (Raised, >230mg/L)
ABGs (Resp. Alkalosis with Reduced PaCO2)
Troponin
ECG
Echocardiogram
Radiology (CXR, CT-Pulmonary Angiogram, V/Q Scan)
Describe pathological features in the lung which lead to pneumothorax
Sub-Pleural Blebs (blister-like air pockets) at the apex of the lung
Diffuse, microscopic emphysema below the surface of the visceral pleura
Spontaneous rupture can lead to a tear in the visceral pleura
Describe the clinical diagnosis of Pulmonary Fibrosis
Clinical manifestation of UIP
Fibrotic lung disease, usually with no definitive cause
Progressive Breathlessness, Bibasilar Crackling, Hacking Dry Cough, Fatigue, Weakness, Finger Clubbing, Appetite and Weight Loss
Describe the clinical presentation of Sarcoidosis
May present with pulmonary, neurological, cardiac, dermatological or ocular findings
Systemic symptoms: Fever, Anorexia, Fatigue, Night Sweats, Weight Loss
Pulmonary symptoms: Cough, Haemoptysis, Dyspnoea on Exertion, Chest Pain
May be asymptomatic
Describe the clinical application of the Alveolar Air Equation
Arterial pO2 can be directly measured by ABG analysis, whereas Alveolar pO2 must be calculated
The difference between Alveolar pO2 and Arterial pO2 is known as the Alveolar-Arterial Oxygen Gradient
Normally, this should be less than 2-4kPa
Higher than this suggests a V/Q mismatch
Describe the distant spread of lung cancer
Haematogenous - Liver, Bone, Brain, Adrenal
Lymphatic - Cervical Lymph Nodes
Describe the effects of cigarette smoke on the airways and how this leads to pathology
Mucus Gland and Goblet Cell Hypertrophy –> Increased Mucus Production –> Cough and Sputum
Reduced Cilial Motility –> Decreased Mucus Clearance –> Increased Infection Risk
Anti-Protease Inhibition –> Increased Protease Activity –> Inflammation
Describe the features of Usual Interstitial Pneumonia
Heterogenous appearance with areas of normal lung punctuated by marked fibrosis and honeycombing (mainly in subpleural areas) and fibroblastic foci (dense proliferations of fibroblasts and myofibroblasts)
Describe the immediate management of pulmonary embolism
Massive:
(PE associated with SBP <90mmHg or a drop in SBP of >40mmHg in <15 Minutes)
Give Unfractionated Heparin IV
Fluid Resuscitation
Thrombolysis with Alteplase if Fails to Improve
Sub-Massive:
Initially LMWH
Then Oral Anti-Coagulant for 3 Months (Factor Xa Inhibitors or Warfarin)
Describe the investigations used in the diagnosis of Obstructive Sleep Apnoea Syndrome
History (from Pt and Family)
Clinical Exam
Daytime Sleepiness Assessment (Epworth Score)
Limited Polysomnography (Home, 5 Channel; O2 Sats, HR, Flow, Thoracic and Abdominal Effort and Position)
Full Polysomnography (In-Hospital, Multi-Channel; EEG, Video, Audio, Thoracic/Abdominal Bands, Position, Flow, O2 Sats, Limb Leads, Snore)
Transcutaneous Oxygen Saturation and Carbon Dioxide Assessment
Describe the mechanism of action of anti-fungal drugs
Describe the methods of management of Obstructive Sleep Apnoea Syndrome
Weight Loss
Avoidance of Triggers (e.g. Alcohol)
Treatment of Underlying Factors
Continuous Positive Airway Pressure (Splints airway open to stop snoring and sleep fragmentation to reduce daytime sleepiness and improve quality of life)
Mandibular Advancement Device
Sleep Position Training
State the pathological classification of Lung Cancer
Small Cell
Non-Small Cell (Large Cell, Adenocarcinoma or Squamous Cell)
Describe the pathological consequences of local spread of lung cancer
Bronchial Obstruction
Lung Collapse or Consolidation (Retention Pneumonia)
Pleura - Haemorrhagic Effusion
Blood Vessels - Haemoptysis
Pericardium - Pericardial Effusion
Mediastinum - SVC Obstruction
Pancoast Tumour - Horner’s Syndrome, Brachial Plexus Compression
Describe the pathology and presentation of Extrinsic Allergic Alveolitis
T-Cell mediated (immunological) inflammatory reaction in the alveoli and respiratory bronchioles
(N.B. EAA is NOT atopy)
May present with flu-like illness, cough, fever, chills, myalgia, malaise, dyspnoea
Describe the pathology of Adenocarcinoma Non-Small Cell Lung Cancer
Common tumour in females
Also seen in non-smokers
Two-thirds arise in the periphery
Appearance: Glandular, Solid, Papillary or Lepidic with Mucin Production
Describe the pathology of COPD
Increased number of mucus-secreting cells
CD8 lymphocyte driven inflammation of the airways, leading to scarring and thickening
Neutrophil infiltration
Loss of defined alveolar air spaces leading to loss of elasticity and air trapping
Causes airway collapse, and blockage of airways